
胆囊-腹壁瘘通常是因急性胆囊炎治疗不及时,胆囊周围脓肿形成后与腹壁粘连,侵蚀皮肤,形成自发性胆囊-腹壁瘘。患者可有胆囊结石、急性胆囊炎症状,超声检查方便,可了解胆囊情况、是否与腹腔相通以及有无血流信号,从而明确诊断,以便及时治疗。笔者介绍1例高龄患者胆囊腹壁瘘的诊断与治疗经验。
版权归中华医学会所有。
未经授权,不得转载、摘编本刊文章,不得使用本刊的版式设计。
除非特别声明,本刊刊出的所有文章不代表中华医学会和本刊编委会的观点。
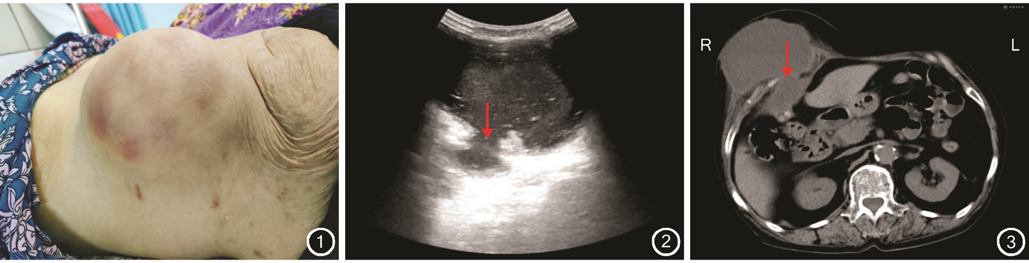
患者女,85岁,2022年6月因右侧腹壁包块反复发热伴有轻度疼痛半月入院。2022年4月患者家属发现患者右侧腹壁有一包块,无腹痛、腹胀等不适,未予重视,随后包块逐渐增大。体格检查结果显示右侧腹壁可触及长径约10 cm包块,质地柔软,边界清楚,表面皮肤红肿,轻压痛,无波动及搏动(图1)。超声检查结果显示右侧腹壁可见约98 mm×85 mm不均质混合回声包块,内部透声差,其内充满密集点状回声及强回声伴声影,加压探头可见流动,腹壁连续性中断可见瘘口与腹腔相通(图2);肝胆超声检查结果显示未见正常胆囊图像;彩色多普勒血流显像检测结果显示包块内未见彩色血流信号。超声检查诊断为右侧腹壁囊性包块(胆囊结石、胆囊腹壁瘘不排除),建议进一步检查。腹部CT检查结果显示胆囊疝伴多发结石、炎症可能(图3)。


徐中亚主治医师:患者因腹部包块就诊检查,超声检查结果右侧腹壁囊性包块(胆囊结石,胆囊腹壁瘘不排除);CT检查平扫结果示右侧腹腔及腹壁囊性占位性病变。考虑胆囊疝伴多发结石、炎症可能,结合临床,患者诊断胆囊腹壁外瘘。
杨金锋主治医师:右侧腹壁突出体表包块,结合超声、CT及实验室检查,考虑为胆囊嵌顿坏疽破裂所致;因患者高龄,手术风险较大,术后可能发生胆道感染、腹腔感染、腹腔脓肿、肠粘连、粘连性肠梗阻等并发症。
钮颍副主任医师:突出体表包块需要与以下常见病鉴别诊断。(1)皮脂囊肿:非真性肿瘤,为皮脂腺排泄受阻所致储留性囊肿,易继发感染伴奇臭,感染控制后可手术治疗。(2)脂肪瘤:为正常脂肪样组织的瘤状物,好发于四肢、躯干,边界清晰,无疼痛症状,生长缓慢。深部脂肪瘤可发生恶变,可行手术治疗。(3)白线疝:为发生在腹白线(腹壁正中线)不同部位的疝,但其多数位于脐上,以腹壁包块为常见症状,可有腹痛症状,外科检查时包块有时可回纳,患者常有手术史。该患者无手术史,结合超声等影像学检查及临床体征,诊断为胆囊外瘘致肝周及腹壁脓肿。
患者取仰卧位,麻醉满意后,常规消毒、铺巾。于包块最明显处取长约5 cm切口,切开皮肤、皮下组织,可见黄色脓液流出。钝性分离脓腔,约500 mL脓液,清除脓腔内脓液及坏死组织,见脓腔内多个结石,考虑胆囊粘连于腹壁发生穿孔所致感染。完整取出结石后,用过氧化氢溶液及0.9% 氯化钠溶液冲洗脓腔,未见明显胆汁性液体,考虑胆囊已闭锁,遂行腹腔探查手术。取剑突下、脐下及右侧肋弓下、右腋中线脐水平3处打孔。建立人工气腹,气腹压力为13 mmHg(1 mmHg=0.133 kPa),放置腹腔镜器械。腹腔镜下探查显示:肝脏饱满,肝缘锐利,肠系膜、胆囊粘连于腹壁,胆囊三角不清晰。游离部分粘连后仍无法完整切除胆囊。于脓腔上方、下方分别留置引流管用于冲洗,缝合关闭切口。手术顺利、术后安全返回病房,予以心电监护等对症处理,术后11 d治愈出院,出院后1、3个月门诊随诊,原瘘道偶有液体流出,患者年龄大,对症保守处理。
胆囊-腹壁瘘通常因急性胆囊炎治疗不及时,胆囊周围脓肿形成后与腹壁粘连,形成自发性胆囊-腹壁瘘。该患者存在胆囊结石、急性胆囊炎症状,脓肿形成后会有感染相关症状和体征。超声检查方便,可了解胆囊大小、有无结石以及形成脓肿后的胆囊内部回声情况、是否与腹腔相通、有无血流信号,可与实性肿瘤鉴别[1, 2, 3]。
临床中胆囊内瘘较常见,急性胆囊炎导致胆囊产生坏疽和脓肿,穿透附近的空腔脏器形成,胆囊-肠道内瘘以十二指肠、结肠瘘多见[4, 5, 6, 7]。本例患者发生胆囊腹壁瘘的原因可能与高龄、疼痛不敏感有关。胆囊结石是该病形成的基础,胆囊结石穿孔后大网膜包绕形成脓肿侵蚀腹壁形成瘘;结石性胆囊炎可并发胆囊穿孔,发展成胆汁性腹膜炎,也可与周围发生炎性粘连,进一步侵蚀腹内邻近空腔脏器,形成胆囊内瘘;如果感染性胆汁逐步侵蚀腹壁,可穿透腹壁与外界相通,形成胆囊-腹壁瘘[8, 9, 10, 11, 12]。因患者年龄大,该病治疗采用支持、对症保守治疗[13, 14]。
综上,对于无诱因的右上腹壁脓肿应考虑急性结石性胆囊炎所致腹壁脓肿的可能,早期行超声及CT检查有利于明确诊断以便及时治疗。
钮颍, 杨金锋, 徐中亚, 等. 高龄患者胆囊腹壁瘘的诊断与治疗[J]. 中华消化外科杂志, 2022, 21(12): 1600-1602. DOI: 10.3760/cma.j.cn115610-20221022-00602.
所有作者均声明不存在利益冲突





















