
版权归中华医学会所有。
未经授权,不得转载、摘编本刊文章,不得使用本刊的版式设计。
除非特别声明,本刊刊出的所有文章不代表中华医学会和本刊编委会的观点。
患者男,66岁。因排便困难伴便血2个月余,且症状反复,治疗无明显好转,同时伴腹胀,恶心呕吐,肠镜及活组织检查结果提示直肠腺癌,于2016年1月27日收治入院。入院时体格检查见消瘦貌,一般情况差。CT检查示胃壁、直肠壁增厚,胃壁局部厚度为2.7 cm,有强化。胃镜检查示胃体及胃窦黏膜增厚,皱襞明显增粗,胃体前壁可见一枚不规则溃疡,直径约1.8 cm,周边高低不平,欠光整,质地脆弱。胃镜活组织检查示胃体腺癌。实验室检查:RBC 3.6×1012/L,Hb 95.0 g/L,血生化TP 52.8 g/L。
周昱主治医师:患者为老年男性,因排便困难伴便血2个月余入院。结合胃镜、病理学活组织检查报告及影像学检查,诊断为胃癌伴直肠癌。腹腔及腹膜后未见肿大淋巴结,腹膜腔未见积液。
周宏副主任医师:患者目前直肠癌、胃癌诊断明确。手术方式考虑直肠癌根治+全胃切除,但具体手术方式仍需以术中情况决定。手术过程中,因病变浸润、炎症、解剖异常等因素,可能发生术中难以控制的出血,并有损伤、切除邻近脏器或组织的可能,手术中发现病变不能切除,则行姑息性手术或仅作探查。术后注意监测血压,防止心脑血管意外可能。术后患者易发生恶心、呕吐,营养不良,倾倒综合征。需向患者家属交代清楚。
夏加增主任医师:同意上述医师的意见。患者直肠癌、胃癌诊断明确,与患者家属沟通后要求行手术治疗。根据肠镜、胃镜、CT检查提示为重复癌,患者为老年男性,手术较大,同时不排除已有转移,无法切除肿瘤,手术风险需与家属沟通。需注意术中、术后监护,生命体征及出入量平衡等情况。
患者及家属术前签署手术知情同意书。
手术治疗:患者于2016年2月3日在全身麻醉下行腹腔镜直肠癌根治+降结肠造口+根治性全胃切除术,截石位套管针穿刺进腹,腹腔镜下游离直肠,术中见肿瘤位于直肠上端,缩窄形,长满肠腔一圈,距肿瘤上切缘8.0 cm,下切缘5.0 cm处,切除直肠标本。降结肠残端放入盆腔,待行降结肠造口术。提起横结肠,游离胃,胃体小弯侧前壁见一大小约2.0 cm×2.0 cm溃疡型肿瘤,肝、胰腺、腹腔、盆腔无转移结节,将全胃标本取出,清扫各组淋巴结,完成食管空肠Roux-en-Y吻合。在距屈氏韧带30 cm处行空肠造口术,造瘘管从左侧腹壁引出并固定。在左髂区腹壁做切口,逐层关闭腹腔,将降结肠开放与皮肤缝合造瘘。手术顺利,手术时间为230 min,术中出血量约为200 mL。
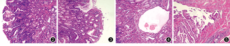
手术切除标本病理学检查:胃切除标本(图1):大弯长28 cm,小弯长13 cm,大网膜大小13.0 cm×8.0 cm×5.0 cm,距上切缘2.0 cm,下切缘8.5 cm,胃体至胃窦见弥漫性的颗粒状隆起,黏膜皱襞粗大,呈脑回样改变,胃黏膜厚1.5~2.0 cm,范围为17.0 cm×13.0 cm。胃体小弯侧见一溃疡,大小约1.2 cm×1.0 cm×0.5 cm,切面苍白,质地脆弱,距上切端3.0 cm,下切端12.0 cm。找到淋巴结:胃小弯11枚,直径0.3~0.8 cm;胃大弯7枚,直径为0.3~1.2 cm。直肠切除标本:肠管一段长11.0 cm,直径为3.0~3.5 cm,距一切缘2.5 cm,另一切缘5.0 cm处见一溃疡型肿瘤,大小5.0 cm×2.5 cm×1.0 cm,环绕肠管全周,切面苍白,质地脆弱,浸润肠壁全层。肠周淋巴结10枚,直径0.3~0.8 cm。镜检:胃小凹上皮细胞高度增生,小凹螺旋状扭曲,并向表面扩张,开口处覆盖有大量黏液,胃体腺减少、变形,腺上皮主细胞和壁细胞减少,可见腺体囊性扩张,黏液分泌亢进,间质水肿,炎细胞浸润。溃疡处肿瘤细胞呈浸润性生长,呈管状、乳头状排列,部分管腔内黏液潴留,细胞核深染畸形,伴异型性(图2,图3,图4,图5)。直肠肿瘤癌细胞核圆深染畸形、大小不一,呈索状、管状排列。病理学诊断:(1)胃体:胃Ménétrier病伴局部溃疡癌变,癌组织浸润胃壁黏膜下层。切缘未查见癌细胞。淋巴结查见癌细胞(胃体大弯0/7,胃小弯6/11)。(2)直肠:溃疡型中分化管状腺癌,浸润肠壁全层,切缘未见癌细胞。淋巴结查见癌转移(直肠1/10)。




患者术后3个月入院检查,一般情况良好,无特别不适,实验室检查未见明显异常,予"奥沙利铂+替吉奥"方案进行化疗,并予止吐等对症支持治疗。术后随访6个月未见复发及转移。
Ménétrier病是一种罕见的原因不明的胃黏膜腺体增生性疾病,以胃内黏膜良性增生肥厚为主要表现。最初Ménétrier于1888年发现并描述,故而得名[1]。本病曾有多种不同的名称,如胃黏膜巨大肥厚症、巨大肥厚性胃炎、肥厚性增生性胃炎等。目前文献报道的病例多为单纯的Ménétrier病,伴癌变罕见,本文报道1例Ménétrier病患者,病变区域局部伴溃疡癌变,同时伴大肠癌,属于重复癌。
Ménétrier病的病因和发病机制并不清楚。可能与细菌、病毒、免疫异常、变态反应、遗传因素、内分泌因素和物理化学等因素有关。有研究结果表明:Ménétrier病的发病过程存在转化生长因子过表达,导致表皮生长因子受体信号转导扩增现象[2,3]。
Ménétrier病以中年发病多见,儿童发病少见,男女比例约为3∶1。Ménétrier病的临床表现多样,缺乏特异性。多以腹痛或上腹不适起病,其他主要临床表现为恶心呕吐、腹胀以及消瘦、纳差、外周水肿等,也可出现呕血、黑便等活动性病变的表现。最突出的症状是低蛋白血症。胃镜及上消化道造影检查表现为胃黏膜皱襞粗大肥厚、脑回状改变。表面附有大量黏液或白苔。因胃黏膜肥厚明显,胃镜检查时取材过少或过表浅则不易获得典型病理学特征,深凿活组织检查或黏膜全层活组织检查更利于明确诊断。
Ménétrier病大体上分弥漫型及局限型两种病理学类型[4]。弥漫型者病变范围从贲门纵行至幽门。局限型者病变累及胃体与胃底或胃窦。胃增大柔软,黏膜面覆盖厚层黏液,黏膜正常结构消失,代之以异常巨大的脑回样皱襞,皱襞间隔以深裂,皱襞表面呈结节状,有糜烂及出血,少数病例可伴有溃疡等病变。镜下检查示黏膜层明显增厚、胃小凹显著增生、小凹黏液腺体向下延长、迂曲或囊状扩张。泌酸腺萎缩,主细胞和壁细胞显著减少。正常小凹与固有腺体的比值约为1∶4,而Ménétrier病患者比例常为1∶1,甚至2∶1。少数患者伴癌变。
鉴别诊断:应注意与胃癌、淋巴瘤等引起黏膜皱襞粗大的疾病相鉴别,病理学检查可明确诊断。在与胃癌鉴别的同时,应注意Ménétrier病患者有合并胃癌的可能。文献报道Ménétrier病合并胃癌的发生率为5%~15%,临床表现为上腹部症状较重,消瘦明显,且影像学或内镜检查结果提示恶性的表现[5,6]。Ménétrier病和胃癌的发病序贯关系尚有争论。部分研究者认为:癌变继发于Ménétrier病之后,Ménétrier病会增加胃癌发生风险;也有部分研究者认为:Ménétrier病和胃癌作为互相独立的疾病同时存在。本例患者病理学检查示腺癌,笔者认为:Ménétrier病可能与胃癌的发生有一定关系,但病变常比较局限,判断Ménétrier病是否癌变必须细切,以每隔0.2 cm为宜,多取材,尤其对病变累及胃窦者更应如此,这样才能提高癌变的检出率。
综合上述分析结果,支持Ménétrier病的诊断要点有[7,8]:(1)有临床症状尤其是上消化道症状,如腹痛、上腹不适、腹胀、恶心呕吐,和(或)全身症状,如纳差、消瘦、水肿。(2)实验室检查有低蛋白血症、胃酸分泌减低。(3)内镜或影像学检查见胃黏膜皱襞粗大肥厚,呈脑回样改变。(4)确诊依靠病理学检查:黏膜层明显增厚,胃小凹显著增生,小凹腺体向下延长、迂曲或囊状扩张。肥厚只限于黏膜层,而黏膜下层及肌层正常。胃黏膜增生主要为黏液上皮,若同时出现泌酸腺萎缩,更支持Ménétrier病的诊断。
Ménétrier病的治疗包括内科对症支持治疗和外科手术治疗。部分学者认为:幽门螺杆菌感染可能参与Ménétrier病的发生,因此,对幽门螺杆菌阳性的Ménétrier病患者应首先考虑行根除幽门螺杆菌治疗。国外另有应用EGFR单克隆抗体等治疗,部分患者疗效较好。刘烨等[8]对文献报道的中国Ménétrier病患者进行了荟萃分析,约半数患者接受支持对症治疗,其中76.9%的患者获临床缓解。上述研究结果提示,Ménétrier病患者可以首先接受保守治疗,对于诊断困难或内科疗效差的病例可考虑手术。本例患者胃Ménétrier病伴有溃疡癌变,同时伴有直肠癌,须行根治性手术切除治疗,术后辅以化疗。单纯Ménétrier病虽病程迁延,但总体预后良好。Ménétrier病伴癌变病例罕见,难以进行随机对照研究,因此,应收集更多、更全面的资料,加强对Ménétrier病患者的随访,为临床诊治提供指导意义。





















