
探讨原发性肝脏纤维肉瘤(PHF)CT检查影像学特征。
采用回顾性描述性研究方法。收集2010年1月至2019年12月国内2家医疗中心收治的8例(乐清市人民医院3例和温州市人民医院5例)PHF病人的临床病理资料;男5例,女3例;年龄为50岁(39~60岁)。病人术前均行CT平扫和增强扫描检查,根据病人意愿和个体情况选择治疗方式。术后将肿瘤标本进行病理学检查和免疫组织化学染色检测。观察指标:(1)CT检查影像学特征。(2)治疗及病理学检查情况。(3)随访情况。采用门诊或住院方式进行随访,了解病人生存和肿瘤复发转移情况。随访时间截至2020年12月。偏态分布的计量资料以M(范围)表示,计数资料以绝对数表示。
(1)CT检查影像学特征:8例病人术前均行CT检查,诊断为恶性肿瘤3例,肝内占位性病变3例,肝内胆管细胞癌2例。①肿瘤部位和大体观:8例病人肿瘤均为单发,肿瘤位于肝右叶6例,肝左叶2例;肿瘤呈椭圆形5例,圆形3例;肿瘤长径为9.3 cm(4.0~15.0 cm),其中长径≤5.0 cm 1例,5.1~10. 0 cm 4例,>10.0 cm 3例。②CT平扫检查结果显示:8例病人肿瘤均呈低密度,CT值为40 HU(29~43 HU),其中密度不均匀6例,密度均匀2例;肿瘤呈膨胀性生长界限清晰6例,肿瘤呈浸润性生长界限不清晰2例;瘤内坏死、囊变5例,瘤内条片状出血灶2例,瘤内小片状钙化1例;肝门区淋巴结转移1例。③CT增强扫描检查结果显示:8例病人CT增强扫描检查动脉期示肿瘤呈不均匀强化,门静脉期示肿瘤密度不均匀,延迟期示肿瘤强化均缓慢退出,密度低于肝实质。(2)治疗及病理学检查情况:①治疗情况包括8例病人均行手术切除治疗,肝内和肝门区未见转移。②肿瘤病理学检查结果显示:8例病人中,2例肿瘤分化为Ⅰ级(低度恶性),5例肿瘤分化为Ⅱ级和Ⅲ级(中度恶性),1例肿瘤分化为Ⅳ级(高度恶性)。③免疫组织化学染色检测结果显示:8例病人波形蛋白、内皮细胞10、p53均为阳性,平滑肌肌动蛋白、角蛋白19、上皮膜抗原、内皮细胞34均为阴性;8例均确诊为PHF。(3)随访情况:8例病人术后均获得随访,随访时间为7~128个月,中位随访时间为53个月。8例病人总生存时间为15~122个月,中位总生存时间为45个月;其中1例于术后17个月因肿瘤复发和远处转移死亡,7例生存时间>28个月。
PHF CT平扫检查示不均匀低密度肿块,增强扫描检查动脉期示肿瘤环形或周边结节状不均匀强化,瘤内条状强化血管,门静脉期示瘤内小片状或网格样持续强化,延迟期示瘤内强化缓慢退出。
版权归中华医学会所有。
未经授权,不得转载、摘编本刊文章,不得使用本刊的版式设计。
除非特别声明,本刊刊出的所有文章不代表中华医学会和本刊编委会的观点。
原发性肝脏肉瘤临床发病率低,而原发性肝脏纤维肉瘤(primary hepatic fibrosarcoma,PHF)更少见[1, 2]。PHF是恶性间叶组织肿瘤,恶性度高,预后差,其报道数量较少,且多为个案报道[3, 4, 5, 6, 7]。PHF临床和影像学表现缺乏特征性,术前常被误诊。本研究回顾性分析2010年1月至2019年12月国内2家医疗中心收治的8例(乐清市人民医院3例和温州市人民医院5例)PHF病人的临床病理资料,探讨PHF CT检查影像学特征。
采用回顾性描述性研究方法。收集8例PHF病人的临床病理资料;男5例,女3例;年龄为50岁(39~60岁)。8例病人均无乙型和(或)丙型病毒型肝炎病史,均有右季肋区胀痛,其中发热3例,腹腔积液2例,体质量减轻1例。8例病人肿瘤标志物AFP、CEA、CA19-9均正常。本研究通过乐清市人民医院医学伦理委员会审批,批号为YQYY202100 085。病人及家属均签署知情同意书。
纳入标准:(1)经手术病理学检查结果证实为PHF。(2)行CT平扫联合增强扫描检查。
排除标准:(1)临床、实验室检查排除其他肿瘤或炎症性病变。(2)病理学检查结果未确诊为PHF。(3)未行CT增强扫描检查或图像质量较差。
病人术前均行CT平扫和增强扫描检查。采用美国GE公司16排CT和德国Siemens Somatom Emotion公司16排CT检查。病人检查前禁食8 h,检查时屏气扫描,不行腹部加压。扫描条件:管电压120 kV,管电流200 mA,层厚和间距均为3~5 mm,矩阵512×512。增强扫描使用非离子型对比剂碘海醇(浓度:300 mg/mL),高压注射器于肘静脉推注对比剂剂量为1.5 mL/kg,注射流率为3.0 mL/s,用药后20~25 s扫描动脉期、60~70 s扫描门静脉期、120~150 s扫描延时期。由两位影像学医师(职称为副主任医师)分别对CT检查图像进行分析,主要观察肿瘤部位、大小、形态、界限、密度、增强后强化情况及转移等。两位医师意见不一致时,可通过讨论达成共识。
病人完成术前检查后,根据病人意愿和个体情况选择保守治疗、手术切除或化疗+单克隆抗体靶向治疗。术后将肿瘤标本进行病理学检查和免疫组织化学染色检测。
观察指标:(1)CT检查影像学特征包括肿瘤部位和大体观(肿瘤位置、形状、长径),CT平扫检查结果(肿瘤密度、界限、囊变、淋巴结转移),CT增强扫描检查结果(动脉期、门静脉期、延迟期)。(2)治疗及病理学检查情况:手术情况和术中标本,肿瘤病理学形态,肿瘤分化为Ⅰ、Ⅱ、Ⅲ、Ⅳ级肿瘤病理学和CT检查影像学特征,免疫组织化学染色检测结果。(3)随访情况:获得随访病人例数、随访时间、生存情况和肿瘤复发转移情况。
评价标准:以正常肝组织密度为标准,将肿瘤分为高密度、等密度和低密度。强化后CT值≤60 HU为轻度强化,CT值61~70 HU为中度强化,CT值≥71 HU为显著强化[8]。
采用门诊或住院方式进行术后随访,了解病人生存和肿瘤复发情况。随访时间截至2020年12月。
应用SPSS 20.0统计软件进行分析。偏态分布的计量资料以M(范围)表示,计数资料以绝对数表示。
8例病人术前均行CT检查,诊断为恶性肿瘤3例,肝内占位性病变3例,肝内胆管细胞癌2例。
(1)肿瘤部位和大体观:8例病人肿瘤均为单发,肿瘤位于肝右叶6例,肝左叶2例;肿瘤呈椭圆形5例,圆形3例;肿瘤长径为9.3 cm(4.0~15.0 cm),其中长径≤5.0 cm 1例,5.1~10. 0 cm 4例,>10.0 cm 3例。
(2)CT平扫检查结果显示:8例病人肿瘤均呈低密度,CT值为40 HU(29~43 HU),其中密度不均匀6例,密度均匀2例;肿瘤呈膨胀性生长界限清晰6例,肿瘤呈浸润性生长界限不清晰2例;瘤内坏死、囊变5例,瘤内条片状出血灶2例,瘤内小片状钙化1例;肝门区淋巴结转移1例。
(3)CT增强扫描检查结果显示:①8例病人CT增强扫描检查动脉期示肿瘤呈不均匀强化,CT值为68 HU(44~73 HU),其中4例瘤内呈条状强化血管,2例呈环形强化,2例瘤周呈结节状强化;3例显著强化,3例中度强化,2例轻度强化。②8例病人CT增强扫描检查门静脉期示肿瘤密度不均匀,CT值为62 HU(50~65 HU),其中3例瘤内见小片状或网格样持续中度强化,3例强化明显降低,2例强化轻度降低。③8例病人CT增强扫描检查延迟期示肿瘤强化均缓慢退出,密度低于肝实质,CT值为53 HU(50~60 HU)。
(1)治疗情况:8例病人均行手术切除治疗,术中见肿瘤长径为9.3 cm(4.0~15.0 cm),肿瘤界限均较清晰,有完整包膜5例,无明显包膜3例;肿瘤切面呈灰白色、灰红色,部分区域呈鱼肉状。8例病人均顺利完成肿瘤切除术,肝内和肝门区未见转移。
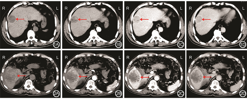
(2)肿瘤病理学检查结果显示:8例病人瘤细胞长梭形、核梭形、卵圆形,核分裂易见,瘤细胞呈束状及编织状排列。①2例肿瘤分化为Ⅰ级(低度恶性):肿瘤细胞少,有丝分裂较少,含丰富胶原纤维,与纤维样瘤近似,肿瘤细胞分化好。CT平扫检查示肿瘤膨胀性生长,均匀略低密度,界限清晰;增强扫描检查动脉期示瘤周环状轻度强化,门静脉期示持续强化,延迟期示强化缓慢退出(图1)。②5例肿瘤分化为Ⅱ级和Ⅲ级(中度恶性):肿瘤细胞表现界于Ⅰ级与Ⅳ级之间。CT平扫检查示肿瘤膨胀性生长,肿瘤呈均匀或不均匀低密度,界限清晰或不清晰,瘤内可见坏死、囊变;增强扫描检查动脉期示肿瘤呈不均匀中度强化,瘤内可有或无条状强化血管,门静脉期示强化降低或持续强化,延迟期示强化退出。③1例肿瘤分化为Ⅳ级(高度恶性):肿瘤细胞多,高度间变,有丝分裂多,胶原纤维少,分化差。CT平扫检查示肿瘤浸润性生长,不均匀低密度,界限不清晰,瘤内见片状坏死、囊变区;增强扫描检查动脉期示肿瘤呈不均匀显著强化,瘤内见条状强化血管,门静脉期示强化明显降低,延迟期示肿瘤强化退出(图2)。


(3)免疫组织化学染色检测结果显示:8例病人波形蛋白、内皮细胞10、p53均为阳性,平滑肌肌动蛋白、角蛋白19、上皮膜抗原、内皮细胞34均为阴性;8例均确诊为PHF。
8例病人术后均获得随访,随访时间为7~128个月,中位随访时间为53个月。8例病人总生存时间为15~122个月,中位总生存时间为45个月;其中1例于术后17个月因肿瘤复发和远处转移死亡,7例生存时间>28个月。
PHF恶性程度高,进展迅速,预后差,占原发性肝肿瘤的1%~2%[1, 2, 3, 4, 5, 6, 7, 8]。PHF病人中,男性稍多于女性,发病年龄多见于45~60岁。主要临床表现为腹上区疼痛、发热、纳差、消瘦、乏力、黄疸、腹部包块等。实验室检查血WBC可升高,而分类正常,转氨酶可正常或升高,AFP和CEA常为阴性,肝炎和肝纤维化指标多为阴性[9, 10]。
PHF发病可能与镉的致癌作用有关,肿瘤由梭形纤维母细胞组成,并含网状纤维及胶原纤维[11, 12]。肿瘤按其恶性程度可分为Ⅰ~Ⅳ级,最常见和典型的改变为Ⅱ级和Ⅲ级;Ⅰ级分化最好,恶性程度最低;Ⅳ级分化最差,恶性程度最高。显微镜下见肿瘤细胞长梭形、核梭形、卵圆形,核分裂易见,瘤细胞呈束状排列,有斑片状坏死[12]。免疫组织化学染色检测显示波形蛋白、内皮细胞10、p53阳性,而波形蛋白阳性在PHF诊断中具有重要价值[13, 14]。本研究中病人临床表现和病理学特点与上述文献报道相似。
PHF是肝脏少见的恶性间叶组织肿瘤,笔者结合本研究结果及相关文献总结PHF的CT检查影像学特征:(1)PHF恶性程度高,生长快,瘤体大,肿瘤长径>5 cm占87.5%。(2)肿瘤以膨胀性生长为主,多数有假包膜,界限较清晰。(3)PHF好发于肝右叶,多呈不均匀低密度肿块,常有坏死与囊变。(4)增强动脉期肿瘤周边以环形、结节状不均匀强化,门静脉期瘤内小片状或网格样持续中度强化,延迟期强化缓慢退出为特点。(5)CT检查征象与病理学级别密切相关:Ⅰ级肿瘤密度均匀,增强扫描检查示瘤周环形持续轻度强化,呈慢进慢出;Ⅳ级肿瘤密度不均匀,界限不清晰,瘤内常见坏死,增强扫描检查示不均匀强化,呈快进快出;Ⅱ、Ⅲ级肿瘤密度均匀或不均匀,增强扫描检查示瘤周环形或瘤内网格状不均匀强化,门静脉期持续强化或缓慢退出[1, 2, 3, 4, 5, 6, 7, 8, 9, 10, 11, 12, 13, 14]。
原发性肝细胞癌常有慢性肝炎及肝硬化病史,AFP升高[15, 16]。CT平扫检查示低密度肿块,病灶中心常有出血和坏死区,增强扫描检查示肿瘤呈快进快出强化[17]。原发性肝血管肉瘤瘤体大,易坏死囊变,CT平扫检查示肿瘤密度不均,瘤内示小斑片状钙化。CT增强扫描检查动脉期示肿瘤中心呈斑片状或絮状轻中度强化,门静脉期示持续强化,延迟期强化缓慢退出[18]。肝脏原发性神经内分泌癌病人常无乙型病毒性肝炎病史,AFP、CEA、CA19-9均未见异常[19]。CT平扫检查示肿瘤呈不均匀低密度肿块,易坏死;增强扫描检查动脉期示肿瘤实性部分轻中度均匀或不均匀强化,静脉期、延时期病变持续性强化。上皮样血管内皮瘤常无毒性物质接触及肝炎病毒感染或肝硬化史。CT平扫检查示肿瘤呈低密度肿块,有钙化、囊性收缩等;增强扫描检查动脉期示中心强化,门静脉期示环形向心持续强化,常见“双环征”“棒棒糖征”“瘤内血管征”及包膜“皱缩征”。而PHF病人常无肝炎病史,AFP阴性,CT平扫检查示不均匀低密度肿块,增强周边环形、不均匀结节状强化,门静脉期示持续轻度强化。
综上,PHF CT平扫检查示不均匀低密度肿块,增强扫描检查动脉期示肿瘤环形或周边结节状不均匀强化,瘤内条状强化血管,门静脉期示瘤内小片状或网格样持续强化,延迟期示瘤内强化缓慢退出。
所有作者均声明不存在利益冲突





















