
成人先天性胰腺真性囊肿极为少见,结合相关文献简要复习该病的发病、临床表现、诊断、治疗情况,为该病的临床诊断和治疗提供参考与帮助。
版权归中华医学会所有。
未经授权,不得转载、摘编本刊文章,不得使用本刊的版式设计。
除非特别声明,本刊刊出的所有文章不代表中华医学会和本刊编委会的观点。
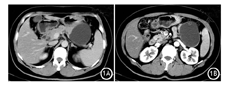
患者女性,48岁。因发现上腹部肿块10 d入院。既往有2型糖尿病、高血压、乙型肝炎疾病史。腹部超声见胰尾部64 mm×32 mm液性暗区,边界尚清;腹部CT示胰尾部囊肿,边界清,大小为8.3 cm×6.2 cm,增强后未见强化(图1);左肾囊肿。实验室检查:CEA 5.13 ng/ml,CA19-9 530.30 IU/ml,其余生物化学指标未见异常。择期剖腹探查,术中见胰尾部一囊性肿块,活动度可,与周围组织分界清,行胰体尾+脾脏切除术。切除标本大体见约8 cm×8 cm×8 cm肿块,壁厚,包膜完整。术中快速冷冻切片提示胰体尾部浆液性囊腺瘤,术后病理检查见胰尾部上皮性先天性囊肿伴感染及组织细胞反应(图2);慢性淤血性脾肿大伴包膜下出血,脾门淋巴结炎。诊断:先天性胰腺囊肿。




先天性胰腺囊肿在临床上罕见,目前报道多为婴幼儿患者,成人发生的病例极为少见[1]。根据Howard[2]修订的胰腺囊肿分类,其属于胰腺真性囊肿,类似于肝、肾、脾等部位囊肿在胰腺的表现,确切发病机制仍未知。Auringer等[3]认为,它可能是由于胰腺的异常发育引起胰腺原始导管系统微观或宏观的囊性病变,属于胰腺外分泌腺的先天性畸形病变,有囊性纤维病、多发性囊肿病、肠源性囊肿、孤立囊肿等类型。本例为孤立囊肿类型,是胰管发育期间胰管内上皮细胞形成孤立的巢、积存积液所致。胰腺先天性囊肿症状可以出现在任何年龄,从早在子宫内至晚至62岁,但大多数是在2岁前诊断[3,4]。本例年龄48岁,此前无任何临床症状,实属罕见。该病女性多见,囊肿多为单发,多位于胰腺体尾部。胰腺真性囊肿在婴幼儿通常表现为出生后不明原因的呕吐、黄疸,随着囊肿增大后期压迫胃、结肠时可出现呕吐、便秘,囊肿较大时可形成腹部包块,成人患者多因"腹部包块"就诊[5]。先天性胰腺真性囊肿术前诊断困难,影像学检查结合临床表现、实验室检查很难准确区分先天性胰腺囊肿或其他腹部囊性病变,需与胰腺囊腺瘤、囊腺癌、假性囊肿及胆总管囊性扩张性疾病相鉴别。内镜超声下囊肿穿刺活检被认为是一种可行诊断方法[6],通常穿刺液为清亮透明液体,细胞学检查可见正常上皮细胞,囊液富含淀粉酶,可惜本例患者术中囊液未做淀粉酶检测。特别注意的是,位于胰头部者需要与胆总管囊肿鉴别,杨荣华等[7]临床未能重视病史分析,过于轻信影像学诊断报告,术前将其误诊为胆总管囊肿。本例患者术前因肿块较大,以腹部肿块就诊,伴有肾脏囊肿,结合CA19-9指标增高、影像学资料而被误诊为"胰腺囊腺瘤"。完全手术切除是胰腺先天性囊肿最佳的治疗选择,但是具体治疗仍取决于囊肿的位置。一般位于体尾部的囊肿可行胰腺体尾部切除术,胰头部囊肿切除通常比较困难,可以选择囊肿胃或囊肿空肠等形式内引流[3],但是囊肿上皮细胞存在,复发的可能性较大。对于先天性非肿瘤性囊肿应保留脾脏,特别是儿童和青少年,避免影响术后的免疫功能[8]。由于本例患者术前影像学资料及术中快速冷冻病理误提示胰腺囊腺瘤(与术后病理不符),最终行胰腺体尾部+脾脏切除术,术后特别要注意胰漏并发症的发生。
所有作者均声明不存在利益冲突





















