
版权归中华医学会所有。
未经授权,不得转载、摘编本刊文章,不得使用本刊的版式设计。
除非特别声明,本刊刊出的所有文章不代表中华医学会和本刊编委会的观点。
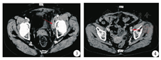
患者女,66岁,因左下肢水肿2月余,2009年6月于汉中市中心医院就诊。患者无腰痛、尿少、血尿、尿痛、尿急、发热、腹痛、腹泻、腹胀、下肢疼痛不适等症状。曾在当地医院检查肾功能未见异常,未治疗。患者左下肢水肿逐渐加重,伴有活动不适及隐痛。查体:体温36.8℃,浅表淋巴结未触及肿大,心肺无异常;腹部稍膨隆,未见腹壁静脉曲张,未见胃肠型和蠕动波,腹部无压痛及反跳痛,腹部未扪及包块。肝脾肋下未触及,肝肾区无叩击痛,移动性浊音阴性,肠鸣音正常。左下肢明显水肿,无溃烂及渗液,皮肤温度及活动正常。肛门指诊:黏膜光滑,未触及肿块,指套染黄色粪迹。实验室检查:血常规、尿常规、肝功、肾功、电解质、血脂等均正常。入院后盆腔增强CT显示左侧盆腔可见4.3 cm×2.4 cm混杂低密度影包绕髂外动脉,与血管间界限不清(图1),考虑肿瘤占位。考虑左髂静脉受肿瘤侵犯致管腔狭窄静脉血回流不畅所致,予行血管造影证实(图2)。盆腔肿块穿刺病理检查:可能为软组织黄色肉芽肿。手术探查术中见腹内无腹水,肝、胆囊、脾、大小网膜、小肠及其系膜、结肠及其系膜表面,胃前壁腹膜等腹内脏器未见明显肿瘤转移结节,腹主动脉旁及肠系膜上血管根部无肿大淋巴结。肿瘤位于左侧盆腔侧后壁,大小为10.0 cm×5.0 cm×2.0 cm,不规则,肿块质地硬,固定,边界不清,包裹髂内动静脉,肿块固定无法切除。术中肿块穿刺活检示:可见大量肿瘤细胞呈泡沫样,细胞间有纤维组织和血管增生,有较多异型的上皮细胞和梭形细胞。病理诊断为黄色肉芽肿。术后16 d行三维立体适型放射治疗,设四野照射,照射剂量为PCTV:2 Gy/次,5次/周,连续5周。2009年8月初放射治疗结束后,复查盆腔CT显示:左侧髂窝肿块较前缩小,病变大小约为2.1 cm×1.8 cm(图3)。Recist标准疗效评级部分缓解。6个月后,左下肢水肿逐渐消退,复查盆腔CT显示:左侧髂窝肿块较前无增大,遂植入血管扩张支架1枚,左下肢水肿逐渐完全消退,并多次复查盆腔CT,2017年10月初CT提示病灶仍稳定,左侧髂窝肿块完全消退,并可见金属支架影(图4)。3~6个月复查1次,目前已随访8年余,病情稳定,患者生活完全能自理,继续随访中。




黄色肉芽肿又称痣样黄色内皮瘤,是一种少见的良性非朗格汉斯细胞组织细胞增生症[1]。黄色肉芽肿分为幼年黄色肉芽肿、成人黄色肉芽肿、渐进性坏死性黄色肉芽肿[2]。该病典型的病理特点包括胆固醇结晶形成、明显的含铁血黄素沉积、多核异物巨细胞、大量泡沫状巨噬细胞的集聚、PAS染色呈强阳性和纤维组织增生等[3]。该病症状以皮肤损害为主,常表现为皮肤变黄,偶有其他组织和器官受累,如眶内、颅内、肝脾及肾,甚至口腔内,幼年患者常有自愈倾向[4]。其发病机制尚不明确,可能与自身免疫功能异常、单核细胞系统异常增高、脂质异常沉积、脂质异常代谢等因素有关,也可能是多种因素共同作用的结果[5],皮肤损害可能与以胆固醇为主的脂类在皮损内沉积有关[6]。
有研究表明,72.06%幼年性黄色肉芽肿患者在5岁内发病,症状以头面部单发皮疹为主,男性多于女性,多可自行消退[7]。成人黄色肉芽肿表现为一个或多个黄红色丘疹和结节,通常直径为几毫米至几厘米,主要在面部、颈部和背部,黏膜受累是其主要特征。渐进性坏死性黄色肉芽肿是一种少见的皮肤病,病因不清,主要表现为结节和斑块,好发于面部、颈部、躯干和四肢近端。面部皮损主要在眼周,皮损境界较清楚,为黄色瘤样皮损,常无明显自觉症状,病程进展缓慢[8]。黄色肉芽肿是恶性纤维组织细胞瘤一种特殊亚型,综合国内外文献报道,将恶性黄色肉芽肿列入炎症性恶性纤维组织细胞瘤的一种,也称黄色瘤型/炎症型恶纤组,曾称为恶性黄色肉芽肿或黄色肉瘤。此病常可合并不同的系统性肉芽肿,如Endheim Chester病,Weber Christian病和组织细胞增生症等[9],也可能与高胆固醇有关[10]。此外,其可发生于任何解剖部位,眼睛是最常见的外表皮部位,其次解剖部位为肺、肾、中枢神经系统、结肠、心包、卵巢、肝和脾,盆腔受累者较为罕见[11]。此病的复发率为19%~31%,转移率为31%~35%,5年生存率为65%~70%。最常见的转移部位为肺,其次为骨和肝。约50%患者带瘤生存或复发,近1/3发生远处转移[12]。临床多见于糖尿病、胆管性肝硬化等患者,可有多发皮下结节,扁平结节等,并且结节内可发生渐进性坏死[13]。黄色肉芽肿合并糖尿病在幼年性黄色肉芽肿患者中也同样有相关报道[14]。皮肤结节常无包膜,多柔软,切面黄色,镜下为上皮细胞,排列呈簇或栅栏样,胞浆泡沫状,偶伴有淋巴细胞或嗜酸性粒细胞。
成人黄色肉芽肿患者血脂一般正常,B超可探及境界欠清晰的低回声实质性团块,常见死腔。CT是目前公认的检查本病最好的方法,肿物CT值为15~40 HU,增强扫描示肿物实体部分得到强化,但程度明显低于正常组织,常可视及典型的坏死腔,最后确诊以病理检查为准。有研究指出,对于黄色肉芽肿性胆囊炎,其临床表现不典型,B超、CT、MRI等检查难以明确诊断,治疗的首选方法是手术切除,术中冰冻切片检查可指导制订手术方案[15]。病理诊断黄色肉芽肿性胆囊炎时,应与胆囊癌、胆囊胆固醇性息肉、胆囊胆固醇沉着症、胆囊囊腺瘤相鉴别[16]。面部黄色肉芽肿早期一般需进行活检得到病理诊断,并及时治疗以防止毁容[17]。恶性黄色肉芽肿的治疗以手术为主,尽可能实行广泛性或根治性切除术,化学治疗和放射治疗可作为手术的辅助性治疗。对于肢体肿瘤,如体积巨大,浸润范围广泛,并侵犯神经干、血管以及骨和关节时,应考虑截肢。幼年黄色肉芽肿是一种良性、自限性疾病,病程约6个月至3年,起病越晚,病程越长,一般无须治疗,可自行消退,建议临床随访观察,但若病情发展迅速或出现眼部病变,应早期应用糖皮质激素及放射治疗[18]。成人黄色肉芽肿临床上单发皮损需与无色素性色素痣、神经纤维瘤、孤立性肥大细胞瘤、传染性软疣、结节性黄瘤、网状组织细胞肉芽肿、Rosai-Dorfman病和皮肤纤维瘤进行鉴别[19]。成人黄色肉芽肿皮损由于不易自行消退,常常需选用手术或二氧化碳激光治疗。有研究表明,19例单发皮损伤通过外科手术完整切除,随访均无复发[20]。
综上所述,发生于腹膜后的盆腔原发黄色肉芽肿,常因毗邻腹腔大动、静脉,与血管界限常不清,而且肿瘤通常呈浸润性生长,与周围组织边界不清,故手术完整切除难度大。根治性放射治疗作为手术后的有效辅助,可以达到良好的治疗效果,同时该类肿瘤易于与神经纤维瘤、孤立性肥大细胞瘤、结节性黄瘤、网状组织细胞肉芽肿、Rosai-Dorfman病和皮肤纤维瘤混淆,应在病理层面上进行有效鉴别,本研究检索了相关文献,在总结相关文献的基础上为盆腔原发黄色肉芽肿病变进行了有效的综合治疗,具有一定的临床指导意义。
无





















