
版权归中华医学会所有。
未经授权,不得转载、摘编本刊文章,不得使用本刊的版式设计。
除非特别声明,本刊刊出的所有文章不代表中华医学会和本刊编委会的观点。
后部可逆性脑病综合征(posterior reversible encephalopathy syndrome, PRES)是一种临床-神经放射学疾病综合征,最早由Hinchey等[1]于1996年提出,多见于年轻女性。PRES的病因多种多样,包括高血压、子痫、药物使用(免疫抑制剂、化疗药和细胞毒性药物)、慢性肾功能不全、感染等,但其命名和发病机制尚存在争论。PRES的主要临床特征是迅速进展的血压增高、头痛、头晕、恶心呕吐、癫痫发作、视觉障碍(视力模糊、复视、皮质盲等)、意识障碍以及精神行为异常,神经影像学主要表现为对称性大脑后部(以顶、枕叶为主)白质可逆性水肿。通过控制血压、止痉、停用或减量可疑药物、积极治疗原发病等,其临床症状和神经影像学改变可完全恢复。现报告2016年10月至2017年10月期间复旦大学附属上海市第五人民医院经临床和影像学确诊的5例PRES患者,并回顾总结PRES的相关文献。
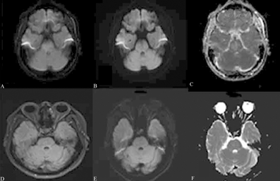
病例1:男性,37岁,因"头晕伴复视3 d"入院,既往有高血压史5年余,最高170/100 mmHg(1 mmHg=0.133 kPa),未规律治疗。有烟酒史20年。入院查体:血压200/130 mmHg,神志清楚,语言流利,双侧瞳孔等大等圆,直径2.5 mm,对光反射灵敏,双眼左视时可见水平及向上旋转性粗大震颤,左侧上睑稍无力,左眼内收受限1 mm,左眼外展受限1 mm,右眼外展受限1 mm,四肢肌力正常,脑膜刺激征阴性,病理反射未引出。常规血液化验和脑脊液检查均未见异常。头颅MRI示脑干右侧信号异常,T1等信号,T2高信号,液体衰减反转恢复序列(fluid attenuated inversion recovery, FLAIR)为高信号,弥散加权成像(diffusion-weighted imaging, DWI)为低信号,表观弥散系数图(apparent diffusion coefficient, ADC)为稍高信号(图1)。考虑恶性高血压引起PRES,给予控制血压、营养神经、改善循环等治疗后,血压控制良好,头晕和复视症状好转出院。1个月后复查头颅MRI示病灶完全消失。


患者男性,37岁,因"头晕伴复视3 d"入院,治疗前头颅MRI示脑干右侧散在小斑片状异常信号,液体衰减反转恢复序列呈高信号(A),弥散加权成像呈低信号(B),表观弥散系数图呈稍高信号(C);出院1个月后复查MRI示病灶完全消失(D~F)
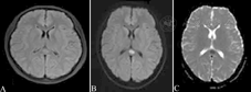
病例2:女性,39岁,因"胃癌术后4年余,头痛1周,右眼视力下降2 d"入院。既往无高血压史。发病前使用靶向药物阿帕替尼治疗6个月余。入院查体:血压160/110 mmHg,神志清楚,语言流利,双侧瞳孔等大等圆,直径2.5 mm,对光反射灵敏,眼底正常,右眼视力下降,四肢肌力正常,脑膜刺激征阴性,病理反射未引出。常规血液化验未见明显异常。头颅MRI示双侧顶枕叶信号异常,右侧明显,T1为等信号,T2及FLAIR高信号、DWI及ADC稍高信号(图2)。考虑化疗药物阿帕替尼引起PRES,停用阿帕替尼并控制血压后,头痛及视力下降症状好转出院。


患者女性,39岁,因"胃癌术后4年余,头痛1周,右眼视力下降2 d"入院,头颅MRI示双侧顶枕叶条状及片状异常信号,右侧明显,液体衰减反转恢复序列呈高信号(A),弥散加权成像呈稍高信号(B),表观弥散系数图呈稍高信号(C)
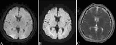
病例3:女性,18岁,因"G1P0孕40周"入院。产后大出血,行子宫动脉栓塞术2 h后出现皮质盲、癫痫发作和烦躁不安,查体:血压162/102 mmHg,嗜睡状态,双侧瞳孔等大等圆,直径2.5 mm,对光反射灵敏,眼底正常,双目可觉轻微光感,四肢肌力正常,脑膜刺激征阴性,病理反射未引出。头颅MRI示双侧顶枕叶片样信号异常,T1低信号、T2及FLAIR高信号、DWI低信号、ADC稍高信号(图3)。考虑注射对比剂引起PRES,给予脱水降颅压、控制血压、止痫、预防脑出血治疗后,未再发抽搐,视力恢复出院。


患者女性,18岁,因"G1P0孕40周"入院,产后大出血,行子宫动脉栓塞术后出现双目失明和癫痫发作,头颅MRI示双侧顶枕叶片样异常信号,液体衰减反转恢复序列呈高信号(A),弥散加权成像呈低信号(B),表观弥散系数图呈稍高信号(C)
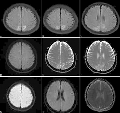
病例4:女性,18岁,因"G1P0孕40周,产程中出现四肢抽搐1 d"急诊就诊,入院查体:血压120/80 mmHg,嗜睡状态,双侧瞳孔等大等圆,直径2.5 mm,对光反射灵敏,眼底正常,病理反射未引出。头颅MRI示双侧顶枕区斑片状信号异常,T1低信号、T2及FLAIR高信号、DWI稍低信号、ADC高信号(图4)。考虑妊娠引起PRES,急行剖宫产后意识恢复,未再发抽搐。治愈出院。1个月后外院复查CT示双侧顶枕区病灶完全消失。1年后我院复查MRI示双侧顶枕区病灶完全消失(图4)。


患者女性,18岁,因"G1P0孕40周,产程中出现四肢抽搐1 d"入院,头颅MRI示双侧顶枕叶斑片状异常信号,液体衰减反转恢复序列呈高信号(A~C),弥散加权成像呈稍低信号(D),表观弥散系数图呈高信号(E~F);出院1年后复查MRI示病灶完全消失(G~I)
病例5:女性,20岁,因"发热伴头痛1 d"入院。入院查体:血压108/63 mmHg,神志清楚,双侧瞳孔等大等圆,直径2.5 mm,对光反射灵敏,四肢肌力正常,脑膜刺激征阳性(颈部抵抗明显),病理反射未引出。常规检查:白细胞13.93×109/L,中性粒细胞89.9%,C反应蛋白16 mg/L。脑脊液:压力240 mmH2O(1 mmH2O=9.807 Pa),白细胞1 573×106/L,中性粒细胞90.3%,潘氏试验阳性,葡萄糖2.1 mmol/L,蛋白质856 mg/L,氯化物119 mmol/L。头颅MRI示胼胝体压部结节样异常影,T1低信号、T2高信号、FLAIR稍高信号、DWI高信号、ADC低信号(图5)。考虑化脓性脑膜炎引起PRES,给予抗感染、脱水降颅压等对症治疗后治愈出院。


患者女性,20岁,因"发热伴头痛1 d"入院,头颅MRI示胼胝体压部结节状异常信号,液体衰减反转恢复序列呈稍高信号(A),弥散加权成像呈高信号(B),表观弥散系数图呈低信号(C)
表1和表2分别对5例患者的基本临床资料和MRI表现进行了总结。

5例后部可逆性脑病综合征的临床资料
5例后部可逆性脑病综合征的临床资料
| 病例号 | 性别 | 年龄(岁) | 基础疾病 | 可能病因 | 临床表现 | 治疗 | 预后 |
|---|---|---|---|---|---|---|---|
| 1 | 男性 | 37 | 高血压病 | 恶性高血压病 | 头晕、复视,血压200/130 mmHga | 控制血压 | 良好 |
| 2 | 女性 | 39 | 胃癌 | 化疗药阿帕替尼 | 头痛、右眼视力下降,血压160/110 mmHg | 停用阿帕替尼 | 良好 |
| 3 | 女性 | 18 | 产后大出血 | 子宫动脉栓塞术 | 皮质盲、癫痫发作、烦躁不安,血压162/102 mmHg | 止痉,降压 | 良好 |
| 4 | 女性 | 18 | 无 | 妊娠 | 癫痫发作,意识不清,血压120/80 mmHg | 急行剖宫产 | 良好 |
| 5 | 女性 | 20 | 化脓性脑膜炎 | 化脓性脑膜炎 | 发热、头痛、血压108/63 mmHg,脑膜刺激征阳性 | 抗感染、降颅压 | 良好 |
a 1 mmHg=0.133 kPa

5例后部可逆性脑病综合征的头颅MRI表现
5例后部可逆性脑病综合征的头颅MRI表现
| 病例号 | 部位 | T1加权成像 | T2加权成像 | FLAIR | DWI | ADC |
|---|---|---|---|---|---|---|
| 1 | 脑干右侧 | 等信号 | 高信号 | 高信号 | 低信号 | 稍高信号 |
| 2 | 双侧顶枕叶 | 等信号 | 高信号 | 高信号 | 稍高信号 | 稍高信号 |
| 3 | 双侧顶枕叶 | 低信号 | 高信号 | 高信号 | 低信号 | 稍高信号 |
| 4 | 双侧顶枕叶 | 低信号 | 高信号 | 高信号 | 稍低信号 | 高信号 |
| 5 | 胼胝体 | 低信号 | 高信号 | 稍高信号 | 高信号 | 低信号 |
FLAIR:液体衰减反转恢复序列:DWI:弥散加权成像;ADC:表观弥散系数图
PRES最早由Hinchey等[1]于1996年提出,最初命名为可逆性后部白质脑病综合征(reversible posterior leukoencephalopathy syndrome, RPLS)。随着临床医生对该综合征认识的不断提高以及神经影像学的发展,发现病变除典型后部双侧对称白质受累外,还可累及大脑灰质[2,3],因此该命名逐渐被PRSE替代。PRES的病因众多,以恶性高血压或高血压脑病最常见[4];对于血压正常的患者,可能与应用免疫抑制剂、化疗药和细胞毒性药物(环孢素A、环磷酰胺、硫唑嘌呤、他克莫司、顺铂、干扰素、阿帕替尼等)[5,6,7]以及慢性肾功能不全、妊娠、严重感染[8,9]等有关,此外还有一些其他少见原因。本研究报道的5例患者病因分别为高血压急症、胃癌术后使用化疗药、妊娠、注射对比剂以及化脓性脑膜炎。
PRES的发病机制尚不明确,可能与脑血管自动调节障碍、血管痉挛和血脑屏障(blood-brain barrier, BBB)完整性破坏有关[10]。一般情况下,脑血管自动调节功能在维持正常脑血流灌注中起着重要作用。然而,这种自动调节作用是有限的,如果血压短期内快速升高超过其调节阈值,就会使小动脉扩张导致脑过度灌注,血管通透性增加,血液成分透过BBB外渗到脑实质内,形成脑水肿[11]。在本组病例中,病例1有高血压史5年且未规律治疗,此次血压急性升高引起PRES与此机制符合。
对于血压不高或轻中度增高的患者,PRES主要是由于免疫抑制剂、化疗药和细胞毒性药物通过造成血管内皮细胞损伤,使其释放内皮素、前列腺素和血栓素A2,导致血管痉挛和BBB进一步破坏,器官灌注减少,局部组织缺氧加重,改变BBB和血管内皮通透性引起血管源性水肿[12,13]。该假说很好地解释了非高血压患者PRES的发病机制。既往曾经报道过阿帕替尼引起PRES的病例[14]。阿帕替尼是一种经口服的小分子血管内皮细胞生长因子受体-2酪氨酸激酶抑制剂,可通过抑制肿瘤血管生成抑制肿瘤生长。血管内皮生长因子具有增强微静脉和小静脉通透性的作用,可促进血管内皮分裂并与新生血管形成有关。高血压是阿帕替尼最常见的不良反应,且多为1~2级高血压[15]。病例2既往无高血压史,阿帕替尼治疗6个月后引起PRES并发现血压轻度升高,与此相符合。可能与阿帕替尼通过抑制血管内皮生长因子损伤脑血管内皮、破坏BBB及引起继发性高血压的共同作用有关,停用阿帕替尼后血压恢复正常及症状好转。
对比剂的使用对神经细胞有一定毒性作用。病例3产后大出血行子宫动脉栓塞术期间使用对比剂引起血管内皮细胞损伤及BBB破坏,进一步引起血管源性水肿。病例4发病时处于分娩期,可能与妊娠妇女血管对循环升压物质的敏感性增高、扩血管物质的缺乏、血管内皮功能障碍、高凝状态、免疫机制异常及分娩应激状态等[16]的共同作用有关,紧急给予剖宫产后症状完全消失。感染时细菌产生的内毒素和外毒素可引起全身炎症反应,促炎性细胞因子释放可导致血管内皮损伤[17]。病例5因中枢神经系统感染入院,化脓性脑膜炎本身可引起BBB受损,加之促炎性细胞因子释放导致的内皮细胞损伤及脑血管痉挛共同作用,最终导致血管源性脑水肿。
PRES多见于年轻女性,尤其是妊娠和产后妇女[18]。在本组病例中,1例男性,4例女性;病例1主要表现为头晕伴复视,病例2表现为头痛伴视力下降,病例3表现为皮质盲、癫痫发作和意识障碍,病例4表现为癫痫发作伴意识障碍,病例5为头晕伴视力下降(表1)。3例患者均出现视力障碍,与PRES易发生于双侧枕叶有关[19,20]。由于脑后部缺乏交感神经支配,因此缺乏对血压升高的神经反应能力,成为BBB最脆弱的部分,且脑白质结构较为疏松,水肿一旦发生更易集中在后部白质,故病变常见于双侧枕顶叶。此外,PRES还可累及额叶、颞叶、小脑、丘脑、脑干和胼胝体等部位[21,22,23]。大多数影像学改变为可逆性,2周或更长时间后病灶可消失。病例2、病例3和病例4均为双侧顶枕叶受累,符合PRES的典型病变部位。Ollivier等[24]分析了PRES的影像学特点,结果显示CT表现为低密度灶,T1加权成像常为等或低信号,T2加权成像和FLAIR常为高信号,DWI通常显示为低或等信号,而ADC图显示为高信号。MRI是发现PRES病变的最佳方法[13,25],其中以FLAIR对识别皮质和皮质下水肿最为敏感,可早期检出小的局灶异常。DWI和ADC可区分血管源性水肿与细胞源性水肿。细胞毒性水肿时,细胞内水分子弥散降低,因此DWI为高信号,ADC为低信号;而血管源性水肿刚好相反,DWI表现为低或等信号,ADC表现为高信号。不过,并非所有PRES患者都有典型的影像学特点[26]。有些病灶在DWI上可表现为稍高信号,但强度不及急性梗死灶,可能与T2加权效应的影响有关,例如病例2和病例5;在ADC图则表现为高或正常信号,有时甚至出现ADC低信号,可能是PRES与脑缺血共存的影像学改变,与病程较长且治疗不及时导致病理改变逐渐向细胞毒性水肿进展有关,例如病例5。病例1、病例3和病例4均符合典型的影像学特点(表2),且病例1和病例4均在恢复期复查MRI显示病灶完全消失,符合PRES的可逆性特点。
PRES的诊断主要依据特征性的临床表现和典型的神经影像学特征,经过积极有效治疗后1~2周内症状和体征消失,复查神经影像学恢复正常。由于其临床和影像学改变的可逆性,一经诊断必须积极治疗,经控制血压、止痉、停用或减量可疑药物、积极治疗原发病[27]等,临床症状和神经影像学改变可完全恢复,一般不遗留神经系统后遗症[28]。不过,如果治疗不及时,病理改变逐渐向细胞毒性水肿进展或合并脑出血等并发症,可导致持久脑功能障碍甚至死亡[29]。这要求临床医生对PRES要有更加全面的认识,及时诊断和正确干预,避免延误治疗时机从而造成不可逆性损害。
无





















