
版权归中华医学会所有。
未经授权,不得转载、摘编本刊文章,不得使用本刊的版式设计。
除非特别声明,本刊刊出的所有文章不代表中华医学会和本刊编委会的观点。
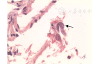
病例1 患者女,44岁,因"反复腹痛、腹胀1年,咳嗽、咳血丝痰2 d"于2007年11月8日入院。患者入院前1年因腹痛、腹胀外院行胃镜检查:胃黏膜活检示寄生虫感染,考虑蛔虫感染,未进一步治疗,1月前再发上腹闷胀痛、纳差、呕吐,伴有发热,体温最高38.5℃,入院前10 d外院就诊查胃镜示"浅表性胃炎",予治疗后症状缓解(具体不详)。入院前2 d出现咳嗽,伴有咳血丝痰,量少,伴气喘、夜间盗汗,仍有腹痛、纳差,为进一步治疗,来我院诊治。入院体检:体温36.6 ℃,脉搏106次/min,呼吸22次/min,血压111/65 mmHg(1 mmHg=0.133 kPa)。神志清楚,贫血、消瘦外观。右肺呼吸音减低,右下肺可闻及少许干啰音,未闻及湿啰音。脐周轻压痛,无反跳痛。11月8日实验室检查,血气分析:pH 7.41,二氧化碳分压35 mmHg,氧分压85 mmHg;血常规:白细胞(WBC)计数10.8×109/L,嗜中性粒细胞0.864,嗜酸性粒细胞0.025,血红蛋白(Hb)67 g/L;血生化:空腹血糖8.3 mmol/L,白蛋白(Alb)31.0 g/L,肌酐70.7 μmol/L,胸部X片示双肺絮状阴影、结节影。11月9日胸部CT示双肺弥漫性病变。支气管镜肺泡灌洗液呈砖红色,肺泡灌洗液涂片见寄生虫虫体;肺活检病理示其中1个肺泡腔见一条细长丝状幼虫,长约0.6 cm,尾端分叉、苏木精–伊红着色,考虑粪类圆线虫感染(图1)。11月8日开始予加替沙星(0.2 g,2次/d)抗感染,11月10日予阿苯达唑(0.4 g,1次/d)抗寄生虫等治疗,患者于11月12日出现神志不清,胃液及尿液均检出寄生虫,经漳州市疾病预防控制中心鉴定为粪类圆线虫,考虑播散型粪类圆线虫感染。患者病情重,血氧饱和度进行性下降,患者放弃治疗于11月15日办理自动出院。


病例2 患者男,68岁,以"咳嗽4个月余,纳差、黑便10余天,气喘4 d"于2014年3月21日入院。入院前4个月出现咳嗽,伴咳痰,痰少白黏,于当地诊所服药治疗(具体不详),症状有所缓解。入院前10余天出现纳差、伴有腹胀,呕吐胃内容物,解黑便,当地医院就诊行胃镜检查示:慢性胃窦炎,胆汁返流,食管炎。入院4 d前咳嗽加剧,伴气喘,尿量减少,2 d前出现双下肢浮肿,为进一步治疗,来我院诊治。既往史无特殊。体检:体温36.9 ℃,脉搏100次/min,呼吸26次/min,血压:79/43 mmHg。神志清楚,消瘦外观,贫血面容,呼吸急促。桶状胸,双肺可闻及明显干湿性啰音。双下肢中度凹陷性浮肿。3月21日血气分析:pH 7.53,二氧化碳分压34 mmHg,氧分压48 mmHg;血常规:WBC 20.97 ×109/L,嗜中性粒细胞比例0.787,嗜酸性粒细胞0.07,Hb 47 g/L;血生化:丙氨酸转氨酶(ALT) 54.6 U/L,Alb 18.7 g/L,肌酐59.8μmol/L;尿常规:尿蛋白(–),尿隐血(++)。3月21日胸部X线示双肺弥漫性絮状影。3月22日予纤维支气管镜引导下行气管插管接呼吸机辅助呼吸,美罗培南(1 g,3次/d)联合莫西沙星(0.4 g,1次/d)抗感染,同时给予强心、利尿、升压、输血等治疗,并行纤维支气管镜吸痰寻找病原体。3月28日痰液细胞学及离心涂片:苏木精–伊红染色可见数条细长丝状幼虫虫体,卷曲状,咽管呈柱状,尾端尖,诊断粪类圆线虫(丝状蚴)(图2)。粪便中未找到寄生虫,3月28日加用阿苯达唑(0.4 g口服,2次/d)抗寄生虫治疗。4月2日复查肺部灌洗液涂片:虫量较前明显减少,后患者再次出现发热,血压低。4月4日总IgE 13.4 IU/mL,患者因经济原因于4月5日办理自动出院。


粪类圆线虫是一种兼性寄生虫,成虫主要寄生在宿主(人、狗、猫等)的小肠内,幼虫可侵入肺、脑、肝、肾等器官,引起弥漫性的组织损伤,临床称为播散型超度感染,其主要危险因素包括营养不良、类固醇激素使用、长期酗酒、高龄、糖尿病、手术后和人型T淋巴细胞病毒感染[1,2]。播散型超度感染较为罕见,但病死率极高[3,4]。本组2例患者均因病情重,治疗效果欠佳自动出院,亦提示其预后差。
粪类圆线虫病以消化道症状为主,可表现为腹痛、腹胀、恶心、呕吐、腹泻等症状。当幼虫移行至肺部时可引起肺部症状,包括发热、咳嗽、咳痰、气喘、呼吸困难、咯血等[5]。本组2例患者均出现腹胀、呕吐、黑便的症状,特别是病例1,入院1年于当地医院行胃黏膜活检提示寄生虫感染,结合既往病史,考虑1年前存在慢性粪类圆线虫感染,由于机体有效的免疫应答使体内粪类圆线虫维持较低的感染度,而入院前1个月可能由于感染导致机体免疫功能受损,不能有效清除体内的粪类圆线虫成虫及幼虫,进而引起播散型超度感染。
大部分肺粪类圆线虫病患者有影像学改变,可表现为细粟粒样结节、弥漫性网格状改变、片状或弥漫性浸润影[5,6]。在一些播散型超度感染患者,常常合并有急性呼吸窘迫综合征,表现为双肺广泛弥漫性浸润影。本组2例播散型超度感染者影像学亦表现为双肺弥漫性浸润影。当幼虫由肺实质移行至胸膜腔时在影像学上可出现胸腔积液的表现,多见于播散型超度感染以及合并有基础肺疾病患者[7]。
临床上,粪类圆线虫病的诊断方法分为病原学诊断及免疫学诊断。免疫学诊断的特异性较差,确诊需要靠病原学检查。通过新鲜粪便、痰液、支气管镜灌洗液、十二指肠引流液、尿液及脑脊液中找到粪类圆线虫幼体即可确诊[8]。由于这类患者有间歇性排虫现象,故粪便检测的敏感性较差,常规痰液检测的敏感性也较低。本组2例患者通过气管镜肺泡灌洗液及气管镜病理明确诊断,与既往张峰等[9]报道的病例相符。气管镜灌洗液及活检病理在诊断肺粪类圆线虫病作用不能忽视。
对于确诊病例,应立即给予抗寄生虫治疗。粪类圆线虫病的治疗方案有噻苯达唑25 mg/kg, 2次/d,连用2 d;对于播散型感染者,疗程需要延长至5~7 d。噻苯达唑的不良反应多,对于噻苯达唑耐药的情况,可以选择阿苯达唑以及伊维菌素,其不良反应少。阿苯达唑为400 mg,1~2次/d,连用3~7 d;伊维菌素0.2 mg·kg–1·d–1,使用1~2 d。重症感染病例可延长疗程、重复治疗或联合用药[10]。本组2例患者均口服阿苯达唑片治疗。
综上所述,播散型粪类圆线虫感染较为罕见,好发于免疫缺陷患者,病死率极高,该病缺乏特异性临床症状、体征以及影像学改变。气管镜肺泡灌洗液及活检病理对该病的诊断有较好的应用价值。





















