
版权归中华医学会所有。
未经授权,不得转载、摘编本刊文章,不得使用本刊的版式设计。
除非特别声明,本刊刊出的所有文章不代表中华医学会和本刊编委会的观点。
Wallenberg综合征又称延髓外侧综合征,是各种原因引起的延髓外侧神经核团、传导束或结构受累的一组临床综合征,主要见于小脑后下动脉(posterior inferior cerebellar artery, PICA)、椎动脉或其分支病变引起的延髓外侧区缺血性卒中[1,2,3]。由于椎基底动脉系统变异较多,使其临床表现复杂多变[3,4]。临床上完全具备典型表现的患者并不多,有些患者仅有其中几项甚至1项表现。提高对Wallenberg综合征各种临床表现的认识,掌握其解剖学机制特别是血管机制,有助于早期诊断和准确评估预后。现报道1例表现为双侧肢体共济失调的非典型Wallenberg综合征患者,并结合文献分析其可能的机制。
患者男性,78岁,因"突发行走不稳7 h,加重5 h"就诊。患者于活动中突发站立、行走不稳,表现为向左侧偏斜,迅速加重,同时伴言语不清及恶心、呕吐。就诊时由轮椅推进诊室。发病后无头痛,无视物旋转感,无意识障碍、饮水呛咳及吞咽困难。否认病前外伤史。既往史及个人史:入院前3个月曾因"肢体不自主震颤2 d"住院,口服"美多芭",治疗2个月后症状消失,当时未予明确诊断;否认糖尿病、高血压、冠心病、心律失常等病史。饮酒50余年,3两/d,入院时已戒酒3个月,平素无明确急、慢性酒精中毒表现。否认吸烟史及有毒物质接触史。家族史:否认家族性遗传病、精神病或类似病史。体格检查:生命体征平稳,血压130/75 mmHg(1 mmHg=0.133 kPa),心脏听诊心律齐,各瓣膜区听诊未闻及异常。神经系统检查:意识清楚,言语含糊,语速缓慢似吟诗;双侧瞳孔等大、正圆,直径3.0 mm,直、间接对光反射灵敏;双眼球各方向运动尚充分,无复视,向右侧注视时可见粗大水平震颤;双侧面部痛、触觉对称存在,双侧额部出汗无异常;面部对称,伸舌居正,悬雍垂居中,双侧软腭上抬对称有力;四肢肌力5级,肌张力正常;双侧指鼻试验、跟-膝-胫试验均欠稳准,左侧为重,睁闭眼站立明显摇晃而不能站立,未见不自主运动;四肢痛、触觉正常,关节音叉振动觉、运动觉对称存在;四肢腱反射对称存在,巴彬斯基征阴性。美国国立卫生研究院卒中量表评分3分。认知功能检查正常。辅助检查:血常规示血红蛋白113 g/L;血脂示低密度脂蛋白胆固醇3.29 mmol/L;入院时随机血糖10.05 mmol/L,次日查空腹血糖5.03 mmol/L、糖化血红蛋白6.7%;住院期间3次测量餐后2 h血糖分别为7.56 mmol/L、12.97 mmol/L和10.88 mmol/L;高半胱氨酸15.61 μmol/L;其余血液化验未见异常。心电图和心脏彩超均未见明显异常。颈部血管彩超示右侧椎动脉V2段未探及血流信号,不除外闭塞;左侧颈内动脉起始处(C1段)等回声斑块形成伴中度狭窄(50%~69%)。经颅多普勒超声示双侧椎动脉血流速度减慢。头颅CT示多发性腔隙性脑梗死。头颅MRI示左侧小脑半球点状及延髓背外侧点条状梗死(图1),右侧侧脑室枕角斑片状脱髓鞘改变。磁共振血管造影示右侧椎动脉纤细,双侧大脑后动脉局部走行纤细(图2)。头颈联合CT血管造影示双侧大脑后动脉P1段局限性轻度狭窄;右侧椎动脉纤细(考虑为发育不全),起始部(V1段)可见钙化斑块伴轻度狭窄;右侧颈总动脉起始处、左侧颈总动脉分叉处可见钙化斑块伴轻度狭窄;余颅内外较大动脉形态及走行未见异常,对比剂充盈良好,未见明显充盈缺损(图2)。根据上述头部影像学检查所见,并结合患者突发起病形式,初步诊断:急性脑梗死(左侧小脑半球及延髓背外侧);脑白质脱髓鞘改变;多发颅内外动脉粥样硬化性狭窄及斑块形成;血脂、血糖异常;高同型半胱氨酸血症;轻度贫血。


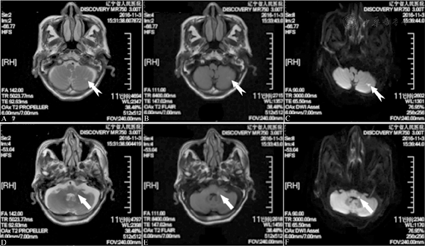
T2加权成像(A)和液体衰减反转恢复序列(B)可见左侧小脑半球存在点状高信号,弥散加权成像(C)呈明显高信号;T2加权成像(D)和液体衰减反转恢复序列(E)疑见左侧延髓背外侧点条状高信号,弥散加权成像(F)呈明显高信号


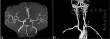
A:磁共振血管造影示右侧椎动脉纤细,双侧大脑后动脉局部走行纤细。B:头颈联合CT血管造影示双侧大脑后动脉P1段局部轻度狭窄;右侧椎动脉纤细,起始部(V1段)可见钙化斑块伴轻度狭窄;右侧颈总动脉起始处、左侧颈总动脉分叉处可见钙化斑块伴轻度狭窄
治疗经过:入院后予抗血小板药、调节血脂稳定斑块、改善脑循环等治疗,患者恶心、呕吐症状很快缓解,共济失调症状也明显改善,10 d后出院。出院时患者在搀扶下能够行走。半年后随访显示患者恢复至能独立行走,但仍遗留行走不稳、轻度四肢协调运动差及轻度言语障碍。
经典的Wallenberg综合征主要由PICA或椎动脉闭塞引起,有5大主要临床表现[1,5]:眩晕、恶心、呕吐伴眼球震颤;饮水呛咳、吞咽困难、声音嘶哑;交叉性感觉障碍;患侧Horner综合征;患侧小脑性共济失调。随着影像学技术的发展及广泛应用,对其临床表现和病因有了一些新认识。临床上完全具备典型表现的患者并不多见,有些患者仅有其中几项,有些甚至可表现为同侧偏瘫[6]、孤立性侧步[7]、对侧偏身(包括面部、肢体、躯干)痛觉减退[8]、瘙痒[9]、呃逆[10]、眼球运动障碍[11]等非典型临床特征,有学者将其称之为非典型Wallenberg综合征[8]。然而,目前暂无非典型Wallenberg综合征的具体定义,仅在少数研究中提及[12]。
本例患者急性起病,以四肢共济失调为突出表现,同时伴有恶心、呕吐及眼球震颤、共济失调性构音障碍,影像学检查证实为急性左侧延髓背外侧及左侧小脑腔隙性梗死(图1)。尽管患者同时存在同侧小脑半球腔隙性梗死,但其病灶小且非中线部位,故责任病灶考虑与左侧延髓背外侧有关,累及结构主要为小脑下脚(inferior cerebellar peduncle, ICP)和前庭神经核(图3[13])。除上述表现外,患者无感觉障碍、吞咽障碍和Horner综合征,故应诊断为非典型Wallenberg综合征。同侧小脑梗死应为无症状腔隙性梗死。


Wallenberg综合征的症状和体征取决于病变累及延髓背-腹侧、内-外侧以及头-尾侧的相应部位[8]。延髓梗死范围不同,其受损后的临床表现也存在差异。延髓上部(即头侧)较粗大,病灶向腹侧延伸时可出现较严重的吞咽困难和声音嘶哑,同时面瘫和双侧面部浅感觉障碍也较多见;延髓下部(即尾侧)病损多位于外侧表面,常见明显的眩晕、眼球震颤以及步态性共济失调等[2,12]。本例患者无吞咽障碍和感觉障碍,可能与病灶位于延髓偏下部位且较小,延髓上部的迷走神经和舌咽神经相关核团或纤维束未累及有关。在延髓背外侧结构中,前庭和小脑损害的症状和体征几乎见于所有延髓背外侧梗死患者,主要表现为眩晕、眼球震颤和共济失调[2,14]。其中眩晕与前庭诸核损害有关,常伴有眼球震颤,向健侧注视时可出现缓慢而幅度较大的眼球震颤;绳状体受损可引起病灶侧肢体及躯干共济失调[15]。本例患者具有Wallenberg综合征的常见表现,还同时伴有双侧肢体共济失调,不能站立,MRI仅见单侧延髓背外侧点条状梗死,考虑为扩大的Wallenberg综合征。因为一侧延髓背外侧梗死通常仅引起同侧肢体共济失调,对该现象的解释考虑与延髓ICP的脑室段(图1)受累有关。
ICP连于小脑和延髓、脊髓之间,由位于外侧的包含传入纤维的绳状体和位于内侧的主要为传出纤维的旁绳状体构成[16]。传入纤维包括起于前庭神经、前庭神经核、延髓下橄榄核、延髓网状结构进入小脑的纤维以及脊髓小脑后束和楔小脑束的纤维,传出纤维包括小脑前庭纤维(发自绒球和部分小脑球部皮质,止于前庭神经核)和顶核延髓束纤维(包括顶核前庭纤维和顶核网状纤维;起于顶核,止于延髓)。绳状体较大,包含脊髓小脑纤维、橄榄小脑纤维、网状小脑纤维等多种纤维,而旁绳状体较小,仅含有前庭与小脑间的联系纤维[17,18,19]。ICP绳状体纤维中的橄榄小脑束起自橄榄核群各核,其中起自延髓下橄榄核的纤维可交叉至对侧或不交叉,分别通过对侧及同侧绳状体终于两侧小脑蚓部及小脑半球,下橄榄核的大部分传出纤维通过绳状体进入对侧小脑(图4)[13,16]。未见单侧ICP梗死引起双侧肢体共济失调的病例报道,但根据上述下橄榄核发出至小脑的传入纤维的解剖通路推测,本例的临床表现可能与下橄榄核至小脑传导通路中交叉和未交叉的纤维同时受累有关。采用弥散张量成像(diffusion tensor Image, DTI)的纤维束成像技术可研究小脑的内在结构和创建白质的联络地图[20,21],对ICP病变定位有一定的价值,但本例患者未能完善DTI检查。


以往认为Wallenberg综合征是PICA闭塞的结果[22]。近年来对Wallenberg综合征的解剖学、病因及发病机制、临床表现等方面有了许多新的认识,发现PICA闭塞并非导致该综合征的唯一原因。血管造影和病理解剖学研究证实,该综合征更多是因为椎动脉颅内段或起始处狭窄、闭塞以及椎动脉起始处的血栓脱落所致[23,24]。孤立性PICA病变导致的梗死灶相对较小,多位于延髓下段外侧或中下段背外侧[24]。有研究显示,近1/5的椎动脉颅内段近端梗死同时累及延髓外侧(包括ICP)和PICA小脑供血区,同时发生这2种情况通常是由于椎动脉颅内段长节段闭塞,引起PICA和延髓外侧穿动脉血流中断所致[25,26]。穿动脉病变造成的延髓外侧梗死占13%,由于穿动脉比较细小,数字减影血管造影不能显示其走行,仅能根据有无血管危险因素以及梗死灶与供血区特点来推测发病机制[27]。此外,有近20%的延髓外侧梗死患者发病机制尚不明确[28]。本例患者未进行数字减影血管造影检查,磁共振血管造影和CT血管造影均未见梗死同侧PICA或椎动脉颅内段的确切狭窄,其延髓背外侧及小脑腔隙性梗死的责任血管及机制尚不明确,但不排除与椎动脉或PICA发出的分支病变有关,同时也不排除存在后循环血管解剖学变异的可能。椎基底动脉系统变异并不少见,PICA作为椎动脉在颅内最大的分支,其在后颅窝的变异也最多[3,29]。PICA的延髓支为终末支,一般认为供应延髓背外侧[13]。PICA发育变异及供血范围变异被认为是导致延髓背外侧综合征临床表现多样的主要原因[30]。
该患者需要与酒精中毒性脑病相鉴别,但患者除共济失调外,无眼外肌麻痹、精神行为异常等表现。而且尽管其既往有50余年饮酒史,但发病前3个月已戒酒,平素也无精神行为异常,认知功能正常,影像学未见明显小脑萎缩,故排除引起双侧肢体共济失调的相关疾病,如急性或慢性酒精中毒性脑病(包括Wernicke脑病)、急性小脑炎等。结合患者发病时的实验室检查以及出院时和半年后的随访情况,支持该患者急性延髓背外侧梗死的诊断,属于不典型的Wallenberg综合征。
延髓为一排列密集结构,微小部位病变差异即能引起截然不同的症候群[31],累及延髓外侧区时可出现诸多非典型Wallenberg综合征临床表现。掌握延髓解剖结构有助于对其临床表现的理解,帮助临床医生早期识别或诊断延髓病变并预测临床预后。
无





















