
Littre疝是Meckel憩室的罕见并发症,指憩室嵌入疝囊形成的特殊类型嵌顿疝,需要外科手术治疗,术前常难以明确诊断,多于术中探查发现。特在此对超声检查中发现的1例儿童Littre疝做一报道。
版权归中华医学会所有。
未经授权,不得转载、摘编本刊文章,不得使用本刊的版式设计。
除非特别声明,本刊刊出的所有文章不代表中华医学会和本刊编委会的观点。
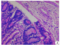
患儿,男,8岁,以"左侧腹股沟区不可复性肿物1 d余"为代主诉入院。1 d前家属发现患儿左侧腹股沟区出现一肿物,固定不能还纳,伴呕吐8次,非喷射性,为胃内容物,量较多,并伴腹痛、腹胀,无畏寒、发热,无腹泻、便秘,就诊于当地医院,考虑小肠梗阻,予以开塞露灌肠及输液等对症治疗,具体用药不详,症状无明显缓解,遂急诊转入院。入院后查体:患儿一般情况可,心、肺查体未见明显异常;腹膨隆,全腹轻压痛,无反跳痛;男性外阴;左侧腹股沟区触及一肿物,大小约3.5 cm×2.5 cm×2.5 cm,边界清,表面光滑,呈椭圆形,质韧,伴触痛,未坠入阴囊。用手将其向上进行挤压,不可还纳入腹腔,指压外环见外环口增宽。右侧腹股沟区未及肿物。双侧睾丸阴囊内未触及。血常规:白细胞计数(WBC)12.2×109/L,中性粒细胞百分率(NEUT) 49.3%。超声检查:①左侧腹股沟区可及一混合回声,大小约4.5 cm×1.8 cm×2.3 cm,边界清,其内为肠管回声,并可见一段异常肠袢,大小约2.5 cm×1.5 cm,壁增厚,回声减低,其一端与小肠相连,一端为盲端。此肿物向上延伸与腹腔相通,测疝径0.7 cm。见图1、图2。②双侧睾丸均位于腹股沟管,大小正常,轮廓规则,回声均匀。腹部DR平片:上腹部肠管胀气,并可见一长气液平面,中下腹部较密实,考虑肠梗阻。初步诊断为:1.左侧腹股沟嵌顿疝;2.不全性肠梗阻;3.双侧隐睾。遂于全身麻醉下行腹腔镜探查,术中见左侧腹股沟管内环口未闭,直径约0.8 cm,肠管位于内环口内,左侧睾丸位于左侧腹股沟管,可被牵拉入阴囊内,松手后睾丸回缩入腹股沟管内。右侧股沟股管内环口未闭,直径约0.5 cm,探查腹股沟管内环口远端约2.0 cm处可见睾丸回声,不能拉入阴囊内,向患儿家属告知病情后,暂不予以特殊处理。术中证实为左侧腹股沟嵌顿疝。腔镜直视下给予左侧腹股沟嵌顿疝复位,复位成功后见嵌顿肠管系膜对侧有一约1.5 cm×3.0 cm憩室,充血水肿,邻近肠管缺血坏死,长度约10.0 cm。首先于腔镜下常规行左侧疝囊高位结扎术,并沿脐窝下褶皱切口,用无损钳将憩室提出,处理回肠及憩室对应系膜,切除此段坏死肠管约10.0 cm及憩室,行端端吻合,全层间断缝合,浆肌层包埋,关闭系膜孔,逐层缝合切口。术后病理示:光镜下憩室内衬肠黏膜,肠壁及憩室淤血水肿、局部出血、少许炎细胞浸润(图3),考虑(回肠)Meckel憩室。术后患儿恢复良好,切口无明显疼痛,痊愈出院,术后1个月电话随访,状况良好,无特殊不适,疝无复发。




Meckel憩室是胚胎发育第5周时卵黄管退化不全,形成开口于回肠的异常肠袢,是胃肠道最常见的先天性异常之一,人群发病率约2%[1,2]。其是一种先天性真性憩室,由肠壁的各层组织构成(黏膜层、黏膜下层、肌层和浆膜层),通常发生在回肠系膜的对侧,距离回盲瓣约30~90 cm,憩室平均长约5 cm,基底宽约2 cm[3]。有研究认为Meckel憩室并发症的发生率约4%,在儿童期更为常见[4,5],主要并发症有消化道出血、憩室炎和肠梗阻,Littre疝是其罕见的并发症。大部分患儿以反复便血就诊,是由于憩室内多含有胃和胰腺等异位黏膜[6],分泌酶及酸性物质引起小肠溃疡,导致出血与穿孔。有研究显示,所有出现症状的Meckel憩室均应被切除,但对于偶然发现无症状Meckel憩室的切除仍存在较大争议[2,7]。
Littre疝由法国外科医生Alexis Littre于1700年首次报道,指小肠憩室(通常是Meckel憩室)嵌入疝囊形成的特殊类型嵌顿疝。Littre疝在腹部不同部位发病率不同,最常见于右侧腹股沟区,约50%表现为腹股沟疝,20%为股疝,20%为脐疝,10%为其他部位疝[2,3]。Littre疝的临床表现、症状和体征不典型,可以表现为恶心、呕吐、腹痛和腹胀等,并且不同于其他类型嵌顿性疝,其可以不出现肠梗阻表现。当疝内容物仅有憩室时,肠内容物通行顺畅,这与Richter疝的临床表现相似。通常根据疝内容物是否仅为Meckel憩室,临床上将其分为以下2型:Ⅰ型,疝内容物为单纯Meckel憩室;Ⅱ型,疝内容物为Meckel憩室及部分肠管。本例患儿属于Ⅱ型,Meckel憩室在疝囊内呈炎症改变,与疝囊之间存在纤维粘连带,伴有黏膜的缺血损伤及溃疡。既往多采用腹股沟斜切口,疝囊高位结扎+Meckel憩室完整切除[8],本例中经腹腔镜下疝囊复位后,于脐下方皮肤弧形切口处,拖出Meckel憩室行回肠切除吻合术,此法手术切口小,不影响美观,对患儿今后身心发展影响小,且方便处理腹腔内感染。
超声检查是诊断各种类型疝的首选检查方法,优于其他影像学检查,准确性和敏感性较高。高分辨力超声能明确疝内容物的性质,提示疝内肠壁有无水肿、穿孔,周围有无渗出、粘连等重要信息,利于临床选择合理的治疗方法。Littre疝超声表现有以下特点:①疝囊内可见一段异常肠袢,呈具有盲端的管状结构,一端与回肠相连;②疝囊内除异常肠袢外,可伴或不伴其他肠管;③异常肠袢位置固定,黏膜层、肌层及浆膜层不同程度的增厚,肠壁回声减低,边界模糊,考虑伴发憩室炎;④异常肠袢腔内张力减低,壁连续性中断,周围可见无回声液区,考虑伴发憩室穿孔。
超声和CT的作用至关重要,但术前仍难以明确诊断[9,10],多于术中探查发现。所以,应提高对此类疾病的认识,尤其对于嵌顿疝患儿,应仔细辨别疝内容物性质,评估疝内肠壁炎症损伤情况,这对患儿手术方式的选择及临床预后的评估有重要意义。





















