
急性脑病(acute encephalopathy)是儿童期,尤其在婴幼儿期神经系统较常见疾病。急性脑病伴双向发作及后期弥散降低(acute encephalopathy with biphasic seizures and late reduced diffusion,AESD)是其中的新亚型,为伴热性惊厥持续状态、远期认知损害及局部脑萎缩的急性脑病,可伴有远期严重认知功能损害。额叶受累为主的急性婴儿期脑病(acute infantile encephalopathy predominantly affecting the frontal lobes,AIEF)被视为AESD的特殊亚型,受累部位主要在额叶。提高对儿童急性脑病的认识,尽早做出诊断具有重要意义。
版权归中华医学会所有。
未经授权,不得转载、摘编本刊文章,不得使用本刊的版式设计。
除非特别声明,本刊刊出的所有文章不代表中华医学会和本刊编委会的观点。
急性脑病(acute encephalopathy)是儿童期,尤其在婴幼儿期神经系统较常见疾病,通常表现为病毒感染后的惊厥持续状态、昏迷等症状。目前,儿童期急性脑病某些亚型的临床表现、实验室检查及影像学改变已经被逐步认识。如Reye syndrome(RS)[1]和出血性脑病休克综合征(hemorrhagic shock and encephalopathy syndrome,HSES)[2]均为脑组织广泛水肿受累,RS是以反复呕吐后抽搐、昏迷、肝酶及肌酶升高、前凝血酶降低、低氨血症、低血糖为特征,HSES是以血管内凝血伴严重低血压为特征。还有以特定脑区受累为主要表现的脑病亚型,如偏侧抽搐-偏瘫综合征是以单侧肢体阵挛发作、持续意识障碍、后期同侧肢体痉挛性偏瘫为主要特征[3];急性坏死性脑病(acute necrotizing encephalopathy,ANE)是以丘脑为主的对称性水肿、梗死为特征,也可累及脑白质、脑干及小脑[4]。此外,某些脑炎也有局灶性受累特征,如单纯疱疹脑炎、急性播散性脑脊髓炎(acute disseminated encephalomyelitis,ADEM)[5]。现对急性脑病伴双向发作及后期弥散降低的相关进展进行综述,以期提高对此类疾病的认识。
最近发现,儿童期急性脑病的新亚型AESD及其特殊类型额叶受累为主的急性婴儿期脑病(acute infantile encephalopathy predominantly affecting the frontal lobes,AIEF),二者发病机制及临床特点相似,可归属为伴热性惊厥持续状态的急性脑病(acute encephalopathy with febrile convulsive status epilepticus,AEFCSE),或感染后细胞毒性脑病[6,7]。AEFCSE多与病毒感染有关,尤其是流感病毒A、人类疱疹病毒6型(human herpes virus 6,HHV-6)和麻疹病毒[8,9]。
AESD在日本相对多发,由日本学者首先报道,是儿童期急性感染相关性脑病的最常见亚型,在急性脑病患儿中约占30%,每年发病120~200人次[10]。AESD主要表现为病程早期发生的热性惊厥持续超过30 min,多在病程第1天发生,早期惊厥常为神经系统首发症状,继而出现成簇复杂局灶性发作,所谓双向抽搐即指首发抽搐控制后间隔数日再次出现抽搐发作,至病程第4-6天可出现意识障碍加重,可遗留中至重度神经系统后遗症。在双向抽搐发作期间,一些患儿表现为持续性意识障碍,有助于提示早期诊治。有20%~30%的患儿仅有轻度或无意识障碍,且不伴其他神经系统症状[11]。早期抽搐发作后不伴有意识障碍及影像学异常者易误诊为复杂性或延长性热性惊厥(prolonged febrile seizure,PFS)。
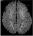
AESD的发病机制目前尚不清楚。由于在日本区域多发,提示其发病有一定遗传倾向性,已经发现相关基因变异及多态性,包括神经元钠通道α1亚单位SCN1A基因发生了错义突变(V982L)及肉碱棕榈酰转移酶Ⅱ(CPTⅡ)基因多态性位点(F352C、V368I、M647V)可能与AESD发病相关[12,13]。神经元兴奋性毒性损伤被认为是导致AESD发病的主要机制之一[14]。血管内皮损伤诱导产生大量炎性因子。在AESD患儿中发现白细胞介素(IL)-6水平升高,脑脊液IL-6升高有助于保护缺血及兴奋性毒性损伤[14],但IL-6与TNF-α可导致严重肝损伤[15]。AESD常出现肝功能异常,其早期AESD指数[天冬氨酸转氨酶(AST)×乳酸脱氢酶/丙氨酸氨基转移酶]即可明显升高,AST多于起病后2周升高最显著,1~2个月后可逐渐恢复至正常水平[15]。AESD患儿常有血清肌酐(Cr)水平升高,并可作为AESD的一个临床危险因素或鉴别点[16]。Cr升高并非代表肾衰竭,至今尚未发现AESD合并肾衰竭的病例,Cr升高的原因可能是兴奋性毒性神经损伤后出现能量供给不足,使脑内肌酸分解供能时产生过多的Cr,同时存在的血脑屏障破坏使其易于释放入血[17,18,19]。过去认为高脂血症是能量不足的代偿反应,与AESD发病机制无关。有研究指出,在头外伤及感染性脑疾患中,高脂血症通常提示预后不良[20,21]。高脂血症诱发脑损伤的可能涉及细胞内酸化、细胞外谷氨酸堆积、脑水肿、血脑屏障破坏等机制[22,23]。高脂血症通过进行性脑血管损伤破坏血脑屏障,内皮细胞基膜是维持血脑屏障完整性关键成分,内皮细胞基膜基质金属蛋白9(MMP9)及基质金属蛋白组织抑制剂1(TIMP-1)在血脑屏障破坏的病理过程中起到重要作用[24]。此外,还有学者提出,脑脊液S100B和tau蛋白作为神经轴突损伤标志也是早期诊断AESD的参考指标之一[25]。急性期脑电图监测到高波幅慢波是AESD的常见表现,但其早期诊断价值仍有争议[26]。AESD典型头部磁共振特点:在病程第1、2天无明显异常,于病程第3-9天出现皮质下白质病灶,呈现"亮树征(Bright tree appearance,BTA)",以弥散加权成像(DWI)更为明显(图1)。磁共振波谱分析(MRS)可见Glx(谷氨酸与谷氨酰胺复合物)升高[27]。早期影像学检查多无异常,对AESD早期诊断帮助不大,但有助于同一些特殊类型脑病的鉴别,如急性坏死性脑病(acute necrotizing encephalitis,ANE)、轻度脑炎/脑病伴胼胝体压部可逆性病变(mild encephalitis/encephalopathy with a reversible splenial lesion,MERS)等[10]。


尽早确诊并给予及时恰当的治疗对AESD预后尤为重要。2012年日本Hoshino提出了AESD的诊断标准(表1)[10],随后2015年Tada[27]依据早期临床表现、实验室数据、影像学检查及脑电图监测提出AESD预测评分表用于AESD早期诊断(表2)。

急性脑病伴双向发作及后期弥散降低诊断标准
Diagnostic criteria of acute encephalopathy with biphasic seizures and late reduced diffusion
急性脑病伴双向发作及后期弥散降低诊断标准
Diagnostic criteria of acute encephalopathy with biphasic seizures and late reduced diffusion
| 1.发热24 h内出现抽搐发作(多为惊厥持续状态) |
| 2.继之意识状态短暂性恢复 |
| 3.病程第4-6天再次出现抽搐发作(多为成簇局灶性发作),继之出现意识障碍 |
| 4.感染病原体:多为流感病毒、HHV-6、HHV-7 |
| 5.病程第1-2天头部MRI正常 |
| 6.病程第3-9天头部MRI DWI见皮质下白质高信号病灶,T2和FLAIR加权像可显示沿U形纤维分布的高信号 |
| 排除其他疾病:ADEM、偏侧惊厥-偏瘫-癫痫综合征、血管炎、代谢性脑白质病 |
注:HHV:人类疱疹病毒;MRI:磁共振成像;DWI:弥散加权成像;FLAIR:磁共振成像液体衰减反转恢复序列;ADEM:急性播散性脑脊髓炎
HHV:human herpes virus;MRI:nuclear magnetic resonance imaging;DWI:diffusion weighted image;FLAIR:magnetic resonance imaging liquid attenuation inversion recovery sequence;ADEM:acute disseminated encephalomyelitis

急性脑病伴双向发作及后期弥散降低的预测评分表
Predictive scores table of acute encephalopathy with biphasic seizures and late reduced diffusion
急性脑病伴双向发作及后期弥散降低的预测评分表
Predictive scores table of acute encephalopathy with biphasic seizures and late reduced diffusion
| 1.早期抽搐发作12~24 h的意识水平 | 评分 |
| GCS15或JCS0 | 0 |
| GCS14-13或JCS1-3,GCS12-9或JCS10-30 | 2 |
| GCS8-3或JCS100-300 | 3 |
| 2.年龄18个月以下 | 1 |
| 3.抽搐持续时间超过40 min | 1 |
| 4.机械通气 | 1 |
| 5.入院时天冬氨酸转氨酶升高超过40 U/L | 1 |
| 6.入院时血糖升高超过200 g/L | 1 |
| 7.入院时血清肌酐升高超过0.35 g/L | 1 |
注:GCS:Glasgow昏迷评分量表;JCS:日本昏迷评分量表
GCS:Glasgow Coma Scale,JCS:Japan Coma Scale
AIEF由日本Yamanouchi等[28]首先提出,2006年定义该病并提出诊断标准(表3)[29],目前主流观点认为AIEF是AESD的特殊类型。AIEF主要发生于发育正常儿童,可有前驱病毒感染史,病初为发热24 h内出现惊厥持续状态,之后伴有不同程度昏迷,持续2~20 d,随后意识逐渐恢复,所有患儿表现出运动功能受损及认知语言功能倒退,部分伴有刻板运动、情绪障碍和木僵,持续数月至数年,认知障碍的恢复多晚于运动功能恢复,部分患儿无法完全恢复。

额叶受累为主的急性婴儿期脑病的试用诊断标准
Tentative diagnosis criteria of acute infantile encephalopathy predominantly affecting the frontal lobes
额叶受累为主的急性婴儿期脑病的试用诊断标准
Tentative diagnosis criteria of acute infantile encephalopathy predominantly affecting the frontal lobes
| 1.婴幼儿期急性脑病继发于病毒感染发热性疾病:惊厥持续状态伴较长时间意识障碍 |
| 2.神经系统表现提示额叶功能受损:意识障碍恢复后出现明显运动功能障碍、语言功能倒退 |
| 3.影像学以额叶为主的选择性皮质损害:初为水肿征象及高灌注,逐渐额叶低灌注及萎缩 |
| 4.缺乏实验室及影像学神经系统感染、炎症疾病和系统性代谢性疾病证据 |
AIEF的发病机制目前还不清楚,多认为由局灶性病毒感染引起,病毒感染通过诱发细胞因子释放引起脑组织的靶向毒性作用及抽搐后脑损伤[15]。部分患儿血清Cr升高,可能与惊厥发作持续时间长有关,其他生化指标无明显异常[28]。脑脊液较血清IL-6升高,提示有免疫机制参与。对于IL-6升高的作用影响目前仍有争议,可能同时具有神经保护及损伤双重影响。IL-6对兴奋性毒性神经损伤具有神经保护作用。持续性惊厥可引起氧化应激和神经元钙蓄积,导致线粒体释放细胞色素C,激活Caspase-3、Caspase-7等神经元促凋亡通路[30]。神经元产生IL-6可通过激活兴奋性受体对兴奋毒性引起的神经元凋亡起保护作用。另一方面,IL-6也可能导致神经元损伤,IL-6高表达的转基因大鼠可出现血脑屏障破坏、神经退行性变、共济失调、惊厥、震颤等表现[31]。此外,持续惊厥可以引起突触前终末释放大量谷氨酸,引起突触后N-甲基-D-天冬氨酸(NMDA)和非NMDA受体兴奋性增高,导致大量钙离子进入突触后神经元,通过激活Caspase-3、Caspase-7,导致神经元凋亡、坏死[32]。同时,非NMDA受体促使钠离子进入神经元及星形胶质细胞,引起细胞毒性水肿。氧化应激促使线粒体释放细胞色素C,也可导致神经元凋亡。因此,检测脑脊液细胞色素C、细胞因子、IL-6有助于评估AIEF脑损伤。AIEF的特征性影像学改变为抽搐后急性期DWI可见双侧额叶水肿,T2加权像有时可见损伤病灶的高信号改变。单光子发射CT成像在病程10 d可见双侧额叶皮质及皮质下白质灌注降低,继之出现脑萎缩,后期改变有助于明确诊断该病[15]。以上影像学特征性改变提示AIEF的主要受累部位在额叶,但其选择性额叶受累机制尚不明确。因发育中大脑的兴奋及抑制性受体亚单位的表达具有年龄依赖性及区域特异性,此类研究可能有助于阐明这一问题。通过磁共振波谱分析(MRS)技术评估谷氨酸及γ-氨基丁酸神经递质水平对揭示AIEF额叶选择性损害机制也可能有重要意义[33]。AIEF与AESD的临床特点相似,见表4。

AESD和AIEF的临床特点
The clinical features of AIEF and AESD
AESD和AIEF的临床特点
The clinical features of AIEF and AESD
| 作者 | 类型 | 例数 | 年龄 | 急性期 | 后遗期 | 影像学 | 可能病原 |
|---|---|---|---|---|---|---|---|
| Mizuguchi等[15]和Yamanouchi等[29] | AIEF | 10 | 7~27个月 | 发热24 h内出现惊厥持续状态惊厥持续时间:30~110 min昏迷时间:2~20 d | 意识障碍恢复后的运动、语言倒退刻板运动情绪障碍 | 急性期:DWI示双侧额叶皮质及皮质下白质高信号(2/10例)后期:额叶皮质萎缩(所有) | 流感病毒A(3/10例),HHV-6(3/10例),麻疹病毒(1/10例),非特异性(3/10例) |
| Yoshinari等[34] | AIEF | 10 | 8~26个月 | 发热之前或之后的2次惊厥惊厥持续时间:45~120 min意识障碍持续时间:2~17 d | 智力落后(4/10例)四肢瘫(2/10例) | 急性期:DWI示额叶皮质下白质高信号(6/10例)后期:SPECT示额叶低灌注(所有) | HHV-6(所有) |
| Takanashi等[11] | AESD | 17 | 10个月~4岁 | 发热24 h内出现长时间惊厥惊厥持续时间:>30 min病程4~6 d:成簇复杂局灶性发作、意识障碍(双向期) | 发育正常(1/17例)轻中度智力落后(4/17例)重度智力落后(12/17例) | 急性期:病程第1-2天,MRI正常;第3-9天,DWI示额叶为主的高信号后期:脑萎缩 | HZV(1/17例),HHV-6(3/17例),HHV-7(1/17例),流感病毒A(3/17例),流感病毒B(1/17例),腺病毒(1/17例) |
| Takanashi等[35] | AESD | 2 | 11个月、12个月 | 发热24 h内出现短暂全面强直阵挛发作惊厥持续时间:1~2 min病程第5天:惊厥复发(双向期),意识障碍1~2 d | 发育正常 | 急性期:病程第5-6天,DWI额叶高信号,其中1例伴顶叶高信号后期:中度脑萎缩 | 流感病毒A |
| Traul等[36] | AESD | 1 | 18个月 | 发热并出现继发性全面性发作惊厥持续时间:30 min病程第3天:2次短暂局灶性发作(双向期) | 复杂局限性发作后:右上肢瘫、语言倒退、全面性发育落后(1年后) | 急性期:DWI示顶颞叶为主的白质高信号后期:顶颞叶中度脑萎缩 | - |
| Kuya等[37] | AESD | 1 | 16个月 | 发热并出惊厥持续状态惊厥持续时间:50 min病程第5天:出现成簇性惊厥发作(双向期) | 发育落后 | 急性期:DWI示额叶为主的白质高信号后期:额叶中度脑萎缩 | - |
注:AESD:急性脑病伴双向发作及后期弥散降低;AIEF:额叶受累为主的急性婴儿期脑病;DWI:弥散加权成像;SPECT:单光子发射计算机断层成像术;MRI:磁共振成像;HHV:人类疱疹病毒;HZV:水痘带状疱疹病毒
AESD:acute encephalopathy with biphasic seizures and late reduced diffusion; AIEF:acute infantile encephalopathy predominantly affecting the frontal lobes; DWI:diffusion weighted imaging;SPECT:single photon emission computed tomography; MRI:nuclear magnetic resonance imaging;HHV:human herpesvirus; HZV:varicella zoster virus
主要应注意AESD与热性感染相关性癫痫综合征(febrile infection-related epilepsy syndrome,FIRES)相鉴别。FIRES是发热后出现的一种恶性癫痫综合征,起病年龄多为4~9岁,发热后即出现癫痫发作,并于开始24 h内迅速加重为癫痫持续状态或者发作频率增加至每天数十次到数百次,发作间期意识丧失,多为局灶性发作或局灶性发作伴泛化,多为颞叶、额叶起源,也见于中央、顶、枕区,少数为双侧脑区放电。FIRES诊断需排除其他脑炎或脑病方可确立,大多数患儿遗留认知水平降低或难治性局灶性发作[38]。其发病机制尚未完全明确,可能与感染、免疫因素或炎症介导有关[39],抗癫痫药物或免疫调节治疗效果不理想[40]。
此类疾病主要累及皮质,其发病机制可能有特殊性,与主要累及白质的其他类型脑病不同,类固醇激素冲击治疗及免疫球蛋白治疗AESD效果并不理想[41]。有报道称,环孢素可以改善AESD患儿预后,但对额叶受累为主(AIEF)者效果欠佳[42]。Iwata等[43]提出,早期亚冬眠治疗对阻止脑损伤后继发性能量衰竭有一定疗效,但亚冬眠治疗对于儿童期急性脑病超过12 h的脑损伤无效[44]。AESD患儿脑脊液tau蛋白及MRS中Glx在病程第2-3天即可升高[11,25],提示病初即发生了脑损伤。因为AESD与AIEF早期确诊困难,加之亚冬眠属侵入性治疗,仅在出现双向发作或特征性MRI改变能够明确诊断时才建议使用。所以,对于AESD与AIEF脑损伤容易错过最佳治疗时机,目前仍是棘手的问题。
本文综述了伴热性惊厥持续状态及远期认知功能损害的急性脑病新类型AESD,AIEF与AESD的发病机制和临床特点相似,二者均为伴热性惊厥持续状态、远期认知功能损害及局部脑萎缩的急性脑病,可能均属于感染相关脑功能障碍谱系疾病,主要区别在于受累部位不同。目前对于急性期及后期头部MRI改变的机制仍有争议,可能与缺氧缺血或神经兴奋毒性损伤有关。AIEF急性期病灶DWI呈高信号,表观弥散系数(ADC)呈低信号,提示皮质及皮质下白质同时存在血管及细胞毒性水肿,晚期影像学所见的脑萎缩可能与炎性因子激发的神经元凋亡有关。此类疾病命名繁杂,但发病机制、临床特点、影像学演变具有相似性,目前尚不能完全确定其间的异同,可将AIEF视为AESD的一种特殊亚型。目前AESD和AIEF均缺乏有效的治疗方法,后期主要依靠康复治疗,多有远期严重认知功能损害,需加强对此类疾病的研究和认识。





















