
• 图片病例 •
青光眼早期视网膜神经纤维层缺损的判定
国际眼科纵览, 2023,47(3)
: 275-275. DOI: 10.3760/cma.j.issn.1673-5803.2023.03.020
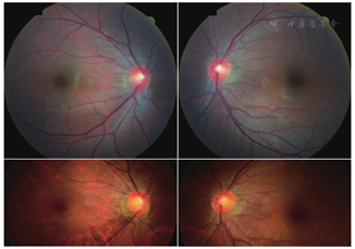
女性,46岁。2006年(34岁)体检时眼压21~22 mmHg,眼底像见上方两图(左图为右眼,右图为左眼)。双眼对比发现,右眼颞下方视网膜神经纤维层较左眼同部位明显变薄,颞下方盘沿稍窄;左眼视网膜神经纤维层及盘沿均正常。下方两图为2018年(46岁)复查的眼底像,可见右眼颞下方视网膜神经纤维层缺损明显加重及盘沿变窄,左眼视杯较既往轻度扩大,但视网膜神经纤维层尚可。
引用本文:
李建军.
青光眼早期视网膜神经纤维层缺损的判定
[J]
. 国际眼科纵览, 2023, 47(3)
: 275-275.
DOI: 10.3760/cma.j.issn.1673-5803.2023.03.020.
扫 描 看 全 文
正文
作者信息
基金 0 关键词 0
English Abstract
评论
阅读 0 评论 0
相关资源
引用 | 论文 | 视频
版权归中华医学会所有。
未经授权,不得转载、摘编本刊文章,不得使用本刊的版式设计。
除非特别声明,本刊刊出的所有文章不代表中华医学会和本刊编委会的观点。
女性,46岁。2006年(34岁)体检时眼压21~22 mmHg,眼底像见上方两图(左图为右眼,右图为左眼)。双眼对比发现,右眼颞下方视网膜神经纤维层较左眼同部位明显变薄,颞下方盘沿稍窄;左眼视网膜神经纤维层及盘沿均正常。下方两图为2018年(46岁)复查的眼底像,可见右眼颞下方视网膜神经纤维层缺损明显加重及盘沿变窄,左眼视杯较既往轻度扩大,但视网膜神经纤维层尚可。

点击查看大图

点击查看大图





















