
以腹痛为首发症状的肺栓塞临床表现不典型,容易误诊、漏诊而贻误治疗时机,需提高对它的认识,以求尽早诊断、治疗。本文报道1例急性腹痛型肺栓塞误诊的临床资料,并结合既往文献,综合分析讨论其临床表现、诊断要点和治疗方法,以期对临床有一定警示价值。
版权归中华医学会所有。
未经授权,不得转载、摘编本刊文章,不得使用本刊的版式设计。
除非特别声明,本刊刊出的所有文章不代表中华医学会和本刊编委会的观点。
肺栓塞是由于内源性或外源性的栓子堵塞肺动脉主干或分支,引起肺循环障碍的临床病理生理综合征。根据栓子成分的不同,可分为肺血栓栓塞症(pulmonary thromboembolism,PTE)、脂肪栓塞综合征、空气栓塞、肿瘤栓塞等多种类型。其中以PTE最为常见,其主要由来自静脉系统或右心的血栓阻塞肺动脉或其分支导致患者肺循环和呼吸功能障碍。以腹痛为首发症状的肺栓塞,多由微血栓、小血栓、大血栓联合堵塞肺循环,引起急性神经反射性腹痛、恶心、呕吐等消化道症状,症状极不典型,且发病率低,因此误诊率高,有研究显示达70% ~ 82%[1]。对于这部分患者,若能早期明确肺栓塞诊断,及时给予抗凝治疗,可改善患者预后,减少死亡转归[2]。现将我院收治的1例急性腹痛型肺栓塞患者的临床表现、病情演变过程,并结合文献报道如下。
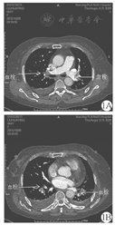
女,64岁,既往有胆道蛔虫病史。2015年10月1日患者无明显诱因下出现腹痛,为上腹部弥漫性胀痛,当时无恶心、呕吐,无腹泻,有一过性神志不清,血压测不出,送至当地医院,当时测血淀粉酶> 900 U/L,腹部超声提示胆囊壁毛糙,腹部CT提示肝周少量积液,腹膜后少量积液,胰腺形态尚正常,诊断考虑为急性胰腺炎合并休克,予以扩容、升压、禁食、胃肠减压、抑酸、抑酶等治疗。患者病情无改善,于2015年10月5日转至我院就诊。在急诊室实验室检查结果如下:WBC计数7.9 × 109/L,中性粒细胞0.821;总胆红素17.6 μmol/L,直接胆红素5.2 μmol/L,丙氨酸氨基转移酶1 578 U/L,天冬氨酸氨基转移酶797U/L,淀粉酶151 U/L,K+ 3.0 mmol/L,Na+ 132 mmol/L,Ca2+ 1.89 mmol/L。以"急性胰腺炎"收入我院普外科治疗。入院时患者神志清楚,精神差,诉上腹部疼痛,伴胸闷,无咳嗽、咳痰、咯血,测血氧饱和度0.90,查体:体温36.8 ℃,脉搏90次/min,呼吸26次/min,血压137/88 mmHg(1 mmHg=0.133 kPa),双肺听诊呼吸音低,双下肺可闻及湿啰音。腹部膨隆,皮下脂肪厚,剑突下偏左侧压痛,Murphy征阴性,无其他异常神经系统体征。因患者存在转氨酶升高、血氧饱和度下降,病因未明,ICU会诊后建议予患者行胸腹部CT增强扫描检查,结果提示双肺门区结节状密度略低,考虑强化不佳的血管可能,请结合临床,必要时行肺部血管CT血管造影检查除外血管性病变或淋巴结等。结合患者病史、症状及CT检查,诊断高度怀疑为急性肺动脉栓塞,遂转入ICU治疗。完善相关检查示B型钠尿肽(BNP)9 196 ng/L、D-二聚体7.2 mg/L,血管彩超提示双下肢静脉未见血栓形成。治疗上予以依诺肝素钠联合华法林抗凝治疗,此后患者氧合改善,腹痛、胸闷症状逐渐好转,复查BNP、D-二聚体、转氨酶进行性下降。10月8日完善计算机断层摄影肺血管造影(CTPA):双肺肺动脉内多发结节状及条状充盈缺损样改变,考虑肺动脉栓塞(图1)。患者肺栓塞诊断明确,继续予以抗凝治疗。10月11日患者病情稳定,转入我院呼吸科治疗,10月21日患者好转出院,出院后继续服用华法林治疗满3个月,随访2年,患者病情无反复。


注:1A:双侧肺动脉主干栓塞;1B:双侧肺动脉分支栓塞
文献报道急性腹痛型肺栓塞病例较少。以"腹痛"和"肺栓塞"为检索词,检索万方数据库、中国知网,检索到13篇15例急性腹痛型肺栓塞病例[1,3,4,5,6,7,8,9,10,11,12,13,14],结合本例,目前共报道16例。16例患者均以腹痛为首发症状,通过CTPA或核磁共振、肺动脉造影等手段,均最终确诊为肺栓塞,其中男7例,女9例,年龄24 ~ 75(54.69 ± 16.26)岁。既往基础疾病中,有肢体疾病5例,高血压2例,胃癌1例,子宫内膜异位症1例。有13例患者在诊治过程中拟诊或误诊为其他疾病,其中冠状动脉粥样硬化性心脏病或急性冠状动脉综合征5例,肺部感染3例,胰腺炎3例,胃炎1例,腹膜炎1例。在临床症状方面,有7例患者出现呼吸困难,有2例患者有咯血症状,5例患者出现意识障碍,4例患者合并休克。在实验室检查方面,有5例患者血气分析提示Ⅰ型呼吸衰竭;D-二聚体升高者14例;淀粉酶升高者2例,淀粉酶正常7例;BNP升高者5例。在影像学方面,仅有4例患者发现深静脉血栓形成,5例患者存在肺动脉高压。15例患者中仅有2例患者心电图为典型的SⅠQⅢTⅢ。在临床预后方面,除了1例治疗及转归不详,其余15例患者均接受溶栓、抗凝治疗。最终1例患者放弃治疗,2例患者救治无效后死亡,其余12例患者病情均好转或治愈。
随着研究进展不断深入,肺栓塞诊断和治疗水平日益提高。典型的"肺栓塞三联征"(呼吸困难、胸痛、咯血)临床上并不多见。由于肺栓塞临床症状表现多样,缺乏特异性,且轻重程度不一,因此该病具有较高漏诊率和误诊率。其中部分肺栓塞患者以腹痛为首发症状,可没有其他的伴随症状,临床上较为少见,极易被漏诊、误诊,导致不良结局,应引起临床医师的重视。
国外有报道,以急性腹痛伴肺动脉高压为首发表现的急性肺栓塞发生率为2.1%[15]。急性腹痛型肺栓塞可发生于临床多学科,多伴有慢性基础疾病。本文报道的1例患者及文献报道中的15例患者中有5例患有肢体疾病,2例高血压,1例胃癌和1例子宫内膜异位症。这部分患者均存在罹患肺栓塞高危因素,即血栓形成的三要素:血液淤滞、血液高凝状态和血管内膜受损。这类患者发病时以腹痛为首发症状,没有明显的肺栓塞典型表现(如肺栓塞三联征、心电图SⅠQⅢTⅢ改变等),临床医师常常根据惯性思维首先想到患者症状加重可能是初始诊断疾病进展所致,往往忽略肺栓塞的诊断。本研究发现共13例患者在诊治过程中曾被误诊为其他疾病,造成诊断、治疗的延误和医疗资源的浪费。而早期发现和诊断肺栓塞,可使患者病死率大大降低,国外有报道经充分治疗的患者病死率可降低至2% ~ 8%。所以在遇到存在肺栓塞高危因素的急性腹痛患者,特别是不能用原发疾病解释临床症状时,需考虑到急性肺栓塞的诊断,积极完善相关检查,如D-二聚体、BNP、心电图、超声、CTPA等,以进一步明确或排除诊断。
本研究中的1例患者及文献报道中的15例患者中,14例肺栓塞患者的D-二聚体检查结果均有不同程度升高,可见血浆D-二聚体检查具有较高的诊断敏感性。既往研究认为D-二聚体结果阴性是排除肺栓塞的重要指标,但近期文献报道表明即使D-二聚体小于0.5 g/L也不能完全排除肺栓塞[16]。另一个敏感指标为BNP,本研究中的1例患者及文献报道中的15例患者中该项指标均明显升高。急性肺栓塞会导致肺动脉高压、右心室后负荷增高、右室壁张力增高、右心室负荷增大,从而引起BNP的分泌[17],BNP越高,提示栓塞的血管范围越大,右心功能障碍程度越严重,患者病情越重,预后也越差[18]。有临床研究表明BNP可准确判断急性肺栓塞患者右心室功能障碍,其敏感性高于超声心动图检查和临床症状[19],并可间接反映患者病情严重程度和预后[20]。而血气分析在诊断肺栓塞时价值有限,有研究结果示肺栓塞患者和正常对照组之间动脉血气分析未见明显差异[21],故临床上腹痛的患者不能因血气分析结果正常就排除肺栓塞的诊断,需要联合其他各项检查进一步评估。
急性肺栓塞患者心电图具有多样性,特异的SⅠQⅢTⅢ发生率并不高,本研究中的1例患者及文献报道中的15例患者中,仅有2例患者有此心电图表现,而其他更为常见的心电图改变包括窦速、右胸导联T波倒置及ST段改变、完全性或不完全性右束支传导阻滞等。其中右胸导联T波倒置再加上BNP升高,很容易被临床医师误诊为急性冠状动脉综合征。超声检查具有方便、无创等优点,可以评估急性肺栓塞患者的心功能,并发现深静脉血栓形成,但超声心动图结果正常不能排除肺栓塞,而结果异常也不能直接诊断肺栓塞。上述检查均不能明确诊断肺栓塞,部分结果甚至可能误导临床医师。目前临床上主要通过CTPA、肺动脉造影、核磁肺动脉造影等影像学检查确诊肺栓塞,但这些检查相对价格昂贵、检查不便捷,往往不是临床医师的首选检查,从而导致诊断肺栓塞的延误。此外应注意的是,临床上即使对疑似肺栓塞的患者进行相应的影像学检查,仍有发生误诊的可能。有研究表明普通螺旋CT可以较好地显示肺动脉6级以内分支情况,但外周性或亚段肺栓塞的误诊率却高达53%[22]。呼吸移动伪影、肺动脉导管、黏液栓子以及相关技术因素等均会导致肺栓塞CT血管造影时的误诊。因此,根据目前的技术条件,部分患者在诊断或排查肺栓塞时仍存在困难,此时应根据患者症状、体征及各项辅助检查结果综合做出判断。对于高度疑似肺栓塞,病情极为严重,且无明显禁忌证的患者,可尽早开始抗凝治疗。
本研究报道中的肺栓塞患者以上腹部痛为首发或主要症状,综合分析可能与栓塞面积较大且多处支气管动脉受累,导致右心衰竭、肝淤血,肝包膜扩张刺激横膈,从而引起上腹疼痛[1]。除腹痛外,本院收治的患者在治疗过程中发现血淀粉酶明显升高,因此被误诊为急性胰腺炎。导致高淀粉酶血症的病因非常复杂,虽多数由急性胰腺炎所致,但有少数与胰腺炎并无关联,包括:(1)急腹症:如肠梗阻、胃十二指肠溃疡穿孔、肠系膜梗塞和异位妊娠破裂等均可导致血清淀粉酶升高。(2)非胰源性消化系统疾病:如胆囊炎、胆石症、胃肠炎、活动性肝炎、肝硬化和胰胆管造影术后常发生高淀粉酶血症。(3)巨淀粉酶血症:无特异临床表现,且常可出现不同程度的腹痛,但多为慢性。(4)恶性肿瘤:许多恶性肿瘤异位合成可引起血清淀粉酶升高,最常见的是卵巢癌、肺癌及多发性骨髓瘤。该患者腹部CT检查未见腹腔肿瘤、胰腺炎等消化系统疾病影像学表现。患者发病时有一过性神志不清、血压下降,结合胸部CT的表现,考虑为大面积肺栓塞。患者血流动力学不稳定,伴低氧血症,可导致全身各个脏器缺血缺氧及再灌注损伤。有研究表明血淀粉酶水平与血压间呈较弱的正相关,说明在血淀粉酶的释放过程中,血流动力学因素可能起一定的作用,即某些患者在自主循环恢复后,胰腺可能发生再灌注,大量的淀粉酶冲刷入血,导致部分患者血淀粉酶水平升高[23]。患者右上腹痛合并转氨酶升高,在我院被误诊为胰腺炎伴有肝损伤,但在后续诊治过程中排除了此诊断。根据Tapper等[24]及Lightsey和Rockey [25]提出诊断标准,患者病程中有休克存在,血清转氨酶显著增高达正常值上限的20倍以上,且后续治疗中缓慢下降,并排除了病毒性肝炎、中毒性肝炎及药物性肝炎的可能,符合缺血性肝炎的诊断。患者发生缺血性肝炎,分析机制如下:一方面是因为休克导致患者肝脏组织灌注不足、缺血缺氧,从而引起肝细胞损伤[26];另一方面因急性肺栓塞导致右心功能不全,引起静脉回流障碍,导致肝淤血的发生,影响了肝脏的正常血流运行,使肝细胞发生缺血性损伤。患者淀粉酶和转氨酶的升高,均与其急性肺栓塞导致的缺氧及循环衰竭有关,临床上如有仅凭患者腹痛症状再加上一两项实验室检测结果的异常便完成诊断,而不考虑患者全身状况,极易造成误诊、漏诊的发生。
因此,临床上如遇到一些难以解释的腹痛,特别是有肺栓塞易发因素,要高度警惕急性肺栓塞的存在,不要轻易地根据一两个异常检测结果下诊断,应结合患者病史、临床表现即各项检查结果进行综合分析,鉴别相关疾病,以做出正确的诊断,减少误诊,指导治疗,改善预后。
所有作者均声明不存在利益冲突





















