
鼻腔鼻窦非霍奇金淋巴瘤主要有B细胞、NK/T细胞两种起源。我国人群中病理类型以NK/T细胞型最为常见,其次为弥漫大B细胞淋巴瘤(DLBCL)。DLBCL相对罕见,近期我中心收治1例以右眼失明为首发表现的鼻腔鼻窦DLBCL(SN-DLBCL),现报道如下并进行文献复习。
版权归中华医学会所有。
未经授权,不得转载、摘编本刊文章,不得使用本刊的版式设计。
除非特别声明,本刊刊出的所有文章不代表中华医学会和本刊编委会的观点。
弥漫大B细胞淋巴瘤(diffuse large B-cell lymphoma,DLBCL)是一种具有高度异质性的恶性程度较高的淋巴瘤,可原发于结外,其最常见的结外原发部位为胃肠道,原发鼻腔鼻窦罕见。鼻腔鼻窦弥漫大B细胞淋巴瘤(sinonasal DLBCL,SN-DLBCL)由于病灶生长部位隐蔽,多数患者诊断时病灶侵犯范围广泛。临床症状常不典型,主要有鼻塞、流涕、涕中带血、偶有头痛等。近期我中心收治1例以右眼失明为首发表现的SN-DLBCL,现报道如下并进行文献复习。
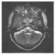
男,68岁,已婚,因"渐进性右眼视力下降20 d"于2017年11月10日就诊我院。2017年10月20日无明显诱因始出现渐进性右眼视力下降,就诊于当地医院行相关检查未见明显异常。随后出现右眼失明,并右眼肿胀,右侧面部麻木及头痛等症状。11月10日就诊我院神经内科门诊,右眼上睑肿胀并下垂,翻起眼睑见眼球隆起。头颅MRI(图1):右侧筛窦内不规则肿块,侵蚀、破坏邻近右眼眶内侧壁并部分突入右眼眶,肿块沿视神经管蔓延,邻近右侧中颅窝脑膜增厚,考虑肿瘤性病变,病变侵犯右眼内直肌可能,右眼视神经受压、推移。在我院耳鼻喉科住院治疗,查体:视力:右0,左0.5;右眼睑肿胀(++),睁眼受限,球结膜充血,水肿(++),下方明显;角膜光滑,瞳孔呈椭圆形,大小5.0 mm × 3.5 mm,直间接对光反射消失,眼底:视盘充血、水肿,后极部可见片状出血。外鼻无明显畸形,双侧下鼻甲肥大,鼻中隔稍偏曲,右侧中鼻道淡白色新生物,具体无法窥清,副鼻窦区无压痛。血常规:白细胞计数5.93 × 109/L,中性粒细胞0.744,血红蛋白147 g/L,血小板计数204 × 109/L;生化:乳酸脱氢酶(LDH)454 U/L、乳酸脱氢酶同工酶1(LDH-1)110 U/L、α-羟丁酸脱氢酶(α-HBDH)329 U/L。鼻窦冠状位CT:右侧筛窦及眼眶内软组织块,沿右侧视神经管侵入中颅窝,局部侵入右侧翼腭窝,右眼内直肌亦受侵,多考虑肿瘤性病变。浅表彩超:双侧颈部淋巴结可见(大小1.0 cm × 0.5 cm),双侧腋窝、腹股沟无肿大淋巴结。11月15日经鼻内镜鼻窦肿物活检术,术中见:右侧中鼻道及总鼻道黏膜膨隆,可见白色脓性分泌物溢出;右侧鼻腔肿物呈黄色钙化样变,质韧性欠佳。病理活检:(右侧鼻腔)恶性肿瘤,结合免疫组化考虑DLBCL,非GCB亚型;肿瘤大部分坏死;免疫组化结果(图2):CD3(-),CD20(+),CD56(+),TIA-1(-),粒酶B(-),Ki67>80%,CD10(-),Bcl-6(+),MUMI(+),c-Myc(+)。PET/CT检查(图3):全身多区域淋巴结及结外器官(右侧鼻腔、右侧鼻窦旁、右眶、右侧眼椎、肝脏及全身多发骨骼)FDG代谢均异常增高,考虑淋巴瘤(Ⅳ期)。外周血细胞形态、骨髓穿刺未见异常。骨髓细胞免疫分型:成熟B淋巴细胞占淋巴细胞的比例为21.3%,未见恶性单克隆B淋巴细胞,κ\λ= 0.7(正常范围:0.5~3.0)。FISH检测MYC、BCL6、BCL2均阴性。国际预后指数(IPI)评分:4分(高危组)。既往无淋巴瘤病史,发病后体质量减轻5 kg。最后诊断:原发性SN-DLBCL,非GCB型,Ⅳ期B组;继发性中枢神经系统淋巴瘤可能。




注:1A:MUM-1(+);1B:Ki67(+);1C:c-Myc(+);1D:CD20(+)


入院后于2017年11月至2018年5月给予R-CHOP方案联合化疗7个疗程,同时予以鞘注化疗。化疗过程顺利。第1疗程化疗结束,患者诉右眼肿胀明显消退,右侧面部麻木及头痛明显减轻,右眼仍失明。2018年3月22日复查PET/CT:淋巴瘤治疗后改变(与2017年11月23日PET/CT比较:全身多发区域淋巴结及节外器官病变基本消失)。4月24日再次入院,患者无右侧面部肿胀、麻木等不适,右眼窝凹陷,右眼睑无下垂。6月21日(7个疗程后)复查鼻窦冠状位CT:肿块范围较前明显减小。疗效良好,此后门诊随访,患者病情稳定。
由于原发SN-DLBCL相对罕见,国内外报道较少[1,2,3,4,5,6,7,8,9,10,11,12,13]。
临床表现常无特异性,诊断困难,易导致误诊和漏诊。SN-DLBCL诊断同样必须依据影像学、病理组织学等检查,尤其是免疫组织化学。DLBCL可表达多种B细胞抗原,如CD19、CD20、CD22、CD79a等,核增殖指数(Ki-67)一般>40%[1]。根据不同的分子类型及基因表达,DLBCL分为生发中心B细胞型(GCB)与非生发中心B细胞型(非GCB)[2]。
SN-DLBCL属于侵袭性淋巴瘤,治疗上以R-CHOP联合化疗方案为主,加或不加局部放疗[2,4]。受限于SN-DLBCL罕见,很难准确评价其的疗效和预后[2,4,5,6]。因其解剖定位更靠近中枢神经系统,有较高的中枢神经系统(CNS)浸润或复发的倾向[2,3]。利妥昔单抗的问世,一定程度降低了SN-DLBCL复发[2]。
本例患者既往无淋巴瘤病史,临床主要以右眼失明为首发表现;由于起病隐匿,发现时已进展为淋巴瘤(Ⅳ期),IPI评分高,病灶较大,无法区分原发部位是鼻窦还是鼻腔,且在确诊时已有继发中枢神经系统受累。应用R-CHOP化疗效果较好,但远期疗效尚需随访观察。遗憾的是,视神经损害不可逆性,尽管无眼睑闭合障碍、肿胀消退,可能右眼终生失明。
所有作者均声明不存在利益冲突





















