
新型冠状病毒肺炎传染性强,起病偏缓,早期易误诊漏诊,不利于疫情控制。本文报道了1例肺部CT表现不典型的新型冠状病毒肺炎,并进行相关文献复习,帮助临床医师提高对该病的认识。
版权归中华医学会所有。
未经授权,不得转载、摘编本刊文章,不得使用本刊的版式设计。
除非特别声明,本刊刊出的所有文章不代表中华医学会和本刊编委会的观点。
2019年12月以来,湖北省武汉市陆续发现了一种新型冠状病毒(2019 novel coronavirus,2019-nCoV)感染的肺炎患者,随着疫情的蔓延,我国其他地区也相继发现了此类病例。2020年2月4日,国家卫生健康委员会发布了《新型冠状病毒肺炎诊疗方案》(试行第五版)[1],指出该肺炎胸部影像学早期呈多发小斑片影及间质改变,以肺外侧带明显,但笔者发现1例首次就诊时肺部影像学表现不典型病例,以供参考。
患者女,48岁,因"发热6 d"于2020年1月21日收治金华市中心医院感染科隔离病房。患者6 d前无明显诱因下出现发热,无规律性,体温最高为38.3℃,偶有心悸,能自行缓解,无其他不适,于1月21日就诊我院发热门诊,查体:体温37.3℃,脉搏93次/min,呼吸20次/min,血压143/97 mmHg(1 mmHg=0.133 kPa),神志清,精神可,口唇无发绀,咽部稍充血,扁桃体Ⅰ度肿大,双肺呼吸音粗,未及明显干湿啰音,心率93次/min,律齐,未及病理性杂音。血常规示白细胞6.69×109/L,嗜中性粒细胞占比0.543,淋巴细胞占比0.305,超敏C-反应蛋白(CRP)8.9 mg/L。胸部CT提示左肺上叶可见片状高密度影。影像诊断:左肺上叶感染考虑,建议治疗后复查(图1)。患者既往体健。1月14日与来自武汉伴有发热的同事有密切接触史,经医院专家组会诊,收治感染科隔离病房。


注:箭头标注为早期肺内病灶
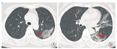
入院后1月22日查血常规:白细胞4.84×109/L,嗜中性粒细胞占比0.504,淋巴细胞占比0.393,超敏CRP 3.7 mg/L。动脉血气分析:pH 7.42,氧分压82.2 mmHg,二氧化碳分压40.0 mmHg,实际碳酸氢根25.1 mmol/L,剩余碱1.1 mmol/L,氧饱和度96.6%,乳酸1.6 mmol/L。凝血功能+D-二聚体、肝肾功能、心肌酶谱均正常;血降钙素原0.062 ng/mL,血细胞因子均正常。咽拭子甲型、乙型流感核酸检测均为阴性。血支原体抗体检测阴性。
入院后予磷酸奥司他韦胶囊(75 mg/次,2次/d)抗流感病毒,莫西沙星片(0.4g/次,1次/d)抗感染及相关祛痰止咳等对症治疗。患者仍有反复发热,体温为37.3~38.9 ℃。因患者存在新型冠状病毒肺炎(COVID-19)流行病学史,于1月22日送检咽拭子及血清,经金华市及浙江省疾病预防控制中心检测,确认2019-nCoV核酸阳性,确诊为COVID-19。加用干扰素α-2b针雾化吸入(500万U,2次/d);洛匹那韦/利托那韦片(2片/次,1次/12 h)口服;同时予中药辅助治疗,体温恢复正常。1月28日患者再次出现发热,体温最高37.8 ℃,无明显咳嗽、咳痰,无胸闷气急,无气喘。复查床边胸片提示左肺感染,较1月21日病灶进展。复查血常规:白细胞7.8×109/L,嗜中性粒细胞占比0.796,淋巴细胞占比0.132,超敏CRP 20.8 mg/L;血降钙素原0.041 ng/mL;复查咽拭子2019-nCoV核酸阳性;予上述药物继续抗病毒及抗感染,加用甲泼尼龙琥珀酸钠针(40 mg,1次/d)静脉滴注,共用3 d。1月29日,患者体温恢复正常,无咳嗽、咳痰,无胸闷气喘,自觉症状较前好转,食欲好转。1月30日停用甲泼尼龙琥珀酸钠针,其他治疗同前。1月31日,患者体温持续正常,无明显不适。复查胸部CT,示左肺及右肺下叶片状高密度影,边缘模糊,右肺下叶膨胀不全(图2)。2月3日,复查胸部CT,炎症范围较1月31日有所吸收(图3)。复查血常规:白细胞6.74×109/L,嗜中性粒细胞占比0.76,淋巴细胞占比0.165,超敏CRP 1.0 mg/L,血降钙素原0.04 ng/mL。2月3日和4日复查咽拭子2019-nCoV核酸,检测均阴性,达到出院标准,予2月5日出院。


注:箭头所标注为新增病灶


注:箭头所示为病灶吸收好转
2019年12月以来,中国湖北省武汉市发现多例不明原因肺炎,2020年1月7日实验室检出一种新型冠状病毒,1月10日完成了病原核酸检测,1月12日世界卫生组织正式命名为"2019-nCoV"。2月4日国家卫生健康委员会办公厅、国家中医药管理局办公室发布了《新型冠状病毒肺炎诊疗方案(试行第五版)的通知》[1],其中胸部影像学特点为:早期呈现多发小斑片影及间质改变,以肺外带明显,进而发展为双肺多发磨玻璃影、浸润影,严重者可出现肺实变,胸腔积液少见。目前Huang等[2]报道41例患者中,有40例出现双侧肺叶受累,重症患者肺部CT的典型表现为双侧多小叶和亚段实质性病变,轻症患者的代表性CT表现为双侧节段性毛玻璃样变。
本例患者为成年女性,临床表现以发热为主,无其他典型临床特征,首次肺部CT表现为左肺上叶感染,以单肺叶局部高密度影,部分实变为主要表现,故与COVID-19影像学单纯磨玻璃影表现不符合,存在部分实变与磨玻璃并存,诊断容易导致误诊及漏诊。而对于本病例的肺部CT初期影像学表现,需与细菌性社区获得性肺炎、非典型病原体肺炎等相鉴别。细菌性社区获得性肺炎胸部影像学特点主要为肺泡浸润或实变,呈叶段分布[3,4],本病例早期胸部CT表现与其相似,易误诊。临床上肺炎影像上有3种基本征象:肺泡性肺炎(局限性、非节段性或大叶性肺炎),支气管肺炎和间质性肺炎(局限性、弥漫性)。大多数细菌性肺炎表现为肺泡性肺炎和支气管肺炎,以气腔实变为主要征象,单一的磨玻璃阴影少见[5]。非典型(肺炎支原体、衣原体、军团菌)肺炎多表现为支气管肺炎或间质性肺炎。刘盛敏和周秀梅[6]报道成人支原体肺炎患者CT影像特征多样化,但是表现为支气管壁增厚、磨玻璃影、中央小叶型结节特点的患者比较集中。非细菌性肺炎基本影像表现为间质性肺炎,局限性和弥漫性的磨玻璃密度阴影多见,小叶中心结节是非细菌性肺炎的特异性表现[7,8]。
随着病情的演变,本例患者胸部CT影像学表现逐步出现双肺多肺叶、磨玻璃影、浸润实变影等病灶增多,以肺外侧带为主,与目前所报道COVID-19的影像学特征相符合[1,2]。而患者首次影像学表现为单肺叶磨玻璃合并部分实变影,病灶以靠近肺叶内侧带为主,表现不典型,因此对存在高危接触风险的患者影像发现磨玻璃合并部分实变为主的病变时,需结合病程时间综合评估。同时需根据患者流行病学资料及早行2019-nCoV核酸检测进行鉴别诊断,不可只凭借症状和胸部CT诊断或排除2019-nCoV感染的肺炎,避免延误诊治。
所有作者均声明不存在利益冲突





















