
版权归中华医学会所有。
未经授权,不得转载、摘编本刊文章,不得使用本刊的版式设计。
除非特别声明,本刊刊出的所有文章不代表中华医学会和本刊编委会的观点。
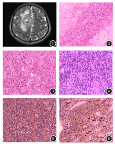
患者男,"突发头晕5 h余伴肢体抽搐1次"就诊解放军第一七五医院厦门大学附属东南医院,查体未见明显异常,行头颅CT及MR检查,CT示右额顶叶中线旁见一高密度肿块,大小约4.1 cm×3.8 cm×3.5 cm,病灶内密度不均匀,中央见片状低密度影,肿块压迫中线结构向左移,周围见片状低密度水肿灶。颅脑MRI平扫+增强显示(图1):肿块大小约4.1 cm×3.8 cm×4.6 cm,等长T1等长T2信号,紧贴大脑镰生长,压迫中线结构稍向左移,肿块内见斑片状长T1长T2信号及斑片状长T1短T2信号,增强扫描明显不均匀强化,周围脑膜增厚并强化,考虑大脑镰脑膜瘤合并瘤内出血,遂行手术切除,术中见紫红色肿瘤,瘤蒂附着大脑镰,部分侵蚀上矢状窦,质软,血供丰富,大小约4.0 cm×4.0 cm×4.5 cm,与周围脑组织分界欠清。内有钙化,完整切除肿瘤组织,送病检。


病理检查:大体:灰白灰红色组织多块,破碎,总体积6.0 cm×5.0 cm×1.0 cm,无明显包膜,切面灰白灰红色,实性,质地中等。镜检:肿瘤细胞致密区与疏松区交替分布(图2),瘤细胞排列方式多样,多呈席纹状、束状,可见血管外皮瘤样结构(图3);细胞核短梭形或类圆形,异型不明显,核分裂象少见(<4个/10 HPF),瘤细胞间见粗细不等的胶原纤维(图4),局部玻璃样变性,肿瘤中见黏液样变及囊性变区域,间质血管丰富,呈鹿角样或分支状。免疫组化染色:肿瘤细胞Vimentin、CD99(图5)、CD34(图6)、Bcl-2均阳性,其余CK、LCA、EMA、S-100、SMA、GFAP、CD56均阴性,Ki-67约3%;间质血管CD31阳性,网状纤维染色阴性。病理诊断:右额顶叶孤立性纤维性肿瘤(solitary fibrous tumor,SFT)。
孤立性纤维性肿瘤(solitary fibrous tumor,SFT)是一种间叶组织起源的肿瘤,可发生任何年龄,无明显性别差异,全身各个部位均可发生,好发于胸膜,研究报道[1],原发于中枢神经系统的SFT非常罕见,Carneiro SS等学者[2]较早报道发生于脑膜的SFT。SFT的组织学起源目前尚未完全探明,普遍认为SFT起源于CD34+树突状间叶细胞。颅内SFT一般无特异性的临床表现,多在体检或出现压迫症状时发现。SFT发生部位、影像学及组织形态学特征与脑膜瘤、血管周细胞瘤(hemangioperictytoma,HPC)、神经鞘瘤等高度相似。手术前,肉眼无法观察到颅内肿瘤的情况,只能借助影像学或其他检查作出初步诊断。但可靠性明显低于其他部位的肿瘤。有研究表明:在胸膜以外部位,诊断SFT的正确率几乎为零[3]。
SFT的确诊依靠病理学检查,应结合大体、形态学及免疫组化表型。该肿瘤周界清晰,有完整包膜,质地韧,有一定弹性,镜下主要由胶原纤维和纤维母细胞样肿瘤细胞组成。典型的SFT主要由细胞致密区与疏松区交替分布,排列方式多样,多呈席纹状、束状、血管外皮瘤样结构,致密性瘢痕样胶原沉积以及血管外皮瘤样结构存在。少数病例还存在黏液变性[4][5]。胶原纤维比较丰富,穿插于瘤细胞间,甚至呈玻璃样变,瘤细胞较温和,肿瘤内血管增生,多呈裂隙状、鹿角状或分支状。各区细胞丰富程度差异较大,细胞丰富者易被误诊为纤维肉瘤和恶性神经鞘瘤。部分病例中除了典型SFT区域外,还含有不典型区域,表现为细胞密度增加,核异型性明显,核分裂象易见,并能见到出血、坏死、囊性变等,此型要考虑非典型性和恶性SFT可能。恶性特点是细胞丰富、有异型性、细胞分裂活跃和坏死,核分裂象一般> 4个/10 HPF[6]。免疫组化对SFT的诊断具有重要意义,大多数SFT肿瘤细胞Vimentin、CD34、Bcl-2和CD99弥漫强阳性,不同程度表达SMA,肿瘤不表达S-100、EMA、CK、GFAP。SFT的免疫组化诊断不能单独依靠某一个指标,应选择Vimentin、CD99、CD34、Bcl-2四种指标联合使用,敏感性和特异性均较强,可有效提高SFT诊断的准确率[7],也有文献报道CD56在SFT中有不同程度的表达[8],该例患者CD56阴性。
颅内SFT需与以下疾病进行鉴别诊断:(1)纤维母细胞型脑膜瘤:梭形瘤细胞呈束状排列,可见小岛状脑膜瘤细胞,胶原纤维无或少量,不如SFT明显,EMA、S-100阳性,CD34阴性或灶性阳性。EMA阳性是鉴别两者的关键。(2)神经鞘瘤:梭型瘤细胞常呈栅栏状排列,可见verocay小体,瘤细胞间无嗜伊红染胶原纤维,可见增生玻璃样变的厚壁血管。瘤细胞S-100呈阳性、Leu-7和GFAP也可呈阳性。(3)血管周细胞瘤:瘤细胞多呈血管外皮瘤样结构,细胞密集,由致密的网状纤维包绕,血管丰富,可扩张呈树枝状或鹿角状,CD34阳性,EMA多阴性,网状纤维染色阳性。(5)胶质瘤、脑膜肉瘤、脑膜肌纤维母细胞瘤等,根据形态学改变并辅以免疫组化鉴别。
颅内SFT的生物学行为取决于其组织学形态和肿块的大小及生长方式,手术整体切除是SFT最好的治疗方式,肿块完整切除者预后较好。大部分SFT为良性,但部分肿瘤生物学行为仍难以预料,10%~15%具有侵袭性行为[9],因此,需进行长期随访,肿瘤广泛浸润或有卫星灶者,易发生播散和转移,均提示预后不良。该例患者随访3年,预后良好,无复发及转移。总之,颅内SFT比较罕见,术前诊断比较困难,又易误诊,正确的病理诊断至关重要,临床与病理医师应加强对该病的认识,降低误诊率,术后应长期随访。
利益冲突 无





















