
版权归中华医学会所有。
未经授权,不得转载、摘编本刊文章,不得使用本刊的版式设计。
除非特别声明,本刊刊出的所有文章不代表中华医学会和本刊编委会的观点。
蛛网膜下腔出血(subarachnoid hemorrhage, SAH)是神经内科常见急症之一,约占所有卒中的6%~10%,其致残率和致死率均很高[1]。大脑凸面SAH(convexal SAH, cSAH)是指出血局限于大脑半球表面皮质沟回的SAH,波及1个或多个大脑凸面皮质沟回,不延伸到外侧裂、脑室和脑池[2]。cSAH较为少见,临床症状复杂多样,多不典型。其常见原因主要包括脑淀粉样血管病(cerebral amyloid angiopathy, CAA)、可逆性脑血管收缩综合征(reversible cerebral vasoconstriction syndrome, RCVS)、皮质静脉血栓形成(cortical venous thrombosis, CoVT)、大血管动脉粥样硬化性狭窄以及可逆性后部脑病综合征(posterior reversible encephalopathy syndrome, PRES)[3]。临床主要表现为头痛和局灶性神经功能缺损症状,也可无任何临床症状。影像学主要表现为皮质出血、微出血以及皮质铁质沉积等。本文对1例表现为短暂性脑缺血发作(transient ischemic attack, TIA)的cSAH患者的临床表现、辅助检查、诊断和治疗进行总结,并复习相关文献。
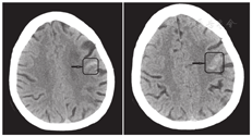
患者女性,74岁,因"发作性言语不利伴口角歪斜4 h"于2018年4月10日入院。患者于入院前无明显诱因出现吐字含糊不清,伴右侧口角歪斜,持续约3~5 min后自行缓解,症状间断发作,不伴头痛、头晕,无肢体活动障碍、意识障碍及大小便障碍等。门诊头颅CT(图1)示左侧额叶部分脑沟内高密度影,考虑少量SAH。以"TIA和SAH"收入院。


既往史:"陈旧性脑梗死"30年,未遗留明显后遗症,平日口服阿司匹林肠溶片150 mg/d,无头痛病史,无烟酒等嗜好。否认高血压、糖尿病、冠心病史,否认结核病史,否认冶游史。
入院查体:血压190/100 mmHg(1 mmHg=0.133 kPa),神志清楚,言语流利,双侧瞳孔等大正圆,对光反射存在,双眼球各方向活动可,无复视和眼球震颤。示齿口角不偏,伸舌居中,四肢肌力、肌张力正常,双侧腱反射一致对称,双侧肢体深浅感觉一致对称,双侧病理征阴性,脑膜刺激征阴性。
实验室检查:血浆高半胱氨酸19.5 μmol/L(正常值:<15 μmol/L);血液分析、急诊9项、凝血4项、乙肝5项+丙肝抗体、尿液分析未见明显异常。腰椎穿刺示脑脊液清亮,无色透明,压力17.5 cmH2O(1 cmH2O=0.098 kPa),总蛋白472.3 mg/L(正常参考值:150~450 mg/L),葡萄糖4.46 mmol/L(正常参考值:2.5~4.4 mmol/L)。
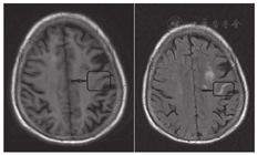
影像学检查:入院次日复查头颅CT示左侧额叶部分脑沟内高密度影,考虑少量SAH,较前变化不大。头颅MRI示左侧基底节区、左侧丘脑、左侧枕叶、双侧小脑半球可见多发小灶样T1低信号和T2高信号影,边界清晰(图2);弥散加权成像未见异常高信号影;双侧侧脑室周围可见轮缘状液体衰减反转恢复序列(fluid-attenuated inversion recovery, FLAIR)高信号,双额叶白质区可见多发小点片状FLAIR高信号影,边界不清;磁敏感加权成像可见左侧额部一粗大血管影,其内见高信号影(图3),另见左侧基底节区和双侧小脑半球多发小圆形低信号影;磁共振血管造影示颅内血管多发性狭窄,右侧大脑后动脉显影浅淡,远端分支减少(图4)。数字减影血管造影示左侧大脑中动脉M1段闭塞,右侧大脑后动脉P1段闭塞,左侧颈内动脉C5段轻度狭窄,右侧颈内动脉多处中至重度狭窄,双侧大脑前动脉多处狭窄,右侧大脑中动脉多处狭窄,双侧椎动脉多处狭窄,基底动脉中段多处狭窄,左侧大脑后动脉多处狭窄,未见静脉窦异常。






根据患者临床表现和影像学特征,初步诊断为:(1)左侧额叶cSAH;(2)TIA;(3)多发性脑动脉硬化;(4)陈旧性脑梗死。患者入院后仍有反复发作,症状同前。给予羟乙基淀粉20氯化钠注射液扩容、法舒地尔改善血管痉挛、奥拉西坦营养脑细胞、丁苯酞改善侧支循环等对症药物后病情好转。复查头颅CT示出血范围较前缩小。
cSAH是一种非典型的SAH,其出血部位常局限于1个或多个大脑半球凸面皮质沟附近,额叶较多见,顶叶次之,颞叶少见,而不累及邻近的脑实质、大脑纵裂、基底池或脑室[2]。脑血管造影检查常显示病灶同侧颈内动脉/大脑中动脉狭窄或闭塞。
cSAH约占自发性SAH的5%~7.5%,年发病率为5.1/10万[4]。cSAH的病因多种多样,一项研究显示其平均发病年龄为70岁,最常见的病因为CAA(39%)、RCVS(17%)、CoVT(10%)、大血管动脉粥样硬化狭窄(10%)和PRES(5%),约20%的cSAH患者未发现明确病因[5]。此外,有49%的cSAH患者在发病后被误诊为TIA。脑脊液检查对cSAH无确诊意义,但对cSAH的病因诊断有提示作用。例如,脑脊液细胞增多、蛋白水平升高和免疫球蛋白G增高提示病因可能为血管炎[6]。
影像学研究显示,cSAH多见于大脑额叶和顶叶皮质,多累及一侧,常局限于皮质脑沟内,中央沟受累较为常见[4]。非增强CT扫描可提示脑沟内轻微高密度影,有时也不显现[4]。cSAH通常表现为脑沟内线形FLAIR高信号和T2*低信号,大部分患者在梯度回波T2*加权成像或FLAIR图像中可见多处白质高信号融合区域[7]。
CAA是由β淀粉样蛋白沉积于皮质和软脑膜血管引起的病理过程,为cSAH最常见的病因,临床特征为短暂性局灶性神经症状发作(transient focal neurologic event, TFNE)、皮质表面铁质沉着症(cortical superficial siderosis, cSS)和再出血[8]。TFNE的具体表现与cSAH病变部位有关,易误诊为TIA或癫痫部分性发作[9],需加以鉴别。其中以短暂性感觉异常最为多见,约占41.9%[10]。典型的TFNE表现为手指或脚趾麻木和(或)刺痛感,然后扩展至邻近肢体或面部,无运动功能障碍,可在数分钟内自行缓解[11]。患者常无头痛症状,但可出现类似于偏头痛的先兆症状,可能与皮质扩散性抑制有关[12]。Charidimou等[8]认为,TFNE高度提示cSS,而cSS的出现表明颅内血管脆性增高,出现有症状颅内出血的风险也随之增高。继发于CAA的cSAH与脑叶出血密切相关,其机制考虑为脑膜血管破裂出血至蛛网膜下腔,尤其是脑沟处,进而出现皮质梗死以及血肿周围组织坏死,随后蛛网膜下腔血肿破入脑实质形成脑叶出血[13]。病因为CAA的cSAH患者病理学检查可见受累脑沟局灶性肿胀,HE染色示小动脉透明变性和血液外渗,皮质动脉有红细胞漏出,免疫染色可见β淀粉样蛋白沉积于皮质和脑膜中小血管,常伴有皮质含铁血黄素沉积、颅内出血以及深部白质受累等表现[14]。
本例患者临床和影像学表现均支持cSAH,结合辅助检查结果排除了RCVS、CVT等病因,首先考虑颅内动脉粥样硬化性狭窄。患者通过扩容治疗提高脑灌注后症状未复发,也进一步支持该诊断。至于是否存在CAA,尚缺乏明确依据。
影响cSAH患者预后的因素众多,病因为CAA的患者一般预后较差[2]。cSAH的治疗主要分为病因治疗和对症治疗,但多以后者为主,例如降血压、止痛、抗癫痫等[4]。针对颅内动脉粥样硬化性狭窄所致cSAH,有学者建议应用西洛他唑和阿司匹林双联抗血小板治疗,以改善神经系统症状并降低卒中复发和再出血风险[15],但尚缺乏大样本临床研究证据支持。若存在大动脉重度狭窄,可考虑血运重建治疗的可行性[16]。至于CoVT,有研究对10例病因为CoVT的cSAH患者进行抗凝治疗,8例患者的症状得到改善[17]。相对于CAA而言,病因为RCVS的cSAH患者长期预后稍好。
cSAH在临床中较为少见,症状多较复杂。该病例提示在临床工作中需结合影像学表现进行综合分析,密切观察,以免误诊误治。
所有作者均声明不存在利益冲突





















