
版权归中华医学会所有。
未经授权,不得转载、摘编本刊文章,不得使用本刊的版式设计。
除非特别声明,本刊刊出的所有文章不代表中华医学会和本刊编委会的观点。
神经梅毒是由苍白密螺旋体感染后出现大脑、脑膜或脊髓损害的一组临床综合征,是晚期梅毒全身性损害的重要表现。神经梅毒多发生在苍白密螺旋体感染后3~20年,大部分患者为早期梅毒未彻底治疗者[1]。根据病理类型不同,梅毒可以分为无症状型(隐性)、间质型(脑膜及血管)、主质型(脊髓痨及麻痹性痴呆)[2,3]。梅毒早期侵犯皮肤黏膜,晚期以侵犯心血管和神经系统为主,并可侵犯全身组织和器官而产生多种多样的临床症状和体征,亦可感染后多年无任何临床症状。有资料显示,近年来我国神经梅毒发病呈逐渐增多趋势,而神经梅毒发病隐袭,临床表现多样,极易造成误诊、漏诊,应引起医务工作者的高度重视[4]。现将浙江省中西医结合医院神经内科自2009年收治的4例梅毒患者临床特点及治疗护理作一总结分析,旨在加深对该疾病认识,提高广大临床工作者的诊疗水平。
回顾性分析2009年1月至2013年6月浙江省中西医结合医院神经内科收治的神经梅毒患者4例,其中男性3例,女性1例,3例为工人,1例从事服务业。4例患者均无输血史,均符合神经梅毒诊断标准[5]:有冶游史,神经系统受累的临床表现,血清和脑脊液梅毒试验阳性。
1例脊髓痨患者,女,23岁,临床表现为双上肢无力、麻木、大小便失禁、呼吸困难、不能自行行走。神经系统查体四肢肌力1级,肌张力减低,四肢末梢型感觉障碍,双下肢位置觉、振动觉减退。1例梅毒性视网膜炎,男,49岁,临床表现为逐渐进展的视物模糊,右眼视力下降,无明显神经系统阳性体征。1例脑膜血管梅毒,男,51岁,临床表现为认知功能下降,精神行为异常,神经系统查体反应迟钝,记忆力、计算力下降伴癫癎发作。1例麻痹性痴呆(伴癫癎发作),男,78岁,临床表现为左肢活动不利,无法行走,饮水呛咳,吞咽困难,大小便失禁,神经系统检查反应迟钝,认知功能障碍,左鼻唇沟浅,口角右歪,伸舌偏左,左上肢肌力0级,左下肢肌力1级,右肢肌力3级,双侧巴氏征阳性。
4例神经梅毒患者血液和脑脊液检查结果见表1。

4例神经梅毒患者的实验室检查结果
4例神经梅毒患者的实验室检查结果
| 梅毒种类 | 血清 | 脑脊液 | ||||
|---|---|---|---|---|---|---|
| PRP | TPPA | WBC(×109/L) | 蛋白质(mg/L) | 葡萄糖(mmol/L) | 氯化物(mmol/L) | |
| 脊髓痨 | 1∶64 | 阳性 | 13.3 | 0.4 | 3.1 | 123 |
| 梅毒性视网膜血管炎 | 1∶16 | 阳性 | 5.6 | 0.934 | 2.4 | 115 |
| 脑膜血管梅毒 | 1∶ 1 | 阳性 | 9.6 | - | - | - |
| 麻痹性痴呆 | 1∶ 2 | 阳性 | 10.3 | 0.68 | 3.7 | 123 |
注:"-".无相关数据;PRP.快速血浆反应试验;TPPA.梅毒螺旋体凝集试验;WBC.白细胞
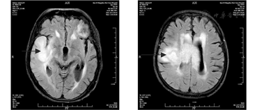
麻痹性痴呆患者头颅磁共振(MRI)检查,提示有右颞叶、右侧脑室旁及双顶叶高信号,呈占位性病变。
4例患者静脉滴注青霉素,6次/d,共24 MU。脊髓痨患者开始治疗前口服强的松片10 mg,连服3 d,连用2周后,改用苄星青霉素肌注,1次/周,每次双侧臀部各注射1.2 MU,连用3周。4例患者经过2周青霉素治疗后症状均有好转。
保持病房安静,为患者提供一个安静、舒适、整洁的环境。给予营养丰富易消化饮食,避免辛辣刺激性食物,保证患者营养和热量需要,进食不足时鼓励进食,必要时喂食、鼻饲和输液,进食宜少量多餐。患者换下的病员服与其他患者分开放置,单独清洗;工作人员操作时戴手套;加强病房安全管理,病房内设置醒目标识,物品放于患者方便取用的地方,床位相对固定;鼓励患者在能力范围内生活自理,必要时协助患者洗脸、洗脚、更衣、仪表修饰,使患者保持整洁。


注:(a)右颞叶异常高信号(箭头所示);(b)右侧脑室旁异常高信号(箭头所示)
本组4例患者中有2例出现肢体麻木、活动不利,护士根据病情评估建立床边翻身卡,每2小时协助翻身一次,在头、肩、背、臀、上肢、下肢分别垫上软枕,确保在仰卧位、患侧卧位,健侧卧位时患侧肢体处于功能位放置。根据医嘱,予神经肌肉电刺激治疗防止肌肉萎缩,单纯超声波治疗以活血化瘀。对于肢体瘫痪的患者,应尽早帮助其进行肢体功能锻炼,以防止肌肉萎缩。从远端关节至近端关节,逐个训练,先被动运动,待肌力有所恢复时,指导其进行主动运动,活动量可由小到大,时间由短到长,以提高患者生存质量[6]。神经梅毒患者自理能力下降,一旦出现尿失禁后,患者会产生自卑心理。护士要给予关心,耐心指导陪护,保证患者清洁、舒适。本组2例患者因便秘感到腹胀、腹痛等不适。护士每天了解患者排便情况,报告医师积极采取通便措施,如使用开塞露,服用通便缓泻剂,或小剂量保留灌肠,患者大便通畅。本组1例患者出现精神紊乱,性格异常,经常在护士给予药物治疗时兴奋躁动,有攻击行为,护士在多人协助下用约束带做保护性约束,同时执行药物治疗,转移同病室患者或劝离其他陪护,保持病室环境安静,灯光偏暗。待患者情绪稳定后,再以耐心的态度、温和的语言接触患者,密切观察病情,减少一切易激惹因素。1例出现吞咽困难的患者,表现为进食饮水呛咳,护士根据患者情况制定胃管注食计划,每天5餐流质,不超过200 mL,食物温度保持在38~40℃[7],注食前后抬高床头30~45度,不随意搬动患者,以免发生误吸。在患者家属要求自动出院时,护士教会其如何正确注食注药的方法。
本组4例患者均使用青霉素,用药前护士详细询问有无过敏史,用药过程中应密切观察有无迟发型过敏反应,用药后的疗效及不良反应,静脉滴注时注意有无药物外渗,肌内注射局部如出现硬块,应更换注射部位,局部用热毛巾湿敷。
近年来,梅毒的发生率在我国逐年增长。据报道,以往认为神经性梅毒为三期梅毒的表现,现认为各期梅毒都可以出现中枢神经系统病变,临床表现多种多样,容易造成误诊、漏诊[8]。因此,临床工作者应高度重视神经梅毒的早期诊断和彻底治疗。神经梅毒的诊断目前尚无金标准,需综合考虑病史、临床表现、梅毒血清学检查及脑脊液的改变来确定。不安全的性行为是本病传播的主要途径[9],既往婚外性交史是诊断神经梅毒的重要线索,但由于种种原因往往难以得到真实可靠的病史,是造成误诊的重要原因[10]。神经梅毒临床上主要分为五种类型,即无症状型神经梅毒、脑脊膜梅毒、脑膜血管梅毒、实质性神经梅毒(麻痹性痴呆、脊髓痨和视神经萎缩)及树胶肿型神经梅毒。各型间可有重叠,以无症状型、脑膜炎型和血管型最常见[11]。因此,护士一定要全面了解患者病情发展过程,详细询问患者及家属,在出现明显的精神异常之前是否有头痛、记忆力下降、认知功能进行性减退等表现,为诊断提供参考。
梅毒治疗首选青霉素,在首次使用青霉素的患者中,有一部分会伴发吉海反应。吉海反应通常发生在用药后的3~12 h,患者出现流感样症状,梅毒损害暂时加重,内脏及中枢神经系统梅毒症状显著恶化,主要是因为梅毒螺旋体被大量杀灭后释放的内毒素及代谢产物引起的超敏反应[12],因此在大剂量青霉素冲击治疗期间,护士应密切观察患者的生命体征。我科收治的4例患者入院诊断明确后,给予青霉素治疗2周后症状均有好转。1例脊髓痨患者出院随访病情稳定,症状无反复;1例梅毒性视网膜炎出院随访在眼科及专科续诊;1例脑膜血管梅毒出院随访在专科治疗;1例麻痹性痴呆患者出院随访未正规治疗。神经梅毒损害如已经累及内脏器官和神经系统,可出现一些经药物治疗而不能完全修复的损伤,如咽、鼻缺损,骨骼畸形等,即使正规治疗也不能痊愈,从而遗留残疾或形成瘢痕,引起器官功能障碍。因此,对梅毒治疗要做到早发现、早治疗、疗程规则、剂量足够、治疗后随访。晚期梅毒则要求控制病情,改善症状。
同时,护士也应做好对患者的生理、心理的全方位护理,要尊重这类患者的隐私,不能表现出歧视与冷漠[13]。通常来说,患者由于感染了梅毒往往感到羞愧,加上因疾病本身带来的巨大心理压力,患者常表现出警惕、孤独、忧郁、焦虑、恐惧,甚至对社会不满等不良情绪[14]。本组一例23岁年青女性,确诊为神经梅毒后,男朋友及家人对其产生了厌恶情绪,同病房的患者也歧视、嘲笑她。患者渐渐产生了恐惧、抑郁心理,甚至拒绝治疗。针对此情况,护士主动劝说其正视疾病并认真对待,告知患者男朋友及其母亲,此病经过规范治疗能彻底治愈。护士还积极联系患者母亲,鼓励患者树立战胜疾病的信心。在治疗的同时,精心的护理对于提高神经梅毒患者的生活质量,改善预后都起着至关重要的作用。另外,健康教育应贯穿入院至出院及随访整个过程。告知患者及家属,抗梅毒治疗完成后,还须进行长期临床及血清学观察,以判断远期疗效[15]。在治疗后的第1,3,6,12,18和第24个月复查血及脑脊液。2年后每年复查血及脑脊液,如有阳性发现,重复治疗,直至连续两次脑脊液检查正常[16]。





















