
探讨胰腺神经内分泌肿瘤(pNENs)的CT和MRI表现特征。
采用回顾性描述性研究方法。收集2012年5月至2016年2月华中科技大学同济医学院附属同济医院收治33例pNENs患者的临床病理资料。患者行CT和MRI平扫和增强扫描检查。观察指标:(1)pNENs总体影像学表现及病理学结果。(2)功能性pNENs的影像学表现。(3)无功能性pNENs的影像学表现。主要分析肿瘤直径、部位、边界、密度、囊变、强化、信号、钙化、是否合并胰胆管扩张、有无周围组织侵犯、淋巴结及远处器官转移等信息。
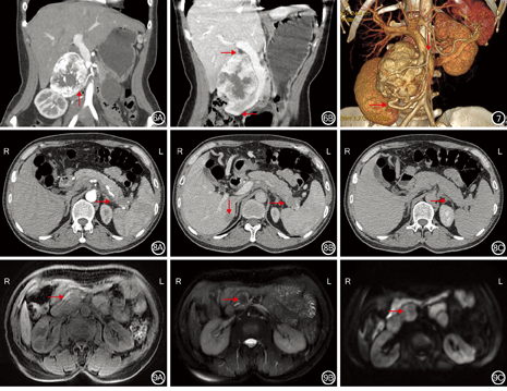
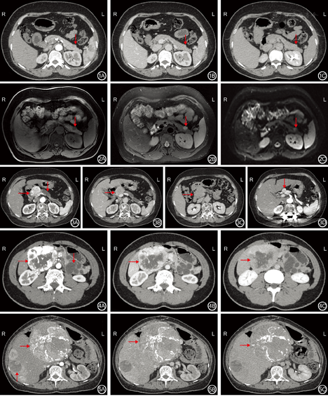
(1)pNENs总体影像学表现及病理学结果:33例pNENs患者中,24例行CT检查,3例行MRI检查,6例同时行CT和MRI检查。33例患者肿瘤均为单发,肿瘤直径为0.6~16.0 cm。肿瘤部位:胰头部10例、胰腺钩突部1例、胰体部13例、胰尾部9例。33例患者均经病理学检查诊断为pNENs,20例为功能性pNENs(均为胰岛素瘤),13例为无功能性pNENs。33例pNENs患者中,G1级24例,G2级7例,G3级2例。术前CT、MRI检查与病理学检查诊断符合率为90.9%(30/33),3例误诊患者术前诊断为胰腺癌1例、胰周肿大淋巴结1例、十二指肠间质瘤1例。(2)功能性pNENs的影像学表现:20例功能性pNENs患者,肿瘤直径为0.6~3.0 cm,平均肿瘤直径为1.5 cm。肿瘤部位:胰头部4例,胰体部10例,胰尾部6例。20例功能性pNENs患者中,19例肿瘤边界清楚,1例肿瘤边界欠清晰。20例功能性pNENs患者中,18例肿瘤密度均匀,2例肿瘤密度不均伴囊变,肿瘤均不伴有钙化。20例行动态增强扫描患者:19例肿瘤动脉期强化明显,门静脉期及延迟期强化程度稍高或等于正常胰腺组织,1例肿瘤动脉期呈弱强化、门静脉期及延迟期强化程度等于或稍低于正常胰腺组织。3例患者行MRI扫描检查患者:肿瘤均表现为脂肪抑制T1加权成像呈低信号,T2加权成像呈高信号,DWI(b=1 000 s/m2)高信号,肿瘤显示清晰。20例患者中,1例伴有肿瘤远端胰腺组织萎缩、胰管扩张、多发潴留囊肿及肝总动脉旁淋巴结肿大。(3)无功能性pNENs的影像学表现:13例无功能性pNENs患者,肿瘤直径为1.5~16.0 cm,平均肿瘤直径为5.0 cm。肿瘤部位:胰头部6例,胰腺钩突部1例,胰体部3例,胰尾部3例。13例无功能性pNENs患者中,11例肿瘤边界清晰,2例边界不清晰。13例无功能性pNENs患者中,3例肿瘤密度较均匀,10例密度不均,伴有囊变。13例无功能性pNENs患者中,2例肿瘤伴有钙化。13例行动态增强扫描患者:其中12例肿瘤动脉期强化明显,门静脉期及延迟期持续性强化,囊变区强化不明显,部分肿瘤可见明显增粗的供血动脉及引流静脉;1例肿瘤强化较弱,三期强化程度均稍低于正常胰腺组织,边界不清晰。6例患者行MRI扫描检查,4例患者肿瘤脂肪抑制T1加权成像呈低信号,T2加权成像呈稍高或混杂信号,DWI(b=1 000 s/m2)呈高信号;2例患者肿瘤脂肪抑制T1加权成像呈低信号,T2加权成像呈低信号,DWI(b=800 s/m2)呈稍高信号。13例无功能性pNENs患者中,4例出现胆管及胰管扩张。7例无功能性pNENs患者出现局部组织侵犯或远处转移(肝脏转移4例、胰腺周围淋巴结转移1例、肝脏和胰腺周围淋巴结同时转移1例,肝脏转移及脾动静脉侵犯1例),其中G1级1例,G2级4例,G3级2例。5例肿瘤直径>5.0 cm患者中,4例出现肝脏或淋巴结转移。
pNENs的CT和MRI检查表现具有一定特征性。功能性pNENs以良性多见,边界清楚,直径较小,以实性为主,增强时动脉期呈显著强化。无功能性pNENs肿瘤体积较大,瘤内常见囊变坏死,肿瘤强化方式呈多样性。
版权归中华医学会所有。
未经授权,不得转载、摘编本刊文章,不得使用本刊的版式设计。
除非特别声明,本刊刊出的所有文章不代表中华医学会和本刊编委会的观点。
胰腺神经内分泌肿瘤(pancreatic neuroendocrine neoplasms,pNENs)是一种起源于胰腺全能干细胞或内分泌细胞的少见肿瘤,仅占所有胰腺肿瘤的1%~2%[1]。根据pNENs分泌激素与否及临床表现,分为功能性和无功能性两种。功能性pNENs按其所分泌的激素不同分为胰岛素瘤、胃泌素瘤、胰高血糖素瘤、胰多肽瘤、生长抑素瘤、血管活性肽瘤、分泌生长激素释放因子肿瘤,以胰岛素瘤最为多见,其次是胃泌素瘤。功能性与无功能性pNENs表现多样、有良恶性之分,WHO 2010年分级系统将pNENs根据核分裂象和细胞增殖指数Ki-67分为G1、G2、G3级,且分级越高,恶性度越高,预后也越差[2]。本研究回顾性分析2012年5月至2016年2月我院收治的33例pNENs患者的临床病理资料,分析pNENs的CT和MRI表现特征。
采用回顾性描述性研究方法。收集33例pNENs患者的临床病理资料。患者均经手术标本或穿刺病理学检查证实为pNENs。其中男11例,女22例;年龄19~69岁,平均年龄50岁。33例患者的主要临床表现:19例表现为低血糖相关症状(如反复意识障碍、抽搐、头晕、晕厥、心悸、乏力等),11例表现为腹痛、消瘦、纳差、腹胀等非特异症状,3例无明显临床症状,健康体检时发现。本研究通过我院伦理委员会审批,批号为TJ-C20160101。患者及家属术前均签署相关检查和手术知情同意书。
纳入标准:(1)术前影像学检查资料完整。(2)经穿刺或外科手术治疗的患者。(3)术后病理学检查证实为pNENs。(4)临床及病理学资料完整。
排除标准:(1)术前影像学资料不完整。(2)未行穿刺或外科手术治疗的患者。(3)临床病理资料缺失。
采用宝石CT扫描仪(Disco-very CT750 HDCT,GE-Healthcare)扫描,扫描范围自膈顶以上2 cm至肾脏下缘。扫描参数:电压100 kV,电流250 mA,层厚及层间距5 mm。患者均行3期增强扫描,增强对比剂为碘普罗胺(370 mgI/mL)。采用高压注射器经肘静脉团注,并监测腹主动脉CT值,当腹主动脉CT值>120 HU时开始行动脉期扫描,门静脉期、延迟期分别在30 s和180 s开始扫描。图像重建:将5 mm层厚的原始图像薄层重建为1.25 mm层厚,在工作站上采用ADW4.5软件对图像进行图像后处理。
运用GE Discovery 750HD 3.0T MRI扫描仪对患者进行MRI检查。常规MR序列包括:轴位肝脏容积加速采集序列T1加权成像,冠状位单次激发快速自旋回波(SSFSE)压脂序列T2加权成像,轴位快速自旋回波(FSE)压脂T2加权成像序列,层厚4 mm,层间距1 mm。轴位弥散加权成像(DWI)的b值选择50~1 000 s/m2。增强扫描采用LAVA-FLex序列,对比剂为钆喷替酸葡甲胺,动脉期、门静脉期、延迟期扫描时间分别为20~30 s、55~60 s、180~240 s。
由2名资深影像学诊断医师共同分析影像学图像,并对图像进行多平面重建和容积再现。
(1)pNENs总体影像学表现及病理学结果。(2)功能性pNENs的影像学表现。(3)无功能性pNENs的影像学表现。主要分析肿瘤直径、部位、边界、密度、囊变、强化、信号、钙化、是否合并胰胆管扩张、有无周围组织侵犯、淋巴结及远处器官转移等信息。
33例pNENs患者中,24例行CT检查,3例行MRI检查,6例同时行CT和MRI检查。33例患者肿瘤均为单发,肿瘤直径为0.6~16.0 cm。肿瘤部位:胰头部10例、胰腺钩突部1例、胰体部13例、胰尾部9例。33例患者均经病理学检查诊断为pNENs,20例为功能性pNENs(均为胰岛素瘤),13例为无功能性pNENs。33例pNENs患者中,G1级24例,G2级7例,G3级2例。术前CT、MRI检查与病理学检查诊断符合率为90.9%(30/33),3例误诊患者术前诊断为胰腺癌1例、胰周肿大淋巴结1例、十二指肠间质瘤1例。
20例功能性pNENs患者,肿瘤直径为0.6~3.0 cm,平均肿瘤直径为1.5 cm。肿瘤部位:胰头部4例,胰体部10例,胰尾部6例。20例功能性pNENs患者中,19例肿瘤边界清楚,1例肿瘤边界欠清晰。20例功能性pNENs患者中,18例肿瘤密度均匀,2例肿瘤密度不均伴囊变,肿瘤均不伴有钙化。20例行动态增强扫描:19例肿瘤动脉期强化明显,门静脉期及延迟期强化程度稍高或等于正常胰腺组织,1例肿瘤动脉期呈弱强化、门静脉期及延迟期强化程度等于或稍低于正常胰腺组织。见图1。3例患者行MRI扫描检查患者:肿瘤均表现为脂肪抑制T1加权成像呈低信号,T2加权成像呈高信号,DWI(b=1 000 s/m2)高信号,肿瘤显示清晰。见图2。20例患者中,1例伴有肿瘤远端胰腺组织萎缩、胰管扩张、多发潴留囊肿及肝总动脉旁淋巴结肿大(图3)。


13例无功能性pNENs患者,肿瘤直径为1.5~16.0 cm,平均肿瘤直径为5.0 cm。肿瘤部位:胰头部6例,胰腺钩突部1例,胰体部3例,胰尾部3例。13例无功能性pNENs患者中,11例肿瘤边界清晰,2例边界不清晰。13例无功能性pNENs患者中,3例肿瘤密度较均匀,10例密度不均,伴有囊变(图4)。13例无功能性pNENs患者中,2例肿瘤伴有钙化(图5)。13例行动态CT增强扫描患者:其中12例肿瘤动脉期强化明显,门静脉期及延迟期持续性强化,囊变区强化不明显,部分肿瘤可见明显增粗的供血动脉及引流静脉(图6, 图7);1例肿瘤强化较弱,三期强化程度均稍低于正常胰腺组织,边界不清晰(图8)。6例患者行MRI扫描检查,4例患者肿瘤脂肪抑制T1加权成像呈低信号,T2加权成像呈稍高或混杂信号,DWI(b=1 000 s/m2)呈高信号;2例患者肿瘤脂肪抑制T1加权成像呈低信号,T2加权成像呈低信号,DWI(b=800 s/m2)呈稍高信号(图9)。13例无功能性pNENs患者中,4例出现胆管及胰管扩张(图10,图11)。7例无功能性pNENs患者出现局部组织侵犯或远处转移(肝脏转移4例、胰腺周围淋巴结转移1例、肝脏和胰腺周围淋巴结同时转移1例,肝脏转移及脾动静脉侵犯1例),其中G1级1例,G2级4例,G3级2例。5例肿瘤直径>5.0 cm患者中,4例出现肝脏或淋巴结转移。




pNENs是一种少见肿瘤,发病率低,多见于成年人,男女发病率无差异[3,4]。pNENs多数为单发,少数可为多发[3]。功能性pNENs的临床症状根据其分泌的激素而定,如胰岛素瘤表现为典型Whipple三联征;胃泌素瘤表现为多发消化性溃疡的病变。无功能性pNENs一般无任何症状,当肿瘤较大时可以产生压迫等非特异性症状。本研究中患者因与上述临床症状相似就诊。
功能性pNENs患者因就诊时间早,肿瘤发现时较小(直径≤2 cm)。CT平扫时小肿瘤可不造成胰腺形态和轮廓改变,密度较均匀,较少伴有囊变坏死、钙化,常不伴有胰胆管扩张。无功能性pNENs患者肿瘤较大,可分为实性、囊实性及囊性,以实性,囊实性多见,钙化较常见,呈蜂窝或车轮状改变[5]。有文献报道发现影像学钙化表现有助于pNENs的诊断[6,7]。绝大多数pNENs是富血供肿瘤,增强扫描动脉期强化明显,这是pNENs的特征性表现。少数功能性pNENs为少血供肿瘤,动态增强扫描呈弱强化,与胰腺癌的强化方式相似。MRI扫描检查时,胰腺实质由于含有丰富的蛋白成分T1加权成像表现为高信号,而肿瘤在缺乏蛋白成分且含水量高T1加权成像表现为低信号,两者间信号强度的差异可以清晰地显示肿瘤,在脂肪抑制图像上这种对比更为明显,有利于小肿瘤的检出[7]。有文献报道显示:对于直径<1 cm的功能性pNENs,MRI检查发现病变的灵敏度及诊断的准确率均高于CT检查[7]。本研究结果显示:功能性pNENs的MRI检查表现比较一致;而无功能性pNENs的T2加权成像表现呈多样性,呈稍高、混杂或低信号。这是由于肿瘤较大时容易坏死囊变,部分伴有钙化,因此肿瘤信号比较混杂,且肿瘤内存在促结缔组织反应,当肿瘤内纤维组织含量较少时T2加权成像表现为高信号,反之则T2加权成像表现为等或低信号。本研究结果显示:DWI在小肿瘤的检出上发挥着重要作用,DWI通过组织内水分子扩散受限情况间接反映组织结构变化及细胞增殖分化情况,随着DWI的b值增高肿瘤信号亦逐渐增高[8,9]。因此,可以将小肿瘤凸显出来。此外,有研究结果表明:DWI的定量指标表观扩散系数值与pNENs的组织病理学特征Ki-67指数呈负相关,可以成为pNENs分化程度的评估指标[10]。因此,MRI扫描检查有助于pNENs的检出、定性及肿瘤分期,为外科手术的术前准备提供重要信息。
Low等[3]报道功能性pNENs中胰岛素瘤大部分为良性,仅10%为恶性,而无功能性pNENs 60%~90%为恶性。目前,对恶性pNENs的诊断尚缺乏统一标准,有文献报道恶性pNENs具有细胞异型性与核分裂象较多、局部浸润或淋巴结远处转移等恶性肿瘤的特点[11,12,13,14,15]。单从病理学改变判断pNENs的良恶性存在一定的局限性,只有当发生其他脏器或淋巴结转移时才是诊断恶性的可靠依据[16]。因此,应将病理学改变、局部组织侵犯、淋巴结及脏器转移等均纳入诊断恶性pNENs的参考标准。文献报道认为:肿瘤大小与恶性程度相关,肿瘤越大,则恶性程度越高[17,18]。本研究结果显示肿瘤直径>5 cm的患者中肝脏或淋巴结转移率较高。这提示肿瘤恶性度与肿瘤直径可能相关。
pNENs的影像学表现具有一定的特征性,但需与其他肿瘤进行鉴别:(1)胰腺癌:胰腺癌绝大多数为少血供肿瘤,且恶性度高,容易侵犯胰胆管、邻近血管,远端胰腺组织萎缩常见,较小肿瘤即可出现转移。胰腺癌的肿瘤标志物CA19-9常升高明显。pNENs多为富血供肿瘤,增强扫描肿瘤明显强化,对周围组织和血管主要以推移为主,CA19-9一般不升高。(2)胃肠道间质瘤:外向型生长的pNENs与胃肠道来源的间质瘤进行鉴别,pNENs近胰腺缘侧与胰腺的交界面呈杯口状改变,有利于来源于胰腺的诊断,同时肠道来源的间质瘤常伴有消化道出血等消化道症状。
综上所述,功能性pNENs以良性多见,边界清楚,直径一般<2.0 cm,以实性为主,增强时动脉期呈显著强化,结合典型的临床表现和相关实验室检查指标进行诊断。无功能性pNENs肿瘤体积较大,瘤内囊变坏死常见,肿瘤强化方式呈多样性。由于MRI检查的软组织分辨率高于CT检查,有利于肿瘤的检出与定性,特别是对于体积小及少血供的pNENs,MRI脂肪抑制T1加权成像序列对肿瘤的显示要优于CT检查,随着功能序列的不断发展,MRI可以作为pNENs的首选影像学检查方法。





















