
版权归中华医学会所有。
未经授权,不得转载、摘编本刊文章,不得使用本刊的版式设计。
除非特别声明,本刊刊出的所有文章不代表中华医学会和本刊编委会的观点。
脓肿分枝杆菌属于快速生长分枝杆菌,曾作为龟分枝杆菌的亚种,随着分子生物学方法用于分枝杆菌菌型鉴定,它被作为独立的菌种存在,除可导致肺病外,还可导致淋巴结、皮肤软组织、骨关节和全身播散性病变,目前尚不清楚其发病率,但其所致的肺病预后极差[1]。脓肿分枝杆菌肺病的症状、病理特点和影像学表现与肺结核相似,但其对抗结核药物具有天然耐药,众多临床研究和病例报道均证实两者的鉴别十分困难,极易造成误诊误治。为提高该病的诊断水平,积累治疗经验,我们对杭州市红十字会医院结核科2010年1月至2015年1月收治被误诊为肺结核的35例脓肿分枝杆菌肺病患者进行临床分析。
2010年1月至2015年1月杭州市红十字会医院结核科(浙江省结核病诊断治疗中心)共收42例肺脓肿分枝杆菌肺病患者,35例被误诊为肺结核,其中,男性19例,女性16例;年龄<20岁2例,20~50岁15例,>50岁18例;农民13例,退休工人16例,无业者5例,教师1例。18例有反复抗结核病治疗史。5例合并慢性阻塞性肺气肿,2例合并恶性肿瘤,10例为重症监护室(ICU)气管插管呼吸机辅助呼吸患者。诊断标准:脓肿分枝杆菌肺病的诊断参照文献[2,3]中的标准。入选标准:(1)符合脓肿分枝杆菌病的标准:具有呼吸系统和(或)全身性症状,经放射影像学检查发现有肺内病变,已排除其他疾病,在确保样本无外源性污染的前提下,符合以下条件之一者结合放射影像学和临床做出脓肿分枝杆菌的诊断:痰非结核分枝杆菌(Non-tuberculous mycobacteria,NTM)培养3次为同一致病菌;痰NTM培养2次均为同一致病菌,1次抗酸杆菌涂片阳性;支气管灌洗液NTM培养1次阳性,阳性度++以上;支气管灌洗液NTM培养1次阳性,抗酸杆菌涂片阳性度为++以上;支气管肺组织活检物NTM培养阳性;肺活检见与NTM改变相似的肉芽肿,痰或支气管灌洗液NTM培养阳性;(2)既往未经抗NTM治疗;(3)具有完整的临床资料和影像学资料。排除标准:(1)经2次基因分型,菌种鉴定为其他NTM;(2)既往曾接受抗NTM治疗。
35例患者中,咳嗽、咳痰20例,咯血或血痰4例,发热11例,有15例患者在查体中肺部听诊可闻及湿啰音。
25例为痰涂片找抗酸杆菌阳性,2次分枝杆菌培养阳性经鉴定均为脓肿分枝杆菌;10例为痰涂片找抗酸杆菌阴性,2次分枝杆菌培养阳性且经鉴定均为脓肿分枝杆菌。分枝杆菌菌种鉴定方法:按照《临床技术操作规范(结核病分册)》[4],采用改良罗氏培养基和含对硝基苯甲酸的改良罗氏培养基(杭州创新生物检控技术有限公司提供)分离细菌,如细菌在含对硝基苯甲酸的改良罗氏培养基生长,则初步鉴定为NTM,或者采用960液体快速分枝杆菌培养技术培养并分离菌株,经结核分枝杆菌胶体金(杭州创新生物检控技术有限公司)初步鉴定为NTM,再通过线形性探针杂交技术Genotype Mycobacterium CM基因分型试剂盒(德国Hain Lifescience公司)或DNA微阵列芯片法晶芯®分枝杆菌菌种鉴定试剂(博奥生物有限公司)鉴定菌种。
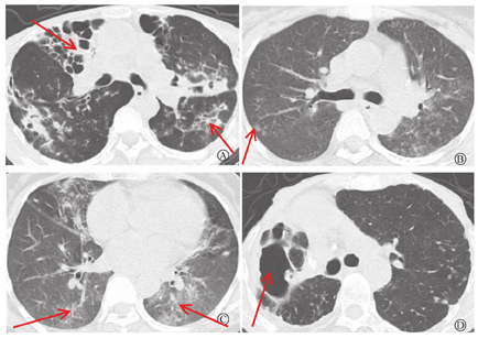
本组35例患者胸部影像学表现为支气管扩张10例(图1A),树芽征2例(图1B),肺部结节5例(图1B),肺部实变3例(图1C),空洞15例(图1D)。


注:A.两上肺均可见支气管扩张;B.右上叶后段可见树芽征;C.左下肺实变影,右下肺散在结节影;D.右上方肺空洞影
10例为临床考虑肺结核复发,按标准复治方案抗结核治疗后病灶不好转,此后我科行气管镜检查,灌洗液分枝杆菌培养及菌种鉴定以确诊;2例为确诊肺结核治疗过程中病灶吸收后再次恶化,继续抗结核治疗效果差,后病情加重至我科痰960液体快速分枝杆菌培养及菌种鉴定以确诊;13例痰菌阳性患者按肺结核给予标准化疗方案治疗2~6个月后临床症状没有缓解及胸部影像学检查不好转,至我科实验室行痰分枝杆菌培养及菌种鉴定确诊;10例为ICU气管插管呼吸机辅助呼吸患者,抗结核治疗2个月后痰菌持续阳性,多次行痰分枝杆菌培养及菌种鉴定确诊。确诊的患者按美国胸科协会2007年指南[2]推荐治疗方案以头孢西丁、阿米卡星为核心药物,联合利福布汀,克拉霉素,左氧氟沙星组成治疗方案,具体用法为:头孢西丁2.0 g,静脉滴注,2次/d,阿米卡星0.4 g,静脉滴注,1次/d,利福布汀0.3 g,口服,1次/d,克拉霉素0.5 g,口服,1次/d,左氧氟沙星0.5 g,口服,1次/d,疗程2~2.5年。
35例患者中12例在治疗6个月以内临床症状消失,19例症状明显改善,2例因不能耐受长期静脉输液放弃治疗,2例因合并呼吸衰竭死亡。35例治疗6月后肺部病灶吸收的有22例,不变的有12例,恶化的有1例,其中15例合并肺部空洞的有6例空洞缩小,9例空洞没有变化。
脓肿分枝杆菌属于条件致病菌,肺部基础疾病(如尘肺、肺癌、既往肺结核病史和囊性纤维化),干细胞或器官移植,自然抵抗相关巨噬细胞蛋白1基因多态性和囊性纤维化跨膜调节器基因杂合子等为其易感因素[5,6,7,8]。脓肿分枝杆菌通过皮肤、呼吸道等途径侵入人体后,其发病与致病过程与结核病相似,临床症状与肺结核亦相仿,如发热、盗汗、咳嗽、咳痰、咯血等,胸部影像学表现也相似,仅仅依靠临床症状和胸部影像学表现容易误诊[9,10]。本组资料显示,脓肿分枝杆菌肺病患者的临床症状为咳嗽、咳痰、咯血及发热等,在胸部影像学表现为实变、结节、空洞、支气管扩张等,与肺结核无明显差异,极易误诊。
当脓肿分枝杆菌肺病被误诊为肺结核,不仅会延误脓肿分枝杆菌病的治疗,导致一些原本可以避免的并发症发生,还会使患者承受抗结核药物的不良反应。因此,脓肿分枝杆菌肺病与肺结核的鉴别诊断非常重要。两种疾病临床上,可以通过以下几点鉴别:(1)如果痰菌阳性患者抗结核治疗2月以上临床症状不缓解及胸部影像学检查不吸收需警惕脓肿分枝杆菌肺病。本组有13例痰菌阳性患者按肺结核给予标准化疗方案治疗后临床症状没有缓解及胸部影像学检查不好转,至我科实验室分枝杆菌培养及菌种鉴定为脓肿分枝杆菌。(2)对于考虑肺结核复发的病例,痰菌阴性者抗结核治疗不理想,需完善气管镜等侵入性检查获得病原学样本以确诊,本组有10例患者最初考虑为肺结核复发,按标准复治方案抗结核治疗后病灶不好转,此后我科气管镜灌洗液分枝杆菌培养及菌种鉴定以确诊。(3)有文献报道,在确诊的958例肺结核中有68例在抗结核过程中分离出NTM[11]。因此,对于确诊的肺结核患者,在抗结核治疗过程中病情好转后再次恶化,须考虑合并非结核分枝杆菌肺病如脓肿分枝杆菌肺病,应反复多次完善痰抗酸杆菌培养。本组资料中2例患者为确诊肺结核治疗过程中病灶吸收后再次恶化,继续抗结核治疗效果差,初因经济原因拒绝行960液体快速分枝杆菌培养技术培养并分离菌株,后病情加重至我科以确诊。(4)对于人工气道患者的痰涂片抗酸染色阳性需警惕,因患者的天然防御屏障消失,且ICU易交叉感染,条件致病菌易附着于呼吸机管路等,容易感染脓肿分枝杆菌,当抗结核治疗效果差时更要考虑脓肿分枝杆菌肺病。本组10例ICU气管插管呼吸机辅助呼吸患者,抗结核治疗2个月后痰菌持续阳性,多次行痰分枝杆菌培养及菌种鉴定才得以确诊。回顾本组脓肿分枝杆菌病例的诊疗经过,分析误诊的原因,除了两种疾病比较相似外,与临床医师特别是门诊医师习惯于本专业单一疾病的诊断,对痰分枝杆菌培养结果的轻视甚至忽视有很大的关系。我科5年中诊治的42例中有7例被正确诊断,因有支气管扩张病史,因合并细菌感染住院期间痰找抗酸杆菌阳性,临床医生考虑有合并NTM可能,及时行痰960液体快速分枝杆菌培养及菌种鉴定以确诊,故临床医师的准确判断很重要。
脓肿分枝杆菌肺病应重视早期诊断及早期治疗,抗感染药物应可根据药物敏感试验选择,一般以头孢西丁、阿米卡星为核心药物,联合利福布汀、克拉霉素、左氧氟沙星组成治疗方案,疗程为2~2.5年。本组治疗后的病情好转情况与报道相近[12]。同时,应给予患者合理的营养和充分的休息及精神鼓励。
综上所述,脓肿分枝杆菌肺病与肺结核在临床症状和影像学表现上极为相似,临床医生应提高对脓肿分枝杆菌肺病的认识,对于标准抗结核治疗效果差或有结构性肺病及人工气道的患者,应警惕脓肿分枝杆菌肺病的可能。同时,在已确诊肺结核患者的抗结核治疗过程中,也需重视追踪患者痰抗酸杆菌培养结果,警惕肺结核合并脓肿分枝杆菌肺病的发生。此外,建议尽早将960液体快速分枝杆菌培养技术纳入医保范围,以利于患者的早期诊断和及时治疗。
利益冲突 无





















