
总结背胰与主胰管并发变异的影像学检查特征,探讨其诊断及鉴别诊断要点。
采用回顾性描述性研究方法。收集2013年11月宁波大学医学院附属医院收治的1例背胰与主胰管并发变异患者的临床资料。患者行CT、MRI平扫及增强扫描、MRCP检查。观察指标:(1)CT、MRI检查表现。(2)胰腺相关径线值:①主胰管:最大宽径和扩张长度。②胰腺实质:背胰宽度和腹胰宽度。③其他径线:腹胰-中线,背胰-中线和背胰-脾门。(3)随访情况:患者相关实验室及影像学复查结果。采用门诊和电话方式进行随访,随访期间,复查相关实验室及影像学检查。随访时间截至2016年1月。
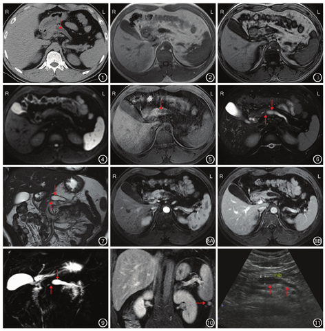
(1)CT、MRI检查表现:①CT检查:胰腺长度未见异常,胰体、尾部实质萎缩,胰头部体积稍增大,胰腺实质密度均匀,胰体、尾部主胰管扩张。②MRI检查:胰头部:T1加权成像(T1WI)、T2加权成像(T2WI)示胰头部体积稍增大,实质信号均匀,同、反相位无信号衰减,扩散加权成像(DWI)无弥散受限,增强扫描均匀明显强化。胰体、尾部:T1WI、T2WI示胰体、尾部变细,实质萎缩、变薄,DWI无弥散受限,增强扫描未见异常强化灶。胰管与胆管:①胰体、尾部主胰管明显扩张,内壁光整,以体部较宽,颈部主胰管变窄,头部主胰管无扩张,增强扫描见扩张的胰管内无异常强化灶;分支胰管均未见扩张。②MRCP检查示肝内、外胆管、胆囊未见扩张,腔内未见异常信号。胰腺边缘:光滑、规则,胰周脂肪间隙清晰。其他表现:脾脏下缘见一圆形软组织信号影,平扫及增强扫描信号强度均与脾脏一致。(2)胰腺相关径线值:①主胰管:最大宽径为12.6 mm,扩张长度为91.6 mm。②胰腺实质:背胰宽度为19.6 mm,腹胰宽度为26.7 mm。③其他径线:腹胰-中线为54.6 mm,背胰-中线为77.3 mm,背胰-脾门为18.5 mm。(3)随访情况:2014年11月,患者复查相关实验室检查结果均正常;超声检查:胰头部体积稍增大,内部回声分布均匀,胰体、尾部缩小,主胰管扩张,最大宽径约为12.3 mm。2015年11月患者复查实验室和超声检查结果无进展。
背胰与主胰管并发变异影像学检查主要表现为胰腺长度正常,胰体、尾部实质萎缩,主胰管扩张、内壁光整,胰头部轻度增大,增强扫描检查无异常强化灶。
版权归中华医学会所有。
未经授权,不得转载、摘编本刊文章,不得使用本刊的版式设计。
除非特别声明,本刊刊出的所有文章不代表中华医学会和本刊编委会的观点。
胰腺的胚胎发育复杂,临床上背侧胰腺(简称背胰)相关的各种解剖学变异较少见。近年来,背胰相关解剖学变异的影像学报道逐渐增多[1,2,3,4,5]。但背胰和主胰管并发变异的影像学研究较少。本研究回顾性分析2013年11月宁波大学医学院附属医院收治的1例背胰与主胰管并发变异患者的临床资料,总结其CT和MRI检查的影像学特征,以期为临床诊断胰腺此类变异提供有价值的影像学依据。
采用回顾性描述性研究方法。患者男,25岁。于2013年11月,因健康体检发现"胰管扩张",为进一步诊断与治疗,就诊于我院。患者无发热、皮肤巩膜黄染、腹上区疼痛、腹胀,既往体健。腹上区无压痛,未触及包块。实验室检查:血常规、生化检查、血清肿瘤标志物(AFP、CEA、CA19-9、CA72-4、细胞角蛋白19片段)、尿常规均正常。患者及家属均签署相关检查知情同意书。
CT检查:采用Brilliance iCT扫描(荷兰飞利浦公司产品)。扫描参数:管电压120 kV,管电流150 mA,层厚、层间距5 mm。
MRI检查:采用Signa HDxt 1.5T MR(美国GE公司产品)扫描。T1加权成像(T1 weight imaging,T1WI)采用快速扰相梯度回波序列,重复时间(repetition time,TR)150.00~200.00 ms,回波时间(echo time,TE) 1.61~4.89 ms。T2加权成像(T2 weight imaging,T2WI)采用快速自旋回波序列,TR 9 473.68 ms,TE 92.83 ms。平衡式稳态自由进动(Fiesta)序列:TR 4.50 ms,TE 1.60 ms。扩散加权成像(diffusion weighted imaging,DWI)采用呼吸触发自旋平面回波序列,TR 7 500.00 ms,TE 61.40 ms,b值取0、600 s/mm2。MRCP采用三维快速自旋回波序列,TR 3 529.00 ms,TE 558.96 ms。增强扫描采用肝脏容积加速采集(liver acquisition with volume acceleration,LAVA)序列,TR 4.45 ms,TE 2.15 ms,经肘静脉注入钆喷酸葡胺,注射速率1.5~2.0 mL/s,剂量0.1 mmol/kg。
(1)CT、MRI检查表现。(2)胰腺相关径线值:①主胰管:最大宽径:扩张主胰管最宽,且垂直于主胰管走行方向处的最大前后径;扩张长度:沿主胰管走行方向画一曲线,测量主胰管扩张部分右侧缘至左侧缘的曲线长度。②胰腺实质:背胰宽度:沿胰体、尾部主胰管走行方向画一斜冠状轴线,测量主胰管最宽处垂直于该轴线的最大前后径;腹胰宽度:沿胰头、颈部主胰管走行方向画一斜冠状轴线,测量胰头部垂直于该轴线的最大前后径。③其他径线:腹胰-中线:胰腺右侧缘与腹中线的距离;背胰-中线:胰腺左侧缘与腹中线的距离;背胰-脾门:胰腺左侧缘与脾门的距离。由2名影像科医师独立阅片并测量,每项径线测量3次,取平均值。最后取2名医师所测数据的平均值。(3)随访情况:患者相关实验室及影像学复查结果。
采用门诊和电话方式进行随访,随访期间,复查相关实验室及影像学检查。随访时间截至2016年1月。
CT检查:胰腺长度未见异常,胰体、尾部实质萎缩,胰头部体积稍增大,胰腺实质密度均匀,胰体、尾部主胰管扩张。见图1。


MRI检查:(1)胰头部:T1WI、T2WI示胰头部体积稍增大,实质信号均匀,同、反相位无信号衰减(图2,图3),DWI无弥散受限(图4),增强扫描均匀明显强化。(2)胰体、尾部:T1WI、T2WI示胰体、尾部变细,实质萎缩、变薄(图5,图6),DWI无弥散受限,增强扫描未见异常强化灶。(3)胰管与胆管:①胰体、尾部主胰管明显扩张(图5),内壁光整,胰体部较宽,颈部主胰管变窄(图6,图7),胰头部主胰管无扩张,增强扫描见扩张的胰管内无异常强化灶(图8);分支胰管均未见扩张。②MRCP检查示肝内、外胆管、胆囊未见扩张(图9),腔内未见异常信号。(4)胰腺边缘:光滑、规则,胰周脂肪间隙清晰。(5)其他表现:脾脏下缘见一圆形软组织信号影,平扫及增强扫描信号强度均与脾脏一致(图10)。
(1)主胰管:最大宽径为12.6 mm,扩张长度为91.6 mm。(2)胰腺实质:背胰宽度为19.6 mm,腹胰宽度为26.7 mm。(3)其他径线:腹胰-中线为54.6 mm,背胰-中线为77.3 mm,背胰-脾门为18.5 mm。
2014年11月,患者实验室检查示血常规、生化检查、血清肿瘤标志物(AFP、CEA、CA19-9)、尿常规均正常;超声检查:胰头部体积稍增大,内部回声分布均匀,胰体、尾部缩小,主胰管扩张(图11),最大宽径约为12.3 mm。
患者于2015年11月在外院复查实验室和超声检查,结果与2014年11月一致。
胰腺由腹胰原基和背胰原基发育而成,胰腺实质和胰管系统是由胚胎早期的两部分组织旋转后融合而成,在其旋转和融合过程中可能形成各种解剖学变异[6]。腹胰形成胰头部下分,其中有Wirsung管;背胰形成胰头部上分和胰体、尾部,其中有Santorini管[7]。随腹胰和背胰融合,Wirsung管和Santorini管相连接,形成主胰管,接合处一般位于胰颈部[8]。主胰管管径自胰尾部到胰头部逐渐增粗,且边缘光滑。胰腺最常见形态为逐渐变细型,即胰腺轮廓自胰头部到胰尾部逐渐变细[9]。
背胰相关解剖学变异主要有:背胰发育不全、胰尾部增宽、局部隆起及脂肪裂隙等[2]。背胰发育不全文献报道不足百例,其特点为胰体、尾部未发育或发育不全,临床上可继发胰岛素依赖性糖尿病[10,11,12]。目前此类变异尚无明确治疗指南[1]。本例患者既往体健,生化检查结果提示血糖、血脂正常,其原因可能为胰头部保留有足够的胰腺内、外分泌功能。
背胰发育不全的典型影像学检查表现为胰腺缩短,胰体、尾部短小或缺如[3,4];伴胰头部体积代偿性增大时,整体表现为"蝌蚪状"改变[3];胰尾部与脾门间胰床常被胃、肠管及脂肪倚靠[13]。胰腺分裂异常分为完全性和不完全性,高分辨率MRI检查发现独立的Wirsung管,或Santorini管和Wirsung管共存时可提示诊断[14]。本例患者与背胰发育不全、胰腺分裂异常不同,影像学检查表现为胰腺长度正常,胰体、尾部变细,实质萎缩;胰颈部Wirsung管和Santorini管接合处狭窄,Santorini管近侧段呈囊状扩张,内壁光整;同时还伴有副脾。本例患者形态上未形成特征性"短胰腺"表现,也无Wirsung管、Santorini管分别开口于十二指肠大乳头、小乳头的表现。因此,笔者认为:本例胰腺变异为背胰发育不良、Wirsung管和Santorini管融合不良并发的一种特殊类型的胰腺解剖学变异。
背胰与主胰管并发变异主要需与以下疾病鉴别:(1)胰腺导管内乳头状黏液瘤:多见于老年人,由于黏液分泌过量而导致分支胰管囊状扩张或主胰管局段性或弥漫性扩张,直径一般>5 mm,恶性者扩张胰管直径常>10 mm,有时主胰管内可见壁结节[15]。胰管内黏液信号与水样信号不同,MRCP检查能显示主胰管和分支胰管的全貌及向肠腔内突起、增大的十二指肠乳头,动态增强扫描检查可见胰管管壁及壁结节强化[16]。本例患者影像学检查表现为扩张主胰管管壁光滑,胰管内为水样信号(密度)影,增强扫描检查腔内无异常强化灶,十二指肠乳头无增大。(2)胰腺导管腺癌:多发生于胰头部,典型影像学检查表现为结节状异常信号影,增强扫描检查呈轻度强化,远端胰腺实质萎缩、胰管扩张,伴胰周侵犯表现。本例患者胰腺实质信号均匀,增强扫描检查无异常强化灶。(3)慢性胰腺炎:是中青年患者胰腺萎缩、并胰管扩张的常见病因,常有明确病史[17]。MRI检查T1WI上,胰腺实质可因纤维化而信号降低,主胰管管径不均匀串珠样扩张,伴分支胰管扩张,并可见胰管内钙斑、结石等导致的充盈缺损;形成炎性肿块时,与胰腺癌鉴别有一定困难,需密切随访。本例患者胰腺实质信号无明显降低,扩张胰管管壁光滑,管腔内无异常信号。(4)本研究测量了本例胰腺变异患者的胰腺相关径线值,可为该类胰腺解剖学变异的诊断提供一定参考依据。
综上,背胰与主胰管并发变异在临床上较为罕见,影像学检查主要表现为胰腺长度正常,胰体、尾部实质萎缩,主胰管扩张、内壁光整,胰头部体积轻度增大,DWI无明显弥散受限,增强扫描检查无异常强化灶。临床工作中,若对该类胰腺解剖学变异认识不足,可能将其误诊为胰头部占位性病变,继发胰管扩张和胰体、尾部实质萎缩,导致过度治疗。





















