
版权归中华医学会所有。
未经授权,不得转载、摘编本刊文章,不得使用本刊的版式设计。
除非特别声明,本刊刊出的所有文章不代表中华医学会和本刊编委会的观点。
淀粉样变性病(amyloidosis,AL)为一类以淀粉样变性的无定形、嗜酸性物质局部或弥漫性地沉积于全身各个脏器所致,以喉、气管、肾脏、心脏、脾脏、胆囊等处多见。淀粉样变性临床表现多样且无特征性。原发性喉气管支气管淀粉样变(laryngo-tracheobronchial amyloidosis,LTBA)是一种罕见的疾病,在上呼吸道管腔内缓慢发展的淀粉样变性物质的沉积可以导致管腔进行性狭窄,进而引起气道阻塞、咳血、慢性咳嗽、反复呼吸道感染、发声困难和吞咽困难;症状和流行病学特征具有高度非特异性,有时类似如哮喘、慢性支气管炎。此类患者正常情况下可无明显呼吸道症状,当合并其他全身性疾病或急性疾病需要急诊全身麻醉手术或治疗时,如没有意识到此病,可导致致命的后果。Chow等[1]报道1例局限性喉淀粉样变患者死于气管插管时上呼吸道大量出血。本文回顾性分析1例因胆囊结石伴急性胆囊炎合并原发性喉气管支气管淀粉样变,在全身麻醉诱导后无法及时气管插管,最后死于缺氧性脑损伤患者的临床资料,结合文献着重探讨其LTBA表现,以提高对该病的认识。
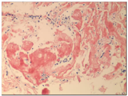
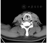
患者,男,51岁,1 d前无明显诱因出现右上腹疼痛不适,伴有发热,无畏寒,无胸闷、心悸,无恶心、呕吐,无头痛、头晕,无腹泻、黑便,无尿频、尿急、尿痛等症状,遂就诊于当地医院,查腹部B超示胆囊结石、胆囊炎。为求进一步治疗来院就诊,门诊拟"胆囊结石伴急性胆囊炎"收入病房。患者自发病以来,精神、饮食、睡眠欠佳,有声音嘶哑,有呼吸急促史,大小便正常,体质量较前无明显变化。患者既往有胸部外伤史,具体不详;否认糖尿病、高血压病史,否认肝炎、结核病史,否认输血史,否认食物、药物过敏史。诊断为胆囊结石伴急性胆囊炎,术前血气分析为低氧状态,拟于2016年6月20日在全身麻醉下行腹腔镜下胆囊切除术,麻醉师诱导后在直接喉镜下无法插入4.0号气管插管,并发现声门区肿胀,声门下区严重狭窄,黏膜易出血;给予喉罩下吸氧,患者二氧化碳分压>60 mmHg(1 mmHg=0.133 kPa)。请耳鼻咽喉科急诊下行气管切开,切口2、3气管软骨后见气管严重狭窄并有肿瘤样组织,取部分肿瘤样组织送病理检查,并强行入4.0号气管插管,改善患者通气,但患者的二氧化碳分压较大,给予扩大切口并放入6.0号气管插管,术后转重症监护病房。转重症监护病房后行颈胸部CT检查示:喉黏膜增厚,气管、右支气管内见环形高密度钙化影,上段气管见明显狭窄(见封四图1、图2),双侧肺不张。次日上午再次出现呼吸困难,发热,脉搏氧饱和度(SpO2)下降,立即给予甲泼尼龙静脉推注,利多卡因气道内滴入,氨茶碱泵入,并给予呼吸兴奋剂泵入,患者氧合情况逐渐好转,血氧饱和度最高达91%,于12∶00出现血压下降,立即予去甲肾上腺素0.11 μg/(kg·min)泵入,同时给予静脉补液,经治疗后生命体征不平稳,查体:体温(T)37 ℃,心率(P)72次/min,呼吸(R)27次/min,血压(BP)88/50 mmHg,血氧饱和度(SpO2)88%,气管导管在位,重度昏迷状态,患者家属放弃治疗,出院后不久死亡。术后病理示:黏膜下结缔组织增生伴淀粉样变性(见封四图3)。






淀粉样变性疾病是以不可溶解的淀粉样纤维素的形式沉积于器官或组织的细胞外区所导致的一组疾病;其确切病因仍不清,有学者认为其可能与喉部慢性炎症、局部血和淋巴循环障碍、蛋白质代谢紊乱和组织退行性变有关;亦有学者认为与全身性免疫缺陷有关[2]。淀粉样变主要分三大类:原发性、继发性及家族性。原发性淀粉样变性是单核浆细胞产生的单克隆免疫球蛋白轻片段以淀粉样原纤维的形式沉积于器官或细胞,占70%~80%。继发性淀粉样变性常见于结核病、麻风病、慢性化脓性感染、免疫性疾病、类风湿及骨髓系统疾病等对肺、脾及肾脏侵犯严重的患者,占10%[3]。家族性淀粉样变性为常染色体显性遗传病,约占2%[4]。根据累及的器官分为局限性和系统性。全身性淀粉样变亦称系统性淀粉样变,累及多个器官,如心血管系统、胃肠道系统,还可累及淋巴结、脾脏、肝脏、肾脏和肾上腺,为全身多系统广泛的淀粉样病变;全身性淀粉样变可能是一种严重、致死性的疾病,因为沉积于多个脏器内的淀粉样物质可以破坏其结构和功能。局限性淀粉样变多累及单个器官,偶累及1个以上器官,并且没有全身的病变。局限性淀粉样变较少见,可发生于头颈部、下呼吸道、膀胱以及皮肤;局限性淀粉样变是一种良性病变,发展缓慢,预后较好[4]。
头颈部淀粉样变性,以喉部最常见,而又以最常累及声门上区,而以室带受累最多,依次是声门下区、喉室、声带和杓会厌皱襞。同时累及喉、气管及支气管的原发性淀粉样变在临床上罕见,其临床表现缺乏特异性,但常有咳嗽、声音嘶哑、呼吸困难、咯血等症状。
LTBA在内窥镜下呈喉及气管内弥漫性肿胀,偶见黏膜下结节状团坎,不伴溃疡,常呈黄色、半透明石蜡状。LTBA影像学诊断主要靠CT。因CT能够显示病灶内部结构,喉气管支气管粉样变性由于蛋白质沉着可出现不同程度钙化,CT同时可分辨钙化与成骨性钙化不同,并且CT通过调动窗宽窗位可以清楚显示钙化,也是与喉部恶性肿瘤的鉴别之一。淀粉样变部位CT密度较高,一般高于肌肉密度,CT值40~60 Hu,可以帮助诊断,但在病变周围常伴有局部的慢性炎性反应。由于淀粉样物质呈块状、斑片状沉积在黏膜下,故CT上表现为增厚的室带等喉腔内组织、气道管壁增厚,气管黏膜面多凹凸不平,呈结节状、波浪状,管腔不规则狭窄。CT可清楚地了解气道内淀粉样变性为局限性还是弥漫性:局限性表现为管壁的局限性结节,管腔向心性狭窄;而弥漫性则为管壁的弥漫性围管性增厚。同时,CT三维重建还有助于了解病变范围并制订详细的手术方案。而常规喉部X线侧位片和正位片仅能提示喉部有病变,只对喉部淀粉样变性具有一定诊断价值[5]。
病理是确诊LTBA的最终手段,镜下嗜伊红染色可见均匀无其他结构的淀粉样物,刚果红染色阳性。LTBA通常是主要为局部的疾病形式,属于良性肿瘤。LTBA的诊断需要与声带息肉、喉结核及喉肿瘤,复发性多软骨炎、成骨软骨性气管支气管病,支气管内膜结核,老年性气管支气管钙化及肺癌等疾病相鉴别。同时建议检查包括:血细胞计数、尿素氮(BUN)、肌酐、肝功能测定、尿分析、血沉、尿免疫电泳、结核菌素试验等。详细询问病史,以区别家族性淀粉样变性综合征和内分泌病如甲状腺腺瘤。
LTBA属一种病程发展非常缓慢的良性病变,一般不会导致死亡,目前缺乏有效的治疗手段,尤其是对全身性病变。其主要治疗目标有二个:一是保证足够的呼吸通道;二是改善或恢复发音质量[6]。因此、我们建议根据CT扫描情况及患者症状来个性化处理此类疾病,如:由于目前尚没有任何该病恶变及局限性病变转化为全身性病变的相关报道,故对年老、体弱、病变小、无任何临床症状患者可暂不予治疗,定期密切随访;如有呼吸困难、胸闷可应用支气管扩张剂缓解部分症状,对有咳嗽、咯血症状者可行止咳、止血对症治疗;当LTBA引起明显呼吸道临床症状影响正常生活而上述处理无效时,只能靠手术切除病变组织,尽量避免喉开放性手术,开放手术切除会进一步损害发病器官的功能。④因LTBA对局部或全身的糖皮质激素和放、化疗效果都不理想,所以对于气道局限性病变可经支气管内镜下支气管钳夹除或CO2或Nd∶YAG激光烧灼,且内镜下手术可以重复手术,组织损伤较小;对于气道严重狭窄者可行支架置入术。⑤病变较大无法在内镜下处理时可考虑喉外途径,主要指喉裂开手术,尽量减少对周围结构的损伤。⑥由于淀粉样变有易复发的特点,即使手术切除后仍然是易复发的,长期随访是治疗该病的主要手段[7]。本例患者术前未提供有3年前在外院支撑喉镜下喉淀粉样本切除术病史,未进行门诊随访;外科医生未重视此病史。
LTBA是一种手术时对临床医生及麻醉医师巨大挑战的疾病。因给LTBA患者麻醉时有多种致命的并发症:如气管插管时通过由于淀粉样组织沉积喉或气管黏膜下导致喉或气管狭窄处时大出血的风险,狭窄处太小无法插管及插管困难导致脑组织缺氧性损伤等风险。尤其是在盲视下插管损伤组织导致大出血的风险更大。有报道称使用纤维可视插管系统观察气管导管通过病变狭窄处,更安全。但对LTBA引起喉气管严重狭窄的患者,即使采用可视技术仍然存在插管困难的情况;对此类患者建议局部麻醉下先气管切开后,再插管诱导麻醉,以预防麻醉风险。LTBA病程进展很慢,甚至几十年可以无发展,患者因此可以生存下来。但对那些因全身性疾病要插管全身麻醉手术且合并LTBA的患者,如果非专科的临床医生没有重视LTBA的潜在风险,可能导致患者致死性后果,因此要高度重视此类患者的存在。
总之,本例死亡病例中总结出以下的经验与教训:①询问病史不完整,患者未提供曾经有喉镜下声带肿物手术史。②患者有长期持续性声音嘶哑及喉喘鸣未及时行电子喉镜检查或喉气管支气管三维CT检查。③血氧分析发现患者处于慢性缺氧状态,说明喉气管淀粉样变患者可以在低氧状态下长期生活。④麻醉医师术前会诊时对患者的血氧分析情况及喉梗阻的症状未引起重视,未考虑到喉气管疾病对麻醉的影响。⑤对全身性疾病伴发喉气管淀粉样变需要手术的患者实施全身麻醉时,要非常谨慎。术前行纤维支气管镜了解喉气管病变的部位,引起喉气管狭窄的部位及狭窄的程度,来充分考虑是否适合气管插管下全身麻醉及选用多大型号的气管插管。为了降低全身麻醉及插管时肿块大出血引起窒息的风险,可在局部麻醉下气管切开后再实施全身麻醉及随后的手术。⑥对于喉气管淀粉样变患者实施全身麻醉时,尽量在可视喉镜下进行插管。⑦管床医生盲目听从上级医师的判断,入院后上级医师只考虑本科疾病,管床医生未将注意力集中在咽喉部,对患者出现轻度喉梗阻的症状未请耳鼻咽喉科医师协助治疗。本病例给我们的教训是深刻的,今后在临床工作中为了避免误诊及漏诊,接诊患者后因详细询问病史,仔细体格检查,抓住病史特点及临床体征,选择最佳辅助检查,以提高临床的治愈率。





















