
阴茎海绵体纤维肉瘤极其罕见,现对1例该病患者的诊治情况进行总结,因涉及患者个人的社会心理因素,仅行阴茎海绵体肿块切除术,术后虽给予辅助化疗,但仍很快复发、远处转移,预后差。
版权归中华医学会所有。
未经授权,不得转载、摘编本刊文章,不得使用本刊的版式设计。
除非特别声明,本刊刊出的所有文章不代表中华医学会和本刊编委会的观点。
阴茎部位最常见的恶性肿瘤是阴茎鳞癌[1],而纤维肉瘤是一种起源于纤维结缔组织的恶性肿瘤,广泛分布于头、颈、躯干、四肢及内脏,发生于阴茎海绵体者极罕见,约占阴茎肿瘤的0.3%[2]。近期我们收治1例因会阴部胀痛不适就诊的阴茎海绵体纤维肉瘤患者,现将诊治情况报道如下。
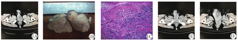
患者 男,51岁,汉族,农民。因会阴部胀痛不适1个月余入院,排尿稍费力,疼痛与排尿无关,自行口服抗生素治疗无效。既往身体状况良好,有饮酒和吸烟史,无家族遗传性疾病史。体检:心肺和腹部未见明显异常,双下肢肌力正常。阴茎疲软,外形正常,局部皮肤无红肿,阴茎根部偏左侧可触及一6.0 cm × 3.0 cm肿块,质硬,边界不清,触痛明显,活动度差,双侧睾丸、附睾正常,双侧腹股沟未触及明显肿大淋巴结。直肠指检:直肠前壁可触及硬性肿块,前列腺轻度增生,肛门括约肌收缩力可,退出指套未染血。彩超:会阴深部实性包块,形态欠规则,内可见血流信号。盆腔CT:阴茎根部海绵体偏左侧平扫可见一3.2 cm × 7.2 cm低密度影,边界尚清晰,密度均匀,CT值33 HU,增强见病灶边缘及内部不均匀强化,CT值40~48 HU,不排除肿瘤病变,尿道受压移位(图1A)。尿道膀胱镜检查见尿道膀胱黏膜正常,阴茎部尿道近端稍受压。诊断为阴茎海绵体肉瘤,拟行阴茎全切术,患者难以接受,遂行阴茎海绵体肿块切除术,术中见阴茎海绵体根部左侧一7 cm × 3 cm质硬肿块,与尿道海绵体及周围粘连,钝锐性分离肿块并切除,阴茎海绵体缝扎止血。大体标本见其表面呈鱼肉样外观(图1B),术后病理示阴茎海绵体梭形细胞肉瘤(图1C),符合中度分化纤维肉瘤。术后1周出院。术后3个月因肿块再发入院,复查CT示阴茎海绵体根部左侧可见一3.5 cm × 9.7 cm低密度影,CT值及强化表现如前(图1D)。考虑肿瘤复发,当前手术难以切除,转入肿瘤科先行化疗(多西他赛联合吉西他滨方案)。术后5个月复查CT示肿块13.5 cm × 4.7 cm(图1E),侵犯双侧闭孔内肌及盆底筋膜,耻骨及坐骨骨质破坏,考虑骨转移,盆腔淋巴结多发转移,双下肺及肝内多发结节,考虑转移瘤,手术无法切除,化疗效果不理想,建议患者到上级医院继续治疗,患者拒绝并回当地医院支持治疗,失访。


注:1A:增强CT示阴茎根部海绵体偏左侧可见一3.2 cm × 7.2 cm低密度影,病灶边界尚清晰,内部不均匀强化,尿道受压移位;1B:术后标本剖面;1C:病理切片可见大量梭形细胞,符合中度分化纤维肉瘤(HE × 100);1D:术后3个月复查CT见阴茎海绵体根部纤维肉瘤复发;1E:术后5个月复查CT见阴茎海绵体根部复发的纤维肉瘤逐渐增大
阴茎纤维肉瘤临床少见,而阴茎海绵体纤维肉瘤更罕见。阴茎纤维肉瘤可分为表浅纤维肉瘤和深部纤维肉瘤两种类型。前者发生于包皮的支持结构,多位于阴茎体部和头部,呈低度恶性,局部较少浸润至深部组织,远处转移少见;而后者则发生于海绵体的支持结构,多位于海绵体内,呈高度恶性,常浸润至深部组织,易发生远处转移[3]。因有Buck筋膜这一天然屏障,可以阻止阴茎表浅肉瘤向深部浸润,从而较少发生远处转移;而深部纤维肉瘤因位于海绵体内,常发生血行转移。区域淋巴结转移很少见[4]。
阴茎海绵体纤维肉瘤起源于海绵体的支持结构,属深部肉瘤,发病年龄从新生儿到80岁都有报道,临床表现为阴茎皮下肿块、阴茎疼痛、阴茎增大、阴茎异常勃起和尿道阻塞等。本例的临床表现主要为阴茎皮下肿块及阴茎疼痛。实验室检查各项指标往往正常,无明显特异性。影像学检查包括彩超、CT及MRI等,临床上常需与阴茎硬结症相鉴别。阴茎海绵体纤维肉瘤超声显示形态多不规则,血流异常丰富;而阴茎硬结症内通常无或较少血流信号,常伴有钙化斑块[5]。CT及MRI较少用于阴茎硬结症的检查,CT可显示尚未钙化的斑块[6],MRI可识别仅有纤维组织时的早期斑块病变,病变常与白膜相连,往往仅局限于白膜。而阴茎海绵体纤维肉瘤CT上常无斑块出现,平扫主要表现为低密度病灶,增强后病灶边缘及内部不均匀强化。阴茎硬结症的MRI表现为肿块常与白膜相连,从而导致阴茎弯曲,而阴茎肉瘤既可以与白膜相连,也可独立存在于海绵体中,肿块边缘常不规则,T1加权成像示高密度,T2加权成像示低密度,周围有卫星灶,中心低密度,边缘加强[7]。本例患者未能行MRI检查。本病确诊需依赖病理学检查,可术前行肿块穿刺活检或术中切开冰冻切片。
阴茎海绵体纤维肉瘤的治疗包括手术切除、化疗及放疗。因阴茎海绵体纤维肉瘤恶性程度高,易发生血行转移,宜采取阴茎全切术,因区域淋巴结转移很少见,除非可触及肿大淋巴结,否则不推荐行区域淋巴结清扫。1932年Evans[5]报道了首例阴茎海绵体纤维肉瘤的手术治疗,术中切除了肿瘤及部分阴茎海绵体,保留了尿道海绵体,术后患者排尿正常,随访情况不详。朱选文等[6]报道了2例阴茎海绵体肉瘤患者,均行阴茎全切术,术后病理证实1例为阴茎海绵体上皮样血管内皮肉瘤,术后3个月出现肺转移,8个月后死亡;1侧为阴茎海绵体上皮样肉瘤,术后半个月出现脑转移,1个月后死亡。目前关于阴茎纤维肉瘤放化疗的报道较少。化疗和放疗多用于辅助性和姑息性治疗。Taib等[7]发现经过6个周期的化疗(长春新碱、多柔比星、环磷酰胺,VAC方案)后,阴茎纤维肉瘤可部分缩小,认为化疗可减少手术切除范围及降低术后复发率。放疗已被用于不能手术切除的局限性肿瘤的终末控制和术后切缘阳性患者[8]。影响阴茎纤维肉瘤预后的因素有肿瘤大小、位置、是否完全切除、是否出现转移以及是否表达视网膜母细胞瘤基因等[9]。
综上所述,阴茎海绵体纤维肉瘤罕见,属深部肉瘤,确诊依靠病理学检查,建议行阴茎全切术,化疗和放疗多用于辅助性及姑息性治疗,肿瘤易复发和远处转移,预后差。
所有作者均声明不存在利益冲突





















