
麻疹孪生球菌是一种革兰阳性球菌,是寄生在人类口咽、上呼吸道、胃肠道、女性生殖道的条件致病菌,当机体免疫力下降时感染风险明显增加,易引起感染性心内膜炎、脑膜炎、心包炎、脓肿、败血症等多种疾病。现报道1例20岁男性患者无明显诱因出现发热伴乏力和意识不清,血培养和脑脊液高通量测序均为麻疹孪生球菌,头颅CT提示硬膜下脓肿和多发性脑脓肿,经脓肿穿刺引流和使用敏感抗生素治疗后,症状缓解出院。在6个月随访中未再发热,最终治愈。
版权归中华医学会所有。
未经授权,不得转载、摘编本刊文章,不得使用本刊的版式设计。
除非特别声明,本刊刊出的所有文章不代表中华医学会和本刊编委会的观点。
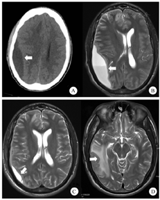
患者男,20岁,赞比亚人,因"发热伴乏力10 d,意识不清2 d"于2019年10月14日收住浙江省人民医院。患者10 d前无明显诱因下出现发热,体温最高达40.8 ℃,伴有畏寒寒战,明显乏力,呕吐、腹泻多次,未行相关诊治。入院2 d前患者出现意识不清,二便失禁,至杭州市临安区人民医院就诊,行血培养提示:麻疹孪生球菌,给予"头孢哌酮钠/舒巴坦钠"抗感染等治疗,病情未见好转,遂至浙江省人民医院就诊。患者既往有疟疾病史,否认近期有局部外伤或侵入性治疗史,否认中耳炎、乳突炎病史。查体:体温40.8 ℃,脉搏104次/min,呼吸23次/min,血压159/136 mmHg(1 mmHg=0.133 kPa)。序贯器官衰竭评分(SOFA)15分。昏迷,双侧瞳孔4 mm,对光反射迟钝,球结膜水肿明显,鼻唇沟对称,颈强直,克氏征阳性,双肺呼吸音粗,双肺散在湿啰音,心律齐,未闻及杂音。腹软,肝脾肋缘下未及,双下肢无水肿,四肢刺痛后能回缩,肌力检查无法配合,巴氏征未引出。实验室检查:白细胞计数(WBC)5.68×109/L,中性粒细胞占比0.906,淋巴细胞0.5×109/L,血小板(PLT)12×109/L,C-反应蛋白(CRP) 257.3 mg/L,降钙素原(PCT)>100 ng/mL;血气分析:酸碱度(pH)7.482,二氧化碳分压22.8 mmHg,氧分压(PaO2) 77 mmHg(吸入氧浓度6 L/min),血氧饱和度94.8%,PaO2/FiO2 171,D-二聚体43 190 μg/L;肿瘤标志物、结核菌素试验(PDD)、HIV检测、血HBsAg、丙型肝炎抗体、登革热病毒RNA均阴性或正常,外周血培养为阴性。头颅CT平扫提示:右侧额颞骨顶部少量硬膜下积液、鼻窦炎。入院当日行腰椎穿刺术,测颅内压>400 mmH2O(1 mmH2O=0.0098 kPa),脑脊液有核细胞计数1 586.0个/μL,红细胞计数52.4个/μL,潘氏试验阳性。脑脊液生化:蛋白定量>3 g/L,糖定量1.53 mmol/L,氯化物118.8 mmol/L,乳酸脱氢酶(LDH)309 U/L,乳酸11.9 mmol/L。脑脊液未找到病原体。初步诊断为:颅内感染、脓毒血症、肺部感染、急性呼吸衰竭。予气管插管呼吸机辅助通气,结合患者病情考虑为细菌感染所致,给予美罗培南(2.0 g/次,1次/d)和达托霉素(0.5 g/次,1次/d)微泵注射及利奈唑胺(0.6 g/次,1次/d)静脉滴注抗菌治疗,甲泼尼龙琥珀酸钠及丙种球蛋白抗炎,甘露醇脱水降颅压等治疗。10月18日行第二次腰椎穿刺术,同时将脑脊液送高通量测序,3 d后结果(武汉华大医学检验所)回报:麻疹孪生球菌序列数28。治疗1周后患者意识转清,但仍有高热及癫痫反复发作。10月22日患者神志清楚,自主呼吸有力,顺利脱机拔管,同时停用达托霉素。11月1日患者突感视物模糊,实验室复查提示:WBC 6.8×109/L,中性粒细胞占比0.671,CRP 77.7 mg/L。复查头颅CT示:右额叶低密度灶,右侧额颞顶枕部硬膜外积液,右侧脑室受压狭窄,中线结构左移(图1A)。11月5日行头颅增强磁共振后提示硬膜下积脓(图1B),11月7日在全麻下行右侧顶部硬膜下脓肿引流术,术中引流出黄绿色液体约40 mL,取脓液培养及进行药物敏感性试验,未检到真菌,术后患者头痛减轻,体温下降。11月9日复查血常规示:WBC 5.02×109/L,中性粒细胞占比0.391,CRP 52.9 mg/L。11月11日,因硬膜下未引流出液体,予以拔除脓肿引流管,脓肿引流液培养阴性。11月12日复查头颅磁共振后患者硬膜下积液再发,但暂无外科处理指征。11月19日患者体温反复,复查血常规示:WBC 8.07×109/L,中性粒细胞占比0.578,CRP 54.1 mg/L。头颅CT示右侧颅内病变较前进展,仍无外科处理指征,抗生素方案调整为利奈唑胺(0.6 g/次,1次/12 h)、奥硝唑(100 mL/次,1次/12 h)及美罗培南(2 g/次,1次/8 h)联合治疗。12月5日,因患者近期体温均正常,头痛明显好转,调整为利奈唑胺(0.6 g/次,1次/12 h)联合头孢曲松钠(2 g,1次/12 h)抗感染治疗。12月29日复查血常规:WBC 5.57×109/L,中性粒细胞占比0.453,CRP 10.4 mg/L。2020年1月3日复查头颅平扫磁共振提示:硬膜下脓肿较前减小,右侧大脑半球多发异常信号(图1C,图1D)。病情趋于平稳,体温控制在36.9 ℃左右,头痛乏力等症状较前明显改善,嘱其继续口服利奈唑胺抗感染治疗,出院6个月后电话随访,未再发热,一般情况好转。


注:A.右侧额颞顶枕部硬膜外积液,右侧脑室受压狭窄,中线结构左移;B.右侧硬膜下积脓;C.脓肿引流和抗生素治疗近2个月后脓肿缩小;D.右侧大脑半球多发异常信号
脓毒血症是指由病原微生物感染引起或继发于严重创伤、烧伤及术后感染等的全身性炎症反应综合征(Systemic inflammatory response syndrome, SIRS)[1],尽管预后有改善,病死率仍高达25%~30%,其中以革兰阴性杆菌多见[2],麻疹孪生球菌引起的脓毒血症罕见。硬膜下脓肿和脑脓肿是少见的颅内感染性疾病,大多由邻近感染扩散而来,同时有研究表明硬膜下脓肿是最常见的鼻窦炎颅内并发症,占鼻窦炎所有并发症的33%~85%[3],且年轻男性多发[4],此特点与本例患者相符。
麻疹孪生球菌属于孪生球菌属,为兼性厌氧,无芽孢、无动力的革兰阳性球菌,是口咽、上呼吸道、胃肠道、女性生殖道的无害专性寄生菌,为条件致病菌,当机体免疫力下降时,该菌的感染机会显著增加[5]。麻疹孪生球菌最常与感染性心内膜炎有关,但也有病例出现脑膜炎、心包炎、关节炎、脊髓炎、脓肿、纵隔炎、腹膜炎、椎间盘炎和败血症[6],因此近年来被认为是被低估的潜在病原体[7]。
国内有关麻疹孪生球菌引起的颅内感染报道少见,从万方数据库目前可以搜索到3例相关的文献报道[8,9,10]。国外有多个病例报道显示麻疹孪生球菌引起的脑脓肿和硬膜下脓肿均继发于鼻窦炎[7,11,12]。本例患者的血培养和脑脊液中均检测到麻疹孪生球菌,表明该菌是本次感染的主要病原体,且头颅CT平扫显示有鼻窦炎伴鼻窦积液的证据,与国外研究相符[7,11,12],因此感染源很可能在鼻窦并通过颅底导血管蔓延至颅内。该患者颅内感染的临床过程是双相的,先表现为急性脑膜炎,头颅CT上未见局灶性病变,尽管有广泛的抗菌药物覆盖,但很快在脑实质形成脓肿,Abu-Heija等[7]和Benedetti等[12]也报道了类似的情况。这表明了尽管有系统性抗生素治疗,在中枢神经系统内仍然有病原菌潜在存活,因而需要延长抗生素使用疗程。
有研究记录了将牙髓坏死患者中分离出孪生球菌属菌株接种到无菌小鼠后,产生了使白细胞介素-12(IL-12)和干扰素γ(IFN γ)的下调作用[13],这些细胞因子通过增强自然杀伤(NK)细胞和T细胞的活性刺激细胞介导免疫应答,从而在清除病原体方面发挥着关键作用[14]。有动物模型证实,化脓性细菌通过产生促炎因子对中枢神经系统产生影响,IL-1β和肿瘤坏死因子-α(TNF-α)导致炎症细胞粘附和迁移到中枢神经系统,同时IL-6的过表达可破坏血脑屏障[15]。孪生球菌属产生特异性IgA1蛋白酶,被认为是导致细菌性脑膜炎的重要毒力决定因素[16]。所有这些机制都可能导致了孪生球菌的亲神经性。
麻疹孪生球菌感染主要见于各种免疫力低下患者,本例患者感染可能与其身体营养状况差有关。大多数麻疹孪生球菌感染可通过抗生素治疗,包括第三代头孢菌素和甲硝唑治愈[7]。据国内外报道,麻疹孪生球菌药物敏感试验结果多数是对青霉素、头孢曲松、万古霉素、利奈唑胺敏感[17,18],该患者抗生素的应用与国内外报道基本保持一致。经硬膜下脓肿引流术及系统性抗感染治疗,肺部感染明显控制,体温恢复正常,但颅内炎性病灶仍明显,一方面考虑因存在血脑屏障,抗菌药物在脑脊液和脑组织中达不到有效治疗浓度,且孪生球菌具有亲神经的特性而不容易清除,还可能与引流管拔除过早、脓肿引流不充分有关;另一方面,硬膜下脓肿和脑脓肿极可能由鼻窦炎引起,但治疗过程中并未对原发病灶进行清理;同时患者营养状况差,免疫力低下,也是导致病情恢复慢的一个因素。
总之,麻疹孪生球菌可引起危及生命的中枢系统感染和脓毒血症,因此建议将该菌列入与严重颅内感染有关的兼性厌氧菌的名单中。值得一提的是,一旦确诊尽量清除脓肿并充分引流及消除原发感染灶,以缩短病程,提高治愈率。
所有作者均声明不存在利益冲突





















