
探讨保留中段的胰腺切除术(MPP)的临床疗效。
采用回顾性描述性研究方法。收集2019年7—10月福建省立医院收治的2例行MPP胰腺疾病患者的临床病理资料。病例1为52岁女性胰头、胰尾多发囊腺瘤患者,病例2为20岁男性慢性胰腺炎并胰管多发结石患者。综合评估病例1和病例2情况,制订术前规划后,分别施行腹腔镜胰头肿瘤切除+胰体尾切除+脾切除+胰肠吻合术和保留十二指肠全胰头切除+保留脾脏胰尾切除+胰管纵行切开取石+胰肠侧侧吻合术。观察指标:手术完成情况、手术时间、术中出血量、术中输血、术后血糖、术后并发症、术后住院时间、术后组织病理学检查情况、术后随访情况。采用门诊或电话方式随访,了解患者是否新发糖尿病和需要胰酶替代治疗及结石、肿瘤复发情况。随访时间截至2020年3月。
病例1和病例2均顺利完成MPP,手术时间分别为470 min和400 min;术中出血量分别为200 mL和100 mL;2例患者术中均未输血。病例1和病例2术后血糖分别为5.4~11.8 mmol/L和5.9~11.3 mmol/L。病例1术后发生腹腔感染,经抗感染治疗后好转出院;病例2术后恢复顺利,无并发症发生。病例1和病例2均无胰瘘及围术期死亡;术后住院时间分别为12 d和8 d。病例1术后胰腺标本组织病理学检查结果示胰头、胰尾浆液性囊腺瘤。病例2术后胰腺标本组织病理学检查结果示胰头、胰尾组织胰管轻度扩张伴多发结石,胰管周围慢性炎症细胞浸润。病例1和病例2术后复查CT示保留胰腺长度分别为8.5 cm和8.3 cm。病例1和病例2均获得随访,随访时间分别为5个月和7个月。随访期间2例患者均无新发糖尿病,无需胰酶替代治疗。2例患者均于术后5个月行腹上区CT平扫及增强扫描检查,中段胰腺血运良好,无肿瘤及结石复发征象。
MPP是治疗多灶性胰腺病变的一种安全、可行的手术方式。该手术方式可根除病灶,患者术后血糖控制良好。
版权归中华医学会所有。
未经授权,不得转载、摘编本刊文章,不得使用本刊的版式设计。
除非特别声明,本刊刊出的所有文章不代表中华医学会和本刊编委会的观点。
对于胰腺多发病灶,既往多采用全胰腺切除术,但术后胰腺内外分泌功能丧失,严重影响患者术后生命质量[1,2]。近年来,胰腺外科越来越注重在保证肿瘤根治性切除的同时,尽可能保留胰腺组织。目前保留胰腺功能的手术方式有胰头切除术、中段胰腺切除术、胰体尾切除术、保留中段的胰腺切除术(middle-preserving pancreatectomy,MPP)等[3,4,5,6,7,8,9,10,11,12,13,14,15,16,17,18,19,20,21,22,23,24,25,26,27,28,29]。本研究回顾性分析2019年7—10月我科收治的2例行MPP治疗胰腺疾病患者的临床病理资料,探讨该手术方式的临床疗效。
采用回顾性描述性研究方法。收集2例行MPP胰腺疾病患者的临床病理资料;男、女各1例,年龄分别为20、52岁。本研究符合《赫尔辛基宣言》的要求。患者及家属均签署知情同意书。
病例1为52岁女性患者,因健康体检发现胰腺占位性病变20 d,于2019年9月收入我院。患者体格检查和实验室检查均无异常表现,血清肿瘤标志物检测均正常。患者术前MRI检查结果示胰头、胰尾多发不规则多房囊性占位性病变,其内可见多发分隔,胰头肿瘤大小约为5 cm×5 cm,胰尾肿瘤融合成团,范围约为4 cm×4 cm,考虑为浆液性囊腺瘤可能;肝多发囊肿(图1A,图1B)。术前诊断:胰腺占位性病变,浆液性囊腺瘤、肝多发囊肿待查。


病例2为20岁男性患者,因反复腹上区疼痛1个月余,于2019年7月收入我院。患者体格检查和实验室检查均无异常表现,血清肿瘤标志物、血清淀粉酶检测均正常。患者术前CT检查结果示胰管多发结石,最大径约为1.4 cm,伴胰管不均匀扩张,考虑为慢性胰腺炎改变(图2A,图2B)。术前诊断:慢性胰腺炎、胰管多发结石。
纳入标准:(1)术前均经CT或MRI检查明确诊断,确认胰头及胰尾多发病变,且未累及胰腺中段,具有MPP手术指征。(2)预留胰腺中段长度>4 cm。(3)无严重心、肺、肾、脑等器官功能不全,无明显手术禁忌证。(4)临床病理资料完整。
排除标准:(1)术前诊断考虑胰尾恶性肿瘤。(2)胰腺病变累及胰腺中段或远处转移。(3)临床病理资料缺失。
病例1为胰头及胰尾多发囊性肿瘤患者,考虑浆液性囊腺瘤可能性大,肿瘤最大径为5 cm,有手术指征。该肿瘤为低度恶性,肿瘤边界清楚,切除胰头及胰尾能完整去除病灶,残留胰腺长度>6 cm,故计划行腹腔镜胰头及胰尾肿瘤切除术。病例2为胰管多发结石伴慢性胰腺炎患者,有手术指征。由于胰头结石较多,切开胰管取石难以取尽,且患者年龄偏小,故计划行保留十二指肠全胰头切除+胰尾切除+胰管纵行切开取石+胰肠侧侧吻合术,残留胰腺长度>5 cm。
病例1于2019年9月17日在全身麻醉下行腹腔镜胰头肿瘤切除+胰体尾切除+脾切除+胰肠吻合术。术中探查:胰头及胰体尾部可见多发肿瘤隆起于胰腺表面,呈多房囊液状,部分融合成团,最大病灶位于胰头处约为5 cm×5 cm×4 cm,与周围组织明显致密粘连(图3A,图3B)。术者先解剖胰腺颈部下缘及上缘,建立胰后隧道,于胰颈处横断胰腺(图3C),主胰管直径约为0.4 cm。予超声刀联合电凝刀仔细分离粘连,距离胰头肿瘤1 cm处完整切除(图3D)。超声刀游离胰体尾下缘,仔细分离胰体尾部肿瘤,胰尾肿瘤大小约为4 cm×4 cm×3 cm,与脾动、静脉粘连致密,难以分离,遂距离胰尾肿瘤3 cm行胰体尾切除联合脾切除术(图3E)。胰腺远切端予3-0 prolene连续缝合关闭。保留胰腺中段约8 cm(图3F)。剖开标本见胰头及胰尾肿瘤均为多房囊性,切开见透明液体流出,内见多发分隔,未见乳头状肿瘤形成(图3G)。胰头及胰体尾肿瘤术中冷冻切片组织病理学检查结果示胰腺浆液性囊腺瘤。距离屈氏韧带约15 cm离断空肠,将空肠远切端与胰管近端行端侧吻合术(结肠后),距胰肠吻合口约50 cm处空肠与近端空肠行肠肠吻合术(图3H)。
病例2于2019年7月25日在全身麻醉下行保留十二指肠全胰头切除+保留脾脏胰尾切除+胰管切开取石+胰肠侧侧吻合术。术中探查:胰腺呈慢性胰腺炎改变,质地坚硬,全胰可扪及多发质地坚硬结石,以胰头最多,结石最大约为1.0 cm×1.0 cm。先解剖胰腺颈部下缘及上缘,建立胰后隧道,于胰颈处横断胰腺,见主胰管明显扩张,直径约为1.5 cm。予3-0丝线双重结扎并离断胃网膜右动脉,游离并悬吊胃十二指肠动脉。紧贴肠系膜上动脉右侧缘离断胰腺钩突系膜,紧贴胰头下缘及右侧缘分离,完整保留胰十二指肠前、后动脉弓及胆总管,完整切除胰头(图4A,图4B)。沿主胰管纵行切开胰体尾,见主胰管及分支胰管内多发结石,最大约为1.5 cm×1.0 cm。探查见胰尾部萎缩,长约3 cm,内有较多结石,难以取尽,遂决定切除胰尾。胰尾断端予3-0 prolene连续缝合关闭。保留长度约8 cm中段胰腺(图4C)。距离屈氏韧带约15 cm离断空肠,将空肠远切端与胰管切口行侧侧吻合术(结肠后),距胰肠吻合口约50 cm处空肠与近端空肠行肠肠吻合术。剖开胰头及胰尾标本见胰腺质地坚硬,主胰管及分支胰管内见多发细小结石(图4D)。


手术完成情况、手术时间、术中出血量、术中输血、术后血糖、术后并发症、术后住院时间、术后组织病理学检查情况、术后随访情况。
采用门诊或电话方式随访,了解患者是否新发糖尿病和需要胰酶替代治疗及结石、肿瘤复发情况。随访时间截至2020年3月。
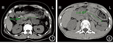
病例1和病例2均顺利完成MPP,手术时间分别为470 min和400 min;术中出血量分别为200 mL和100 mL;2例患者术中均未输血。病例1和病例2术后血糖分别为5.4~11.8 mmol/L和5.9~11.3 mmol/L。病例1术后发生腹腔感染,经抗感染治疗后好转出院;病例2术后恢复顺利,无并发症发生。病例1和病例2均无胰瘘及围术期死亡;术后住院时间分别为12 d和8 d。病例1术后胰腺标本组织病理学检查结果示胰头、胰尾浆液性囊腺瘤(图5)。病例2术后胰腺标本组织病理学检查结果示胰头、胰尾组织胰管轻度扩张伴多发结石,胰管周围慢性炎症细胞浸润(图6)。病例1和病例2例术后复查CT示保留胰腺长度分别为8.5 cm和8.3 cm(图7,图8)。病例1和病例2例均获得随访,随访时间分别为5个月和7个月。随访期间2例患者均无新发糖尿病,无需胰酶替代治疗。2例患者均于术后5个月行腹上区CT平扫及增强复查,中段胰腺血运良好,无肿瘤及结石复发征象。


Siassi等[8]首先报道MPP,1例胰尾癌患者行胰尾切除术后9个月,因胰头癌行保留幽门的胰十二指肠切除术。这种手术方式被称为二期MPP,主要适合胰头和胰尾非同时发生病变的患者。2007年,Miura等[9]首次报道一期MPP,1例壶腹周围癌及胰尾导管内乳头状黏液瘤行保留幽门的胰十二指肠切除术、胰尾及脾切除术患者的临床病理资料。已有的研究结果显示:MPP对于同时合并胰头和胰尾病变患者是一种安全、有效的治疗方法[3,4,5,6,7,8,9,10,11,12,13,14,15,16,17,18,19,20,21,22,23,24,25,26,27,28,29]。
MPP的手术适应证为胰头合并胰尾病变,但未累及胰腺中段。胰腺病变主要包括原发性和转移性病变。如果胰腺病变均为原发性,胰头病变为良恶性均可,胰尾病变必须为良性、交界性以及低度恶性肿瘤,如胰腺导管内乳头状黏液瘤、胰腺神经内分泌肿瘤、多发实性假乳头状瘤、囊腺瘤等。如果胰尾病变为恶性肿瘤,如胰腺导管腺癌、胰腺神经内分泌癌、胰腺囊腺癌等,保留胰腺中段无法达到手术的安全切缘,不适合行MPP。术前诊断不明确的患者,应术中行冷冻切片组织病理学检查明确诊断及保证阴性切缘,必要时行全胰切除术。
文献报道胰腺原发性病变以胰腺导管内乳头状瘤多见[3,9,10,11,12,13,14,15]。胰腺转移性病变大多为低度恶性肿瘤,多见于肾癌术后胰腺转移[16,17,18]。而嗜铬细胞瘤及皮肤纤维肉瘤术后,胰腺转移较少见[18]。
MPP的手术方式主要包括胰腺病变切除和胰肠吻合。病变切除包括胰头和胰体尾切除,胰头切除方式主要有胰十二指肠切除、保留幽门的胰十二指肠切除、胰头切除或次全切除。胰头次全切除术胰腺有3个创面,术后胰瘘发生率高,断面必须妥善处理。多数患者行MPP后,选择行胰腺空肠端端或端侧吻合,也有部分患者远端胰腺与胃行逆行胰肠吻合[7]。本研究中病例2为胰管结石患者,行胰管空肠侧侧吻合,纵向剖开胰管,取尽胰管结石的同时解除胰管狭窄,最大限度保留剩余胰腺的功能,减少术后胰管结石复发。
与全胰切除术比较,MPP的优势在于尽可能保留有功能的胰腺组织,从而减少术后新发糖尿病和外分泌功能障碍的发生。维持胰腺内外分泌功能所需的剩余胰腺长度,目前尚无共识。结合本研究与已有研究结果显示:24例行MPP患者中,剩余胰腺长度为5 cm、6 cm、>7 cm分别为8例、7例、7例,术后新发糖尿病分别为4例、1例、0[3,4,6,8,9,10,12,14,15,19,20,21,22,23,24,25,28,29]。上述研究结果显示:患者行MPP后保留剩余胰腺长度>6 cm,能降低术后新发糖尿病的发生率。因此,笔者认为:患者行MPP后保留剩余胰腺长度>6 cm,可保证胰腺内外分泌功能。但以剩余胰腺长度不能准确衡量胰腺内外分泌功能,所以有学者提出以剩余胰腺体积评估其功能。Cheng等[6]报道2例剩余胰腺长度分别为5 cm和6 cm患者,其剩余胰腺体积占胰腺总体积分别为50.8%和47.2%,前者术后无新发糖尿病,后者术后新发糖尿病。
维持胰腺内外分泌功能的剩余胰腺体积与胰腺总体积占比,目前尚无定论。已有的研究结果显示:切除>80%的胰腺组织才会导致胰腺内分泌功能受损,保留≥24.1 mL胰腺组织才能维持胰腺外分泌功能[26,27]。Lu等[18]报道5例行MPP患者术后剩余胰腺体积占胰腺总体积分别为18.2%、18.4%、35.8%、38.9%、39.5%,均<40%,仅1例(39.5%)术后新发糖尿病。Cheng等[6]报道1例剩余胰腺体积占胰腺总体积为47.2%的患者术后新发糖尿病。分析上述原因为:剩余胰腺功能可能受剩余胰腺体积、胰腺纤维化程度、胰岛细胞功能等影响;目前计算胰腺体积的公式尚未统一。
MPP术后并发症包括近期和远期并发症。近期并发症主要为胰瘘、胃瘫和出血,远期并发症主要为糖尿病和慢性腹泻。结合本研究与已有研究结果显示:43例行MPP患者中,术后并发症发生率为53.5%,并发症相关病死率为0;术后发生胰瘘19例(44.2%),胰瘘发生率明显高于胰十二指肠切除术或胰体尾切除术;术后胃瘫5例(11.6%),出血2例(4.7%);新发糖尿病11例(25.6%),其中10例(23.3%)需要补充外源性胰酶[6,7,9,11,13,14,17,18,20,23,24,25,28,29]。综上,MPP较胰十二指肠切除术和胰体尾切除术术后创面多,明显增加术后胰瘘及胰瘘相关并发症发生率;但是相对于全胰腺切除术,MPP为胰头及胰尾多灶性病变患者保留了胰腺内外分泌功能。
综上,MPP是治疗多灶性胰腺病变的一种安全、可行的手术方式。该手术方式可以根除病灶,患者术后血糖控制良好。
所有作者均声明不存在利益冲突





















