
报道一例胰腺纤毛前肠囊肿患者。患者无临床症状,血清肿瘤标志物在正常范围,超声内镜下表现酷似胰腺黏液性囊腺瘤,但囊肿穿刺液检查示囊液淀粉酶及CEA、CA125水平显著升高,后经手术切除,肿瘤组织术后病理检查见纤毛柱状上皮及丰富的平滑肌结构,局部间质有少量炎性细胞,最终确诊为胰腺纤毛前肠囊肿。
版权归中华医学会所有。
未经授权,不得转载、摘编本刊文章,不得使用本刊的版式设计。
除非特别声明,本刊刊出的所有文章不代表中华医学会和本刊编委会的观点。
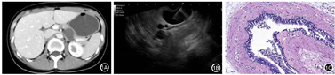
患者女性,32岁。因"体检发现胰尾占位性病变近2个月"入院。患者自觉无不适感,无特殊病史及不良嗜好,否认家族性遗传病,入院前肝胆胰超声示胰尾囊性占位,考虑胰腺囊肿可能。入院后体检未见异常,血清肿瘤标志物均在正常范围内。腹部CT增强扫描示肝胃间隙囊性占位,考虑良性病变(图1A);胆囊炎,胆囊周围炎;左肺下叶粗大血管伴局限性气肿可能。排除禁忌证后行Linear 7.5 MHz EUS检查,见胰尾部一无回声病灶,边界清楚,病灶管壁较厚,内有分隔,病灶内未见血管(图1B),考虑黏液性囊腺瘤可能。即刻在EUS引导下行细针穿刺抽吸囊液。生物化学检测示囊液淀粉酶44 900 U/L,CEA>1 000 U/ml,CA125 3013.00 U/ml,CA19-9正常;囊液涂片细胞学检查见囊液及少许上皮细胞,未见恶性肿瘤细胞。经与患者充分沟通并同意后转肝胆外科手术治疗。手术切除2 cm×2 cm×1 cm囊肿一枚,壁厚3 mm。手术标本病理检查见囊壁为纤毛柱状上皮,周围可见丰富的平滑肌组织,伴黏液样变性,局部间质有少量炎性细胞(图1C),诊断为胰腺纤毛前肠囊肿。术后患者恢复良好,出院后复查至今未见肿瘤复发或转移。


纤毛前肠囊肿是一种囊壁内衬纤毛柱状上皮的先天性异常,是胚胎早期原始前肠的异常发育导致的一种良性先天畸形,在胰腺中较为罕见[1,2]。在胚胎发育过程中,气管、支气管树、食管、胃肠道、胰腺和肝脏等均由原始前肠转化而来,因而显微镜下可见与这些器官一致的上皮成分。
因患者缺乏特殊症状,影像学特征也与其他囊肿相类似,所以鉴别前肠囊肿与其他囊性疾病具有一定的难度。文献报道[3]囊液CEA水平能够区分黏液性囊肿与非黏液性囊肿,前者往往伴有囊液CEA升高,囊液内的CEA水平在110~200 ng/ml时黏液性囊肿的诊断准确率约为80%。前肠囊肿也可表现为囊液CEA及CA125升高,且与黏液性囊腺瘤的影像表现相似,两者的鉴别需要组织病理学检查确诊。前肠囊肿通常缺乏真皮附件结构,且双层平滑肌结构完好,这是前肠囊肿与成熟囊性畸胎瘤的重要区别[1]。也有学者认为,镜下见到纤毛上皮的存在即可诊断纤毛前肠囊肿[4]。目前文献中尚未发现胰腺前肠囊肿恶变的报道,但已观察到肝脏前肠囊肿恶变和远处转移的病例,且恶变的风险与囊肿大小高度相关[1]。有研究建议对于长径>4~5 cm,有症状或间歇性生长及无症状而具有潜在风险的影像表现(例如囊壁异常及分隔增厚等)的病灶,应积极考虑手术治疗[4]。
本例患者提示,对于无症状的胰腺肿瘤应予充分重视,当血清肿瘤标志物正常,囊液CEA及CA125水平显著升高且影像学检查难以确诊时,需要依靠细胞学手段进一步鉴定。
所有作者均声明不存在利益冲突





















