
囊性纤维化是由囊性纤维化跨膜传导调节因子基因突变,导致的常染色体隐性遗传性疾病,在高加索人群中多发,携带率约3%,在亚洲人群中发病率则低于35/10 000,临床表现复杂多样。本病例临床表现为肺部感染伴不明原因肝硬化,初诊疑为肺结核,经抗结核、抗感染治疗无效,会诊后拟诊变应性支气管肺曲霉病,然而疗效仍不理想,肝穿病理提示局灶性胆汁性肝纤维化,胆管中有嗜酸性物质,患者有肝硬化家族史,考虑遗传性疾病可能,进一步行全外显子基因测序提示该患者携带两个致病性的杂合变异,确诊为囊性纤维化,经相应治疗肺部病灶明显吸收好转,肝功能稳定。本例患者临床表现与病因在我国人群中极为罕见,对其认知较少,缺乏可及的基因诊断方法以指导有效的临床治疗方案,因此本例报道可供临床医师借鉴,以提高对囊性纤维化的认识和诊疗水平。
版权归中华医学会所有。
未经授权,不得转载、摘编本刊文章,不得使用本刊的版式设计。
除非特别声明,本刊刊出的所有文章不代表中华医学会和本刊编委会的观点。
患者女,13岁,学生,因"反复咳嗽咳痰5个月,体检发现肝硬化1个月"于2019年2月14日收治我院。2018年9月,患者无明显诱因出现咳嗽咳黄痰,自行服用"感冒药"(具体不详),症状反复无缓解。病程中患者无腹胀不适,无低热盗汗,无腹痛,腹泻,二便正常,无明显体质量下降。患者既往史:2006年于南京儿童医院曾诊断为"巴特综合征",后好转;2018年发现鼻息肉,行摘除术。无既往感染病毒性肝炎、结核、血吸虫病史。无食物、药物过敏史。无手术外伤及输血史。患者祖母家族中兄弟四人有"肝硬化"病史,具体不详。2018年11月就诊于当地中医院予中药(具体不详)治疗3周,仍无明显缓解。2019年1月就诊于当地市级医院,超声及上腹部CT示肝硬化、胆囊结石、脾大;肺部CT示两肺散在条索状影及结节灶,左上肺见少许树芽征,查结核杆菌IgG阳性,痰结核菌及结核感染T细胞试验均阴性,诊断为:"肺结核,肝硬化原因不明",予利福平、异烟肼、吡嗪酰胺、乙胺丁醇抗结核治疗,咳嗽咳痰未见明显缓解,且肝硬化原因不明,遂来我院就诊。入院体格检查:神志清,精神可,发育正常,营养良好,皮肤黏膜无瘀点瘀斑,巩膜无黄染,未见肝掌、蜘蛛痣,浅表淋巴结未及肿大。双肺可闻及湿啰音,心律齐。腹软,无压痛及反跳痛,肝脾肋下未及,Murphy’s征阴性,肝区无叩痛,移动性浊音阴性,双下肢不肿,未见杵状指。血常规:白细胞8.28×109/L,中性粒细胞占比0.421,嗜酸性粒细胞占比0.160,嗜酸性粒细胞绝对值1.32×109/L;G试验254.60 pg/mL;肝功能:总胆红素6.2 μmol/L,白蛋白38.1 g/L,球蛋白23.7 g/L,丙氨酸转氨酶5.0 IU/L,天冬氨酸转氨酶16.4 IU/L,胆碱酯酶6 665 U/L,谷氨酰转肽酶25.9 U/L,碱性磷酸酶250.5 IU/L;肾功能、凝血功能未见异常,乙型肝炎表面抗原及甲型肝炎、丙型肝炎、戊型肝炎等病毒学指标均阴性,疫球蛋白、补体、自身免疫抗体、铜蓝蛋白测定等均未见明显异常。影像学检查:胸部CT平扫见两肺散在片状高密度影(图1);肝胆胰脾彩超示慢性肝损害、胆囊结石、脾轻度肿大;上腹部CT(平扫+增强)门静脉早显,增强动脉期肝内条片状强化稍高密度灶,考虑血管畸形或异常灌注;胆囊炎,胆囊结石;头部MRI提示副鼻窦炎。2月20日肝穿刺活检显示,肝小叶结构中-重度紊乱,小叶内肝细胞中度浊肿及多个点灶状坏死,部分融合成不规则片状,汇管区轻-中度扩张,轻-中度慢性炎细胞浸润及胶原纤维增生,可见汇管区-小叶间隔间及汇管区-汇管区间融合性坏死并轻度硬化,胆管数量较正常稍减少,可见局部轻度胆管炎(图2)。病变示活动性早期结节性肝硬化改变(G2~3/S3)。入院初步诊断为:"肺结核,待排查;肝硬化,原因待查;胆囊结石"。患者入院后,相关结果回报前,继续予利福喷丁联合异烟肼、吡嗪酰胺、乙胺丁醇、莫西沙星抗结核及抗感染治疗,患者咳嗽、咳痰症状无缓解,肺部湿啰音较明显。后结核相关检查结果示:痰抗酸杆菌、结核菌培养、结核感染T细胞试验、结核杆菌DNA/RNA均阴性。2月21日,患者行纤维气管镜检查示左肺上叶尖后段见较多黏稠分泌物,肺泡灌洗液抗酸杆菌阴性。2月27号,肺部CT提示两肺散在感染,较前进展,结核科会诊,相关检查及支气管镜结果不支持肺结核,遂停用抗结核药物;呼吸科会诊,血常规示嗜酸粒细胞比例及绝对值高,CT见支气管扩张,有"指套征",考虑变应性支气管肺曲霉病(ABPA)及嗜酸性粒细胞相关性肺炎可能,建议进一步完善血清总IgE及曲霉菌抗体检查,加用激素治疗。3月4日,予甲强龙30 mg治疗一周,患者咳嗽咳痰症状未见明显好转。3月11日,复查肺部CT示两肺感染,较前病灶范围略大,复查血常规:白细胞12.05×109/L,中性粒细胞占比0.580,嗜酸性粒细胞占比0.640,嗜酸性粒细胞绝对值0.77×109/L;曲霉菌抗体阴性。3月13日,再次行气管镜检查提示右肺中叶及左肺上叶支气管见较多黏液栓,予以抽吸及冲洗,进一步对肺泡灌洗液进行感染病原学基因检测,结果为烟曲霉阳性,确诊为ABPA。结合患者病史和临床特征,考虑"囊性纤维化(CF)病"。患者全外显子基因测序检出CFTR基因c.580-1G>T(剪接突变,致病性)和c.1000C>T(p.Arg334Trp错义突变,致病性)复合杂合突变,两个突变位点分别来自其父亲及母亲,遂患者确诊为囊性纤维化。予甲强龙30 mg/d,联合伏立康唑200 mg,12 h/次治疗3周,患者咳嗽咳痰症状消失,肺部湿啰音消失,肺部CT病灶明显减少,G试验138.00 pg/mL,肝功能正常,患者好转出院。2019年4月当地复查胸部CT炎症明显吸收。


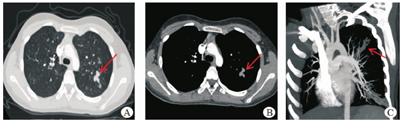
注:A、B、C分别为肺窗、纵膈窗及最大密度投影重建图像。箭头所示为明显扩张的支气管内黏液栓阻塞,增强后未见扩张支气管及粘液栓未见强化,呈"指套征"改变


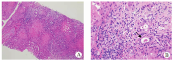
注:A图显示肝小叶结构紊乱,汇管区炎细胞浸润,轻度界面炎,桥接坏死(×100);B图显示汇管区细胆管增生,箭头示胆管不规则扩张,内含嗜酸性无定型物质(黑色箭头示)(×400)
CF是由囊性纤维化跨膜传导调节因子基因突变,导致的常染色体隐性遗传性疾病。在高加索人群中多发,携带率约3%,在亚洲人群中发病率则低于35/10 000,临床表现复杂多样。该患者临床表现为肺部感染伴不明原因肝硬化,初诊疑为肺结核,经抗结核、抗感染治疗无效,完善支气管灌洗液病原基因检测结果,结合临床症状及实验室检查诊断为ABPA。ABPA是人体对寄生于支气管内的曲霉菌抗原发生变态反应所引起的一种肺部疾病,多由烟曲霉菌诱导,患者常伴过敏性体质,如过敏性鼻炎等。其致病机制由曲霉菌引发气道高敏反应,气道内真菌定植,菌体释放变应原及蛋白酶,继而产生I型、Ⅲ型超敏反应,表现为IgE和IgG免疫复合物和炎症细胞沉积于支气管黏膜,产生坏死,嗜酸粒细胞浸润及支气管扩张。流行病学研究提示,ABPA好发于有哮喘或CF的患者,在两类患者中的发生率分别为5.5%~38.5%和1%~15%[1,2,3] 。本例患者支气管哮喘症状不明显,遂考虑CF可能。CF一般表现为外分泌腺功能紊乱,累及肺脏、胰腺、肝脏、汗腺及生殖系统等多脏器,出现慢性肺病、胰腺功能不全、肝胆疾病、大量出汗及电解质紊乱等。其中,肺部病变是由于CF跨膜传导调节因子(CFTR)功能缺陷,导致盐分分泌障碍并继发水份分泌障碍,表现出过度的水和盐重吸收,继而使气道黏液痰缺乏水分而变得黏稠,纤毛受压而不能正常摆动,因此临床表现为咳嗽、咳黏痰,痰咳不净感,并且易并发多种病原菌感染,包括曲霉菌,上呼吸道受累可出现鼻息肉及复发性鼻窦炎等,在本例患者中均有所表现。流行病学数据也曾报道ABPA患者中CFTR基因突变率较对照人群或哮喘患者更高[4]。该例患者有典型肺部表现及鼻息肉、副鼻窦炎等上呼吸道病变,幼时因电解质紊乱诊断为"巴特综合征",均高度提示患者有CF可能。
本例患者合并肝硬化,有家族肝病聚集情况,考虑遗传性疾病可能。明确CF与肺部ABPA病变的关系后,肝硬化的病因也显露部分关联性。法国队列研究跟踪随访1985年以后出生,患有胰腺功能不全的3 328例CF患者,进行预后及相关危险因素评估,结果发现囊性纤维化肝病(CFLD)发病率每年增加约1%,25岁时达32.2%,其中重症CFLD只有在5岁以后才开始增加,30岁时总比达10%。高危因素为:男性、DF508纯合子和胎粪肠梗阻病史[5]。英国2008至2013年全国调查3 417例CF患者,结果显示伴有肝脏累及的CFLD患者从2008年的203.4/1 000上升至228.3/1 000[6]。临床上,CF可累及胆管致胆道堵塞,导致约30%患者可出现无症状肝纤维化,其中约2%~3%进展为不可逆的多结节性胆汁性肝硬化[7] 。本例患者肝脏病理提示胆管中可见嗜酸性物质,不明原因结节性肝硬化,且家族中多位不明原因肝硬化者,提示遗传性可能大[8] 。CF的诊断,有赖于对氯离子通道蛋白(囊性纤维化跨膜传导调节因子)突变基因的测序,并且结合一个或多个系统的临床表现,可确诊该疾病[9,10]。
经详细询问及征得同意,对患者双亲及本人进行全外显子基因测序,结果显示患者父亲及母亲均为CFTR基因杂合子,而患者本人存在CFTR两个致病性的杂合变异(几率为25%),明确诊断患者系CF,表现为肺部ABPA及结节性肝硬化。在临床工作中,CF通常被认为是西方高加索人种多见疾病,而在亚洲或我国罕见[5,6]。本例患者症状不典型,其肺部和肝脏表现独立,不易联系思考。提示临床医师在观察患者出现常规病原学不能解释的症状时应仔细分析,结合病史,询问家族史,应用多学科会诊,从疾病的表象,探索其内在机制及联系,提高诊断治疗水平。同时应谨记,CF暂时缺乏有效根治方法,有赖于将来基因编辑技术能提供新一代疗法;目前可采取多学科综合对症治疗,减少伴发疾病进展,从而提高患者生活质量。
所有作者均声明不存在利益冲突

























