
探讨咽后间隙异物取出术的手术路径。
回顾分析1例经颈侧切开入路取出咽后间隙鱼刺患者的临床资料。
鱼刺顺利取出,未出现手术并发症。
针对颈部软组织内包埋性异物,支撑喉镜入路和颈侧切开入路各有优势,应根据患者术前影像结果采取恰当的手术入路。
版权归中华医学会所有。
未经授权,不得转载、摘编本刊文章,不得使用本刊的版式设计。
除非特别声明,本刊刊出的所有文章不代表中华医学会和本刊编委会的观点。
颈部软组织内包埋性异物在临床工作中较少见,异物的定位与取出难度大,且定位需借助CT及三维重建,手术入路有支撑喉镜入路和颈侧切开入路。荆门市第一人民医院耳鼻咽喉科近期收治1例咽后间隙异物患者,首先行支撑喉镜入路探查,未成功找到异物,后改经颈侧切开入路,成功取出异物,现报告如下。
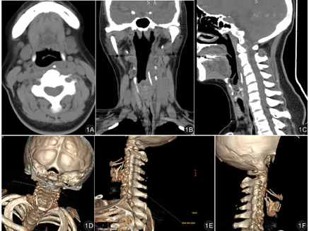
患者,女,52岁,因"误吞鱼刺2 d"收入院。查体:患者生命体征平稳,口咽部黏膜无充血异常,喉咽部黏膜稍有肿胀,未见明显异物残端。喉镜下咽喉各壁未见异物征象,损伤痕迹不明显。颈部CT平扫+三维重建示:平扫示咽部偏左侧(约会厌平面至环状软骨平面)见纵行线状高密度影,周围软组织肿胀。食管上段显示尚清,未见明显异常。见图1。


患者给予全身麻醉,常规消毒铺巾,支撑喉镜经口进入挑起会厌,探查咽后壁黏膜,未探寻到异物,遂退出支撑喉镜。术后行抗炎雾化治疗3 d,然后再次于门诊查电子喉镜,均未见异物残端露出。与患者交代病情后,拟行颈侧入路异物取出术。手术记录如下:全身麻醉,消毒铺巾后,在舌骨和甲状软骨上缘投影中间位做一水平横行切口,约6 cm。逐层切开皮肤、皮下组织、颈前肌,向左侧分离暴露甲状软骨上角与胸锁乳突肌间隙,切断咽缩肌,顺此间隙分离至左侧梨状窝后外侧,切口上缘分离至下颌下腺下缘。循左侧梨状窝后外侧肌肉切开探查,见一长约2.5 cm的鱼刺暴露,完整取出,依次缝合切口,敷料包扎,术闭。
术中取出一鱼刺,大小2.5 cm×0.3 cm,见图2。术中出血不多。术后行抗感染及颈部切口换药,术后1周切口拆线,切口愈合良好。


颈部软组织内包埋性异物在临床工作中较少见[1,2]。段洪刚等[3]搜集5年内421例初诊为食管异物者,仅有10例位于咽及食管腔外,颈部软组织内包埋性异物大多数有异物吞咽史或创伤史,再结合其临床表现和影像学检查(X线和CT),诊断较容易。但颈部神经、血管丰富,解剖结构复杂,筋膜间隙(椎前间隙、咽后间隙、咽旁间隙等)较多,故经颈侧入路异物取出术的手术难度相对较大,手术风险相对较高。异物的精确定位与手术入路的恰当选择对成功取出异物至关重要。对异物的精确定位,大多数医院已能够做到,在手术入路的选择上,临床上有经口内径路和颈侧切径路两种术式[4,5]。
经口内径路有以下优势:①在患者病史较短的情况下,异物迁移的机会不大,循喉咽后壁可疑创道探查异物可能性的存在;②咽旁间隙较咽后间隙而言,其毗邻的重要神经、血管较多,故经口内径路相对于颈侧切开入路来说损伤神经血管的概率较小;③喉咽后壁距离异物最近,经此径路对异物周围组织的损伤最小,且手术时间相对较短。经口内经路的不足之处在于操作空间狭小,在咽喉后壁无明显创伤的情况下,探查具有一定的盲目性,视野受限,手术创伤术中止血不易,故手术成功率较低。有学者认为咽后间隙或者咽旁间隙异物采用侧裂喉镜+30°膀胱镜有助于提高手术成功率[3]。同时也有文献报道采用支撑喉镜联合术中X线取咽后间隙异物成功的案例,在有条件的医院也可尝试[6]。
经颈侧切入路具有以下优势:明视下操作视野好,探寻手术范围广,依循解剖路径可以避免对重要的神经血管造成意外创伤,术中出血易于控制,异物取出成功率较高。颈侧入路的劣势在于手术路径长,手术所需时间长,且手术损伤相对较大,颈侧切对医师颈部解剖要求高。再者,手术过程对颈部组织的牵拉挤压可造成异物的迁移,从而使异物的探寻难度增大。针对本病例而言,我们为了尽量减少手术创伤,在支撑喉镜下探查试取,失败后再改颈侧切开。
关于鱼刺如何到达该部位,推测有以下两种可能:其一,下咽后壁黏膜较薄弱,鱼刺刺入后伴随患者吞咽后完全没入;其二,食管入口处前后壁均为骨质,而侧壁仅为软组织包绕,所以鱼刺在吞咽动作的动力作用下易于自食管侧壁进入颈侧部,即鱼刺迁移到颈部的可能。所谓迁移性异物,即指电子喉镜或食管镜检查阴性而影像检查扫描阳性,术中取出的鱼刺尖锐、质硬、直径较短,这也是异物在颈部游走的原因所在[7,8,9]。由此可见,在临床工作中高度怀疑咽喉、食管异物的情况下,电子喉镜及胃镜检查阴性并不能排除异物经食管进入颈部或者胸腔的可能性。应及时行颈部CT及三维重建明确有无异物及异物所在部位,并确定异物与周围组织的关系,医师应根据患者术前影像学结果及患者的具体情况采取恰当的手术方式。





















