
版权归中华医学会所有。
未经授权,不得转载、摘编本刊文章,不得使用本刊的版式设计。
除非特别声明,本刊刊出的所有文章不代表中华医学会和本刊编委会的观点。
大肠埃希菌是人体正常定植的条件致病菌,易在医院和社区中引起呼吸道、尿路感染及血流感染等。碳青霉烯类抗生素目前为最高级别的β-内酰胺类药物,被视为临床治疗革兰阴性菌特别是肠杆菌科细菌感染的最后一道防线。由于抗生素广泛使用,导致碳青霉烯类抗生素耐药大肠埃希菌不断增多,为临床抗感染治疗带来极大挑战。本研究收集我院2013至2015年6株碳青霉烯类耐药大肠埃希菌,探究其耐药机制和分子流行病学特征。
收集2013至2015年丽水市中心医院临床分离的碳青霉烯类抗生素耐药的大肠埃希菌,-80℃保存菌种。
药敏试验M-H培养基和药敏纸片均购自英国Oxoid公司,包括氨苄西林、头孢唑啉、头孢曲松、头孢他啶、头孢吡肟、氨曲南、头孢替坦、哌拉西林/他唑巴坦、氨苄西林/舒巴坦、亚胺培南、厄他培南、庆大霉素、妥布霉素、复方磺胺甲恶唑、左氧氟沙星、阿米卡星、米诺环素及多黏菌素B。Vitek-2 Compact细菌鉴定仪购自法国梅里埃公司。
采用Vitek-2 Compact全自动微生物分析系统联合纸片扩散法(K-B法)进行药敏试验,药敏结果按照美国临床和实验室标准化协会(CLSI)2017年的标准判定[1]。
引物设计参照文献[2]委托上海生物工程公司合成。反应体系(25 μL):模板2 μL,上下游引物各1 μL,Hieff™ PCR MasterMix混合液12.5 μL,加水至25 μL。反应参数为:94℃预变性3 min,94℃ 30 s,55℃ 30 s,72℃1 min,循环35次,最后72℃延伸5 min。PCR产物进行1%凝胶电泳,120 V,30 min。电泳结果阳性的PCR产物送上海华津生物科技有限公司测序,结果在NCBI网站(www.ncbi.nlm.nih.gov/blast/)进行BLSAT分析。
热裂解法提取细菌DNA,选用存在于肠杆菌科细菌DNA中的重复序列ERIC1:5′-ATGTAAGCTCCTGGGGATTCAC-3′,ERIC2:5′-AAG TAAGTGACTGGGGTGAGCG-3为引物进行扩增。反应体系(25 μL):模板2 μL,上下游引物各1 μL,Hieff™ PCR MasterMix混合液12.5 μL,加水至25 μL。PCR扩增条件:94℃预热3 min,94℃变性45 s,45℃复性1 min,72℃延伸2 min,35次循环,最后延伸72℃ 8 min。PCR产物在1%的琼脂糖凝胶中120 V电泳30 min,凝胶成像系统观察结果并拍照。PCR扩增条带数量及位置相同者为同一克隆群,主要条带位置相同,副条带相差1条的为亚型。否则为不同克隆群[3]。
PCR扩增大肠埃希菌7个管家基因(adk、fumc、gyrb、icd、mdh、purA、recA)并测序,引物参考网站:(http//mlst.warwick.ac.uk/mlst/dbs/Ecoli)。测序结果网站上比对确定ST型(https://pubmlst.org/bigsdb?db=pubmlst_mlst_seqdef)。
受体菌为叠氮钠耐药的大肠埃希菌J53。供体菌和受体菌分别接种在5 mL LB肉汤培养基,37℃,200 rpm培养4 h;然后吸取100 μL供体菌、100 μL受体菌到含有4 mL新鲜LB肉汤培养基的EP管中,混合后置35℃孵箱过夜培养;第2天取100 μL接合后菌液均匀涂布于筛选平板(5 mg/L美罗培南+100 mg/L叠氮钠),35℃孵箱过夜培养;挑取单菌落转划筛选平板,35℃孵箱过夜培养。接合子质粒DNA扩增耐药基因,PCR产物进行1%凝胶电泳,阳性结果送上海华津生物科技有限公司测序,结果在NCBI网站(www.ncbi.nlm.nih.gov/blast/)进行BLSAT比对分析。
输入关键词"Carbapenenenes-producingEscherichia coli",时间限定在2013年1月到2017年12月,在PubMed网站上共收集到289篇相关文章,剔除非临床及重复报道的菌株,共收集到全球27个地区70种MLST分型数据。将所有ST分型数据导入eBRUST V3软件分组分析,分组严格按照7个管家基因中6个及以上相同的归为一组,bootstrap参数设为1 000。采用非加权组平均法(UPMGA)在MAGE7绘制碳青霉烯类耐药大肠埃希菌系统进化树。
6株产碳青霉烯酶大肠埃希菌中,PCR检测出3种碳青霉烯酶基因,即blaKPC-2、blaNDM-1、blaNDM-5各2株。菌株临床资料见表1。

6株碳青霉烯耐药大肠埃细菌资料
6株碳青霉烯耐药大肠埃细菌资料
| 菌株 | 分离时间(年) | 病区 | 种类 | 耐药基因 | ST分型 | ERIC分型 |
|---|---|---|---|---|---|---|
| E-84 | 2013 | 重症监护病房 | 痰液 | blaKPC-2 | 648 | C |
| E-95 | 2014 | 急诊重症监护病房 | 痰液 | blaKPC-2 | 410 | B |
| E-135 | 2015 | 血液内科 | 血液 | blaNDM-5 | 167 | D |
| E-146 | 2015 | 创伤外科 | 痰液 | blaNDM-1 | 617 | A |
| E-149 | 2015 | 创伤外科 | 尿液 | blaNDM-1 | 617 | A |
| E-151 | 2015 | 泌尿外科 | 尿液 | blaNDM-5 | 101 | B |
6株碳青霉烯耐药大肠埃希菌中,4株(J95、J135、J149、J151)接合成功,PCR扩增测序证实含有与野生菌相同的耐药基因。药敏试验结果显示,野生菌株均为泛耐药菌,仅E84、E146对阿米卡星敏感,E151对氨曲南敏感,E95对阿米卡星、妥布霉素、庆大霉素敏感,所有菌株对多黏菌素B和替加环素都敏感。接合子部分抗菌药物耐药性降低,与野生菌株存在差异(表2)。

大肠埃细菌及接合子最低抑菌浓度(MIC,μg/mL)
大肠埃细菌及接合子最低抑菌浓度(MIC,μg/mL)
| 抗菌药物 | E84 | E95 | J95 | E135 | J135 | E146 | E149 | J149 | E151 | J151 |
|---|---|---|---|---|---|---|---|---|---|---|
| 亚胺培南 | 8 | 8 | ≥ 16 | ≥ 16 | ≥ 16 | ≥ 16 | ≥ 16 | ≥ 16 | ≥ 16 | ≥ 16 |
| 妥布霉素 | 8 | ≤ 1 | ≤ 1 | ≥ 16 | ≥ 16 | ≥ 16 | ≥ 16 | ≤ 1 | ≥ 16 | ≤ 1 |
| 阿米卡星 | ≤ 2 | ≤ 2 | ≤ 2 | ≥ 64 | ≥ 64 | ≤ 2 | ≥ 64 | ≤ 2 | ≥ 64 | ≤ 2 |
| 环丙沙星 | ≥ 4 | ≥ 4 | ≤ 0.25 | ≥ 4 | ≤ 0.25 | ≥ 4 | ≥ 4 | ≤ 0.25 | ≥ 4 | ≤ 0.25 |
| 左氧氟沙星 | ≥ 8 | ≥ 8 | ≤ 0.25 | ≥ 8 | ≤ 0.25 | ≥ 8 | ≥ 8 | ≤ 0.25 | ≥ 8 | ≤ 0.25 |
| 复方磺胺甲恶唑 | ≥320 | ≥320 | ≥320 | ≥320 | ≤ 20 | ≥320 | ≥320 | ≤ 20 | ≥320 | ≤ 20 |
| 厄他培南 | ≥ 8 | ≥ 8 | ≥ 8 | ≥ 8 | ≥ 8 | ≥ 8 | ≥ 8 | 4 | ≥ 8 | ≥ 8 |
| 氨曲南 | ≥ 64 | ≥ 64 | ≥ 64 | ≥ 64 | 16 | ≥ 64 | ≥ 64 | ≤ 1 | ≤ 1 | ≤ 1 |
| 头孢吡肟 | ≥ 64 | 8 | 4 | ≥ 64 | ≥ 64 | ≥ 64 | ≥ 64 | ≥ 64 | ≥ 64 | ≥ 64 |
| 庆大霉素 | ≥ 16 | ≤ 1 | ≤ 1 | ≥ 16 | ≥ 16 | ≥ 16 | ≥ 16 | ≤ 1 | ≥ 16 | ≤ 1 |
| 头孢替坦 | 32 | 32 | ≤ 4 | ≥ 64 | ≥ 64 | ≥ 64 | ≥ 64 | ≥ 64 | ≥ 64 | ≥ 64 |
注:E84、E95、E135、E146、E149、E151为临床分离产碳青霉烯酶大肠埃希,J95、J135、J149、J151为相对应的接合子。
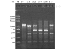
ERIC-PCR分型发现4种克隆群:A(E146、E149)、B(E95、E151),C(E84)和D(E135),结果见图1。


注:M.标准带
6株碳青霉烯耐药大肠埃希菌共得到5种ST型,ST648、ST410、ST167、ST617、ST101(表3)。5种ST型通过eBRUST V3软件分组分析有1个分型组和3个单体型,ST167与ST617型耐药菌,7个管家基因中6个相同,遗传背景相似,来源于相同的ST10Cplx,亲缘关系较近,分为一组,而ST101、ST410、ST648则是散发存在的单体型,各不同分组的ST型7个管家基因基本不同,遗传背景相差较大,亲缘关系都相距较远。检索Pubmed共收集到70种碳青霉烯耐药大肠埃细菌MLST分型数据,采用非加权组平均法(UPMGA)在MAGE7绘制系统进化树(图2)。

碳青霉烯耐药大肠埃希菌多位点序列分型(MLST)分型结果
碳青霉烯耐药大肠埃希菌多位点序列分型(MLST)分型结果
| 菌株 | ADK | FUMC | GYRB | ICD | MDH | PURA | RECA | ST | 克隆复合体 | |
|---|---|---|---|---|---|---|---|---|---|---|
| E84 | 92 | 4 | 87 | 96 | 70 | 58 | 2 | 648 | ST648 | Cplx |
| E95 | 6 | 4 | 12 | 1 | 20 | 18 | 7 | 410 | ST23 | Cplx |
| E135 | 10 | 11 | 4 | 8 | 8 | 13 | 2 | 167 | ST10 | Cplx |
| E146 | 10 | 11 | 4 | 8 | 8 | 13 | 73 | 617 | ST10 | Cplx |
| E149 | 10 | 11 | 4 | 8 | 8 | 13 | 73 | 617 | ST10 | Cplx |
| E151 | 43 | 41 | 15 | 18 | 11 | 7 | 6 | 101 | ST101 | Cplx |


注:带标记的为本研究中的ST型
由于抗菌药物的广泛使用,碳青霉烯类耐药大肠埃希菌引起的医院感染逐年增多。本研究在2013至2015年共收集到6株碳青霉烯类耐药大肠埃希菌,来自5个科室,PCR检测发现KPC-2、NDM-1、NDM-5型耐药菌各2株,未发现优势克隆群,主要是散发流行,而且6株碳青霉烯类耐药大肠埃希菌均为泛耐药菌,对大部分β-内酰胺类抗菌药物都耐药,但对氨基糖苷类药物如阿米卡星、妥布霉素、庆大霉素敏感性较好,未发现对多黏菌素B、替加环素耐药菌。4株菌株(J95、J135、J149、J151)质粒接合实验成功,3种耐药基因都可通过质粒在不同菌种之间扩散传播,容易引起医院感染的暴发流行,应当引起相关部门重视,做好医院防控,医师护士做好手卫生,加强消毒灭菌力度,以阻断耐药菌的传播和流行。
MLST分型得到5种ST型(ST648、ST410、ST167、ST617、ST101),ERIC-PCR分型发现4种克隆群:A(E146、E149)、B(E95、E151)、C(E84)和D(E135),MLST分型和ERIC-PCR分型结果基本一致。检索Pubmed查询到近五年全球27个地区产碳青霉烯酶大肠埃希菌的70种MLST分型数据,主要为KPC型和NDM型大肠埃希菌。携带blakpc-2耐药基因ST131型大肠埃希菌是世界范围内流行的多重耐药菌,国际上美国[4]、澳大利亚[5]、以色列[6]、意大利[7]、法国[8]和阿根廷[9]等,我国在杭州[10,11,12]、上海[13]等地区都曾报道流行。然而本研究并未发现ST131型耐药菌,而是两株携带blakpc-2散发独立存在的ST648型、ST410型大肠埃希菌,且ST648、ST410、ST131三型耐药菌彼此间7个管家基因都基本不同,遗传背景差异较大,亲缘性相距较远,提示我院产KPC酶大肠埃细菌可能存在一定地区特异性。NDM型碳青霉烯类耐药大肠埃希菌并未发现国际流行克隆株,多呈现散发多型的流行特征。中国香港[14]、北京[15]、山东[16,17]、四川[18]、河南[19]和上海[20]等地区都曾先后报道流行,并且各地区报道的ST型都存在差异。本研究中两株携带blaNDM-1耐药菌同属于ST617型,前后相隔3 d分离自创伤外科的两例患者,很可能是科室内相同菌株交叉感染导致;而ST167、ST101携带blaNDM-5两株耐药菌的遗传背景却存在明显差异(7个管家基因均不同),亲缘关系较远。此外ST167型和ST617型耐药菌虽然分别携带了blaNDM-5、blaNDM-1两种不同耐药基因,但是他们的遗传背景却十分相似(7个管家基因6个相同),并都来自克隆复合体ST10Cplx,另外ST101、ST167、ST617型耐药菌质粒接合实验都成功,提示质粒水平传播很可能是我院blaNDM型耐药基因主要传播方式,有可能会在不同菌种间扩散,需要加强防控,以防医院耐药菌株暴发流行。此外本研究中携带blaNDM-5耐药基因ST101型大肠埃希菌在国内其他地区[14,15,16,17,18,19,20]都未曾报道。通过eBRUST V3软件分析70种ST分型数据:得到13个分型组,30个单体型,其中以CC10(克隆群Cplx)和CC131(克隆群Cplx)多见,包括ST10、ST34、ST43、ST44、ST48、ST131、ST167和ST617等17种不同ST型,CC10和CC131可能是较为原始的两个克隆复合体,而其他ST型多是以单体型存在。各不同分组的ST型之间遗传背景差异较大,亲缘关系相距较远,提示全球范围内碳青霉烯耐药大肠埃细菌分子分型呈现出多样化的流行特征。
综上所述,我院碳青霉烯耐药大肠埃希菌呈现散发多型的流行特征,具有地区特异性,耐药基因呈现多态性,共发现3种不同基因(blakpc-2、blaNDM-1、blaNDM-5),均可通过质粒水平在不同菌种间传播扩散,可能引起暴发流行,应引起相关部门重视,加强医院消毒灭菌力度,阻断耐药菌传播扩散。
无





















