
探讨超声造影、增强CT、增强磁共振成像(MRI)检查在诊断小肝癌中的应用价值。
采用临床诊断性试验研究方法。收集2019年1月至2021年6月陆军军医大学第一附属医院收治的145例小肝癌患者的临床病理资料;男121例,女24例;中位年龄为54岁,年龄范围为26~78岁。患者均行超声造影、增强CT、增强MRI检查,1个月内行手术切除病灶。观察指标:(1)小肝癌患者术后组织病理学检查情况。(2)小肝癌超声造影、增强CT、增强MRI检查情况。(3)小肝癌超声造影、增强CT、增强MRI检查影像学特征。(4)小肝癌超声造影、增强CT、增强MRI检查动脉期、门静脉期、延迟期强化方式分布。(5)小肝癌超声造影、增强CT、增强MRI检查的诊断效能。正态分布的计量资料以x±s表示,偏态分布的计量资料以M(范围)表示。计数资料以绝对数或百分比表示,组间比较采用Cochran′s Q检验或χ²检验。采用灵敏度、特异度、准确度分析超声造影、增强CT、增强MRI检查对小肝癌的诊断效能。
(1)小肝癌患者术后组织病理学检查情况。145例小肝癌患者术后组织病理学检出154个病灶,肿瘤长径为(2.2±0.6)cm。(2)小肝癌超声造影、增强CT、增强MRI检查情况。145例小肝癌患者超声造影、增强CT、增强MRI检查检出肝脏病灶数目分别为153个、154个、154个,检出率分别为99.35%(153/154)、100.00%(154/154)、100.00%(154/154),3种影像学检查小肝癌病灶检出率比较,差异无统计学意义(Q=2.00,P>0.05)。(3)小肝癌超声造影、增强CT、增强MRI检查影像学特征。153个超声造影检查检出小肝癌病灶中,表现为“快进快出”强化方式140个,“快进慢出”强化方式12个,“等-低-低”强化方式1个。154个增强CT检查检出小肝癌病灶中,表现为“快进快出”强化方式112个,“快进慢出”强化方式13个,“等-低-低”强化方式14个,“环状高-低-低”“低-低-低”强化方式各5个,“高-高-高”强化方式3个,“等-等-等”“等-等-低”强化方式各1个。154个增强MRI检查检出小肝癌病灶中,表现为“快进快出”强化方式134个,“快进慢出”强化方式1个,“等-低-低”强化方式8个,“环状高-低-低”强化方式5个,“持续性环状高”强化方式2个,“高-高-高”“低-低-低”“等-等-低”“边缘延迟强化”强化方式各1个。(4)小肝癌超声造影、增强CT、增强MRI检查动脉期、门静脉期、延迟期强化方式分布。153个超声造影检查检出小肝癌病灶中,动脉期高强化152个、等或低强化1个,门静脉期高或等强化55个、低强化98个,延迟期高或等强化12个、低强化141个。154个增强CT检查检出小肝癌病灶中,动脉期高强化133个、等或低强化21个,门静脉期高或等强化53个、低强化101个,延迟期高或等强化17个、低强化137个。154个增强MRI检查检出小肝癌病灶中,动脉期高强化143个、等或低强化11个,门静脉期高或等强化29个、低强化125个,延迟期高或等强化5个、低强化149个。小肝癌病灶超声造影、增强CT、增强MRI检查中动脉期、门静脉期、延迟期强化方式分布数目比较,差异均有统计学意义(χ²=19.47,13.21,6.92,P<0.05)。(5)小肝癌超声造影、增强CT、增强MRI检查的诊断效能。153个超声造影检查诊断小肝癌病灶中,经术后组织病理学检查结果核对误诊病灶3个。154个增强CT、增强MRI检查诊断小肝癌病灶中,经术后组织病理学检查结果核对误诊病灶分别为7个、2个。单一影像学检查误诊的病灶均在其他两项影像学检查中获得正确诊断。超声造影检查诊断小肝癌的灵敏度、特异度、准确度分别为97.4%、63.0%、92.3%,增强CT和增强MRI检查的上述指标分别为95.5%、63.0%、90.6%和98.7%、63.0%、93.4%;3种影像学检查方式上述指标比较,差异均无统计学意义(Q=2.92,0.00,1.81,P>0.05)。
超声造影、增强CT、增强MRI检查对小肝癌均有较好诊断价值,3种影像学检查方式诊断小肝癌具有互补效果。
版权归中华医学会所有。
未经授权,不得转载、摘编本刊文章,不得使用本刊的版式设计。
除非特别声明,本刊刊出的所有文章不代表中华医学会和本刊编委会的观点。
原发性肝癌发病率在全世界恶性肿瘤中排名第7位,是第2大致死性恶性肿瘤[1]。肝细胞癌是其最常见类型,其中HBV和HCV是最重要的致病因素[2, 3, 4]。对于肿瘤长径≤3 cm的肝细胞癌(以下简称小肝癌),患者总体预后较好。因此,早期诊断对改善患者预后十分重要[5, 6, 7]。AFP虽然是原发性肝癌早期诊断的重要指标,但在小肝癌的早期诊断中假阴性率较高[8]。超声造影检查通过实时观察肝组织血流灌注,可有效提高原发性肝癌诊断灵敏度和特异度,但目前国际指南均推荐增强CT或MRI检查作为原发性肝癌一线影像学检查手段,而超声造影检查仅作为二线检查手段,其诊断价值尚存争议[6,9, 10, 11, 12, 13]。本研究回顾性分析2019年1月至2021年6月陆军军医大学第一附属医院收治的145例小肝癌患者的临床病理资料,探讨超声造影、增强CT、增强MRI检查在诊断小肝癌中的应用价值。
采用临床诊断性试验研究方法。收集145例小肝癌患者的临床病理资料;男121例,女24例;中位年龄为54岁,年龄范围为26~78岁。患者均行超声造影、增强CT、增强MRI检查,1个月内行手术切除病灶。本研究通过我院医学伦理委员会审批,批号为(B)KY2021164。患者及家属均签署知情同意书。
纳入标准:(1)同时行超声造影、增强CT、增强MRI检查。(2)有明确病理学诊断结果,肿瘤长径≤3 cm。(3)手术时间与影像学检查时间间隔<1个月。(4)无肝脏占位性病变手术切除及局部病灶放化疗史。
排除标准:(1)有静脉癌栓或卫星结节。(2)肝脏弥漫性结节。
采用德国西门子公司Acuson Sequoia 512型或美国通用电气公司LOGIQ E9型彩色多普勒超声诊断仪,凸阵探头型号为4C1,频率为2.0~5.0 MHz,具有低机械指数实时双幅谐波造影技术。造影剂采用意大利Bracco公司产品注射用六氟化硫微泡。患者取合适体位,先行常规二维超声检查,记录肝脏病灶体积、数目、位置、边界、血流情况;切换至造影模式,采用5 mL 0.9%氯化钠溶液稀释造影剂,充分混匀后经肘静脉快速团注2.4 mL造影剂混悬液,随后迅速注射5 mL 0.9%氯化钠溶液冲洗,同步计时,进行实时观察,储存数字图像。动脉期(0~30 s),门静脉期(31~120 s),延迟期(>120 s)。
采用德国西门子公司SOMATOM Definition Flash型双源CT扫描仪,管电压为120 kvp,管电流为200 mAs,重建层厚为1.5 mm,重建增量为1.3 mm,螺距为0.8 mm。对比剂采用通用电气药业(上海)有限公司产品碘海醇注射液,浓度为300 mg/mL,用量按1.5 mg/kg计算。患者首先行腹部平扫,完成后采用高压注射泵经肘静脉单相注射对比剂,流速为4 mL/s,注射后开始行增强扫描,动脉期(20~25 s),门静脉期(60~70 s),延迟期(>180 s)。
采用德国西门子公司Trio 3.0T超导型MRI扫描仪。对比剂采用德国拜耳公司产品钆塞酸二钠,用量按0.025 mmoL/kg计算。患者均行T1 Vibe{TR/TE/FA:3.42 ms/1.25 ms/13°};T2 haste冠状位及T2 haste轴位{TR/TE/FA:800 ms/90 ms/150°};弥散加权成像{TR/TE:5 500 ms/81 ms}。增强扫描动脉期采用Care Bolus技术,当对比剂到达胸主动脉下段水平开始扫描,门静脉期(70 s),移行期(180 s),肝胆期(15 min)。
由1名中级职称放射科医师和1名主任医师职称超声科医师(分别具有5年和15年腹部影像学诊断经验)结合临床指标,采用双盲法作出定性诊断,若遇诊断结果不一致,由2名医师协商后达成一致。
患者完成术前检查后,根据具体情况行手术切除病灶,术后行组织病理学检查。
观察指标:(1)小肝癌患者术后组织病理学检查情况包括病灶数目、肿瘤长径。(2)小肝癌超声造影、增强CT、增强MRI检查情况:病灶数目、病灶检出率。(3)小肝癌超声造影、增强CT、增强MRI检查影像学特征。(4)小肝癌超声造影、增强CT、增强MRI检查动脉期、门静脉期、延迟期强化方式分布:高强化、等强化、低强化。(5)小肝癌超声造影、增强CT、增强MRI检查的诊断效能:病灶误诊数目、灵敏度、特异度、准确度。
应用SPSS 23.0统计软件进行分析。正态分布的计量资料以x±s表示,偏态分布的计量资料以M(范围)表示。计数资料以绝对数或百分比表示,组间比较采用Cochran′s Q检验或χ²检验。采用灵敏度、特异度、准确度分析超声造影、增强CT、增强MRI检查对小肝癌的诊断效能。P<0.05为差异有统计学意义。
145例小肝癌患者术后组织病理学检出154个病灶,肿瘤长径为(2.2±0.6)cm。
145例小肝癌患者超声造影、增强CT、增强MRI检查检出肝脏病灶数目分别为153个、154个、154个,检出率分别为99.35%(153/154)、100.00%(154/154)、100.00%(154/154),3种影像学检查小肝癌病灶检出率比较,差异无统计学意义(Q=2.00,P=0.368)。
153个超声造影检查检出小肝癌病灶中,表现为“快进快出”强化方式140个,“快进慢出”强化方式12个,“等-低-低”强化方式1个。
154个增强CT检查检出小肝癌病灶中,表现为“快进快出”强化方式112个,“快进慢出”强化方式13个,“等-低-低”强化方式14个,“环状高-低-低”“低-低-低”强化方式各5个,“高-高-高”强化方式3个,“等-等-等”“等-等-低”强化方式各1个。
154个增强MRI检查检出小肝癌病灶中,表现为“快进快出”强化方式134个,“快进慢出”强化方式1个,“等-低-低”强化方式8个,“环状高-低-低”强化方式5个,“持续性环状高”强化方式2个,“高-高-高”“低-低-低”“等-等-低”“边缘延迟强化”强化方式各1个。
小肝癌超声造影、增强CT、增强MRI检查动脉期、门静脉期、延迟期强化方式分布比较,差异均有统计学意义(P<0.05)。见表1。

145例小肝癌患者超声造影、增强CT、增强MRI检查的动脉期、门静脉期、延迟期强化方式分布情况(个)
Enhancement mode distribution of 145 small hepatocellular carcinoma in arterial phase, portal vein phase and delayed phase of contrast-enhanced ultrasound, enhanced computer tomography and enhanced magnetic resonance imaging(unit)
145例小肝癌患者超声造影、增强CT、增强MRI检查的动脉期、门静脉期、延迟期强化方式分布情况(个)
Enhancement mode distribution of 145 small hepatocellular carcinoma in arterial phase, portal vein phase and delayed phase of contrast-enhanced ultrasound, enhanced computer tomography and enhanced magnetic resonance imaging(unit)
| 影像学检查方式 | 小肝癌病灶检出数目 | 动脉期强化方式分布数目 | 门静脉期强化方式分布数目 | 延迟期强化方式分布数目 | |||
|---|---|---|---|---|---|---|---|
| 高强化 | 等或低强化 | 高或等强化 | 低强化 | 高或等强化 | 低强化 | ||
| 超声造影 | 153 | 152 | 1 | 55 | 98 | 12 | 141 |
| 增强CT | 154 | 133 | 21 | 53 | 101 | 17 | 137 |
| 增强MRI | 154 | 143 | 11 | 29 | 125 | 5 | 149 |
| χ²值 | 19.47 | 13.21 | 6.92 | ||||
| P值 | <0.001 | 0.001 | 0.031 | ||||
注:小肝癌为肿瘤长径≤3 cm的肝细胞癌,CT为计算机断层扫描,MRI为磁共振成像
小肝癌超声造影检查动脉期强化方式分布分别与增强CT、增强MRI检查比较,差异均有统计学意义(χ²=19.45,8.61,P<0.001,P=0.003)。增强CT检查与增强MRI检查比较,差异无统计学意义(χ²=3.49,P=0.062)。
小肝癌超声造影检查门静脉期强化方式分布与增强CT检查比较,差异无统计学意义(χ²=0.08,P=0.780),与增强MRI检查比较,差异有统计学意义(χ²=11.31,P=0.001)。增强CT检查与增强MRI检查比较,差异有统计学意义(χ²=9.57,P=0.002)。
小肝癌超声造影检查延迟期强化方式分布分别与增强CT、增强MRI检查比较,差异均无统计学意义(χ²=0.92,3.10,P=0.338,0.078)。增强CT检查与增强MRI检查比较,差异有统计学意义(χ²=7.049,P=0.008)。
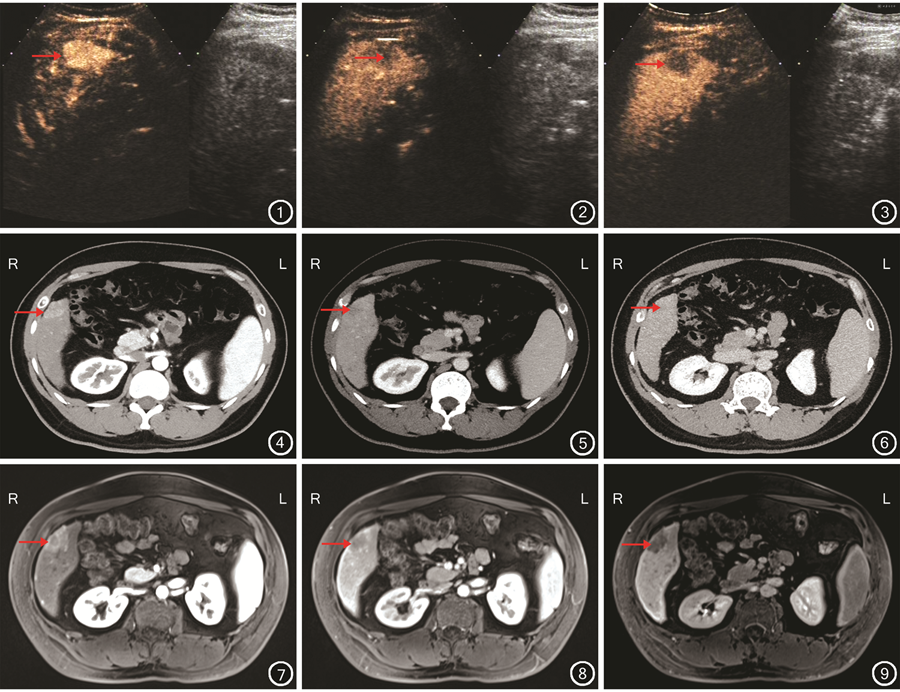
小肝癌超声造影、增强CT、增强MRI检查不同时期强化方式分布见图1, 2, 3, 4, 5, 6, 7, 8, 9。


153个超声造影检查诊断小肝癌病灶中,经术后组织病理学检查结果核对误诊病灶3个。154个增强CT、增强MRI检查诊断小肝癌病灶中,经术后组织病理学检查结果核对误诊病灶分别为7个、2个。单一影像学检查误诊的病灶均在其他两项影像学检查中获得正确诊断。
超声造影检查诊断小肝癌的灵敏度、特异度、准确度分别为97.4%、63.0%、92.3%,增强CT和增强MRI检查的上述指标分别为95.5%、63.0%、90.6%和98.7%、63.0%、93.4%;3种影像学检查方式上述指标比较,差异均无统计学意义(Q=2.92,0.00,1.81,P=0.232,1.000,0.405)。
超声造影、增强CT、增强MRI检查是临床上常用的原发性肝癌影像学检查方式。与增强CT、增强MRI检查比较,超声造影检查可以减少辐射暴露危险,其检查时间短、价格便宜、安全性和重复性均较好。此外,超声造影检查能够实时动态显示肝脏病灶动脉期、门静脉期及延迟期的血流灌注。本研究结果显示:145例小肝癌患者超声造影、增强CT、增强MRI检查病灶检出率比较,差异无统计学意义。这提示超声造影检查诊断小肝癌具有与增强CT、增强MRI相似的检出效果。
肝细胞癌发生、发展过程中,门静脉及正常肝动脉减少甚至消失,同时异常新生动脉增多[16]。已有的研究结果显示:肝细胞癌的主要供血动脉常因伴有动、静脉短路而表现为富血供型,影像学检查动脉期造影剂快速进入肿瘤呈高增强,门静脉期或延迟期呈快速消退,整体表现为“快进快出”强化方式[17]。本研究结果显示:153个超声造影检查检出小肝癌病灶中,140个病灶表现为“快进快出”强化方式,且动脉期高强化数目为152个;超声造影检查小肝癌病灶动脉期高强化数目均高于增强CT和增强MRI检查,与既往研究结果一致[18, 19]。笔者分析:超声造影检查扫描特点为实时动态观察,而增强CT、增强MRI检查为固定时间点扫描观查,可能错过病灶的短暂性强化表现[18,20]。此外,有研究结果显示:与增强CT或增强MRI检查比较,超声造影检查对微泡造影剂具有更好的灵敏度[21]。
超声造影、增强CT、增强MRI检查可反映病灶供血血管的变化[22]。有研究结果显示:“快进快出”强化方式在肝细胞癌中仅占69.3%[23]。本研究结果显示:超声造影、增强CT、增强MRI检查小肝癌病灶表现为“快进慢出”强化方式分别为12、13、1个。有文献报道:肝细胞癌早期,病灶由于缺乏新生血管而以门静脉供血为主,造影剂从门静脉进入病灶可能是产生“快进慢出”强化方式的原因[24]。Jang等[25]的研究结果显示:50%的高分化肝细胞癌超声造影检查时不出现廓清。Boozari等[26]的研究结果显示:94.4%的高分化肝细胞癌超声造影检查延迟期可表现高或等增强。本研究结果显示:超声造影、增强CT、增强MRI检查小肝癌延迟期,病灶均有高或等增强分布。因此,对于超声造影检查延迟期不出现廓清的高危患者,需引起重视[27]。
本研究结果显示:小肝癌超声造影、增强CT、增强MRI检查的灵敏度、准确度比较,差异均无统计学意义。ROC显示超声造影、增强CT、增强MRI检查对小肝癌均有较好诊断价值。这与已有的研究结果一致[5,28, 29, 30, 31, 32]。本研究中,虽然超声造影、增强CT、增强MRI检查小肝癌分别存在3、7、2个误诊病灶,但单一影像学检查误诊的病灶均在其他两项影像学检查中获得正确诊断。这提示超声造影、增强CT、增强MRI检查诊断小肝癌具有互补效果。
综上,超声造影、增强CT、增强MRI检查对小肝癌均有较好诊断价值,3种影像学检查方式诊断小肝癌具有互补效果。
所有作者均声明不存在利益冲突





















