
版权归中华医学会所有。
未经授权,不得转载、摘编本刊文章,不得使用本刊的版式设计。
除非特别声明,本刊刊出的所有文章不代表中华医学会和本刊编委会的观点。
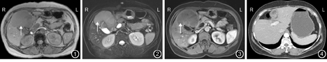
患者女,53岁。因右季肋区隐痛不适2个月余,于2014年6月15日入住我院。体格检查:患者皮肤、巩膜无黄染,全腹无压痛及反跳痛,右侧肋缘下扪及质地坚硬包块。实验室检查:ALT 30 U/L,Alb 36.5 g/L,TBil 10 μmol/L,AFP 2.1 μg/L、CEA 49.4 μg/L,CA19-9 20 U/L,HBsAg阴性。肝脏MRI检查示:胆囊底及胆囊窝邻近肝实质内见不规则长T1、长T2信号软组织包块,边界清晰,胆囊底壁显示不清晰,胆囊壁略增厚;弥散加权成像示弥散明显受限;肝实质内包块呈轻度渐进性强化;肝内包块邻近肝内脉管受累及。腹膜后、门腔静脉间隙见增大淋巴结。见图1,图2,图3。术前诊断:胆囊癌肝转移待查。


2014年6月20日,患者在气管插管麻醉下行肝脏肿瘤切除+胆囊切除+腹腔淋巴结清扫术。术中情况:无腹腔积液,胃肠、胰腺、脾脏及盆腔器官无异常。肿瘤位于肝右叶Ⅴ、Ⅵ段,质地坚硬,膨胀生长,边界清楚,大小为8 cm×9 cm,侵犯胆囊底部,压迫右胆管,肝十二指肠韧带和胰头后见肿大淋巴结,质地坚硬,考虑肿瘤转移。故术者决定行肝脏肿瘤切除+胆囊切除+腹腔淋巴结清扫术。术者首先解剖肝十二指肠韧带,清扫肝十二指肠韧带和胰头后方肿大淋巴结,解剖Calot三角,分别分离并结扎胆囊动脉及胆囊管,整块切除胆囊。距离肿瘤2 cm划定切缘,分离并完整保留右肝管,完整切除肿瘤。术后病理学检查示:肝脏原发性神经内分泌癌(primary hepatic neuroendocrine carcinoma,PHNEC),G3级,切除肿瘤标本总面积为10 cm×7 cm,脉管内查见癌栓;胆囊底受侵犯;胆囊管及肝脏切缘未见癌细胞,区域淋巴结转移(2/2)。免疫组织化学染色检测:细胞角质蛋白7、细胞角质蛋白19、CEA、突触素、黏附分子CD56表达均为阳性,抑癌基因P53、血清磷脂酰肌醇蛋白聚糖3、肝细胞石蜡抗原、嗜铬素A、神经元特异性烯醇酶表达均为阴性,增殖细胞核抗原Ki-67阳性率为20%~30%。患者术后于我院肿瘤科定期随访,并采用"依托泊苷+奈达铂"方案,行4个周期化疗。患者术后1年,未见肿瘤复发(图4)。
PHNEC是一类十分罕见的神经内分泌肿瘤,其发病率约为1.5/10万。关于其肿瘤起源,目前存在3种假说:(1)来源于肝内胆管上皮的神经内分泌细胞。(2)来源于肝内异位的胰腺组织或肾上腺组织。(3)来源于肝脏多潜能干细胞。PHNEC生物学行为多种多样,从惰性地膨胀生长到恶性的局部浸润及远处转移均可见到[1]。
临床上根据其是否出现类癌综合征,分为功能性和非功能性两类。文献报道少数PHNEC患者具有类癌综合征,该临床症状有助于本病的术前诊断[2]。PHNEC影像学检查结果多表现为边界清晰的富血供包块,随着肿瘤的生长,肿瘤中央可见坏死液化区。PHNEC少见脉管癌栓,多无血管、淋巴管侵犯及腹腔淋巴结转移。PHNEC的MRI检查结果示:T1WI低信号,T2WI高信号,弥散加权成像弥散受限,增强扫描呈渐进性强化,延迟扫描为相对低信号,本研究结果与其相似[1,3]。PHNEC的诊断需具备以下条件:(1)排除肝外原发病灶。(2)嗜铬素A、突触素、神经元特异性烯醇化酶等神经内分泌标志物免疫组织化学染色检测呈阳性表现[4]。本例患者符合上述诊断标准。
目前PHNEC治疗上首选手术切除,Alagusundaramoorthy和Gedaly[5]的研究结果发现根治性肝叶切除患者1、3、5年的生存率分别为75.0%、56.3%和56.3%。肝动脉化疗栓塞术、射频消融术可用于无法手术切除患者,生长抑素类似物联合干扰素治疗PHNEC的治疗效果有待进一步证实[2]。与其他肝脏原发性恶性肿瘤比较,PHNEC预后也相对较好。赵婧等[3]的研究结果显示:肿瘤细胞的核分裂象和阳性百分比可作为预测患者预后的重要参考指标,而患者临床表现的功能性与非功能性、肿瘤大小、有无癌栓以及生长方式与患者预后无明显相关性。本例患者虽然肿瘤体积较大,侵及胆囊底部且伴有淋巴结转移,但患者Ki-67阳性率<30%,经手术治疗后,患者预后良好。这也与上述文献报道结果相似。





















