
版权归中华医学会所有。
未经授权,不得转载、摘编本刊文章,不得使用本刊的版式设计。
除非特别声明,本刊刊出的所有文章不代表中华医学会和本刊编委会的观点。
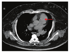
患者男,38岁。因"外伤至阴囊、双下肢肿胀并疼痛3 d余"就诊我院急诊科,急诊科给予对症治疗后好转。因患者为重度肥胖症,我科参与会诊后,收治拟行减重手术治疗。患者入院体格检查:体质量155 kg,身高169 cm,BMI 54.27 kg/m2,腹部膨隆,呈蛙状腹,腹软,全腹无压痛反跳痛,墨菲征阴性,肝、脾、肾区无叩击痛,未闻及肠鸣音。双下肢轻度凹陷性水肿。阴囊水肿。全身可见多处皮肤褶皱处色素沉着、角化过度。血常规及实验室指标检查:RBC 8.31×1012/L、Hb 195 g/L、尿酸670 μmol/L、Alb 29.9 g/L、D-二聚体1.26 mg/L。激素指标检查:睾酮97.31 pg/mL、雌二醇54.07 pg/mL。营养指标检查:血清转铁蛋白3.83 g/L、血清前白蛋白0.091 g/L、糖化血红蛋白7.10%、脑钠肽961 pg/mL。血气分析检查: pH 7.21、二氧化碳分压(PaCO2)95.5 mmHg(1 mmHg=0.133 kPa)、氧分压(PaO2)31.8 mmHg、血氧饱和度45.8%、实际碳酸氢根42.7 mmol/L、碱剩余值10.0。口服糖耐量试验血糖值:0.5 h为5.64 mmol/L、1 h为8.14 mmol/L、2 h为8.92 mmol/L、3 h为6.29 mmol/L。血清C肽1.33 ng/mL。胸部CT检查:(1)双侧肋骨多发陈旧性骨折。(2)双肺上叶、右肺中叶斑片状渗出实变影,考虑感染。(3)心脏增大、肺动脉高压、心包少量积液(图1)。(4)双侧胸膜增厚。(5)腹壁皮肤脂肪层浑浊,双侧腋窝见肿大淋巴结。腹部CT检查:(1)肝左叶低密度灶。(2)脾大。肺动脉造影检查:左肺下叶后基底段分支内充盈缺损。考虑为肺栓塞,肺动脉高压,双肺炎症。心脏超声检查:左右心房、右心室增大,主动脉增宽、室间隔增厚,左心室舒张功能减低。多导睡眠监测(polysomnography,PSG)检查:重度阻塞性睡眠呼吸暂停低通气综合征(obstructive sleep apnea hypopnea syndrome,OSAHS),重度夜间低通气综合征,呼吸紊乱指数(apnea hypopnea index,AHI)81.5次/h、夜间最低血氧饱和度58.0%。


入院诊断:(1)重度肥胖症。(2)代谢综合征:①重度OSAHS;②高尿酸血症;③3级高血压病。(3)Ⅱ型呼吸衰竭。(4)重度慢性低通气功能障碍。(5)肺栓塞合并肺部感染。(6)阴囊水肿。
胃肠外科倪睿主治医师:患者血气分析检查结果提示PaCO2 95.5 mmHg。询问病史,患者既往夜间睡眠打鼾并伴憋醒8年余,平时精神状态差,日间嗜睡。患者存在重度CO2潴留,极易出现CO2麻醉并呼吸暂停,病情危急,需及时使用无创呼吸机支持治疗。胃肠外科普通病房未配备无创呼吸机,故转入重症监护病房(ICU)给予无创正压辅助呼吸治疗。目前患者病情危重复杂,申请多学科综合会诊,对患者术前全面评估并制订下一步诊断与治疗方案。
胃肠外科俞永涛主任医师:患者为重度肥胖症,BMI 54.27 kg/m2,合并重度OSAHS,严重CO2潴留,Ⅱ型呼吸衰竭,糖化血红蛋白7.10%,口服糖耐量试验2 h血糖值8.92 mmol/L,最高收缩压183 mmHg、舒张压104 mmHg,目前代谢综合征诊断明确,手术指征明确。但患者CO2潴留严重,PaCO2高达95.5 mmHg,合并重度慢性低通气功能障碍,且心肺功能差,麻醉及术中猝死风险极高,需多学科讨论。请麻醉科医师评估患者能否耐受术中麻醉并制订气管插管方案。请心内科、呼吸科医师会诊评估患者心肺功能情况、能否耐受手术。请内分泌科医师会诊评估患者目前血糖水平并指导控制血糖。
麻醉科闵红星主任医师:(1)患者为重度肥胖症。脖颈粗短,为困难气道,术前气管插管成功率低,建议针对患者困难气道积极行麻醉前气道评估,术前拟定插管方案。麻醉诱导时应采用斜坡位以便喉镜观察及供氧,通气困难时可2人合作采用面罩通气、口咽鼻咽通气道通气、喉罩通气等方式紧急通气,必要时可通过可视喉镜、纤维支气管镜建立通气道,插管困难时可更换气管导管、纤维支气管镜引导插管,同时也可考虑行清醒插管。(2)患者目前CO2严重潴留。PaCO2升高可刺激呼吸中枢,引起呼吸加深、加快。但当PaCO2升高至80.0 mmHg时会抑制呼吸中枢,导致CO2麻醉、肺性脑病等;CO2可以扩张脑血管,增加脑血流量,使颅内压升高并增加患者术中、术后死亡率,建议患者继续行无创正压通气治疗,同时控制肺部感染,待患者PaCO2下降至50.0~60.0 mmHg后再行手术治疗。
心内科王义勇副主任医师:结合患者病史、体格检查、实验室检查及心电图检查结果,目前诊断肺心病的证据不充分,建议术前积极控制血压,维持电解质平衡,术中进行无创或有创血压监测,减少心肌氧耗,预防发生冠心病、心律失常等情况。
呼吸科李秀忠主任医师:患者为重度肥胖症,询问病史,既往吸烟史8年余,目前明确合并重度OSAHS、Ⅱ型呼吸衰竭、肺部感染、肺栓塞,建议术前戒烟、控制肺部感染,完善术前肺功能检查,同时术前积极给予低分子肝素钙抗凝治疗。嘱患者自行购买无创呼吸机并学习使用,维持呼吸机压力在14~18 cmH2O(1 cmH2O=0.098 kPa),患者适应后可从ICU转入普通病房继续治疗。术后加强肺部扩张措施,尽早下床活动,并及时给予低分子肝素钙预防深静脉血栓形成。
内分泌科董幼平主任医师:患者明确诊断为代谢综合征。血糖升高时,机体对多种麻醉药物的反应性增强,易导致麻醉过深,抑制循环功能,手术时应注意避免因麻醉因素而进一步加重糖代谢紊乱,麻醉时可能抑制或减轻术中应急反应。患者术前控制空腹血糖为6.10~8.30 mmol/L、餐后血糖≤13.90 mmol/L,积极预防发生术中低血糖,加强血糖监测。
患者转回普通病房后,自行购买呼吸机并由我院呼吸科医师指导使用。治疗方案:给予无创呼吸机改善肺泡通气、利尿、抗感染、平喘、抗凝、呼吸功能锻炼等术前治疗。同时请营养科医师制订术前营养方案:给予患者高蛋白、低脂、低碳水化合物营养粉,冲泡口服,控制目标热量1 472 kcal/d。
治疗3周后患者一般情况明显改善,体质量较入院时下降约15 kg,术前复查血气分析,未佩戴呼吸机时PaCO2下降至54.8 mmHg,ICU及麻醉科共同综合评估患者已具备行减重手术的条件。
患者及家属均签署知情同意书。患者于2018年8月6日在我院行腹腔镜袖状胃切除术。手术顺利,术后转入ICU治疗,术后第3天由ICU转入普通病房治疗。术后第9天出院。出院前复查血气分析,未佩戴呼吸机时PaCO2 47.7 mmHg,PaO2 56.6 mmHg,实际碳酸氢根及碱剩余值均在正常范围。嘱患者出院后继续佩戴呼吸机1个月。
术后1、3、6、9个月定期随访。患者一般情况良好。术后9个月复查,体质量下降至77 kg,BMI 26.96 kg/m2。血气分析检查:pH 7.40、PaCO2 40.5 mmHg、PaO2 71.2 mmHg、血氧饱和度93.0%、实际碳酸氢根24.4 mmol/L、碱剩余值-0.4。血常规、激素指标和营养指标检查结果均未见异常,尿酸恢复正常,糖化血红蛋白和口服糖耐量试验血糖值均未见异常。PSG检查:患者夜间轻度缺氧、无明显OSAHS表现(AHI 4.3次/h、夜间最低血氧饱和度85.0%)。血压检查:收缩压131 mmHg、舒张压78 mmHg。患者重度肥胖症、重度OSAHS、Ⅱ型呼吸衰竭、重度CO2潴留、高尿酸血症、高血压病均得到明显改善。
OSAHS是一种隐匿的慢性呼吸系统疾病,有潜在的致死性,其特点是睡眠时反复发作的严重打鼾、呼吸暂停或低通气、白天嗜睡、记忆力下降等。目前,我国OSAHS的总发病率约4.0%[1]。肥胖症是OSAHS最重要的发病诱因之一,在接受减重手术的肥胖症患者中,OSAHS的发病率可达35.0%~93.6%[2,3,4]。当肥胖症患者合并OSAHS时,可明显增加减重手术风险和麻醉风险,其围术期呼吸相关并发症发生率及病死率均明显升高[5]。因此,对拟行减重手术的患者,术前应常规筛查OSAHS。
OSAHS的诊断金标准为PSG检查。部分医院因硬件原因无法行PSG检查,也应行问卷调查筛查OSAHS。常用的问卷包括STOP-Bang问卷,Epworth嗜睡量表等。PSG检查结果中的AHI是评价OSAHS的主要指标。根据AHI及夜间最低SaO2可将OSAHS分为三度,(1)轻度:5.0次/h<AHI<15.0次/h。(2)中度:15.0次/h<AHI<30.0次/h。(3)重度:AHI>30.0次/h和(或)最低SaO2<80.0%[6]。肥胖低通气综合征(obesity hypoventilation syndrome,OHS)也是肥胖症患者的严重并发症,其诊断标准为:(1)BMI≥30.00 kg/m2。(2)清醒状态时PaCO2≥45.0 mmHg。(3)排除其他引起CO2潴留的疾病。OHS的存在通常提示严重的通气量不足,导致SaO2下降和CO2潴留。由于肥胖症合并重度OSAHS和OHS的患者有更高的并发症发生率和病死率,因此,推荐OSAHS患者行OHS筛查[7,8]。
对于术前检查明确为中、重度OSAHS的患者,应给予持续的无创呼吸机支持治疗,常用的模式有持续正压通气模式(continuous postive airway pressure,CPAP)和双水平正压通气模式(biphasic positive airway pressure,BiPAP)。患者在专科医师指导下采用CPAP或BiPAP可有效改善肺部通气、换气功能,纠正全身组织缺氧状态,改善CO2潴留。术前使用无创呼吸机治疗应≥1周,缺氧、CO2潴留严重的患者应延长无创呼吸机使用时间[9]。同时,应积极联合相关科室共同改善重度肥胖症患者的心肺功能,围术期管理应由内、外科医师共同进行,应重视专科医师的指导意见,对潜在和已经出现的并发症进行多学科共同处理[10]。
该例患者入院时存在严重的CO2潴留和低氧血症,分析其原因可能有以下4个方面:(1)重度肥胖症患者胸腹壁堆积过多脂肪,压迫胸廓并浸入呼吸肌中,胸廓及横膈运动受限、横膈上升,尤以平卧睡眠时更明显。此时肺容量、肺活量及功能残气量减少,气道早期闭合,呼吸浅快,死腔增加,有效肺泡通气量减少,最大自主通气量下降[11]。(2)随着机械阻力的增加,呼吸肌的耗氧量亦增加,缺氧会进一步加重呼吸肌无力,形成恶性循环,胸廓运动受限和浅快呼吸,造成通气不足和通气与血流比例失衡,出现严重的低氧血症。(3)当PaO2<60.0 mmHg时,颈动脉体和主动脉体的化学感受器受到刺激引起呼吸运动增强从而升高PaO2,但当严重缺氧时,缺氧对呼吸中枢的直接抑制作用增强,超过反射性的兴奋作用,进而抑制呼吸。(4)当PaCO2升高但<80.0 mmHg时,机体通过作用于中枢化学感受器兴奋呼吸中枢,使呼吸加深、加快而使肺通气量增加,进而升高PaO2。但当PaCO2>80.0 mmHg时,呼吸中枢处于抑制状态,患者反而表现为呼吸节律变慢,幅度变浅,肺通气量明显减少,最终呼吸完全停止。该患者入院时PaCO2 95.5 mmHg、PaO2 31.8 mmHg,存在呼吸、心跳停止的可能,故积极给予CPAP治疗,可帮助患者改善缺氧和CO2潴留状态。
此外,该例患者入院检查提示存在肺栓塞。肺血栓栓塞与深静脉血栓形成密切相关,是同一病理生理过程中不同阶段的临床表现,统称为静脉血栓栓塞(venous thromboembolism,VTE)[12]。肥胖症是VTE的重要危险因素,且VTE的发病风险与BMI呈正相关[13,14]。而VTE又是肥胖症患者术后死亡的主要原因之一,由此增加了减重手术围术期相关并发症发生率[15]。因此,应重视肥胖症患者VTE的预防与治疗。对于存在明显VTE风险的肥胖症患者,术前可行肺动脉造影检查,并常规使用低分子肝素钙抗凝预防VTE。所有肥胖症患者术后24 h开始给予低分子肝素钙抗凝治疗。
综上,外科医师应重视OSAHS和OHS风险,将其作为肥胖症患者术前常规筛查项目。当肥胖症患者合并OSAHS及OHS时,手术及麻醉风险明显升高,此时不宜手术治疗,可通过CPAP等多项干预措施改善患者状态、降低手术风险,待患者心肺功能改善后再行手术治疗。肥胖症合并OSAHS和OHS的治疗周期长,费用较高,容易增加患者的负面情绪,治疗过程中应给予患者足够的人文关怀,帮助其坚定信心。同时,肥胖症属于全身系统性疾病,诊断与治疗过程中应避免单一学科治疗的局限性,重视多学科团队综合诊断与治疗的价值。
所有作者均声明不存在利益冲突





















