
探讨磁共振成像(MRI)特征在成人流行性乙型脑炎临床分期与分型中的应用价值。
回顾性分析2018年8至9月在宁夏医科大学总医院行颅脑MRI检查的35例成人乙型脑炎患者的临床资料,分析不同临床分期和分型中乙型脑炎患者的MRI影像学特征,分析丘脑病灶的表观扩散系数(ADC值)在不同分期乙型脑炎患者的差异。采用SPSS 23.0统计软件对数据进行分析。
35例成人乙型脑炎患者中,6例普通型患者病灶均累及丘脑,颅内病灶数目均<2个;11例重型患者病灶分别累及丘脑8例、海马5例,颅内病灶数目<2个3例、2~4个3例、>4个5例;18例极重型患者病灶分别累及丘脑14例、海马14例、大脑皮层14例、大脑脚9例、基底节区6例、脑干2例,颅内病灶数目<2个2例、2~4个6例、>4个10例。11例初期患者病灶扩散加权成像(DWI)高信号9例,T2液体衰减反转恢复序列(FLAIR)稍高信号2例;19例极期患者病灶DWI高信号16例,FLAIR稍高信号11例,T1加权成像(T1WI)高信号3例及T2加权成像(T2WI)高信号6例;5例恢复期患者病灶DWI稍高信号1例,FLAIR高信号5例,T2WI高信号1例。恢复期和极期患者的丘脑病灶ADC值均高于初期(q=3.931和4.012,P<0.05)。恢复期患者的丘脑病灶ADC值高于极期(q=3.372,P<0.05)。
成人乙型脑炎病灶数目越多,累及范围越广。DWI序列易于早期发现病灶,FLAIR序列显示病变时间跨度长。DWI和FLAIR序列对成人乙型脑炎患者进行早期临床分期和分型具有重要意义,同时ADC值随着病程进展呈现由低到高的趋势,可作为成人乙型脑炎患者临床分期的有效补充。
版权归中华医学会所有。
未经授权,不得转载、摘编本刊文章,不得使用本刊的版式设计。
除非特别声明,本刊刊出的所有文章不代表中华医学会和本刊编委会的观点。
流行性乙型脑炎简称乙脑,是由乙型脑炎病毒引起脑实质广泛炎性反应为主的传染病,主要传播途径为蚊虫叮咬,夏秋季是其易暴发的季节[1]。乙脑起病急、病情重,重症患者的病死率可达20%~30%[2]。近年来,成人乙脑发病例数逐渐增多,尤其好发于免疫力较低的中老年人群[3]。临床不同分期及分型的成人乙脑患者治疗方式、预后不同,尽早准确分期、分型并及时对症治疗可明显改善乙脑患者预后[4]。实验室检查可作为病毒性脑炎的依据,但不能判断病情轻重及估计预后[5]。磁共振成像(MRI)因其良好的组织分辨能力,在成人乙脑的辅助诊断中具有重要作用,但在成人乙脑临床分期和分型中的应用研究文献报道较少。本研究通过分析成人乙脑患者颅脑MRI影像学特点,探究其在成人乙脑临床分期、分型中的应用价值。
收集2018年8至9月在宁夏医科大学总医院确诊的行颅脑MRI检查35例成人乙脑患者,男性19例,女性16例,年龄20~83岁,平均(54.0±13.4)岁。所有患者行颅脑MRI检查均在神经系统出现症状或体征后的15 d内。纳入标准:(1)确诊的成人乙脑患者并脑实质未有基础病灶;(2)颅脑MRI扫描发现乙脑病灶;(3)MRI图像清晰无伪影。排除标准:(1)MRI检查禁忌证的乙脑患者;(2)MRI图像因伪影等原因不能评估的乙脑患者。该研究符合《赫尔辛基宣言》,且所有患者或家属均签署知情同意书。
35例成人乙脑患者血清和(或)脑脊液乙脑特异性IgM抗体阳性,并且符合乙脑诊断标准:(1)流行病学资料:乙脑流行季节发病,有疫区生活史或去过疫区,明显的季节性(夏秋季);(2)临床表现:起病急、高热、头痛、呕吐、意识障碍、抽搐及脑膜刺激征阳性;(3)外周血白细胞总数及中性粒细胞比例增高;(4)脑脊液检查结果呈病毒性脑炎改变。临床分期诊断标准:(1)初期:起病急,体温在1~2 d内迅速上升到39~40℃,病程为1~3 d;(2)极期:症状逐渐加重,主要表现为脑实质损害症状,病程为4~10 d;(3)恢复期:体温逐渐下降,神经症状逐渐好转,为病程11 d后。临床分型诊断标准:(1)极重型:发热、体温在1~2 d内迅速上升到40℃以上,反复或持续性强烈抽搐,伴深度昏迷、迅速出现中枢性呼吸衰竭及脑疝等,患者常在极重型中死亡,幸存者常有后遗症;(2)重型:发热、体温>40℃,剧烈头痛、喷射性呕吐,很快进入昏迷,反复抽搐,病程约3周,愈后留有后遗症;(3)普通型:发热、体温39~40℃,剧烈头痛、喷射性呕吐,烦躁、嗜睡、昏迷或浅昏迷,局部小肌肉抽搐,病程约2周。
采用Achieva 1.5T MR扫描仪(荷兰飞利浦公司),16通道头线圈。MRI扫描序列包括横轴位T1加权成像(T1WI)、T2加权成像(T2WI)、T2液体衰减反转恢复序列(FLAIR),层厚为7.5 mm,间隔为1.0 mm,视野(FOV)=230 mm×230 mm。扩散加权成像(DWI)中回波时间(TR)为2 757 ms,重复时间(TE)为101 ms,层厚7.5 mm,层间距1.0 mm,扩散梯度因子b值分别为0、1 000 s/mm2,横断面扫描时保证所有序列层面一致。通过飞利浦工作站自带functool软件获得ADC图,勾画感兴趣区,测量病灶表观扩散系数(ADC)值。
由2名高年资神经影像医师阅片,分别观察并分析病灶的位置、信号强度(信号强度用平均亮度表示,高信号显示为白色,稍高信号为灰色,低信号为黑色[6]),意见不一致时共同讨论后决定。记录乙脑患者发病持续时间,其是指乙脑患者发病或至进行MRI检查所间隔的时间(d);选取成人乙脑患者丘脑病灶为感兴趣区测量ADC值(若双侧丘脑病变者则取其平均值),测量3次取其平均值以减少误差。
采用SPSS 23.0统计软件分析数据。计数资料采用例(百分数)表示;计量资料以
±s表示。丘脑病灶ADC值与临床分期组间比较采用单因素方差分析及SNK-q检验,检验水准ɑ=0.05。以P<0.05为差异有统计学意义。
35例成人乙脑患者中,极重型、重型、普通型分别为18例(51.4%)、11例(31.4%)、6例(17.2%)。24例(68.6%)来自农村,11例(31.4%)来自城镇。所有患者入院时均出现发热,39℃以上26例(74.2%),40℃以上9例(25.7%),腰椎穿刺发生颅内压增高者28例(80.0%),脑脊液细胞学检查白细胞增多23例(65.7%)。29例(82.9%)出现头痛、头晕、恶心、呕吐,22例(62.9%)出现意识障碍,20例(57.1%)四肢乏力,4例(11.4%)发生抽搐、癫痫症状。住院期间,肺部感染者26例(74.2%),出现呼吸衰竭(中枢型)9例(25.7%)。35例成人乙脑患者中,7例(20.0%)具有基础疾病,分别为高血压6例(17.1%)、糖尿病1例(2.9%)。35例患者均在蚊虫孳生季节发病,27例(77.1%)来自疫区,8例(22.9%)发病前20 d内曾去过疫区。
35例成人乙脑患者中,6例普通型患者病灶均累及丘脑;11例重型患者病灶分别累及丘脑8例、海马5例;18例极重型患者病灶分别累及丘脑14例、海马14例、大脑皮层14例、大脑脚9例、基底节区6例、脑干2例。6例普通型患者颅内病灶数目均<2个;11例重型患者颅内病灶数目<2个3例、2~4个3例、>4个5例;18例极重型患者颅内病灶数目<2个2例、2~4个6例、>4个10例。
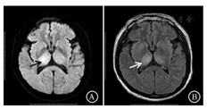
35例成人乙脑患者的MRI显示,初期11例(31.4%),极期19例(54.3%),恢复期5例(14.3%)。初期乙脑患者中,DWI高信号9例,病灶边界均清晰(图1A),FLAIR稍高信号2例,1例病灶边界清晰(图1B);极期乙脑患者中,DWI高信号16例(13例病灶边界清晰),FLAIR稍高信号11例(9例病灶边界清晰),T1WI高信号3例及T2WI高信号6例;恢复期患者中,DWI稍高信号1例,病灶边界模糊,FLAIR高信号5例,病灶边界均清晰,T2WI高信号1例。


注:A.DWI双侧丘脑高信号(黑色箭头),病灶边界清晰;B.FLAIR双侧丘脑稍高信号(白色箭头),病灶边界模糊
35例成人乙脑患者中病灶累及丘脑26例(74.2%)。不同分期乙脑患者丘脑病灶ADC值比较,差异具有统计学意义(F=17.223,P<0.01)。恢复期和极期乙脑患者的丘脑病灶ADC值均高于初期(q=3.931和4.012,P<0.05)。恢复期乙脑患者的丘脑病灶ADC值高于极期(q=3.372,P<0.05)。

26例乙型脑炎患者不同临床分期丘脑病灶ADC值分析(
±s)
26例乙型脑炎患者不同临床分期丘脑病灶ADC值分析(
±s)
| 分期 | 例数 | 丘脑病灶ADC值(×10-3 mm/s) |
|---|---|---|
| 初期 | 7 | 0.691±0.234 |
| 极期 | 14 | 0.857±0.132 |
| 恢复期 | 5 | 1.109±0.149 |
| F值 | - | 17.223 |
| P值 | - | <0.01 |
注:"-".无相关数据;ADC.表观扩散系数
乙脑是一种以蚊媒为主要传播媒介的急性传染病。本研究中绝大多数患者来自农村,当地人们防蚊灭蚊意识不强,所有患者发病时间集中在8至9月,符合本地区蚊虫滋生时间,故可通过防蚊灭蚊来切断乙脑传播途径,从而降低乙脑感染率[7]。本研究中乙脑患者均为成人,人群虽普遍易感乙脑,但1岁以下婴儿有来自母体的免疫抗体及儿童乙脑疫苗的广泛接种,儿童发病率较成人近年来显著下降,考虑成人乙脑发病率增高与乙脑疫苗接种率低有关,故成人有必要预防性接种乙脑疫苗以降低乙脑发病率[8]。
乙脑患者临床起病急、病情重,常以高热、意识障碍、惊厥、呼吸衰竭、脑膜刺激征为主要特征,严重者可出现呼吸衰竭[1]。乙脑病毒感染后,神经系统免疫反应活跃,吸引大量炎性细胞向炎性部位聚集[9],同时炎症因子介导的炎性反应导致乙脑患者颅内压增高[10],本研究中乙脑患者多以发热、恶心、呕吐就诊,可能与乙脑患者脑脊液白细胞计数增高、颅内压升高以及胃肠反应有关[1,11]。儿童乙脑病灶较常累及双侧丘脑、中脑黑质、皮层或皮层下白质[12,13],成人乙脑病灶常累及丘脑、脑干、基底节、海马、大脑皮质、小脑、皮质下白质及脊髓等,其中丘脑的对称性受累是成人乙脑颅内病灶特征性表现[14,15,16]。本研究中成人乙脑患者病灶常累及丘脑、海马,26例乙脑患者病灶累及双侧丘脑,占乙脑MRI阳性患者的绝大多数,与文献报道一致。故乙脑流行季节或来自疫区的患者中,若MRI显示单侧或双侧丘脑损害有助于乙脑的诊断。脑组织中海马结构具有存储记忆、改变认知和调控情绪的功能,患者行颅脑放疗后常存在放射性海马功能受损,表现为意识障碍和认知功能下降、出现癫痫等[17],本研究中19例乙脑患者出现意识障碍,4例患者出现癫痫症状,其颅脑MRI显示海马结构均受累,考虑乙脑患者出现意识障碍、癫痫症状与海马结构损伤有关。部分乙脑患者早期可表现为呼吸系统症状而误诊为上呼吸道感染,延误治疗,从而造成严重神经系统后遗症,甚至死亡。本研究中,有9例累及脑干及大脑皮层的乙脑患者出现中枢型呼吸衰竭,考虑乙脑病灶导致脑干和大脑皮层损伤有关[18]。乙脑患者脑水肿或炎症时波及脑干、大脑皮层等结构后导致呼吸功能减低或消失,从而出现中枢性呼吸衰竭。26例乙脑患者出现肺部感染,考虑乙脑患者通气量下降后导致缺氧和二氧化碳潴留,脑组织对缺氧敏感,低氧血症及高碳酸血症又进一步加重脑组织的损害[19],存在意识障碍和呼吸衰竭的乙脑患者咳嗽、咳痰的反射基本消失,纤毛运动等排出异物能力降低,导致乙脑患者肺部感染风险增加[20]。成人乙脑患者首诊若表现为呼吸道症状时,应值得临床医师警惕。
本研究中临床极重型、重型乙脑患者占绝大多数,考虑与乙脑病毒引起脑实质广泛性的损害有关。乙脑极重型、重型患者临床症状严重,预后差,会出现持续性抽搐伴深度昏迷,危重者会出现中枢性呼吸衰竭及脑疝等[1],提示临床医师和影像医师要加强对成人乙型脑炎的警惕和认识,对于乙型脑炎患者进行早诊断、早治疗,改善预后具有十分重要的意义。本研究显示,普通型乙脑患者颅内病灶数目均<2个,颅内乙脑病灶数目2~4个和>4个中极重型、重型乙脑患者占较大比例,同时极重型、重型乙脑患者病灶累及范围均大于普通型,普通型乙脑患者病灶以累及丘脑为主,重型和极重型患者病灶常累及丘脑、海马,其中极重型患者病灶也可累及大脑皮层、大脑脚、基底节区、脑干,提示若乙脑患者MRI显示病灶数目越多,病灶分布区域越广泛,除丘脑、海马累及外,累及大脑脚、基底节区及脑干时,临床分型更倾向于极重型或重型,应尽快采取积极有效方案,积极对症治疗,从而改善极重型、重型乙脑患者临床症状,提高预后,降低病死率[4]。脑干脑炎病变局限于脑干,是一种特殊类型的脑炎,临床特点主要有病毒感染的前驱症状,如嗜睡、共济失调等,病情常来势凶猛[21,22]。本研究中,有2例乙脑患者MRI显示病灶累及脑干,初诊时神志清楚、仅表现为呛咳,声音嘶哑,临床分型为普通型,后病情迅速进展,呼吸急促、发绀,甚至呼吸骤停,考虑与脑干损伤有关,提示当MRI显示乙脑病灶累及脑干时,应警惕脑干脑炎的发生。
及时准确分期对乙脑的临床诊疗具有重要意义。乙脑极期患者病情最危重,会出现持续高热、意识障碍、惊厥或抽搐,严重者可出现呼吸衰竭,考虑与乙脑患者极期脑组织损害严重有关[1],仅凭临床体征对乙脑患者颅内病灶的病理演变判断具有一定挑战。影像学技术的发展使得颅脑MRI在乙脑的早期诊断中具有很重要的价值,本研究中与T1WI、T2WI序列相比,DWI及FLAIR序列在乙脑初期、极期及恢复期显示的病灶信号变化更显著,病灶边界显示的更清楚,与文献报道一致[23]。DWI是检测水分子微观运动的MRI序列,反映着人体组织的空间组成信息及病理生理状态下各组织成分之间水分子交换的功能状况,水分子弥散受限时DWI则表现为高信号,从而反映组织的细胞毒性水肿。FLAIR序列能够抑制脑脊液的高信号,从而增强大脑灰质层病灶与周围正常脑组织的对比。此外,FLAIR对以血管源性水肿病灶的检出有优势。11例初期乙型脑炎患者颅内病灶DWI表现为高信号且病灶边界清晰有9例,FLAIR为稍高信号仅为2例,提示初期乙脑患者颅内病灶病理改变主要以细胞毒性水肿为主。随着病程进展,19例极期乙脑患者病灶DWI表现为高信号有16例,其中13例病灶边界清晰,FLAIR为稍高信号为11例,9例病灶边界清晰,提示极期乙脑患者颅内病灶均存在细胞毒性水肿和血管源性水肿。5例恢复期乙脑患者颅内病灶FLAIR序列均显示为高信号且边界清晰,DWI显示为高信号仅1例,病灶边界模糊,此时恢复期乙脑病灶以血管源性水肿为主[20]。结果显示,DWI序列对初期乙脑病灶的敏感性高,FLAIR显示乙脑病灶的时间跨度最大,可反映初期、极期、恢复期乙脑病灶的变化,这对于动态观察成人乙脑诊治过程中病灶变化很有意义。肉眼观察DWI信号的高低具有一定主观性,ADC值是定量评估水分子弥散受限程度大小的数值,具有客观性,同时ADC值可有效避免T2透射效应影响。本研究中海马、大脑皮层等乙脑病灶体积较小,又因丘脑的对称性受累是成人乙脑颅内病灶特征性表现,选取丘脑为感兴趣区测乙脑病灶的ADC值准确、可靠,统计结果显示成人乙脑患者丘脑病变的ADC值在乙脑患者不同临床分期中差异具有统计学意义,初期乙脑病变的ADC值最低,极期、恢复期乙脑病灶ADC值逐渐升高,因此可联合DWI、FLAIR信号强度变化以及乙脑病灶ADC值的改变来推测乙脑病灶的病理改变,从而早期发现病灶,动态观察病灶变化,初步评估乙脑的临床分期,这与以往文献报道一致[14,23]。
本研究仍存在不足之处,首先本研究为回顾性分析,且入选病例数较少;其次图像分析者的经验也影响信号强度判断的准确性,可能会使数据统计结果出现偏倚。综上所述,MRI可作为成人乙脑早期诊断首选的影像学检查手段。DWI和FLAIR序列对成人乙脑患者进行早期临床分期、临床分型具有一定诊疗价值,同时ADC值随着病程进展呈现由低到高的趋势,可作为成人乙脑患者临床分期的有效补充。
所有作者均声明不存在利益冲突





















