
版权归中华医学会所有。
未经授权,不得转载、摘编本刊文章,不得使用本刊的版式设计。
除非特别声明,本刊刊出的所有文章不代表中华医学会和本刊编委会的观点。
脑静脉和静脉窦血栓形成(Cerebral venous and sinus thrombosis, CVST)是一类少见的缺血性脑血管病,约占所有脑血管病的0.5%~1%[1]。该病可发生于任何年龄段,但以年轻人群(<45岁)、孕龄女性和儿童为主[2]。成年人CVST的发病率约为1.3/10万[3],女性CVST发病率约为男性的3倍[4,5]。产褥期CVST发生率较高,可达10/10万,约占所有CVST的5%~20%[5,6,7]。CVST的病因以及危险因素范围广泛,涉及手术、遗传、肿瘤、感染等诸多方面[8,9]。其发病机制与多种原因导致的血流动力学异常、血管壁异常以及血液高凝状态相关[10]。其中,抗磷脂综合征(antiphospholipid syndrome, APS)被证实是引起高凝状态的重要原因之一[11]。CVST的常见症状包括头痛、癫痫发作、意识改变等,常见体征包括视盘水肿和局灶神经功能缺损等[12,13]。影像学检查是CVST重要的诊断手段[14],主要包括CT静脉造影(computed tomography venography, CTV)、磁共振静脉造影(computed tomographic venography, MRV)和数字减影血管造影(digital subtraction angiography, DSA)。由于MRV具有无创性,可直接显示血栓累及的范围和程度,因此成为CVST早期诊断、疗效观察和随访的金标准[15,16]。CVST的治疗方法主要包括病因学治疗、血管内治疗以及抗栓治疗,后者包括抗凝和静脉溶栓等[17]。大多数CVST患者预后良好,但重症CVST病死率可高达35%,最主要的死亡原因为具有容积效应的局限性或弥漫性病灶所致小脑幕切迹疝[18]。
深静脉血栓形成(deep vein thrombosis, DVT)是指血液在深静脉内不正常地凝结,使静脉腔完全或不完全阻塞的一种静脉回流障碍性疾病,好发部位为下肢深静脉,尤以左侧常见,8.0%的急性卒中患者首次评估时发现DVT[19]。原发性高凝状态(抗凝血酶缺乏、蛋白C或蛋白S缺乏等)、APS、解剖变异(如May-Thurner综合征)、创伤、手术、长期肢体制动、妊娠或产褥期等均可导致DVT[20]。DVT主要症状为患肢不同程度的疼痛、肿胀和沉重感,皮肤温度升高,活动后症状加重,双下肢相应平面的周径相差0.5 cm以上[21]。May-Thurner综合征也被称为Cockett综合征,又称左侧髂总静脉压迫综合征,解剖表现为右侧髂总动脉横跨左侧髂总静脉之上,腔内或腔外病变引起左侧髂总静脉完全或不完全梗阻而引起的相应症状,是DVT的重要病因[22]。
APS是以血栓形成和(或)病态妊娠为主要临床表现的一种非炎症性自身免疫性疾病,血清抗磷脂抗体是该病的主要自身抗体[23]。抗磷脂抗体导致血栓形成的机制目前尚不清楚,可能与激活血管内皮细胞、活化单核细胞和血小板有关[24]。抗磷脂抗体可通过多种信号通路激活与止血相关的细胞从而诱导血栓形成[11,12]。一项系统评价显示,APS与血栓事件密切相关,APS阳性患者DVT、心肌梗死和卒中的发生率分别为9.5%、11%和13.5%[25]。APS急性期血栓(72 h内的静脉血栓和8~12 h内的动脉血栓)可进行血管内取栓或血管旁路移植术,不能手术者可进行溶栓治疗;慢性期血栓以口服抗凝药为主[26]。
本文回顾了1例CVST合并DVT患者的诊治经过,其病因为APS和May-Thurner综合征共存,同时复习相关文献,期望提高临床医生对该罕见疾病的认识和处理能力。
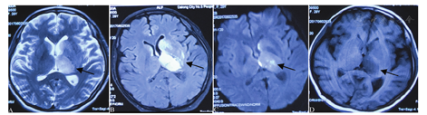
患者女性,28岁,主因"头痛5 d,言语不利、右侧肢体无力2 d,意识不清1 d"于2017年6月3日急诊以"颅内病变"收入首都医科大学宣武医院。现病史:患者5月30日(顺产后第6天,孕期及产程平顺)无明显诱因出现全头持续性胀痛,无恶心呕吐,无肢体乏力,经治疗头痛不能缓解。6月2日凌晨患者出现言语含糊不清、右侧肢体无力,在当地医院就诊,头颅MRI示左侧基底节T2、液体衰减反转恢复序列(fluid-attenuated inversion recovery, FLAIR)、弥散加权成像(diffusion-weighted imaging, DWI)高信号以及T1低信号影,病灶部分强化(图1)。6月3日早晨患者出现意识不清及全面惊厥性癫痫持续状态,表现为四肢僵硬伴牙关紧闭,抽搐持续1 h缓解,但意识仍未恢复,转至首都医科大学宣武医院。既往体健,孕2产2,均为顺产,无吸烟饮酒史。否认传染病、遗传病及类似疾病史。发病前无感染发热史,发病以来饮食较少,留置导尿,体重未见明显减轻。


A~D分别提示左侧基底节T2、液体衰减反转恢复序列(FLAIR)、弥散加权成像(DWI)高信号以及T1低信号影,符合静脉性梗死改变,且位于直窦投影区(黑色箭头)
入院查体:血压120/66 mmHg(1 mmHg=0.133 kPa),浅昏迷,去脑强直,双侧瞳孔等大等圆,直径3 mm,对光反射迟钝,双眼右下象限凝视。双侧头眼反射存在,双侧额纹、鼻唇沟对称。颈抵抗,颌胸距4横指。肌力检查不配合,四肢肌张力增高,下肢显著。四肢腱反射亢进。
诊疗经过:入院当天MRV示左侧颈内静脉、侧窦显影不良,考虑先天发育,直窦未见显影(图2)。6月4日全身麻醉下行DSA,提示双侧大脑内静脉、大脑大静脉、Galen静脉和直窦静脉血栓。给予尿激酶(50万U)静脉接触溶栓及机械取栓,上述血管部分显影(图3)。术后予甘露醇(125 ml,1次/4 h)积极脱水降颅压和低分子肝素钠(克赛;0.4 ml,1次/12 h)皮下注射抗凝治疗。次日凌晨患者出现双侧瞳孔不等大,复查头颅CT提示双侧基底节、双侧丘脑多发异常信号,大脑大静脉池高密度,梗阻性脑积水伴间质性脑水肿(图4A),考虑脑疝形成。予紧急脑室穿刺引流,脑疝不能完全逆转。当日在全身麻醉下行双侧额颞顶部开颅去骨瓣减压,术中颅内压高,同时行双侧颞极清除内减压术。术后复查头颅CT显示颅骨去骨瓣减压术后改变,右侧基底节区脑出血破入右侧侧脑室,脑内多发异常密度,静脉性梗死可能(图4B)。术后(6月9日)复查头颅CTV示:直窦、左侧横窦纤细显影,下矢状窦、大脑内静脉及大脑大静脉显影浅淡,左侧乙状窦、颈静脉较对侧血管细(图5)。


A:左侧颈内静脉、侧窦显影不良,考虑先天发育(白色箭头);B:直窦未见显影(白色箭头)


A:直窦、大脑内静脉和Galen静脉未见显影;B:介入治疗过程;C:术后直窦浅淡显影,Galen静脉显影(白色箭头)


A:6月5日去骨瓣减压术前头颅CT:双侧基底节、双侧丘脑多发异常信号,大脑大静脉池高密度,梗阻性脑积水伴间质性脑水肿。B:术后头颅CT:去骨瓣术后,右侧基底节区出血,脑内多发异常信号,静脉性梗死


直窦、左侧横窦纤细显影,下矢状窦、大脑内静脉及大脑大静脉显影浅淡,左侧乙状窦、颈静脉较对侧血管细(白色箭头)
患者在低分子肝素充分抗凝过程中出现进展性左侧肢体DVT。6月6日下肢静脉超声示:左侧股静脉置管术后周边血栓形成,左侧腘静脉血栓形成(部分型),左侧胫后静脉、腓静脉血栓形成(完全型),左侧小腿皮下水肿。6月17日静脉超声示:左侧髂总静脉、髂内静脉、髂外静脉血栓形成(急性期,完全型)。6月19日静脉超声示:左侧贵要静脉、头静脉、肘正中静脉血栓形成(完全型)。6月23日下肢静脉超声示:右侧髂总动脉位于左侧髂总静脉前方,髂总静脉近段内径相对纤细,考虑左侧髂总静脉受压(图6),诊断为May-Thurner综合征。易栓症筛查:抗心磷脂抗体IgA/G/M:73.0 RU/ml,抗β2-糖蛋白1抗体(β2-glycoprotein antibody-1, anti-β2GPI)IgA/G/M:68.0 RU/ml。经多学科会诊明确为APS,并给予甲泼尼龙静脉滴注(40 mg,1次/12 h)联合羟基氯喹(0.2 g,2次/d)口服治疗。6月20日患者颅内压明显降低,双侧颞叶去骨瓣处明显内陷。6月24日予以办理出院手续回当地继续治疗。7月5日回访患者已顺利脱机,四肢可少量活动。


左侧髂总静脉管腔内充填偏低回声,右侧髂总动脉位于左侧髂总静脉前方,髂总静脉近段内径相对纤细(4.7 mm),考虑左侧髂总静脉受压
RCIA:右侧髂总动脉;RCIV:右侧髂总静脉;LCIV:左侧髂总静脉
本例患者以产褥期出现急性头痛、快速进展意识障碍等恶性高颅压和脑疝为主要临床表现,经DSA证实严重CVST,血栓累及双侧大脑内静脉、大脑大静脉、Galan静脉和直窦。CVST为少见的缺血性脑血管病,病因复杂,常与血液高凝状态有关。围产期女性为颅内静脉系统血栓形成的高危因素[2]。临床表现因静脉窦闭塞程度、血栓形成速度、受累静脉部位和范围以及侧支循环的建立情况等因素而异,常表现为头痛头晕、恶心呕吐、癫痫发作、意识和精神障碍、视盘水肿、脑膜刺激征等[14]。
CVST以上矢状窦、横窦和乙状窦血栓常见,直窦血栓相对少见[2]。后者病因多为非炎性,病情进展快,迅速累及大脑大静脉和基底静脉,导致小脑、脑干、丘脑、基底节等深部结构受损,主要表现为迅速出现的意识障碍、癫痫发作和脑疝形成等,常很快进入深昏迷、去大脑强直、去皮质状态甚至死亡[2]。本例患者血栓累及双侧大脑内静脉、大脑大静脉、Galan静脉和直窦,从发病到昏迷4 d,发病到脑疝形成6 d,说明疾病发展迅速而危重,符合直窦血栓形成特点。经过尿激酶静脉接触溶栓后再行机械取栓,患者直窦及直窦引流静脉显影。然而,术后高强度抗凝无效,脑水肿仍迅速进展,并出现脑疝,最后经脑室引流术和双侧额颞顶部开颅去骨瓣减压及颞极清除内减压术后挽救生命。
虽经高强度抗凝治疗,患者仍然合并出现进展性下肢DVT。DVT也是神经重症脑血管病患者常见的并发症。以往研究认为,左下肢DVT比右侧多见。本例患者左下肢出现进展型血栓形成,经超声证实存在May-Thurner综合征。该综合征是指由于右侧髂总动脉行走于左侧髂总静脉前方,压迫左侧髂总静脉,导致左下肢静脉回流缓慢,血栓形成风险增高。此处亦是骶骨峡或第5腰椎最前凸的部位,左侧髂总静脉受右侧髂总动脉与骶骨峡或第5腰椎的共同压迫,导致左下肢静脉及盆腔静脉回流障碍等症状[27]。虽然诊断May-Thurner综合征的金标准是CTA或DSA[28],但彩色多普勒超声可清晰显示左侧髂总静脉的受压改变、血流速度增快以及受压远段髂总静脉扩张和血流速度降低,因此在May-Thurner综合征的诊断中具有重要意义[29]。本例患者左下肢DVT在抗凝治疗情况上持续进展,从腘静脉一直蔓延至髂总静脉,部分归咎于May-Thurner综合征的结构异常,临床应引起重视。对于髂总静脉以下大范围进展型DVT,需要警惕May-Thurner综合征的可能。
本例患者在抗凝情况下CVST和DVT并存,经易栓症筛查确诊APS。后者是一种以反复动静脉血栓形成、习惯性流产和血小板减少为主要特征的系统性自身免疫病。患者血液中可出现高滴度抗磷脂抗体,包括抗心磷脂抗体(anti-cardiolipin antibodies, ACA)、狼疮抗凝物以及anti-β2GPI[10]。ACA作为APS的主要诊断指标之一,已被广泛应用于临床。β2GPI是一种天然抗凝物,ACA通过β2GPI并破坏其抗凝作用导致APS。最新研究表明,β2GPI与带负电荷的磷脂结合后产生anti-β2GPI,直接参与APS诱发血栓形成的机制,且ACA借助β2GPI与磷脂结合。anti-β2GPI和ACA两者同时阳性时,可能更易导致血栓事件[30,31]。APS患者最常见的临床表现为动脉或(静脉)血栓形成,其中以静脉血栓形成最为多见。DVT最常见的部位是上肢或下肢深静脉。APS的治疗主要包括对症处理、防治血栓和避免妊娠失败。在防治血栓形成方面,主要包括急性期血栓形成干预治疗(包括血管内干预、溶栓或抗凝治疗等)以及慢性期预防血栓发生的治疗(包括抗凝、抗血小板聚集,必要时联合激素或免疫抑制剂进行免疫调节治疗)[32]。APS伴发的血栓事件,除急性期处理之外,预防复发同样重要。欧洲指南推荐,对于具有高危易栓倾向的患者,静脉血栓事件后建议长时间抗凝,甚至终生抗凝[33]。有研究表明,丙种免疫球蛋白联合羟氯喹可用于APS的治疗[34]。
本例患者产褥期出现严重静脉系统血栓,CVST与DVT同期发生,考虑与三方面的因素有关。首先,妊娠和分娩是CVST的独立危险因素,辅助生育技术和围生期失血等导致孕产妇体内激素水平剧烈变化,血液黏滞度升高,可促发血栓形成导致CVST[35]。其次,患者合并APS,ACA超过正常值上限5倍,anti-β2GPI超过正常上限3倍,而两者同时阳性时易栓倾向性更强,更容易出现血栓事件。Atanassova等[36]认为,ACA和anti-β2GPI滴度强阳性即需高强度抗凝并联合抗血小板治疗。最后,超声检查发现患者存在左侧May-Thurner综合征,左侧总髂静脉是左下肢静脉的最后流出道,如果出现严重狭窄或闭塞,必将成为DVT的病因。对于合并May-Thurner综合征的DVT患者,单纯行介入取栓或溶栓往往效果不佳,也不适合放置滤栓器,应首选髂总静脉扩张成形术[37]。但因本例患者病情危重,无法进行髂总静脉扩张成形术。鉴于以上3种情况,且患者部分风湿免疫指标和炎症指标存在异常,因此在强化抗凝的同时予以糖皮质激素静脉滴注,同时配合服用免疫抑制药羟氯喹,用药2 d后患者脑水肿和肢体肿胀明显缓解。患者出院后回当地医院监护病房继续治疗,2周后顺利拔除气管插管并转入普通病房。
综上所述,CVST合并DVT的患者应积极寻找易栓因素并及时干预,对于合并APS的静脉血栓形成患者,需要加强抗凝治疗,必要时加用糖皮质激素和免疫抑制剂,对于合并May-Thurner综合征的患者应避免病变侧穿刺置管和制动,必要时可考虑髂总静脉扩张成形术治疗。
无





















