
胆囊十二指肠瘘在临床上较少见,诊断困难,1例术前检查高度怀疑胆囊十二指肠瘘病人,因无法行手术治疗改行经皮肝穿刺胆囊引流(PTGD),根据PTGD管中引流出胃液和肠液最终确诊。在后期瘘口修复和病人营养支持治疗中,选择经皮经胆道置入空肠营养管路径,最终获得良好效果。
病人男,88岁。因发热3 d于2020年6月16日入院。病人3 d前出现发热,最高达39.6 ℃,仅行对症退热处理,发热症状逐渐加重来我院就诊。病人3个月前因皮肤、巩膜黄染就诊于我院,诊断为肝门部胆管癌(Ⅰ型)、梗阻性黄疸,在我科行经皮肝穿刺胆道引流术(percutaneous transhepatic cholangial drainage,PTCD)治疗,术后PTCD引流管引出黄色胆汁约400 mL/d,TBil逐渐恢复正常;2个月前行肝门部胆管癌外放射治疗,总剂量为3 600 cGy,分20次进行外照射,末次外放射治疗时间为2020年5月29日。该病人未行化疗、免疫治疗、分子靶向治疗等抗肿瘤治疗。
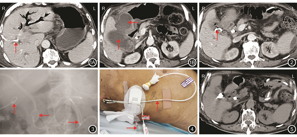
入院体格检查:体温39.5 ℃,脉搏118次/min,呼吸26次/min,血压84/69 mmHg(1 mmHg=0.133 kPa),皮肤、巩膜无黄染,浅表淋巴结未触及肿大,口唇无发绀,腹平坦,未见胃肠型及蠕动波,无腹壁静脉曲张,全腹部轻压痛,有轻度反跳痛和肌紧张,腹膜刺激征阳性,肝脾肋下未触及,移动性浊音阳性,未触及明显腹部包块,肠鸣音减弱,双下肢中度浮肿。入院辅助检查:WBC 38.7×109/L,中性粒细胞占95.1%,C反应蛋白为205.9 mg/L,TBil为48 μmol/L,Cr为148 μmol/L,Alb为20 g/L。腹部CT检查结果显示:肝内胆管积气、胆囊十二指肠瘘可能,未见胆囊结石及胆管结石(图1)。微型营养评价法营养状况评分为3分。


周熠住院医师:病人诊断为感染性休克、胆囊十二指肠瘘、胆管癌、低蛋白血症、梗阻性黄疸PTCD术后。目前病人病情危重,首先进行抗休克、抗感染治疗,由于病人存在胆囊扩张,并伴有胆囊十二指肠瘘,应给予禁食、胃肠减压,同时给予肠外营养支持等治疗。
田丰副主任医师:病人处于感染性休克状态,并且存在腹膜炎征象,应在积极抗感染、抗休克治疗的同时,尽快行经皮肝穿刺胆囊引流(percutaneous transhepatic gallbladder drainage,PTGD)缓解胆道感染,待感染控制后,再考虑经鼻放置空肠营养管。由于病人前期行肝门部胆管癌外放射治疗,同时存在胆囊十二指肠瘘,可能经鼻放置空肠营养管较为困难,甚至置管失败。
王凯主任医师:病人胆囊十二指肠瘘考虑与肝门部胆管癌外放射治疗有关。病人目前病情危重,无法外科手术治疗,在抗感染、抗休克治疗的同时,尽快施行PTGD以缓解胆道系统感染;同时要补充Alb,待病情缓解后给予经鼻放置空肠营养管,从而旷置瘘口并促进瘘口愈合,经营养管给予肠道内营养,以促进病人康复。
病人及家属均签署知情同意书。病人于2020年6月18日行PTGD(图2),术后第1天,PTGD管引流出300 mL脓液,之后持续引流出胃液和肠液,为300~500 mL/d,最终确诊为胆囊十二指肠瘘。
在抗休克、抗感染及PTGD治疗后,病人感染逐渐控制,腹膜炎体征消失,发热症状逐渐好转,于2020年7月1日在DSA下经鼻置入空肠营养管,但反复尝试营养管无法进入十二指肠以远部位,置管失败。病人年龄较大,心脏射血分数仅为33%,无法耐受胃镜操作,最终通过DSA,经PTCD窦道成功置入空肠营养管1根,即空肠营养管与PTCD引流管经同一通道进入肠道(图3,4),经空肠营养管注入肠内营养液(笔者单位营养科配置)约2 000 mL/d,总热量约1 800 kcal/d。病人经积极治疗后病情逐渐稳定,血常规、C反应蛋白、肝肾功能恢复正常,Alb逐渐回升至32 g/L。
PTGD术后4个月,随访时病人病情平稳,微型营养评价法营养状况评分上升至7分,体质量由69 kg增长至74 kg。PTGD管引流液逐渐减少(10 mL/d、引流液呈淡黄色),上腹部CT检查结果显示瘘口闭塞(图5)。病人口服清水500 mL/d,PTGD管引流液未见增多,改为流质食物,引流液仍未见增多,间接判断瘘口闭塞,遂予拔除PTGD管及PTCD窦道内的空肠营养管。病人逐渐改为软食,未再出现胆道感染症状。
胆囊十二指肠瘘是一种少见的胆道系统疾病,70%~90%是胆囊结石引起的慢性炎症长期刺激导致[1, 2]。本例病人是由肝门部胆管癌外放射治疗导致胆囊十二指肠瘘,且未发现胆道系统结石,在临床上较为罕见。
胆囊十二指肠瘘缺乏特征性临床表现,术前诊断率仅为19.4%~42.3%,病死率高达8%~30%[3, 4, 5, 6, 7]。目前该病的诊断与治疗尚无指南与共识可供参考,但多数研究者认为满足以下5项中的3项应高度怀疑该病:(1)CT或B超检查结果示胆道积气。(2)反复畏寒、发热。(3)CT检查结果显示腹上区结构混乱,肠管扩张,且紧贴肝缘。(4)CT或B超检查结果显示胆囊明显萎缩或无法找到胆囊。(5)胃肠钡剂造影或十二指肠镜检查结果示十二指肠明显变形或异常开口;其中胆道积气为胆囊十二指肠瘘特异性临床表现[8, 9, 10, 11, 12]。除此以外,ERCP检查也有诊断价值[13]。本例病人术前CT检查结果满足上述诊断条件,临床高度怀疑胆囊十二指肠瘘。
胆囊十二指肠瘘首选的治疗方法为手术[14, 15]。其原则为切除胆囊、切断瘘管、修补十二指肠瘘口,如有胆道系统结石需清除结石,再视情况行胆肠内引流[16]。由于本例病人年龄较大、基础状态差,合并严重感染,无法耐受外科手术治疗。因此,PTGD治疗后引流出300 mL脓液,且持续引流出胃液和肠液,最终诊断为胆囊十二指肠瘘。
一旦感染得到控制,应尽早开始肠内营养[17, 18]。病人经鼻置入空肠营养管未能成功,则选择通过PTCD窦道路径置入空肠营养管。通过此路径成功置入空肠营养管,减少静脉输液,可明显改善病人营养状态和生命质量。在随访期间瘘口逐渐闭塞,拔除PTGD管及PTCD窦道内的空肠营养管,病人病情平稳,未再发生胆道感染。
通常,较小的胆囊十二指肠瘘口会在禁食一段时间后逐渐修复、闭合,但本例病人瘘口较大,且有持续的引流液引出,在随访第4个月时,病人瘘口闭塞,改为软食,并顺利拔除PTGD管及PTCD窦道内的空肠营养管,预后良好。
胆囊十二指肠瘘在临床上较少见,诊断困难,本例病人术前检查高度怀疑胆囊十二指肠瘘,因无法手术改行PTGD,经PTGD管中引流出胃液和肠液最终确诊。在后期瘘口的修复和病人营养支持治疗中,经皮经胆道置入空肠营养管安全、可行,这项技术可以为此类病人肠内营养支持治疗提供新途径。
所有作者均声明不存在利益冲突





















