
美国创伤外科学会(AAST)分级为Ⅴ级的肝外伤是合并有肝后下腔静脉损伤的极为严重的肝外伤,伴有胆管损伤较少见,治疗困难。及时快速做出判断,急诊剖腹探查,对损伤胆管进行有效地修复是治疗胆管损伤的关键。2013年8月30日南京军区福州总医院收治1例Ⅴ级肝外伤合并肝门部胆管横断伤患者,术前经多学科会诊,入院4 h行急诊剖腹探查,发现左右半肝交界处完全断裂,第一肝门见左右肝管分叉处断裂,切除失活的肝组织,采用Poly线缝合破损左、中肝静脉,并逐个缝扎肝创面出血点及胆管,6-0 PDS线缝合左右肝管破口,间断对垄缝合肝断面。打开胃壁,清除大量胃内容物,采用闭合器修补。术后经对症支持治疗,各项指标逐渐恢复,住院26 d后出院。出院31 d后因腹腔引流管引流出脓性液体,再次入院,根据药物敏感试验结果使用头孢曲松钠他唑巴坦钠抗感染,并持续腹腔冲洗。术后83 d拔除腹腔引流管及左右肝管内引流管,第2次住院28 d出院。术后随访至2014年12月,恢复良好,未出现并发症。
版权归中华医学会所有。
未经授权,不得转载、摘编本刊文章,不得使用本刊的版式设计。
除非特别声明,本刊刊出的所有文章不代表中华医学会和本刊编委会的观点。
患者男,16岁,因车祸伤致腹部疼痛30 min,于2013年8月30日就诊于我院急诊科。患者30 min前因车祸伤致右季肋区剧烈疼痛,为锥刺样疼痛,伴全身大汗,右手腕剧烈疼痛,活动受限,无恶心、呕吐,无头痛、头晕。入院后初步诊断:腹部闭合伤;失血性休克。
入院体格检查:血压106/ 61 mmHg(1 mmHg =0.133 kPa),脉搏109次/min。神志清楚,额面部可见多处擦伤,睑结膜苍白,右侧胸壁可见明显的擦伤。双肺呼吸音粗,左肺呼吸音稍低,腹肌紧张,腹上区压痛,无反跳痛,骨盆挤压征阴性,肠鸣音约1次/min,右侧手腕部肿胀,呈银叉样。
实验室检验:WBC 13.52 × 109/L,Hb 123 g/ L,ALT 421 U/ L,AST 539 U/ L, TBil 26. 5 μmol/ L。影像学检查:腹上区CT检查示腹腔大量积液,肝右叶不均匀密度影。
患者入院生命体征不稳定,予以建立静脉通道,行输血、补液等扩容治疗,导尿、留置尿管,胃肠减压,并联系相关科室会诊。
患者因腹部闭合伤30 min就诊于我院急诊科,予以补液扩容治疗,生命体征持续恶化,CT检查示腹腔大量积液,肝右叶不均匀密度影。特请普通外科、肝胆外科、骨科和神经外科医师对该患者进行会诊,制订诊断与治疗方案。
普通外科高琴主治医师:青年男性患者,因车祸伤致腹部疼痛30 min,腹部闭合伤诊断明确,CT检查未见明显膈下游离气体,暂不考虑空腔器官损伤,肝、脾破裂可能性大。
肝胆外科陈少华主任医师:结合患者病史及检查结果,并行床边腹腔诊断性穿刺抽出不凝血,目前腹部闭合伤、失血性休克诊断明确,且出血量大、生命体征不稳定,需行急诊剖腹探查手术治疗。
骨科孙效棠主治医师:患者诊断明确,右手腕肿胀、活动受限,呈银叉样畸形,考虑桡骨远端伸直型骨折,可予以保守石膏外固定治疗。
神经外科黄银兴主治医师:患者因车祸伤致腹部疼痛30 min,神志清楚,无头晕、呕吐等表现,暂不考虑合并颅脑损伤,头皮挫裂伤,可予以清创缝合。
根据相关科室医师会诊意见行相应治疗:输血、补液抗休克治疗同时,积极做好术前准备,入院4 h后由肝胆外科陈少华主任医师行急诊剖腹探查。术中发现腹腔内聚集大量血液,自体血回输吸引约3 000 mL;左右半肝交界处完全断裂,裂口从肝表面直至第二肝门,肝断面见大量活动性出血,第一肝门见左右肝管分叉处断裂,门静脉右支开口处有一破口,肝动脉完整无破损,第二肝门处左肝静脉、中肝静脉破损,肝上下腔静脉近第二肝门、肝下下腔静脉近第三肝门处见多个破口,美国创伤外科学会(AAST)分级为Ⅴ级肝损伤。胆总管无明显扩张,胃饱满,脾脏、胰腺、小肠、结肠及盆腔均未见明显异常。
江艺主任医师术中会诊:根据探查情况,患者无脂肪肝等肝脏基础疾病,切除失活的肝组织,采用Poly线缝合破损左、中肝静脉,并逐个缝扎肝创面出血点及胆管,间断对垄缝合肝断面。阻断肝门42 min,肝上下腔静脉10 min,肝下下腔静脉16 min,修补缝合下腔静脉。术中探查见胆管无坏死,血供良好,故考虑予以6-0 PDS线缝合左右肝管破口,左右肝管各放置6 F小儿细痰管1根,14 F吸痰管做空肠营养管,肝断面及膈下各放置腹腔双套管(24 F橡胶管做外套管,8F吸痰管为内芯)1根。打开胃壁,清除大量胃内容物,闭合器修补。出血量约为5 000 mL,输RBC悬液约2 200 mL,血浆400 mL,冷沉淀10 U。手术时间为310 min。
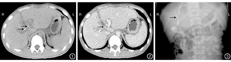
术后使用抗生素亚胺培南500 mg, 3次/d,常规保肝、输注血浆、Alb,术后第3天开始肠内营养支持,左、右肝管均有金黄色胆汁流出,胆汁量为200~ 300 mL。术后指标逐渐恢复,腹腔双套管负压引流量少,抽出内套管,接引流袋量约20 mL/ d,淡黄色,携带引流管出院,住院26 d后出院。出院31 d后因腹腔引流管引流出脓性液体,量约50 mL/ d,再次入院,无发热表现。取标本送检培养出屎肠球菌和鲍曼不动杆菌,根据药物敏感试验结果使用头孢曲松钠他唑巴坦钠抗感染,并持续腹腔冲洗。复查CT和血管造影:左右肝管及胆总管引流管在位,门静脉右支开口处狭窄(图1,图2)。胆道造影检查:左右肝管通畅,未见明显狭窄(图3)。予术后83 d拔除腹腔引流管及左右肝管内引流管,第2次住院28 d出院。术后随访至2014年12月,患者恢复良好,无并发症发生。


江艺主任医师:严重肝外伤是指按AAST分级在Ⅲ级以上的肝外伤,Ⅴ级肝外伤常累及肝血管,但累及肝胆管较少见。黄志强[1]报道胆管损伤占腹部外伤患者的1%~5%,其中85%为胆囊损伤,只有15%为肝外胆管损伤。Posner和Moore[2]报道肝外胆管损伤占腹部损伤的2%~5%。付由池等[3]报道220例肝外伤患者中,12例有肝内胆管损伤,约占5. 45%。肝损伤累及肝静脉主干或肝后段下腔静脉破裂,出血多较凶猛,且有并发空气栓塞的可能,病死率高达80%[4]。这类损伤处理十分困难,迅速控制出血是关键,通常采用常温下Pringle法控制出血,第一肝门的阻断时限,一般为15~ 20 min较安全。黄培乐等[5]报道1例在常温下持续性阻断第一肝门70 min救治成功的重度肝破裂患者的经过。若阻断入肝血流后仍有出血,则提示出血来自肝静脉或下腔静脉,必要时可行全肝血流阻断。本例患者确诊肝破裂后,经保守治疗,患者生命体征不稳定,行手术探查。阻断第一肝门后仍不能控制出血,即行全肝血流阻断,清创修补失活肝组织及缝合肝静脉及腔静脉破口。阻断第一肝门42 min,肝上下腔静脉10 min,肝下下腔静脉16 min。
胆管损伤一般不会危及生命,在严重肝外伤手术探查中易被遗漏,肝胆管损伤的处理不当是严重肝外伤术后再手术的重要原因之一[6]。在严重肝外伤行探查前明确胆管损伤是非常困难的。因此,在开腹手术时仔细检查胆管有无损伤是十分重要的。临床医师一旦发现胆管损伤,要仔细、耐心、正确妥善处理,早期处理容易,效果好[7]。高志清等[8]认为胆管撕裂伤,缺损不大,可直接修补引流;胆管横断伤,对端吻合,T管引流;胆管缺损>2 cm时,主张行胆肠Roux-Y吻合,必要时用其他材料修补胆管。
本例患者创伤后失血性休克,探查肝破裂,为AAST分级Ⅴ级合并左右肝管横断伤,在控制出血后行肝破裂清创修补、肝静脉腔静脉修补术,同时左右肝管行对端吻合各放置T管支撑引流。术后并发腹腔感染,予以冲洗引流后治愈,随访复查未发现肝脓肿、肝内胆汁瘤、假性动脉瘤等并发症,胆道造影检查未发现胆道狭窄、梗阻等胆管损伤后远期并发症,取得良好的效果。因此,严重尤其是极重度肝外伤,常合并有胆管损伤,在行肝破裂治疗的同时,应重视对胆管的探查,一旦遗漏,出现远期并发症处理困难。





















