
观察肝螺杆菌在雄性和雌性BALB/cCr小鼠肝脏的定植状况及肝脏的病理特征。
选取证实无肝螺杆菌感染的SPF级雌性和雄性BALB/cCr小鼠各25只,口服灌饲肝螺杆菌标准菌株ATCC 51450菌液0.2 mL(1×108CUF/mL),连续3次,每次间隔48 h;对照组(雌、雄各25只)灌饲等量的磷酸盐缓冲液(PBS)。于末次接种肝螺杆菌后第1,3,6,9和12个月时,禁食12 h后处死小鼠,每组5只。应用酶联免疫吸附试验(ELISA)检测血清肝螺杆菌-IgG抗体水平;取小鼠肝脏组织,行病理组织学检查和微需氧菌分离培养鉴定。采用t检验进行不同时间点和各组间肝螺杆菌-IgG抗体水平和肝脏病理组织学评分比较。
雄性BALB/cCr小鼠血清肝螺杆菌-IgG抗体均为阳性,在感染后6个月达最高峰,以后逐渐下降,感染后3~12个月时的抗体水平高于感染后1个月(t=2.828,4.300,3.536和4.500,P<0.05);雌性BALB/cCr小鼠在感染后第9、12个月时各有一只小鼠肝螺杆菌-IgG抗体为阳性。雄性BALB/cCr小鼠肝螺杆菌感染后3个月时在肝组织中发现有肝螺杆菌定植,而雌性BALB/cCr小鼠肝组织中未发现肝螺杆菌定植。肝螺杆菌感染的雄性BALB/cCr小鼠各时间点肝脏病理组织学评分均明显高于雌性BALB/cCr小鼠(t=2.598,7.770,7.987,10.850和12.260,P<0.05或P<0.01),且雄性BALB/cCr小鼠肝螺杆菌感染后6个月内随着感染时间的延长肝脏病理组织学评分逐渐增加(t=4.949,P<0.01),6至12个月肝脏病理组织学评分有加重的趋势,但差异无统计学意义(P>0.05)。
雄性BALB/cCr小鼠肝螺杆菌感染后肝脏定植率及病理组织学改变均较雌性BALB/cCr小鼠更为明显,且病理组织学改变随着感染时间的延长而逐渐加重。
版权归中华医学会所有。
未经授权,不得转载、摘编本刊文章,不得使用本刊的版式设计。
除非特别声明,本刊刊出的所有文章不代表中华医学会和本刊编委会的观点。
1992年,美国国家癌症研究所的Frederick癌症研究发展中心利用A/JCr小鼠进行了一项化学因素致癌研究,在等渗盐水对照组小鼠的胆小管和胆囊中检出一种与幽门螺杆菌(Helicopter pylori)同一菌属的新型螺杆菌,因其与动物肝炎的发生发展相关,该菌于1994年被正式命名为肝螺杆菌(Helicobacter hepaticus)[1]。肝螺杆菌自然感染小鼠主要定植于下消化道(包括盲肠、结肠等部位),可以诱发A/JCr、SCID/NCr、C3H/HeNCr、SJL/NCr、BALB/cAnNCr等多种敏感品系小鼠发生慢性活动性肝炎,甚至并发肝细胞癌。雄性小鼠的肝癌发生率要高于雌性小鼠[2,3,4],这一点与人类肝脏肿瘤男性的发病率高于女性十分相似,但其中的机制目前尚不清楚。我院感染科实验室曾应用肝螺杆菌感染不同品系小鼠,研究其在小鼠体内定植情况及不同消化道组织的病理特征,结果显示BALB/cCr、SCID/Cr小鼠感染肝螺杆菌后4个月即出现明显的肝脏损伤及慢性肠道炎症[5]。为进一步了解肝螺杆菌长期感染所致的病理改变,我们应用BALB/cCr小鼠长期感染肝螺杆菌标准菌株,观察其在不同性别小鼠肝脏的定植情况及病理特征,为深入探讨肝螺杆菌感染相关疾病的发病机制奠定基础。
标准菌株ATCC5 1450购自美国国家标准菌种保藏中心。冻存菌株经布氏琼脂培养基复苏,于37℃,微需氧(85%N2,10%CO2,5%O2),高湿度条件下培养7~10 d,可疑菌落经鉴定为肝螺杆菌后进行纯培养2~3代,应用磷酸盐缓冲液(PBS)收集细菌,4℃ 1006.2×g离心10 min,弃上清液,用PBS重新悬浮,并调整浓度为1×108 CUF/mL备用。
4~6周龄无特定病原菌(Specific-pathogen-free,SPF)级雌性和雄性BALB/cCr小鼠各50只,购自吉林省高新医学实验动物中心。小鼠体质量为14~27 g,分笼饲养,饲喂消毒的食物及水,食物根据小鼠体质量限量供给。
已经证实无肝螺杆菌感染的SPF级雌性、雄性BALB/cCr小鼠各25只,按文献[2]介绍的方法接种肝螺杆菌。具体步骤如下:禁食12 h后接种制备好的肝螺杆菌标准菌株ATCC 51450菌液0.2 mL(1×108CUF/mL),连续3次,每次间隔48 h。雌、雄小鼠对照组(各25只)仅灌饲等剂量的PBS。于末次接种后1,3,6,9和12个月时,禁食12 h后处死小鼠,每组5只。采用眼球摘除法取血0.3~0.5 mL,分离血清于-80℃保存,统一行酶联免疫吸附试验(ELISA)检测血清肝螺杆菌-IgG抗体水平;取出肝脏将组织分为3份,分别行肝螺杆菌特异性16S rRNA基因扩增、病理组织学检查及微需氧菌分离培养鉴定。
应用肝螺杆菌标准菌株制备的抗原包被ELISA反应板进行小鼠血清肝螺杆菌-IgG抗体检测。阳性结果的判定:阴性对照吸光度(A)值低于0.05按0.05计算,高于0.05按实际平均A值计算,样本A值/阴性对照A平均值≥2.1为该样本肝螺杆菌IgG抗体阳性,反之为阴性。
取小鼠肝脏组织以10%福尔马林固定,石蜡切片,行HE染色供病理组织学诊断,同时行Warthin-Starry嗜银染色检查以明确是否存在肝螺杆菌定植。病理组织学由两名实验人员作双盲检查,采用半定量计分方法[6,7]。肝脏组织学损伤按肝细胞坏死、炎症细胞浸润、门静脉周围和静脉周围卵圆细胞和胆小管增生、枯否细胞和Ito细胞增生以及多形性肝细胞这5种形态学变量分级:0分(正常),1分(微小病变;病变累及≤5%),2分(轻度:病变累及5%~25%),3分(中度:病变累及25%~50%)和4分(重度:病变累及50%以上)。
取肝脏组织浸泡于PBS中,匀浆后按1∶10倍比稀释,分别接种于选择性及非选择性布氏琼脂培养基,37℃微需氧(85% N2,10% CO2,5% O2)条件下培养3~7 d。有典型菌落特征及形态学特征,尿素酶、触酶及氧化酶试验均阳性者判定为可疑菌落,并通过PCR技术扩增肝螺杆菌特异性16S rRNA基因,同时收集细菌于电镜下观察其超微结构进行菌种鉴定。
肝螺杆菌分离培养或Warthin-Starry嗜银染色有一项阳性者确定为肝螺杆菌定植。
采用SPSS 11.0软件进行统计学分析。计量资料采用
±s表示,采用t检验,P值取双侧,P<0.05为差异有统计学意义。
BALA/cCr小鼠接种肝螺杆菌标准菌株,于感染后不同时间对小鼠血清肝螺杆菌-IgG抗体进行检测分析。结果显示,雄性BALB/cCr小鼠从感染后1个月至感染后12个月,肝螺杆菌-IgG抗体均为阳性,且3~12个月时的抗体水平均明显高于接种后1个月时的抗体水平(t=2.828,4.300,3.536和4.500,P<0.05),而雌性BALB/cCr小鼠在感染后第9、12个月只有1只小鼠肝螺杆菌-IgG抗体阳性,对照组小鼠肝螺杆菌-IgG抗体均为阴性,详见图1。


注:PBS.磷酸盐缓冲液
于肝螺杆菌感染后不同时间,分别取BALB/cCr小鼠肝脏组织行肝螺杆菌分离培养及Warthin-Starry嗜银染色,分析肝螺杆菌感染不同时间在小鼠肝脏组织的定植情况。结果显示,雄性BALB/cCr小鼠肝螺杆菌感染后3个月时在肝组织中即发现有肝螺杆菌定植,而雌性BALB/cCr小鼠在各个感染时间点肝组织中均未发现肝螺杆菌的定植。详见表1,图2,图3。

肝螺杆菌感染BALB/cCr小鼠肝脏组织细菌定植状况(只)
肝螺杆菌感染BALB/cCr小鼠肝脏组织细菌定植状况(只)
| 组别 | 接种后1个月(n=5) | 接种后3个月(n=5) | 接种后6个月(n=5) | 接种后9个月(n=5) | 接种后12个月(n=5) |
|---|---|---|---|---|---|
| 雄性肝螺杆菌接种组 | 0 | 1 | 2 | 2 | 2 |
| 雌性肝螺杆菌接种组 | 0 | 0 | 0 | 0 | 0 |


注:箭头所示为肝螺杆菌;a.短杆状菌体两端各有一个鞭毛(透射电镜×30 000);b.短杆状菌体两端各有一个鞭毛(扫描电镜×6 000)


注:a.感染3个月时小鼠肝细胞周围间隙内可见S状或短杆状菌体;b.感染6个月时小鼠肝组织汇管区周围可见S状或短杆状菌体
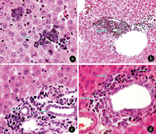
于肝螺杆菌感染后不同时间,对肝螺杆菌感染小鼠肝脏组织进行HE染色,分析其病理组织学特性。结果显示,肝螺杆菌感染的雄性BALB/cCr小鼠肝脏病理组织学评分明显高于雌性BALB/cCr小鼠(t=2.598,7.770,7.987,10.850和12.260,P<0.05或P<0.01),且在感染后6个月内随感染时间的延长肝脏病理组织学评分逐渐增加,感染6个月时肝脏病理组织学评分与感染1个月时比较差异有统计学意义(t=4.949,P<0.01),感染6至12个月肝脏病理组织学评分有加重的趋势,但差异无统计学意义(P>0.05)(图4)。病理组织学改变早期为肝脏小叶性炎症,表现为肝实质细胞点、片状凝固性细胞坏死,肝细胞周围可见中性粒细胞等炎性细胞浸润。随着感染时间的延长,肝细胞坏死加重,至6个月时肝小叶性炎症改变未见明显加重,但出现汇管区的炎症改变,表现为胆管及血管周围肝细胞坏死伴有明显的炎性细胞浸润及胆小管增生(图5)。




注:a.感染3个月时小鼠肝细胞坏死伴随肝细胞周围炎性细胞浸润,以巨噬细胞、中性粒细胞、淋巴细胞浸润为主(×400);b.感染6个月时小鼠肝脏汇管区周围中至重度炎性细胞浸润(×200);c.感染9个月时鼠肝脏汇管区周围炎性细胞浸润伴胆小管增生(×400);d.感染12个月时小鼠肝脏汇管区周围炎性细胞浸润(×400)
螺杆菌属是一组从人类及其他哺乳类动物的胃肠道以及肝胆管组织中分离出来的革兰阴性、微需氧螺旋弯曲状细菌。已有报道实验性的啮齿类动物普遍存在螺杆菌的自然感染[8],其中肝螺杆菌越来越受到关注,其与人类致病菌幽门螺杆菌和空肠弯曲菌的遗传学接近,且有研究表明其可能是具有传染性的致肝癌微生物[9,10]。与幽门螺杆菌一样,肝螺杆菌主要通过粪-口途径传播,是一种自然感染啮齿类动物引起肝炎和肿瘤的病原菌,可导致多种敏感品系小鼠慢性肠道、肝脏炎症和肿瘤的形成[11,12,13]。
本研究应用雌性及雄性BALB/cCr小鼠在相同的环境因素下,接种相同剂量的肝螺杆菌标准菌株,观察肝螺杆菌在BALB/cCr小鼠肝脏组织中定植及导致病理损伤的情况,结果发现雄性BALB/cCr小鼠肝螺杆菌感染后3个月时在肝组织中发现有肝螺杆菌定植,而雌性BALB/cCr小鼠肝组织中未发现肝螺杆菌的定植。研究中雄性BALB/cCr小鼠感染1个月时外周血即可检测到肝螺杆菌-IgG,其血清抗体水平在6个月时达最高峰,此后逐渐下降,而雌性小鼠在感染后第9、12个月仅有一只小鼠检测出肝螺杆菌-IgG抗体为阳性。感染肝螺杆菌的雄性BALB/cCr小鼠肝脏病理组织学评分明显高于雌性小鼠,病理组织学改变早期为肝脏小叶性炎症,表现为肝实质细胞点、片状凝固性细胞坏死,肝细胞周围可见中性粒细胞等炎性细胞浸润,随着感染时间的延长,肝细胞坏死加重,至6个月时肝小叶性炎症改变未见明显加重,但出现汇管区的炎症改变,表现为胆管及血管周围肝细胞坏死伴有明显的炎性细胞浸润及胆小管增生。肝螺杆菌感染小鼠经过慢性活动性肝炎发展至增生和肿瘤的过程与人类感染幽门螺杆菌导致的胃部疾病相似,可能具有相似的致病机制。肝螺杆菌虽然具有尿素酶的活性[14,15],但其在肝螺杆菌定植及致病方面的作用并不十分明确。研究发现,肝螺杆菌不具备幽门螺杆菌的VacA、CagA等致病因素,但其可分泌一种可溶性毒素——细胞致死性膨胀毒素(cytolethal distending toxin,CDT),经典NF-κB途径可能与肝螺杆菌CDT介导的肝脏损害有关[16]。此外肝螺杆菌感染不同性别小鼠引起的病理损伤差异很大,其中的机制目前尚未明了。有研究表明某种形式的雄性激素阻断可能抑制肝螺杆菌诱导雄性小鼠肝炎的发生[17]。
总之,肝螺杆菌的发现使人们将嗜肝细菌感染与肝炎和肝癌的发生联系了起来,在目前尚未成功地建立乙型肝炎病毒(HBV)、丙型肝炎病毒(HCV)感染动物模型的情况下,肝螺杆菌可能会给我们提供更接近于肝炎向肝癌自然进展的研究模型,从而避免长期采用的化学致癌剂诱发肝癌模型的不足,因此肝螺杆菌感染的小鼠模型对于研究许多人类特发性慢性炎性疾病复杂的发病机制具有十分重要的价值。





















