
版权归中华医学会所有。
未经授权,不得转载、摘编本刊文章,不得使用本刊的版式设计。
除非特别声明,本刊刊出的所有文章不代表中华医学会和本刊编委会的观点。
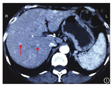
患者女,49岁,因体质量下降2年,双下肢及面部皮疹7个月,于2012年10月收入我院。患者本次入院前就诊经过:(1)于2010年10月开始出现口干、体质量下降,外院检查提示血糖、尿糖增高,诊断为2型糖尿病,给予降糖治疗,血糖控制不佳,体质量进行性下降。(2)于2011年2月15日行腹部CT检查示肝脏多发占位性病变(图1)。(3)于2011年3月2日行PET/CT检查示肝脏内弥漫性分布的结节状略低密度病变,肝左叶病变融合成片,肝脏炎性病变可能,建议行穿刺活组织检查;脾脏肿大,脑、肺、胰腺、胆囊显影未见异常(图2)。实验室检查:HBV、HCV相关指标均为阴性,血清肿瘤标志物AFP、CA19-9、CA125、CEA、CA242等均正常。影像学检查未见其他部位明显占位性病变。肿瘤标志物检查不支持恶性肿瘤诊断,患者拒绝行穿刺活组织检查。(4)2012年4月,患者出现双下肢、面部皮疹,呈进行性加重,在外院皮肤科按湿疹给予对症治疗,效果不佳。




患者本次入院后,于2012年10月复查胸腹部CT示胃底小弯侧胃壁增厚,强化明显,考虑胃癌可能;肝内多发低密度影,考虑肿瘤转移,与2011年CT检查结果比较,肝转移病灶明显增多、增大(图3)。胃镜检查示胃底静脉曲张,慢性萎缩性胃炎,镜下未发现胃癌征象。进一步行肝脏穿刺活组织检查,其病理学检查结果显示:转移性神经内分泌肿瘤,G2级(图4)。免疫组织化学染色检测结果显示:AE1/AE3、嗜铬素A、MOC31、突触素均为阳性,CD56可疑阳性,胰高血糖素部分阳性,Ki-67增殖指数为4%(图5)。全身奥曲肽显像(99Tcm-OCT)与腹部SPET/CT检查结果显示:胰尾部肿大(约于脾门水平)伴显像剂浓聚,与脾门血管分界欠清晰,肝内弥漫性低密度灶伴显像剂不同程度浓聚,考虑胰腺恶性肿瘤伴肝转移(图6)。实验室检查结果:血清胰高血糖素>800 ng/L。临床诊断:G2级胰腺神经内分泌肿瘤(胰高血糖素瘤),多发肝脏转移瘤;继发性糖尿病。
皮肤科王雷主治医师:坏死溶解性游走性红斑(necrolytic migratory erythema,NME)是胰高血糖素瘤最显著的特征性临床表现,发生率约为70%,常是临床首发症状[1]。NME好发于易摩擦及皮肤皱褶部位,如四肢末端、会阴、唇沟、颜面部及腹下区等。由于皮肤损害呈间歇性,缺乏特异性,临床上难与湿疹、银屑病、脂溢性皮炎等皮肤病相鉴别,容易误诊[2]。本例患者患病初期出现NME,曾被误诊为"湿疹"。因此,提高对NME特征性表现的认识,有助于本病的早期诊断。然而,引起NME的机制尚不完全明确。已有的研究结果显示:NME可能与低氨基酸中毒及必需脂肪酸、Zn等营养物质缺乏相关[3]。
肿瘤科杨静悦副教授:2/3以上的胰高血糖素瘤患者均发生糖尿病,其症状一般相对较轻,极少发生酮症酸中毒和慢性并发症,容易被误诊为2型糖尿病。多数患者无需胰岛素治疗,仅饮食调节或口服降糖药物,血糖即可控制在较好水平。肿瘤细胞自主分泌较多的胰高血糖素使血糖升高,血清中较高的血糖和胰高血糖素又反馈性刺激胰岛B细胞,使其分泌较多胰岛素,两种因素相互拮抗,使血糖升高并不十分明显。本例患者以口干、消瘦等糖尿病症状为首发临床表现,体质量下降约10 kg。56%~91%的胰高血糖素瘤患者表现为消瘦,常伴有营养不良、低蛋白血症、低氨基酸血症。患者体质量减轻可能与肿瘤分泌胰高血糖素及其代谢产物加快了机体的分解代谢,肿瘤产生多肽影响肠道分泌及蛋白、脂肪代谢,引起消化、吸收不良;与肿瘤生长和转移自身消耗大量能量;与舌炎、口角炎影响进食,长期能量摄入减少可能均相关。
影像医学科任静副教授、核医学科李国权副教授:影像学检查如增强CT和MRI对胰腺神经内分泌肿瘤有重要的诊断价值,多表现为动脉相早期强化的富血供病灶。常用诊断胰腺神经内分泌肿瘤的影像学检查方法包括[4]:(1)胰腺增强CT和(或)MRI检查。(2)EUS检查。(3)生长抑素受体显像和68Ga-PET/CT检查。(4)动脉造影检查。(5)术中超声检查。生长抑素受体核素显像诊断原发性神经内分泌肿瘤和转移肿瘤,其灵敏度均超过其他影像学检查方法,已被推荐为胰高血糖素瘤定位、分级最好的影像学检查方法[5]。本例患者增强CT、18氟-氟代脱氧葡萄糖-PET/CT检查均未发现胰腺尾部病灶,全身奥曲肽显像(99Tcm-OCT)与腹部SPET/CT检查定位于胰腺尾部病灶为原发肿瘤。
病理科李增山教授:病理学检查可对胰高血糖素瘤进行定性诊断,穿刺活组织检查是常用手段。根据2010年世界卫生组织神经内分泌肿瘤分级标准判断,其中G1级和G2级为神经内分泌瘤,G3级为神经内分泌癌。本例患者的Ki-67增殖指数为4%,属G2级神经内分泌瘤。
肝胆胰脾外科刘正才教授、李海民教授:手术是胰高血糖素瘤的首选治疗方式,其目的是尽可能完整切除肿瘤组织[1]。手术方式选择应根据肿瘤的大小、位置及数目而定。目前手术方式包括:远端胰腺切除术、胰腺次全切除术、Whipple术及单纯肿瘤剜除术等。对于合并肝转移灶可切除者,应考虑同时行肝转移病灶切除;对于肝转移灶不可切除者,建议行肝动脉栓塞治疗;对于原发病灶无法完整切除者,可考虑减瘤手术减轻瘤负荷,减瘤手术虽然无法达到根治效果,但可明显缓解患者的临床症状;对于复发患者,如果身体状况好、肿瘤可切除,则应考虑再次手术。本例患者可先采取内科治疗,为手术切除创造条件,甚至可以考虑胰腺肿瘤切除,肝脏移植。
肿瘤科张红梅副教授、放疗科李剑平副教授:(1)化疗对胰腺神经内分泌肿瘤有一定的疗效[6]。对无法手术、进展期、高分化、肝转移患者,可采用链脲霉素联合氟尿嘧啶和(或)阿霉素方案。链脲菌素联合多柔比星方案是标准的一线化疗方案,但毒性较大。G3级肿瘤推荐使用依托泊苷联合顺铂方案化疗。替莫唑胺单药或联合卡培他滨对转移性胰腺神经内分泌肿瘤也有一定疗效。5-氟尿嘧啶或卡培他滨联合奥沙利铂或伊立替康等方案也可以作为神经内分泌肿瘤二线治疗的选择。(2)生长抑素类似物可明显缓解患者临床症状,降低血清胰高血糖素水平,改善皮肤损害,尤其对于生长抑素受体阳性、胰高血糖素持续升高的胰高血糖素瘤患者作用明显。大量回顾性研究以及前瞻性随机研究结果表明:生长抑素类药物可治疗进展缓慢的G1级和G2级神经内分泌肿瘤,以及生长抑素受体阳性的G3级肿瘤,其不良反应较小[7]。(3)分子靶向药物,最具代表性的有舒尼替尼和依维莫司。Raymond等[8]进行的一项随机、双盲、多中心、Ⅲ期临床研究,其中期分析结果显示:患者中位无进展生存时间、预计总体生存时间、客观缓解率,舒尼替尼组均优于安慰剂组。RADIANT-3研究结果显示:晚期胰腺神经内分泌肿瘤患者的无进展生存时间依维莫司组明显优于安慰剂组,但两组总体生存时间比较,差异无统计学意义[9]。因此,舒尼替尼和依维莫司可用于转移性中、低级别胰高血糖素瘤的临床治疗[9]。
肝胆胰脾外科窦科峰教授:同意以上教授意见。本例患者诊断明确,为晚期功能性胰腺神经内分泌肿瘤,胰腺占位性病变并肝脏广泛转移,生长抑素和靶向治疗一般可获得较好效果,可以先采取内科的办法控制病情,为手术创造条件。
经笔者单位多学科团队(multidisciplinary team,MDT)讨论,建议治疗方案为手术切除胰腺病变,并行肝移植,但患者拒绝该治疗方案。最终确定治疗方案:苹果酸舒尼替尼37.5 mg,口服,1次/d,同时给予胰岛素控制血糖。患者及家属均签署相关检查与治疗知情同意书。患者经上述方案治疗2个月后,复诊,其体质量增加、皮疹明显缓解、血糖控制良好,血清胰高血糖素降至237 ng/L。患者复查CT结果:肝脏转移病灶较治疗前数目明显减少,体积缩小,疗效评价为部分缓解(图7)。患者治疗6个月后血清胰高血糖素降至正常,CT检查示疗效维持为部分缓解。患者就上述方案治疗1年,因经济原因停用苹果酸舒尼替尼,改用醋酸奥曲肽微球30 mg,肌肉注射,1次/4周治疗。随访至2018年4月,患者疗效维持为部分缓解,其皮疹、血糖控制良好,未出现明显并发症,生存时间为5年,美国东部肿瘤协作组(ECOG)评分为0分。
胰高血糖素瘤是一种罕见的胰腺A细胞神经内分泌肿瘤,约占神经内分泌肿瘤的1%,发病率为1/2 000万[10]。1942年Becker等首次报道和描述该病[11]。1966年McGavran等[12]应用电子显微镜技术发现该肿瘤细胞有α细胞的特性,采用放射免疫方法测出肿瘤组织中含有大量胰高血糖素,这是胰高血糖素瘤首次确定性诊断。1973年Wilkinson[13]将胰高血糖素瘤的特征性皮肤损害命名为NME。1974年Mallinson等[14]将胰高血糖素瘤引起的一组症状群,如糖尿病、NME、体质量减轻、舌炎、口角炎、贫血等,命名为胰高血糖素瘤综合征。截至目前,国外已有300多例胰高血糖素瘤报道,国内报道60余例。
Castro等[1]认为:患者具有NME、糖尿病及低氨基酸血症的一种或几种症状,应联合血浆高胰岛素、高血糖素、影像学检查证据及病理学检查证据即可诊断为胰高血糖素瘤。定位诊断主要依据影像学检查,生长抑素受体核素显像被推荐为胰高血糖素瘤定位、分级最好的影像学检查方法,68Ga-PET/CT检查和生长抑素受体核素显像,比CT和MRI检查可更早地发现更小病灶。本研究中患者行肝脏穿刺活组织检查明确诊断。
胰高血糖素瘤的治疗手段主要包括手术和药物治疗等。本研究中患者经笔者单位MDT讨论,曾建议行手术切除胰腺病变,并行肝移植,但患者拒绝该治疗方案。因此,患者最终行醋酸奥曲肽和苹果酸舒尼替尼方案治疗,治疗后肝内病灶明显缩小、减少,疗效达到部分缓解;持续口服苹果酸舒尼替尼1年,后因经济原因停用靶向治疗,改用醋酸奥曲肽微球治疗,血清胰高血糖素一直维持在正常范围,皮肤损害控制良好,未出现明显不良反应,目前患者疗效维持在部分缓解。
胰高血糖素瘤生长缓慢,病程较长,经过积极有效治疗可长期生存,已报道有生存时间>20年的病例[15]。即使术前已合并肝转移,经过手术、药物等积极治疗后,5年生存率可达73%~85%[15]。本例患者经内科保守治疗,其生存时间已达5年,还在随访中。
欧美发达国家已建立了较为完善的MDT诊断与治疗模式,在国内也进入了快速发展阶段。笔者单位胰腺疾病MDT由肝胆胰脾外科和肿瘤科、消化内科、影像医学科、病理科、放疗科、内分泌科等构成,根据病情需要邀请相关科室参加。这种模式能够打破传统以治疗手段分科的体制,建立以疾病为中心的新体系,通过各学科的交叉协作,使诊断与治疗变得更加精准、高效及人性化,可获得事半功倍的效果。MDT模式可以明显提高胰腺肿瘤的早期诊断率、改善综合治疗方案,也有助于拓宽专科医师视野,提升诊断与治疗水平,对加强胰腺专业人才的培养,提升科研工作能力有益[16]。
综上,胰高血糖素瘤经过积极有效的综合治疗,可获得较满意的长期生存疗效。





















