
版权归中华医学会所有。
未经授权,不得转载、摘编本刊文章,不得使用本刊的版式设计。
除非特别声明,本刊刊出的所有文章不代表中华医学会和本刊编委会的观点。
放射治疗是头颈部恶性肿瘤有效且主要的治疗手段之一,但长期随访显示,放射治疗容易造成存活患者发生脑血管病变,从而增高卒中风险[1]。放射治疗后卒中事件的发生率约为3.8%~11.3%[2,3,4],多数并发卒中的患者会遗留认知、智能或运动障碍,丧失劳动及社交能力,严重影响患者生活质量,增加家庭及社会的负担。现报道威海市立医院诊治的2例放射性脑血管病,并结合相关文献对放射性脑血管病变的临床表现及影像学特征进行阐述。
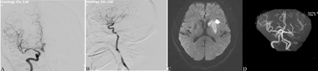
病例1:男性,68岁,因"头晕3 h,突发意识不清、四肢无力2 h"于2015年12月10日入院。患者于当日早7时静坐时出现头晕,视物旋转,恶心、呕吐,非喷射性呕吐非咖啡色胃内容物2次,觉右手麻木,未用药。1 h后突发意识不清、四肢无力,不能言语,立即被急诊送入院。头颅CT提示脑白质疏松,右侧基底节区腔隙性脑梗死。随后收入神经内科。患者6年前因"喉癌(鳞状细胞癌)"行"喉水平部分切除及双侧颈淋巴结清扫术",术后1个月给予放射治疗29次,总剂量60 Gy,未化疗。有高血压史2年,血压最高190/100 mmHg(1 mmHg=0.133 kPa),不规律用药,血压波动于140~160/80~90 mmHg。1年前出现气管塌陷,偶有憋气症状。入院查体:双眼垂直眼球震颤,右侧中枢性面瘫,右侧上肢肌力2级,余肢体肌力3级,四肢肌张力低,双侧病理征阳性。美国国立卫生研究院卒中量表(National Institutes of Health Stroke Scale, NIHSS)评分15分。入院诊断:(1)急性缺血性卒中;(2)高血压病3级;(3)喉癌术后。治疗经过和病情演变:因患者梗死症状较重,发病时间3 h,给予标准剂量阿替普酶静脉溶栓。溶栓过程中症状逐渐改善,眼球震颤消失,右侧中枢性面舌瘫,左侧肢体肌力恢复正常,右上肢肌力2级,右下肢肌力3级。溶栓后桥接脑血管造影+血管内机械血栓切除术,造影可见左侧颈内动脉闭塞,左侧颈外动脉通过眼动脉向颅内代偿,右侧颈内动脉起始段重度狭窄,远端血流充盈良好,左侧椎动脉优势供血,基底动脉及双侧大脑后动脉显影良好(图1A、图1B)。溶栓后24 h颅脑MRI示左侧大脑中动脉供血区多发点片状T1低信号、T2高信号、弥散加权成像高信号和表观弥散系数图低信号病灶,考虑为急性梗死灶,左侧颈内动脉及大脑中动脉闭塞可能(图1C、图1D)。给予阿司匹林(0.1 g/d)和氯吡格雷(75 mg/d)双联抗血小板治疗,阿托伐他汀(40 mg/d)降脂抗氧化,症状于2周内逐渐改善。出院时查体:神志清楚,言语流利,无眼球震颤,右侧中枢性面舌瘫,四肢肌力、肌张力、感觉、共济运动正常,双侧病理征阳性。最终诊断:(1)急性缺血性卒中(左侧大脑中动脉供血区);(2)高血压病3级;(3)放射性脑血管病(左侧颈内动脉闭塞,右侧颈内动脉重度狭窄);(4)喉癌术后。建议1个月后行右侧颈内动脉起始段支架置入术,患者因自身气管病变较重而拒绝。予阿司匹林(0.1 g/d)和氯吡格雷(75 mg/d)口服3个月,阿托伐他汀(40 mg/d)口服1个月。而后调整药物,长期口服阿司匹林(0.1 g/d)和阿托伐他汀(20 mg/d),门诊随访1年未再出现卒中事件。


A、B:左侧颈内动脉闭塞,右侧颈内动脉起始段重度狭窄;C:左侧基底节区急性期梗死灶;D:左侧颈内动脉闭塞
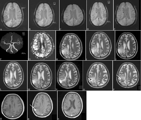
病例2:男性,反复住院4年,初次住院时66岁,因"左上肢无力2 d"于2013年10月18日入院。患者于入院前2 d活动时出现左手无力,持物不稳,伴头晕、视物模糊、左侧口角流涎,恶心、呕吐1次,呕吐物少,未在意。因症状持续无缓解来院门诊,并收入神经内科。既往史:11年前因"脑胶质瘤(右顶叶)"行手术切除,术后5个月给予放射治疗33次,总剂量60 Gy,未化疗。1年前出现左侧肢体抽搐,上肢屈曲,下肢伸直,持续2 min,发作10余次,诊断为"继发性癫痫",给予丙戊酸钠和托吡酯治疗,未再出现肢体抽搐。有高血压史20年,血压最高180/103 mmHg,规律口服"氨氯地平、厄贝沙坦",血压控制于140/80 mmHg左右。2型糖尿病史16年,饮食控制,未用药,空腹血糖6~8 mmol/L。入院查体:神志清楚,智能正常,言语清晰,双侧额纹、鼻唇沟对称,左上肢肌力5-级,感觉、共济正常,双侧病理征阴性。入院诊断:(1)急性脑梗死?(2)脑胶质瘤术后;(3)继发性癫痫;(4)高血压病3级;(5)2型糖尿病。治疗经过和病情演变:入院后查颅脑MRI可见右顶叶片状T1略低和T2略高信号灶,边界不清,磁敏感加权成像可见少量微出血灶(图2A、图2H);灌注加权成像示右侧顶叶大片状异常信号灶,病变区平均通过时间和达峰时间均较对侧缩短,脑血流量较对侧增加(图2G)。磁共振波谱成像示胆碱(choline, Cho)峰升高、N-乙酰天冬氨酸(N-acetylaspartate, NAA)峰降低、肌酸(creatine, Cr)变化不明显。Cho/Cr值约1.6~2.8、NAA/Cr值约0.18~0.5、Cho/NAA值约为3.1~7.0。2013年11月于北京某医院就诊,怀疑胶质瘤复发,建议穿刺活检,患方拒绝,同时拒绝手术治疗,给予阿司匹林和阿托伐他汀口服,联合甘露醇+甘油果糖脱水并补液治疗,同时给予丙戊酸钠口服病情逐渐改善,肢体力量恢复正常。此后1年内仍反复出现左侧上下肢抽搐,伴左手无力,每次持续1~2 min,间断给予"甘露醇、七叶皂苷钠"症状可缓解。于2014年7月6日复查颅脑MRI仍见右侧顶叶片状异常信号灶,病灶变化不明显(图2I),脑内多发腔隙性梗死灶、脑白质疏松,磁敏感加权成像可见微出血灶明显增多(图2B),磁共振血管造影可见血管分支明显减少(图2F),考虑放射性脑病、放射性脑血管病不能除外。与患者及家属沟通,于2014年7月6日起给予甲泼尼松龙80 mg/d静脉滴注×7 d,甲泼尼松龙60 mg/d静脉滴注×7 d,而后改为醋酸泼尼松龙40 mg/d口服,每周减5 mg,减至30 mg/d维持口服,期间症状未再发作。2014年11月8日复查病灶有所缩小(图2J),激素继续减量至20 mg/d时再次出现肢体无力,故继续醋酸泼尼松龙20 mg/d长期维持。每年动态复查MRI(图2L-N),微出血病灶逐年增多(图2A-E),右侧顶叶病灶变化不显著(图2L-N)。患者反复出现肺部感染,合并真菌感染,气管切开,于2017年1月30日停用醋酸泼尼松龙,此后症状进行性加重。2017年2月16日查体:精神不振,反应迟钝,高级智能差,定向力、记忆力、计算力差,双眼左侧同向偏盲,左侧鼻唇沟浅,伸舌左偏,左侧上下肢肌力4级,左侧针刺觉减退,左侧病理征阳性。2017年3月2日颅脑MRI提示右顶叶病灶内可见液平面(图2O),病灶轻度强化,囊状病灶可见环形强化(图2R/S)。2017年6月26日MRI示右顶叶病灶扩大,病灶内出血(图2P)。给予甘露醇125 ml 1次/8 h静脉滴注,呋塞米40 mg 1次/12 h静脉注射,症状未改善,出现头痛症状,肢体无力程度逐渐加重。2017年11月20日神经系统查体:嗜睡,不完全混合性失语,左侧鼻唇沟浅,左侧肢体肌力0级,左侧肌张力降低,左侧病理征阳性。最终诊断:(1)脑胶质瘤术后迟发型放射性脑病、放射性脑血管病(右顶叶出血);(2)继发性癫痫;(3)重症肺炎(细菌合并真菌);(4)高血压病3级;(5)2型糖尿病。


A~E:磁敏感加权成像可见多发微出血灶,自2013年至2017年逐渐增多;F:脑动脉成像提示脑动脉硬化,小血管分支明显减少;G:2013年灌注加权成像示右侧顶叶大片状异常信号灶,病变区局部平均通过时间较对侧缩短约12.8%,局部达峰时间较对侧缩短约8.9%,局部脑血流量较对侧增加约71.2%;H~P:2013年至2017年T2加权成像显示右侧顶叶片状长T2信号灶,大部分信号强度类似脑脊液,范围曾有缩小,而后逐渐缓慢增大;O~P:病灶内可见出血灶;Q:2013年MRI显示右侧顶叶病灶在增强扫描时有轻微强化;R~S:2017年MRI显示右侧顶叶病灶在增强扫描时呈中度强化,囊性病灶周围可见环形强化
放射治疗是一种有效且重要的肿瘤治疗手段。然而,伴随肿瘤患者生存期的延长,并发症亦逐渐显露出来,放射性脑血管病由此被发现。头颈部放射治疗会影响颅内外中、大动脉,随时间推移出现进行性狭窄,导致缺血性脑血管事件风险增高1倍以上[1]。不过,尚未发现放射剂量与血管病变程度存在明确相关性[5]。本文中报道的2例患者均以卒中为首发症状,存在明显血管损害,诊断为放射性脑血管病。
放射性脑血管病变的病理学改变多种多样,可表现为颈动脉内膜-中膜纤维化、内皮细胞脱失和血栓调节素表达降低,而内皮细胞损伤可通过降低血栓调节素的表达促进纤维蛋白血栓形成[6]。放射性脑血管病变主要是局部血管壁增厚,血管壁扩张,血管内膜炎症反应,大血管以动脉粥样硬化、血管狭窄及闭塞为主,中小血管以小血管内钙盐沉积、钙化微血管病变、玻璃样变性和纤维蛋白样坏死为主,其他还有海绵状血管瘤、动脉瘤等表现[7,8]。血管影像学检查可见脑血管移位、迂曲,血管狭窄,邻近脑血管代偿性增多、增粗,甚至烟雾现象[1]。后者可能是导致脑出血的一个因素[9]。
颈动脉区域接受放射线照射是导致动脉粥样硬化及随后出现缺血性脑血管事件的重要危险因素[10]。本文中的第1例患者属于大动脉粥样硬化性卒中,除抗血小板聚集及降脂治疗外,可根据病情给予颈动脉内膜切除术或支架置入术[11],但可能有再狭窄风险。该患者因喉癌行放射性治疗,4年后出现高血压,7年后出现气管塌陷及狭窄。卒中发病后行脑血管造影可见左侧颈内动脉闭塞,右侧颈内动脉起始段重度狭窄。患者虽有高血压史,但颅内动脉无明显狭窄,综合分析颈内动脉狭窄与放射治疗有关,而高血压可能是继发于血管狭窄。该患者多发大血管病变,右侧颈内动脉起始段重度狭窄,适合行支架置入术。但患者结合自身气管病变,未同意介入治疗,规律口服抗血小板药及降脂药,随访1年病情稳定,未出现卒中症状。
Passos等[12]对100例儿童期中枢神经系统肿瘤放射治疗后患者进行回顾性研究,平均随访16.7年,发现约36%的患者出现脑血管并发症,以微出血(80.6%)和腔隙性梗死(52.8%)最多见。儿童期肿瘤放射治疗后于成年期发生脑血管病,最常见的表现为狭窄-闭塞性疾病、烟雾病、动脉瘤、微血管病和血管畸形,可能与慢性炎症或氧化应激有关[13]。脑微出血是微小出血遗留的含铁血黄素沉积,是脑小血管病的主要影像学表现之一,为小血管损伤的影像学标志物,病理机制为小血管玻璃样变性或血管淀粉样变性[14]。脑微出血可由高血压病、淀粉样变性、弥漫性轴索损伤引起,同时亦有研究表明脑内微出血灶在放射治疗后发生率较高,可能与血管内皮生长因子增高有关。放射治疗时患者年龄越小,暴露的大脑体积越大,辐射剂量越大,发生脑微出血的风险越高[15]。随着患者生存时间的延长,微出血病灶会逐渐增多,从而增高颅内出血风险,尤其是在抗栓治疗之后[7]。微出血病灶增多是造成神经功能下降的重要原因,包括执行功能、记忆力、语言等,可能与放射性脑病的严重程度成正相关。本文中的第2例患者以小血管损伤和脑微出血为主,4年随访期间微出血病灶逐渐增多,同时存在多发腔隙灶和脑白质疏松,临床表现为智能下降,生活能力和语言障碍,均支持脑小血管病变。该患者疾病早期右侧顶叶片状异常信号,位于原手术区域,呈轻度强化,怀疑为胶质瘤复发。胶质瘤复发常与放射性脑病混淆,当原手术区或放射治疗区域周围出现新的异常强化灶且具有明显占位效应,伴或不伴水肿,恶性度低者信号较均匀,恶性度高者信号不均匀,相对脑血容量(relative cerebral blood volume, rCBV)较高,常提示肿瘤复发可能。相比之下,放射性脑病多在照射区域内出现,MRI主要表现为脑白质片状异常信号,T1等或低信号,T2高信号,增强可见环形或不均匀强化[16]。放射性脑病所致血脑屏障破坏也能导致MRI局部异常强化灶,但灌注成像病灶多为低灌注性,rCBV比值较低。王莉等[17]的研究显示,胶质瘤复发患者Cho/NAA波峰比显著高于放射性脑损伤,Cho/Cr和Cho/NAA在胶质瘤复发病灶中明显升高且诊断准确率较高。本文中的第2例患者病程长,自发现顶叶异常信号已4年余,整个病灶位于放射坏死灶内,病灶面积进展扩大的速度较慢,病灶呈低灌注表现,脑内多发微出血病灶且逐年增多,同时伴多发腔隙灶,小血管病变显著,考虑放射性脑病、放射性脑血管病不能除外,给予激素治疗后病情曾一度好转,临床症状缓解,病灶缩小。但该患者年龄较大,合并高血压和糖尿病,长期激素治疗后出现肺部真菌感染,停用激素后病情进行性加重,影像学复查显示右侧顶叶病灶扩大,内有团状强化信号,考虑病情持续进展,血管通透性增加,血管坏死,最后出现病灶内出血(由2017年6月影像学证实,图2P)。综合分析考虑该患者为迟发型放射性脑病、放射性血管病变,而非胶质瘤复发,但最终证实病灶性质仍需脑组织活检。
有研究表明,放射性脑血管病变累及颈动脉和椎动脉,可造成血管狭窄或闭塞,但同时也通过软脑膜动脉、前交通动脉和后交通动脉形成了良好的侧支循环,而侧支循环的失代偿会促进卒中事件的发生[18],提示增加侧支循环灌注可能会降低放射性脑血管病患者的卒中风险。
放射性脑血管病临床表现多种多样,可出现多种神经功能障碍,例如痴呆、癫痫发作、失语、偏瘫等[3]。在治疗方面目前仍缺乏循证医学证据,可尽早使用糖皮质激素[19],目的是抑制免疫反应,保护血脑屏障,稳定细胞膜、溶酶体膜和脑血管壁的通透性。同时可予以脑细胞激活剂、改善微循环、抗凝、高压氧、贝伐单抗、手术治疗等措施[20],缓解症状,控制病情发展。晚期治疗预后较差,多数患者会遗留严重认知和行为障碍,故而早期诊断、早期治疗是关键。





















