
胰腺错构瘤是一种罕见的良性非肿瘤性病变,由于发病率低且缺乏典型影像学表现,术前不易做出明确诊断,容易误诊。穿刺活检也很难做出明确诊断。本例患者行胰十二指肠切除术后症状消失,恢复良好,术后随访6个月无复发征象。
版权归中华医学会所有。
未经授权,不得转载、摘编本刊文章,不得使用本刊的版式设计。
除非特别声明,本刊刊出的所有文章不代表中华医学会和本刊编委会的观点。
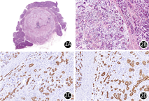
患者男性,63岁。以"腹胀伴腹痛半月"入院。半月前饭后出现上腹部腹胀伴腹痛,疼痛明显,呈持续性,无恶心呕吐,无发热寒战,无黑便腹泻。实验室检查:CAl25、CAl9-9、CEA、IgG4、淀粉酶均正常。腹部超声示胰腺头部低回声团块,边界尚清。上腹部增强CT示胰腺钩突部不均匀低密度肿块,约21 mm×18 mm,边界清楚,动脉期轻度强化,静脉期及延迟期呈明显强化,内部可见斑片状无强化区域(图1)。上腹部MR示胰腺钩突部团块状异常信号影,约21 mm×18 mm,病灶呈稍长T1、稍长T2信号,DWI呈稍高信号,内见斑片状长T1、长T2信号影(图1)。增强扫描见病变呈明显延迟强化,病灶与主胰管不相通。初步诊断:胰腺钩突神经内分泌肿瘤。1周后行胰头十二指肠切除术。切除的胰腺标本剖开后见大小20 mm×16 mm×16 mm肿物,切面呈灰白色,质韧,与周围分界清楚,有包膜。镜下见病灶由分化良好的腺泡及排列紊乱的导管构成,周围见纤维间质(图2)。免疫组织化学染色结果:CK7(+),CD56(-),CgA(-),Syn(-),Ki-67(+<5%),CK19(+)(图2)。病理诊断为胰腺错构瘤。术后随访6个月,患者恢复良好,无复发迹象。




胰腺错构瘤是一种极其罕见的组织错构性良性病变,1977年由Anthony等[1]首次提出,截至2018年仅有28例报道[2]。从新生儿[3]到老年人[4]均可发生胰腺错构瘤,且无性别差异。病灶体积较小时无明显症状,多为体检时偶然发现,体积较大时可能引起腹痛、腹部肿块和体重减轻等一系列症状和体征,个别患者因胆总管梗阻而出现黄疸[5]。肿瘤标志物(CA19-9、CA125、CEA等)通常不升高或轻度升高。
胰腺错构瘤由分化良好的腺泡细胞、导管细胞及胰岛细胞3种成分按不同比例组成[6]。病理上分为实性型及囊实性型两类,其实体成分主要由纤维和脂肪组织构成,囊性成分通常由扩张的胰腺导管组成。
胰腺错构瘤最常见于胰腺头部,但也见于体部和尾部。影像学表现无特异性,CT多表现为边界清楚的等密度或低密度团块,部分内部可见脂肪密度[7]。MR可见病变为长T1、长T2信号,常伴有囊性改变,DWI像呈等或高信号[2,8]。延迟期强化是其显著特点[2,6,9,10],这种强化方式可能与病变中含有较多纤维成分有关。胰头部较大的错构瘤可引起胰管受压导致远端胰管扩张[8,9,10]。18F-FDG PET显示病变为正常代谢[2,4]。胰腺错构瘤的影像学表现需要与胰腺癌、神经内分泌肿瘤及实性假乳头状瘤相鉴别。胰腺癌以胰头部多见,多伴有胰腺体尾部萎缩及主胰管扩张,容易侵犯周围结构并发生远处转移。胰腺癌为乏血供病变,增强扫描见轻度不均匀强化,强化程度低于胰腺实质;胰腺神经内分泌肿瘤多为富血供肿瘤,增强扫描动脉期明显强化,延迟期强化程度与胰腺实质相似,然而部分高级别神经内分泌肿瘤在动脉期呈轻度强化,静脉期及延迟期强化程度升高,与胰腺错构瘤鉴别困难。胰腺实性假乳头状瘤好发于年轻女性,边界清楚,有完整包膜,多为囊实性肿块,囊性成分与实性成分相间分布,实性成分似漂浮在囊性成分中,即"浮云征",增强扫描可见轻中度延迟强化,可伴有出血及钙化。
综上分析,胰腺错构瘤由于发病率低且缺乏典型影像学表现,术前不易做出明确诊断,容易误诊为胰腺实性假乳头状瘤、神经内分泌肿瘤及胰腺癌等。穿刺活检也很难做出明确诊断,几乎所有已报道病例都是手术切除后才做出诊断,因此对于症状较重或诊断不明确的患者建议进行手术切除。
所有作者均声明不存在利益冲突





















