
版权归中华医学会所有。
未经授权,不得转载、摘编本刊文章,不得使用本刊的版式设计。
除非特别声明,本刊刊出的所有文章不代表中华医学会和本刊编委会的观点。
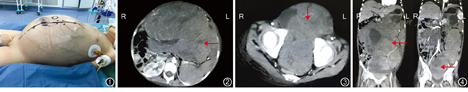
患儿女,6岁,回族。因左肾母细胞瘤术后7个月,腹部胀痛1个月于2016年12月24日收入我院。患儿于2016年5月在当地医院行左肾母细胞瘤根治术,术后因经济原因,未接受化疗。2016年11月患儿出现腹部胀痛不适,逐渐加重,腹部逐渐膨隆。既往无其他特殊病史。体格检查:心率140次/min、呼吸30次/min、血压90/70 mmHg(1 mmHg=0.133 kPa)、身高110 cm、体质量21 kg。根据文献[1]的标准,患儿营养风险评分为4分。强迫坐位、侧卧位,不能平卧。咳嗽,咳白色泡沫痰。双肺呼吸音粗。心音有力,心律齐。腹部膨隆,腹壁静脉广泛曲张(图1)。左季肋区可见斜行切口瘢痕。全腹软,腹部肿瘤质地坚硬,表面光滑,边界不明确,有压痛。


入院检查:血常规检查:Hb 86 g/L、PLT 354×109/L、WBC 9.25×109/L。肝功能检查:ALT 24 U/L、AST 54 U/L、Alb 26.5 g/L、TBil 6.71 μmol/L。电解质、凝血功能、肾功能正常。心电图:窦性心动过速。心脏彩色多普勒超声检查:房间隔中部可见左向右分流束,考虑房间隔缺损。双下肢静脉通畅,无血栓。腹部彩色多普勒超声检查:腹腔囊实性混合性包块,大小约31 cm×24 cm×13 cm。CT检查:肺间质水肿渗出,两肺下叶膨胀不良。腹腔、左侧腹膜后及盆腔巨大包块,大小约30 cm×20 cm×14 cm,腹膜后淋巴结增大(图2,图3,图4)。初步诊断:腹、盆腔恶性肿瘤;左肾母细胞瘤切除术后、营养不良、中度贫血、低蛋白血症、房间隔缺损。
患儿入院经过检查、营养支持治疗后,于2016年12月28日行多学科团队讨论。
普通外科谭凯主治医师汇报临床资料同前。2016年12月28日血常规检查:Hb 84 g/L、PLT 230×109/L、WBC 7.54×109/L、中性粒细胞占78.8%。Alb 31.3 g/L。血气分析:pH 7.354、PaO2 60 mmHg。核素右肾动态扫描检查示右肾功能正常。
放射科医师:腹腔包块考虑肿瘤复发并种植转移,瘤内大量瘤血管,轻中度强化,肠管及腹部大血管大多受压向右侧移位,无明显侵犯,胰腺及脾脏受压移位。右肾代偿性增大。
泌尿外科医师:肾母细胞瘤常对化疗、放疗敏感。告知患儿家属病情为肿瘤晚期、一般情况差,手术是其合适的治疗方法,但麻醉、手术风险及难度较大。术前营养支持治疗,纠正贫血、低蛋白血症。术中严格控制出血量,愿协助术中处理。术中可能切除胰体尾,术后有胰瘘风险。
肿瘤科医师:患儿系肾母细胞瘤术后复发,以患儿目前的一般状况,不适合全身化疗。以减瘤手术为主,实施减瘤术之前可请介入科行DSA+栓塞化疗,二期手术行根治性切除术,术后辅助化疗。
介入科医师:如患儿拟行手术治疗,术前行DSA+栓塞化疗,将配合完成介入手术。但患儿不能平卧,不能配合介入手术,必要时全身麻醉后,行介入手术。
放疗科医师:诊断同前,肾母细胞瘤对放疗敏感。瘤负荷大,不建议放疗。CT检查示肿瘤与周围大血管的关系尚明确。若有手术机会,争取手术治疗,术后可辅助放疗或化疗。目前给予抗炎、营养支持治疗,营养可给予计算量的70%。
中医科医师:患儿为恶性肿瘤术后复发、转移,目前给予营养支持治疗,以低糖高脂高蛋白营养支持治疗。内科对症处理,外科手术治疗效果最为明确。
普通外科杜锡林教授:患儿目前生命质量极差,呈器官衰竭状态。放疗、化疗起效慢,瘤体巨大,消耗大,只能行手术减瘤,改善生命质量,术后再化疗。请相关科室协助围术期准备。
呼吸内科医师:诊断考虑为双肺淤血、双肺炎症。患儿双肺呼吸音粗,未闻及干湿啰音,不考虑肺实质感染。但不能排除呼吸道阻塞和感染,阻塞原因可能为肿瘤复发、转移,可考虑支气管镜检查。建议给予抗感染治疗,若考虑手术治疗,呼吸科将协助围术期肺部疾病方面的处理。
心内科医师:患儿有房间隔缺损,其缺损直径<5 mm可不予以治疗。患儿无发热、感冒,可查心肌酶谱了解心脏是否受损,目前针对房间隔缺损,可继续观察。
营养科医师:患儿术前消耗大,营养不良,皮下脂肪含量少,但患儿为恶性肿瘤晚期,治疗效果差。若手术治疗,尽量在术前1~2周内纠正营养,以保证手术顺利进行。因肿瘤巨大、压迫效应明显,营养纠正以肠外营养为主,肠内为辅。全天总热卡摄取量控制在1 500 kcal左右。术后已解除腹腔压迫,则以肠内营养支持治疗为主。
儿科医师:患儿发病隐匿、就诊晚,病情危重。放化疗之后,5年生存率为50%~80%。2~3岁最为常见,长期预后差。该患儿目前胃肠道功能正常。维持生命体征,尽量保持氧饱和度。逐渐增加肠内营养,加强静脉营养,维持热卡、水电解质平衡。适当给予RBC、血浆、人血Alb。手术前后儿科将积极配合用药,协助液体量、营养等管理。
麻醉科医师:术前充分营养支持,维持液路通畅,麻醉中严密监测生命体征,保持血流动力学稳定。手术风险大,争取家属充分理解。肺部情况差,尽量将氧饱和度维持良好,术中减少出血。
手术室护士:建立液体通路,体位防护,术中保暖,全力配合手术。
输血科医师:严密观察患儿血常规、凝血系列等,根据结果进一步处理,若患儿凝血功能异常,建议行血栓弹力图检测。我科为患儿准备好RBC、血浆、冷沉淀等血液制品。目前患儿Hb低,可输注RBC纠正贫血。
鲁建国教授总结:患儿病危,目前监测血气,行纠正营养治疗。患儿为肿瘤晚期,肾母细胞瘤对放疗、化疗敏感,但该患儿一般情况差,无足够时间行内科治疗。手术是最为有效的治疗方式,缓解症状效果快,但手术难度大,涉及腹腔、盆腔。肿瘤巨大,一旦开腹后必须进行切除,否则无法关腹。术后短时间内肿瘤复发且瘤体巨大,恶性程度高,减瘤的意义仅仅为改善患儿近期生命质量,拟定全部切除肉眼肿瘤。手术切除范围大,目前患儿耐受差。术前先抗感染、营养支持治疗,营养支持需儿科、营养科协助。若经过治疗一般状况逐渐改善,可考虑手术。若改善不明显,甚至情况恶化,停止手术。
谭凯主治医师:2017年1月1日血常规检查:Hb 107 g/L、PLT 207×109/L、WBC 6.22×109/L、中性粒细胞占76%。Alb 36.2 g/L。心肌肌钙蛋白0.018 μg/L、脑钠肽860.1 ng/L、肌酸激酶同工酶5.42 μg/L、肌红蛋白31.7 μg/L。术前准备过程:肠外营养支持治疗为主,输注血浆,人血Alb注射液,RBC悬液等改善营养。吹气球锻炼肺部功能,雾化气道,因患儿咳嗽、咳痰,C反应蛋白11.93 mg/L、降钙素原0.68 μg/L,考虑肺部感染,2016年12月30日给予头孢哌酮舒巴坦钠0.75 g/次,2次/d,静脉滴注抗感染治疗,患儿呼吸情况逐渐改善,无咳嗽、咳痰。患儿的一般状况较入院时好转。
陈安主治医师:患儿系恶性肿瘤晚期,营养不良,预后差。现患儿腹部胀痛明显,不能下床行走活动,每日仅少量饮食,生命质量极差,不行手术治疗,预计生存时间短。患儿家属要求手术治疗的意愿强烈。我科经过多学科讨论之后,综合意见为手术治疗,术前给予营养支持、输血、纠正低蛋白血症等处理。若患儿一般情况逐步改善,可考虑手术治疗,若情况无改善或逐渐变差,则不考虑手术治疗。经过治疗之后,患儿一般情况逐渐改善,可考虑手术治疗。
董瑞副教授:肿瘤巨大,侵及腹腔、盆腔,涉及腹腔内多个脏器。打开腹腔之后,因瘤体巨大,即使无法实施肿瘤切除,亦可能不能关腹,做好相关准备。手术的目的仅为减瘤,不能根治,术前需告知患方。手术可能要切除邻近脏器。
杜锡林教授:准备行手术治疗。手术的目的是减瘤。患儿体质量轻,血容量少,手术过程仔细操作,尽量避免术中大出血、误损伤。腹壁静脉广泛曲张,开腹时需仔细操作,尽量避免失血。术前备血。手术室护理组已经做好准备,包括患儿体位的防护、术中保暖、取血、抢救等。腹腔压力大,开腹之后腹腔压力骤减,患儿可能出现腹腔脏器充血、水肿、心衰等,危及生命,术中做好相关的治疗准备。包块融合成团,不易分离,或分离过程中出血量大,则无法实施肉眼所见肿瘤全部切除,关腹结束手术,甚至因腹腔压力大无法关腹,相关风险术前详细告知患儿亲属。术后根据恢复情况,决定患儿术后是否到重症监护室进一步监测及治疗。
鲁建国教授:手术的指征、风险、围术期准备等相关问题,经过讨论已实施。患儿经过营养支持、输血、输注人血Alb治疗等,一般状况逐渐改善。可行手术治疗。
术前准备充分,患儿家属签署手术知情同意书。于2017年1月3日行剖腹探查+腹腔肿瘤切除+左侧肾上腺切除+盆腔肿瘤切除+腹壁肿瘤切除术。术中探查:左侧经腹直肌切口,向上至左侧肋缘下,向下至髂前上棘水平。入腹过程中逐步结扎腹壁曲张血管。入腹之后,可见肿瘤与腹壁粘连,分离容易出血。使用双极电凝刀、缝扎等方式止血效果差。压迫出血点,向左侧肋缘下延长切口,入腹可见上腹腔肿瘤包膜完整、光滑,向上推挤脾脏、胰腺、胃、横结肠等脏器,胃网膜血管、横结肠系膜血管广泛曲张。进一步向足侧延长手术切口,显露下腹腔、盆腔肿瘤,未见肿瘤边界。腹腔肿瘤巨大,呈类圆形,大小约31 cm×25 cm×13 cm,多个瘤体融合而成,无操作空间,且创面广泛出血。使用吸引器缓慢吸引瘤体内积液,逐步增加腹腔内操作空间,快速实施瘤体分块切除,直至完整切除腹盆腔肿瘤。瘤体质量4.9 kg,手术时间4.5 h,出血量3 000 mL。输注A型RBC悬液10 U、血浆600 mL、冷沉淀凝血因子10 U。输液1 100 mL。术中建立3条静脉通路,深静脉置管自麻醉后持续输血,根据失血量,调整输血的速度直至术毕,保持稳定的血容量。术中持续监测血气,基本正常,无明显波动。手术结束之后,生命体征平稳,回普通病房继续治疗。
术后恢复顺利,术后第2天恢复进食流质食物,下床活动。术后第12天出院。术后病理学检查诊断:肾母细胞瘤复发。最后诊断:腹盆腔恶性肿瘤、腹壁转移瘤、左肾母细胞瘤切除术后、营养不良、低蛋白血症、中度贫血、双肺炎症、房间隔缺损。
术后患儿行化疗,随访至2017年8月7日未发现肿瘤复发,患儿生命质量良好。
随着手术技术的提高和化疗方案的改进,肾母细胞瘤的5年生存率已达到90%左右,外科医师在肾母细胞瘤的治疗过程中起重要作用[2,3]。本例患儿是肾母细胞瘤晚期、恶病质,仔细阅读影像学资料,肿瘤与周围脏器主要呈挤压的关系,而不是侵犯,有手术切除的可能。肾母细胞瘤一般对放化疗敏感,预后良好,影像学检查评估体积>1 000 mL的肾母细胞瘤,术中易发生破裂,应接受术前化疗后再手术[4]。该患儿的一般情况不适宜行放化疗,尤其是症状及体征是肿瘤的压迫、消耗所致,肿瘤切除是改善患儿情况的关键,待术后痊愈后实施化疗。
术前营养支持治疗削弱肿瘤诱导的分解代谢作用有限。改善患儿的呼吸、循环代偿能力尤为关键。通过输注Alb和RBC悬液、抗感染治疗,患儿的呼吸状况明显改善,由此决定行手术治疗。
瘤体的可切除性,影像学检查提示瘤体对周围重要的血管、器官以推挤为主,不涉及其他脏器的切除,比如肠道、胃、胰腺等,患者度过手术之后,可快速痊愈。腹膜后巨大肿瘤切除的术前准备同样适用于腹盆腔特大恶性肿瘤,甚至可以通过血管造影检查了解肿瘤与周围脏器、周围大血管的关系,术中做好吻合血管、人工血管替代等准备。肠道准备,瘤体巨大,术前影像学检查常难以判断与周围肠管侵犯的情况,需做好切除部分肠管的准备。储备充足的血源,因为瘤体巨大,创面大,出血量大。
特大肿瘤的术中风险:(1)打开腹腔之后,腹腔减压,腹腔脏器水肿、血管扩张,回心血量不足,心脏骤停。快速扩容输液,导致肺水肿。(2)瘤体血管丰富,在切除瘤体的过程中,瘤体表面及内在的血管破裂,广泛出血,患儿不容易耐受。(3)瘤体侵犯周围脏器、大血管等,解剖结构不清晰,在分解、翻动肿瘤过程中,组织撕脱伤导致其他脏器误损伤、出血等。上述并发症都是导致患者围术期死亡的风险因素。
为了避免一期手术移除瘤体,解除对下腔静脉压迫后,容量血管扩张,回心血量减少,心跳骤停的危险。霍明科等[5]采用腹部小切口开腹减压,待患者情况稳定之后,再次手术延长切口,直到三期手术才行肿瘤切除术。李海红等[6]则通过取小切口,穿刺抽囊液、腹腔积液,逐渐降低腹腔压力,直至患者生命体征平稳,然后行手术切除。
麻醉医师、护理师的参与也同样重要,在腹腔减压、翻动瘤体导致生命体征出现大的波动,需要停止操作,待情况稳定之后继续操作。术中输注大量库存血、液体、长时间的腹腔暴露都是导致患者低体温的因素,需要使用保温毯、输注加温的血液和液体。因患者肺部受压,情况欠佳,鼓励患者咳嗽、咳痰、吹气球等方式有助于改善肺部情况。患者活动能力差,需让其被动锻炼,按摩双下肢降低深静脉血栓形成的风险。





















