
本文对少突胶质细胞肿瘤的流行病学、病理、CT、MRI表现及鉴别诊断进行梳理,对其影像表现进行分析和总结。Ⅱ级少突胶质细胞瘤的传统影像学表现为位置表浅,肿瘤呈团块状,密度/信号不均匀,钙化是其主要特征,可囊变,出血、瘤周水肿轻,增强表现呈无强化或轻度强化,同时要与胚胎发育不良性神经上皮瘤、脑炎、脑梗塞做鉴别;Ⅲ级间变型少突胶质细胞瘤常表现为坏死、囊变、出血、瘤周水肿明显,呈明显不均匀强化,应与胶质母细胞瘤及单发转移瘤鉴别。全面掌握少突胶质细胞肿瘤的影像诊断要点,有助于术前分级诊断和鉴别。
版权归中华医学会所有。
未经授权,不得转载、摘编本刊文章,不得使用本刊的版式设计。
除非特别声明,本刊刊出的所有文章不代表中华医学会和本刊编委会的观点。
少突胶质细胞肿瘤(oligodendrogliomas, OGS)是成人常见的胶质瘤之一,患病率仅次于星形细胞瘤,肿瘤具有弥漫浸润生长特点,影像表现多样,术前诊断和鉴别存在困难。近年来,有关OGS的较多研究表明[1, 2, 3],肿瘤的分级、分型与患者对化疗药物的敏感性和预后密切相关,因此术前评估OGS级别意义重大。本文对不同分级OGS的流行病学、病理、影像学表现和鉴别诊断做出梳理总结,旨在提高对该类肿瘤分级诊断的认识。
OGS起源于神经上皮组织,是成熟少突胶质细胞或未成熟的神经胶质前体细胞的肿瘤转化。WHO将OGS分为Ⅱ级少突胶质细胞瘤(oligodendroglioma, OD)和Ⅲ级间变型少突胶质细胞瘤(anaplastic oligodendroglioma, AO)。需要特别提出的是,Ⅲ级AO为原发或由Ⅱ级OD进展而来[1]。
OGS占原发性颅内肿瘤的5%~10%,WHOⅡ级OD好发于40~50岁成年人,WHO Ⅲ级AO平均发病年龄较OD更大,幕上额叶皮层或皮层下白质区是其好发部位。临床表现为头痛、癫痫和局部神经功能缺损。该肿瘤的治疗以手术切除为主,术后应辅以放、化疗。
OD和AO均为实性,位于皮层或皮层下白质区的浸润性肿块。肿瘤界限较清楚,质软,呈灰粉色,无包膜,易钙化,AO较OD囊性变和出血更多见。
OD瘤细胞密度中等,细胞核圆居中,大小一致,比正常少突胶质细胞稍大,胞质透亮,呈典型的煎蛋样或蜂窝状特征,核周有空晕,核分裂象少或无。血管结构显示典型的分支状毛细血管网(图1)。细胞增值指数小于5%;AO瘤细胞密度高,异型性明显,核分裂象多,微血管增生,伴或不伴假栅栏样结构的坏死(图2)。肿瘤细胞核圆深染,核周有空晕,局灶性微钙化常见,血管结构以微血管增生为主(图3),也可见分支状毛细血管[2]。
少突胶质细胞转录因子2(Olig-2)是OGS特异性的免疫组织化学标志物。胶质纤维酸性蛋白(glial fibrillary acidic protein, GFAP)、酸性钙结合蛋白(S-100 protein)通常也有表达。
好发于皮层或皮层下白质区,幕上额叶最常见,其次是颞叶,也可发生于顶叶或枕叶,团块状肿物。CT表现为混杂密度(等/低密度),常有结节状、团块状或脑回样钙化,瘤内囊变多见,出血和瘤周水肿少见,可见肿瘤邻近颅骨扩大、侵蚀。MRI表现病灶边界清楚,信号不均匀,T1WI常呈低、等信号(图4),T2WI呈不均匀高信号(图5),信号不均匀是由于钙化、囊变所致[7]。液体衰减反转恢复(FLAIR)序列呈不均匀高信号,扩散加权成像(DWI)扩散不受限或轻度受限。T2*梯度回波(GRE)或磁敏感加权成像(SWI)可显示瘤内钙化,但MRI对钙化的显示不及CT。强化方式呈无强化(图6)或轻度强化,罕见柔脑膜强化。重点强调的是,若在OD未强化区出现新的强化提示存在恶性进展。MR波谱(MRS)表现为胆碱化合物(Cho)峰增高、N-乙酰天冬氨酸(NAA)峰减低,OD缺乏脂质(Lip)峰/乳酸(Lac)峰,有助于与AO鉴别,2-羟基戊二酸(2-Hydroxyglutarate,2HG)MRS有助于识别IDH突变状态[8]。磁共振灌注加权成像(perfusion-weighted imaging, PWI)提示相对脑血容量(rCBV)增高。
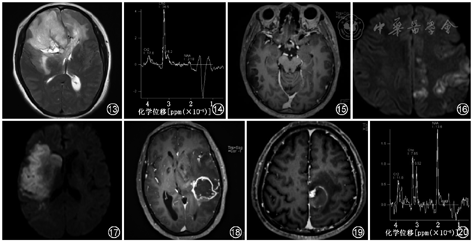
好发位置及肿瘤CT表现与OD相似。常有结节状、团块状或脑回样钙化(图7),瘤内囊变多见,出血、水肿、坏死较Ⅱ级多见(图8),邻近颅骨可扩大、重塑、侵蚀。MRI表现为病灶边界不清楚,信号不均匀,T1WI呈不均匀低信号(图9,10),T2WI呈不均匀高信号,FLAIR序列呈不均匀高信号,DWI扩散不受限或轻度受限。增强扫描强化方式多变,AO较低级别OD强化更多见(图11,12),环状强化少见,若出现常提示预后不良。由于肿瘤呈弥漫浸润(图13),可在异常信号区外发现肿瘤细胞[2]。MRS表现为Cho/Cr升高,NAA峰减低,1.33 ppm可见脂质峰(Lip)/乳酸峰(Lac)(图14)。PWI表现为rCBV明显增高,能帮助鉴别Ⅱ级与Ⅲ级少突胶质细胞瘤和引导活检[9, 10]。
发病年龄在20岁以前,好发于颞叶皮质,边界清楚,信号不均匀,少见钙化。强化方式以无强化(图15)或轻度强化多见。
任何年龄均可发生,临床起病急,病灶累及灰白质,影像表现T2WI呈明显高信号,DWI扩散受限(图16),可见散在强化灶。
发病年龄较大,临床有脑血管病的病史,起病急,病灶位于典型的血管分布区,如大脑中动脉、大脑前动脉、大脑后动脉,若在急性期或亚急性期,病灶累及灰质和白质,常呈楔形,病灶内无钙化,DWI扩散受限(图17);若在亚急性期,病灶呈脑回样强化。
胶质母细胞瘤属于WHO Ⅳ级肿瘤,恶性程度相对较高,发病年龄相对较大,发病部位较深,信号不均匀,95%有坏死核心,出血多见,增强呈明显花环样强化(图18),多有子灶。MRS和DWI特征表现有助于两者的鉴别。Cho/NAA及Cho/Cr比值较AO更高,DWI肿瘤实体部分的信号也高于AO。
OGS呈弥漫浸润生长,是颅内最常钙化的肿瘤,可分为较低级别的OD和较高级别的AO;二者的传统影像学表现为OD发生位置表浅,常位于额、颞、顶叶皮层及皮层下白质区,肿瘤呈团块状,瘤内钙化是其主要特征,可囊变、出血,瘤周水肿轻,增强特征呈无强化或轻度强化;AO内常见坏死、囊变、出血,瘤周水肿明显,多呈明显不均匀强化,环状强化少见,若出现常提示预后不良。当传统影像表现出现交叉时,MRI功能成像如MRS、PWI有提示价值。




中华医学会放射学分会神经学组对本栏目给予大力支持
所有作者均声明不存在利益冲突
1. 少突胶质细胞肿瘤好发于下列哪个部位?()
A. 小脑半球
B. 额叶皮层或皮层下白质区
C. 枕叶
D. 颞叶
2. 与少突胶质细胞肿瘤预后密切相关的分子生物学标志物是下面哪一种?()
A. MGMT
B. P53基因
C. IDH和1p/19q
D. HER2
3. 少突胶质细胞肿瘤最常见的影像学特征是下列哪一项?()
A. 结节状、团块状或脑回样钙化
B. 囊性变
C. 出血、坏死
D. 显著强化
4. 下列哪一项属于间变型少突胶质细胞瘤病理特点?()
A. 分枝状毛细血管网
B. 细胞增殖指数小于5%
C. 细胞核圆居中,核周有空晕
D. 核分裂象多、微血管增生
5. 下列哪一项最可能提示少突胶质细胞肿瘤恶性进展或预后不良?()
A. 发现原有少突胶质细胞瘤未强化区出现新的强化
B. 肿瘤区域内MRS提示 Cho升高,NAA峰减低
C. 肿瘤区域内MRS提示缺乏Lip/ Lac峰
D. PWI提示肿瘤区域rCBV增高





















