
探讨亚急性胆囊穿孔的CT检查影像学特征。
采用回顾性横断面研究方法。收集2013年1月至2018年1月南京医科大学附属无锡第二医院收治的24例亚急性胆囊穿孔患者的临床资料。患者行腹部CT平扫和动脉期、门静脉期双期增强扫描检查。根据患者具体情况,选择行胆囊穿刺引流术、胆囊切除术、胆总管切开取石术、T管引流术。观察指标及评价标准:(1)CT检查情况。"堰塞湖征"定义为胆囊壁存在明显或隐匿性破口,胆囊壁不连续,门静脉期见明显中断线,破口不强化;胆囊破口周围存在环形壁包裹的片状积液,形似"堰塞湖"状,可呈椭圆形、半圆形、扇形、三角形等;环形壁可为脓肿壁、肝脏边缘或由两者共同构成;脓肿壁内壁较光滑,外壁不规则,可伴炎性渗出影和索条影,脓肿壁静脉期强化明显。(2)治疗及随访情况。采用门诊和电话方式进行随访,了解患者出院后并发症发生情况。随访时间截至2018年1月。偏态分布的计量资料以M(范围)表示。
(1)CT检查情况。①检查完成情况和原发疾病情况:24例患者中,2例行腹部CT平扫检查,22例行腹部CT平扫和动脉期、门静脉期增强扫描检查;原发疾病均为胆道结石,18例位于胆囊腔,4例位于胆囊颈部,2例为胆囊结石合并胆总管结石,24例患者结石最大径为2.0 cm(0.3~2.5 cm)。②亚急性胆囊穿孔破口情况。A.部位和数目:胆囊底部11例,体部7例(1例为体部多处穿孔),颈部1例,底部和体部多处穿孔2例,3例无法判断穿孔部位;B.最大径:2例隐匿性破口最大径<0.2 cm,其余22例患者破口最大径为0.5 cm(0.2~1.0 cm)。③"堰塞湖征"影像学表现:24例患者均有"堰塞湖征"。A.环形壁构成:环形壁为脓肿壁、肝脏边缘、两者共同构成分别为15、3、6例;B.胆囊被脓肿包绕:局部和完全包绕分别为21例和3例。④胆囊情况。A.形态:24例患者中,胆囊体积明显增大和轻度缩小分别为23例和1例;B.最大直径:中位值10.0 cm(6.0~13.0 cm);C.胆囊壁厚度:中位值0.5 cm(0.3~1.3 cm),水肿增厚。⑤其他积液征象:24例患者胆囊周围脂肪间隙密度增高,部分呈线条状、索条状改变。(2)治疗及随访情况:24例患者中,10例行LC,6例行开腹胆囊切除术,4例行胆囊切除+胆总管切开取石+T管引流术,1例行腹腔镜探查术后中转开腹行胆囊切除+胆总管切开取石+T管引流术,3例行胆囊穿刺引流术并抗炎治疗2个月后行胆囊切除术。22例患者获得术后随访,随访时间为6~31个月,中位随访时间为11个月。随访期间,2例患者发现术后残留结石(分别位于胆囊窝和胆总管末端),2例并发胆管炎、结石,1例因肿瘤死亡,其余17例患者未见结石复发和其他并发症发生,健康生存。
"堰塞湖征"可作为亚急性胆囊穿孔的CT检查影像学直接征象,有助于及时、准确地鉴别诊断和临床治疗。
版权归中华医学会所有。
未经授权,不得转载、摘编本刊文章,不得使用本刊的版式设计。
除非特别声明,本刊刊出的所有文章不代表中华医学会和本刊编委会的观点。
胆囊穿孔在胆囊炎患者中发生率为2%~30%,一旦发生,病情多进展迅速,常发生严重感染、中毒性休克等严重并发症,若不及时诊断与治疗,病死率可达70%[1,2,3,4,5,6,7]。亚急性胆囊穿孔病理学改变主要为胆囊流出胆汁使周围组织炎性粘连至脓肿形成,部分伴局限性腹膜炎,因其包裹严重,结构复杂,影像学鉴别诊断较为困难[8,9,10,11,12]。本研究回顾性分析2013年1月至2018年1月我院收治的24例亚急性胆囊穿孔患者的临床资料,探讨该病的CT检查影像学特征,旨在为临床诊断该病提供参考。
采用回顾性横断面研究方法。收集24例亚急性胆囊穿孔患者的临床资料,男15例,女9例;年龄范围为35~80岁,平均年龄61岁。24例患者主要临床表现为反复发作的右季肋区和(或)腹上区胀痛不适,就诊近期加重,改变体位不能缓解,伴畏寒、发热等。本研究通过我院医学伦理委员会审批,批号为20180723。患者及家属均签署知情同意书。
纳入标准:(1)经手术证实为亚急性胆囊穿孔。(2)术前行CT检查。(3)临床资料完整。
排除标准:(1)未经手术证实诊断。(2)术前未行CT检查。(3)临床资料缺失。
采用Aquilion ONE64层螺旋CT机(日本东芝公司产品)行腹部平扫和双期增强扫描检查。扫描参数:管电压120 kV,管电流200 mAs,有效层厚0.5 mm,准直0.5 mm,球管转速0.5 s/r。扫描范围:从膈顶部到双侧骶髂关节上缘水平线。增强扫描:对比剂为碘佛醇(浓度为320 mg I/mL),剂量为1.5 mL/kg,注射速度为3.0 mL/s,注射后25、60 s分别行动脉期、门静脉期扫描。
在Vitrea 6.6.2工作站行图像多层面重建,获得横轴位、冠状位、矢状位重建图像,联合曲面重建、任意层面重建观察病变影像学特征。由两名经验丰富的影像科副主任医师独立阅片,意见有分歧时由第3者介入确定。
根据患者具体情况,选择行胆囊穿刺引流术、胆囊切除术、胆总管切开取石术、T管引流术。
(1)CT检查情况:检查完成情况和原发疾病情况,亚急性胆囊穿孔破口情况(部位和数目、最大径),"堰塞湖征"影像学表现(环形壁构成、胆囊被脓肿包绕),胆囊情况(形态、最大直径、胆囊壁厚度),其他积液征象。本研究中"堰塞湖征"定义为胆囊壁存在明显或隐匿性破口,胆囊壁不连续,门静脉期见明显中断线,破口不强化;部分胆囊壁断端较周围胆囊壁增厚,胆囊破口周围存在环形壁包裹的片状积液(经破口流出的胆汁),形似"堰塞湖"状,可呈椭圆形、半圆形、扇形、三角形等;环形壁可为脓肿壁、肝脏边缘或由两者共同构成;脓肿壁内壁较光滑,外壁不规则,可伴炎性渗出影和索条影,脓肿壁静脉期强化明显;部分破口周围增厚的胆囊壁与脓肿壁相连。(2)治疗及随访情况:患者治疗情况及术后随访期间并发症发生情况。
采用门诊和电话方式进行随访,了解患者出院后并发症发生情况。随访时间截至2018年1月。
应用SPSS 16.0统计软件进行分析。偏态分布的计量资料以M(范围)表示。
(1)检查完成情况和原发疾病情况。24例患者中,2例行腹部CT平扫检查,22例行腹部CT平扫和动脉期、门静脉期增强扫描检查;原发疾病均为胆道结石,18例位于胆囊腔,4例位于胆囊颈部,2例为胆囊结石合并胆总管结石,24例患者结石最大径为2.0 cm(0.3~2.5 cm)。
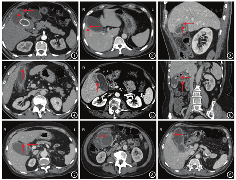
(2)亚急性胆囊穿孔破口情况。①部位和数目:胆囊底部11例(图1),体部7例(图2,图3;1例为体部多处穿孔),颈部1例,底部和体部多处穿孔2例,3例因胆囊与周围脓肿融合,形态改变,无法判断穿孔部位;②最大径:2例隐匿性破口最大径<0.2 cm(图4),其余22例患者破口最大径为0.5 cm(0.2~1.0 cm)。


(3)"堰塞湖征"影像学表现:24例患者均有"堰塞湖征",表现如"1.5"中"堰塞湖征"定义所述(图5,图6)。①环形壁构成:环形壁为脓肿壁(图1,图3)、肝脏边缘(图2)、两者共同构成(图7)分别为15、3、6例;②胆囊被脓肿包绕:局部和完全包绕分别为21例和3例,前者胆囊形态未完全改变,后者胆囊成为脓肿的一部分,胆囊形态不能显示,病灶与周围肠管、肝脏不能清楚分界(图8)。
(4)胆囊情况。①形态:24例患者中,胆囊体积明显增大和轻度缩小分别为23例和1例,胆囊壁塌陷或膨出,1例胆囊腔内见点状积气影;②最大直径:中位值10.0 cm(6.0~13.0 cm);③胆囊壁厚度:中位值0.5 cm(0.3~1.3 cm),水肿增厚,3例胆囊壁分层,3例胆囊壁见多发小溃疡(图9)。
(5)其他积液征象:24例患者胆囊周围脂肪间隙密度增高,部分呈线条状、索条状改变。除"堰塞湖征"积液外,1例患者肝包膜下见少量固定弧形积液影,1例腹膜内见少量固定条形积液影,4例胆囊与肝脏间见积液影,密度明显高于胆汁,6例见肝脓肿形成。
24例患者中,10例行LC,6例行开腹胆囊切除术,4例行胆囊切除+胆总管切开取石+T管引流术,1例行腹腔镜探查术后中转开腹行胆囊切除+胆总管切开取石+T管引流术,3例行胆囊穿刺引流术并抗炎治疗2个月后行胆囊切除术。22例患者获得术后随访,随访时间为6~31个月,中位随访时间为11个月。随访期间,2例患者发现术后残留结石(分别位于胆囊窝和胆总管末端),2例并发胆管炎、结石,1例因肿瘤死亡,其余17例患者未见结石复发和其他并发症发生,健康生存。
亚急性胆囊穿孔典型影像学征象"堰塞湖征"的形成,实质即为胆囊穿孔伴周围脓肿形成,胆囊穿孔伴肝脓肿病死率为5.6%[13,14,15]。胆囊穿孔原因多为胆囊腔内较大或多发结石,或结石在胆囊颈部、胆囊管或胆总管嵌顿,导致胆囊腔内胆汁流出不畅而积聚,胆囊壁压力升高,胆囊血运障碍、水肿,胆囊壁水肿、坏疽而破裂,使胆汁流出[16]。胆囊穿孔可发生于胆囊底部、体部和颈部,其中胆囊底部最常见,因其离胆囊动脉最远,血液供应相对较差,易发生缺血性损伤[11,17]。胆囊穿孔亚急性期,炎症反复发作,破口周围大网膜、肠管及其他邻近器官粘连包裹,形成脓肿,包裹流出的胆汁,部分脓肿壁与肝脏形成环形堤坝,形似"堰塞湖"。
"堰塞湖征"主要由胆囊壁穿孔破口、环形壁、胆汁组成。若为隐匿性破口,破口最大径<0.2 cm,发现困难,若显示环形壁和胆汁,胆囊壁存在线性低密度影,且增强CT扫描检查门静脉期该线性低密度影不强化,则提示存在破口。亚急性胆囊穿孔因胆囊被脓肿包绕,结构复杂,与胆囊癌、黄色肉芽肿难以鉴别诊断,"堰塞湖征"有一定鉴别诊断价值[18]。亚急性胆囊穿孔中,胆囊被脓肿包绕的程度反映了其病情严重程度,进而决定治疗方式:局部包绕治疗以手术为主,患者术后恢复较好[19]。完全包绕时,因粘连较重,直接手术难度大,需先予抗炎治疗,并行胆囊穿刺引流术或脓肿穿刺引流术,脓肿减轻后,才可行手术治疗[20,21,22]。亚急性胆囊穿孔周围脓肿形成后,胆汁外流受阻,胆囊腔内压力进一步升高,胆囊体积增大。本研究中23例患者胆囊体积明显增大。
"堰塞湖征"对胆囊穿孔分期鉴别诊断有重要意义。急性胆囊穿孔主要特征为胆汁性腹膜炎,斑片状积液影,但积液周围尚未形成环形壁包绕,较易鉴别[23,24,25]。慢性胆囊穿孔为胆肠瘘表现,存在瘘道影像学表现,胆道系统内积气影,瘘管可显示,>50%的患者可见瘘管自发闭合,部分伴胆石性肠梗阻,与"堰塞湖征"区别明显[5,9,25,26,27,28]。
"堰塞湖征"是亚急性胆囊穿孔形成脓肿最重要的影像学特征,具有重要诊断意义。本研究24例患者CT检查结果中均观察到该征象,提示其灵敏度较高。借助典型影像学征象,及时、准确诊断胆囊穿孔,有助于及时对患者行有效治疗,合理选择手术方式,降低患者休克、死亡风险。





















