
探讨Laennec入路在腹腔镜解剖性右半肝切除术中的应用价值。
采用回顾性描述性研究方法。收集2020年5―7月南京医科大学康达学院第一附属医院收治的2例行Laennec入路腹腔镜解剖性右半肝切除术女性病人的临床病理资料;年龄分别为51岁和57岁。观察指标:(1)手术情况。(2)术后及随访情况。采用门诊和电话方式进行随访,了解病人术后生存及肿瘤复发情况。随访时间截至2020年12月。计数资料以绝对数表示。
(1)手术情况:2例病人均成功施行Laennec入路腹腔镜解剖性右半肝切除术,无中转开腹。手术时间分别为180 min和185 min,术中出血量分别为200 mL和400 mL,均无术中输血。术中均未放置胃肠减压管。(2)术后情况:2例病人均在术后第1天开始进食流质食物,术后第2~3天下床活动。2例病人术后均未发生胆汁漏及出血,均发生不同程度的胸腔积液和腹腔积液,其中1例因呼吸困难行右侧胸腔穿刺置管引流术后好转,1例保守治疗后痊愈。2例病人无围术期死亡,术后住院时间分别为13 d和11 d。术后病理学检查结果证实:1例为肝血管瘤,1例为原发性肝癌;肝静脉Ⅴ、Ⅵ、Ⅶ、Ⅷ段分支均存在Laennec膜,且与静脉间存在间隙。2例病人术后分别获得7个月和5个月随访,随访期间均生存,肿瘤均未复发。
行Laennec入路腹腔镜解剖性右半肝切除术安全、可行。
腹腔镜肝切除术经过30年的发展,其手术方式由最初不规则肝切除逐渐过渡到精准解剖性肝切除[1, 2, 3, 4, 5, 6]。腹腔镜肝左外叶切除术已成为肝左外叶切除的金标准手术方式[7]。由于右半肝解剖位置深在、游离暴露广泛、离断肝脏平面难以掌握、腹腔镜下出血控制相对困难等原因,腹腔镜右半肝切除术的开展受到限制[8, 9]。腹腔镜右半肝切除术中关键步骤包括第一肝门Glisson蒂鞘内或鞘外解剖分离,肝静脉分离,肝后及肝周游离等仍缺乏精准界定,腹腔镜右半肝切除术的流程化及标准化仍需进一步探索[10, 11, 12, 13]。有学者认为:Laennec膜是肝脏固有膜,可作为与Glisson肝蒂和肝静脉分离的解剖学间隙,并被定义为Laennec入路[14, 15]。本研究回顾性分析2020年5―7月南京医科大学康达学院第一附属医院收治的2例行Laennec入路腹腔镜解剖性右半肝切除术女性病人的临床病理资料,探讨Laennec入路在腹腔镜解剖性右半肝切除术中的应用价值。
采用回顾性描述性研究方法。收集2例行Laennec入路腹腔镜解剖性右半肝切除术女性病人的临床病理资料;年龄分别为51岁和57岁。2例病人术前分别诊断为肝血管瘤和原发性肝癌,经实验室及影像学检查评估肿瘤最大径分别为12 cm和7 cm,术前无明显手术禁忌证。肝功能均为Child-Pugh A级,ICG R15均<10%。本研究通过南京医科大学康达学院第一附属医院医学伦理委员会审批,批号为KY20170513001。病人及家属均签署手术知情同意书。
纳入标准:(1)局限于右半肝的良恶性肿瘤,切除范围限于右半肝,遵循《腹腔镜肝切除术治疗肝细胞癌中国专家共识(2020版)》[16]。(2)肝功能Child-Pugh A~B级,ICG R15<10%,剩余肝体积可耐受手术。(3)病变未累及第一和第二肝门,适用Glisson肝蒂解剖法。(4)无复杂肝胆手术史。
排除标准:(1)病变累及第一、二肝门,不适用Glisson肝蒂解剖法。(2)剩余肝体积不足或重要器官功能障碍,难以耐受手术。(3)复杂肝胆手术史。
取右侧肝后区垫高及头高足低各30°,脐旁偏右2 cm小切口刺入气腹针建立CO2气腹(气腹压力为14 mmHg,1 mmHg=0.133 kPa),置入10 mm Trocar作观察孔,剑突下、脐旁偏右锁骨中线、右腋前线肋缘下、剑突与脐连线中点偏左2 cm分别置入12 mm、12 mm、5 mm、5 mm Trocar,置入超声刀、抓钳、吸引器等器械。术中控制中心静脉压为0~3 cmH2O(1 cmH2O=0.098 kPa),Pringle法经文氏孔预置腹腔外阻断带。
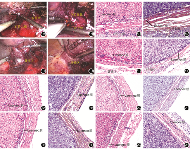
1.Laennec入路肝蒂分离:首先切除胆囊,HE和Mallory染色显示胆囊窝处存在Laennec膜(图1A1D)。降低肝门板,打开左、右半肝间脏层腹膜进入Laennec膜与Glisson右肝蒂的天然间隙,离断部分细小分支,分离至右肝蒂背侧间隙,悬吊阻断后确定右半肝缺血线并用电凝钩标记,Endo-GIA切割闭合器离断。若右肝蒂显露困难,可优先离断肝实质,充分显露右侧Glisson蒂间隙后再离断,HE和Mallory染色显示右肝Glission蒂与Laennec膜之间存在天然间隙[17, 18](图1E, 1H)。


2.Laennec入路肝静脉分离:从足侧肝静脉末梢向头侧入手,游离肝中静脉分支,Hem-o-lok夹闭后离断,至第二肝门分离肝右静脉主干与Laennec包膜间隙,包括离断下腔静脉韧带,充分暴露肝右静脉后切割闭合器离断,HE和Mallory染色显示肝右静脉主干与Laennec膜之间存在间隙(图1I, 1L)。
3.Laennec入路肝后及肝周游离:紧贴Laennec膜,分离右半肝与右肾上腺(HE和Mallory染色显示右肾上腺与Laennec膜之间存在间隙)、下腔静脉及肝裸区(HE和Mallory染色显示Laennec膜覆盖肝裸区)的解剖学间隙,完整切除右半肝(图1M, 1T)。肝断面渗血予电凝钩喷凝止血,肝静脉分支破裂出血处采用5-0 Prolene线连续缝合,术后肝断面留置引流管1根,标本盛入标本袋,自剑突下作正中切口取出。
病人围术期治疗均采用加速康复外科理念,预防性抗感染、补液、对症支持治疗。术后密切监测生命体征及胸腹部体征,观察腹腔引流液情况。
(1)手术情况:手术完成情况、手术时间、术中出血量、术中输血、术中放置胃肠减压管情况。(2)术后及随访情况:术后进食情况、术后下床活动、术后并发症及治疗、围术期死亡情况、术后住院时间、术后病理学检查情况、获得随访例数、肿瘤复发、病人生存情况。
采用门诊和电话方式进行随访,了解病人术后生存及肿瘤复发情况。随访时间截至2020年12月。
计数资料以绝对数表示。
2例病人均成功施行Laennec入路腹腔镜解剖性右半肝切除术,无中转开腹。手术时间分别为180 min和185 min,术中出血量分别为200 mL和400 mL,均无术中输血。术中均未放置胃肠减压管。
2例病人均在术后第1天开始进食流质食物,术后第2~3天下床活动。2例病人术后均未发生胆汁漏及出血,均发生不同程度的胸腔积液和腹腔积液,其中1例因呼吸困难行右侧胸腔穿刺置管引流术后好转,1例保守治疗后痊愈。2例病人无围术期死亡,术后住院时间分别为13 d和11 d。术后病理学检查结果证实:1例为肝血管瘤,1例为原发性肝癌;肝静脉Ⅴ、Ⅵ、Ⅶ、Ⅷ段分支均存在Laennec膜,且与静脉间存在间隙(图2)。2例病人术后分别获得7个月和5个月随访,随访期间均生存,肿瘤均未复发。


1802年法国医师Laennec首次描述Laennec膜,其是一种不同于浆膜层的肝脏固有包膜,包裹整个肝脏。Couinaud虽然对Laennec膜进行了组织病理学描述,但未能引起足够重视,200余年来Laennec膜被混同于肝脏包膜或Glisson鞘膜而被肝脏外科医师忽视。至2017年,Sugioka等[19]通过偶氮卡红染色法证实Laennec膜不仅覆盖肝浆膜下的整个肝实质表面,并与肝门板系统、Glisson肝蒂、肝静脉及下腔静脉周围存在间隙,并提出Laennec膜可作为Glisson肝蒂分离的解剖层次,因此,提出一种从Laennec膜角度进行解剖性肝切除术的手术入路。笔者通过2例腹腔镜解剖性右半肝切除术探索Laennec入路与右侧肝蒂分离、肝静脉、肝后及肝周游离的关系。
Laennec膜是一层纤薄但富含弹性纤维的连续性结构,在第一肝门处与Glisson蒂不连续,相反,肝门板处的Glisson鞘仅有少量伴随弹性纤维组织覆盖[20]。腹腔镜下可见Glisson鞘与Laennec膜之间相互独立并有间隙,两者间距离为(32±8.7)μm,这种组织学特性成为行Laennec入路解剖性肝切除术的理论依据[14,19]。由于缺乏对Glission蒂的解剖学认识,Glission蒂鞘外解剖入路仍没有被标准化。笔者行腹腔镜右半肝切除术,首先显露Glission右侧肝蒂与Laennec膜的间隙,阻断入肝血流。该操作标记缺血分界线,无需使用鞘内解剖入路[21, 22, 23]。行前入路右半肝切除术优先离断Glission蒂有以下优势:(1)手术早期处理血管避免挤压肿瘤诱发播散可能,符合“no-touch”原则[24, 25, 26, 27, 28]。(2)原位切除右半肝,无需游离肝周韧带,避免腹腔镜下移动肝脏。
Laennec首次描述Laennec膜是介于肝静脉主干、下腔静脉处与肝实质之间走行,而其他外周肝静脉则直接附着于肝实质,无Laennec膜介入[29]。Laennec膜存在于肝静脉主干的汇合处,但与肝内静脉壁融合消失[30]。但有研究者证实:肝外Laennec膜与肝静脉主干、下腔静脉均存在间隙,两种间隙距离为20~50 μm,在肝内Laennec膜与肝静脉伴行,并延续至其终末支[19]。目前有学者认为:肝实质内外周肝静脉分支中不存在Laennec膜[19,29,31]。笔者通过HE及Mallory染色,不仅发现Laennec膜与肝静脉主干分离,还证实在肝静脉Ⅴ、Ⅵ、Ⅶ、Ⅷ段分支均存在Laennec膜,并与静脉间存在间隙。因此,在精准肝段切除术中可沿此间隙解剖肝段肝静脉。
肝脏包膜为乏弹性纤维组织,但在肝裸区、右肾上腺及肝后下腔静脉则无肝包膜覆盖,在整个肝脏表面,Laennec膜是紧贴在肝实质上的一层富含弹性纤维的膜结构[19]。笔者从足侧离断尾状突及腔静脉旁部向腔静脉窝分离,沿Laennec膜显露肝后下腔静脉,在腹腔镜放大视野下更有利于分离。有学者采用经头侧Laennec膜间入路,离断肝周韧带及自Laennec膜延续的下腔静脉韧带,显露肝右静脉根部,从而切除肝Ⅶ段肿瘤[32]。也有研究报道经头侧Laennec膜外入路行腹腔镜解剖性肝Ⅷ段切除术[33]。无论从头侧还是足侧游离肝脏,都可经Laennec入路进行此类操作。
笔者通过组织学研究发现:Laennec膜与Glisson肝蒂、肝静脉主干、肝后及肝周之间均存在潜在间隙,Laennec膜与肝实质内外周静脉Ⅴ、Ⅵ、Ⅶ、Ⅷ段分支也存在间隙。在采用Glission蒂横断式肝切除术处理第一肝门时,进一步验证Laennec膜作为Glisson肝蒂分离的解剖学层次,也可循肝静脉行肝实质离断处理第二肝门。通过对拟切除肝段实施入肝及出肝管道的精准控制,使其处于无血状态,又保持剩余肝脏正常血供,从而提高肝切除过程的可控性及安全性[34, 35]。Laennec膜可作为肝切除的解剖学标记,有利于进行精准解剖性肝切除。
综上,在腹腔镜解剖性右半肝切除术中行Laennec入路安全、可行。
所有作者均声明不存在利益冲突





















