
探讨c-myc在系统性间变性大细胞淋巴瘤(ALCL)中蛋白表达和基因异常与临床病理特征、免疫组织分型的关系。
选取ALCL患者87例,应用免疫组织化学EnVision法检测c-myc、间变性淋巴瘤激酶(ALK)、CD3、CD10、CD20、CD30、EMA的蛋白表达情况;应用荧光原位杂交(FISH)技术检测c-myc和ALK基因异常情况;统计分析c-myc蛋白表达和基因异常与各临床病理参数间的关系。
免疫组织化学结果:87例ALCL中,ALK阳性者54例(62.1 %),c-myc阳性者27例(31.0 %),c-myc和ALK蛋白联合表达20例(23.0%)。c-myc蛋白表达率、c-myc和ALK蛋白联合表达率随ALCL临床分期的增加而升高,且在国际预后指数(IPI)高危组中表达率高于低危组(P<0.05)。FISH检测结果:87例ALCL中,50例(57.5 %)发现ALK基因的易位,19例(21.8%)发现ALK基因的多拷贝。所有患者均未发现c-myc基因的易位,但19例(21.8%)检测到c-myc基因的多拷贝。c-myc基因多拷贝的发生率在ALK蛋白阳性和阴性组中差异无统计学意义(P>0.05),在c-myc蛋白阳性和阴性组中发生率差异有统计学意义(P<0.05),在IPI高危组中发生率高于低危组(P<0.05)。
c-myc蛋白表达及基因异常与ALCL临床分期、IPI相关,可作为判断ALCL恶性程度和预测预后的指标。
版权归中华医学会所有。
未经授权,不得转载、摘编本刊文章,不得使用本刊的版式设计。
除非特别声明,本刊刊出的所有文章不代表中华医学会和本刊编委会的观点。
系统性间变性大细胞淋巴瘤(anaplastic large cell lymphoma, ALCL)是外周T细胞淋巴瘤的一个独特亚型,约占成年人非霍奇金淋巴瘤的2%~3%,占儿童大细胞淋巴瘤的15 %~30 %[1]。根据间变性淋巴瘤激酶(anaplastic lymphoma kinase,ALK)表达与否,WHO(2008)淋巴造血组织分类将其分为ALK阳性ALCL和ALK阴性ALCL,两者在临床表现、预后和分子遗传学表型上有明显差异[2]。c-myc是一种原癌基因,定位于染色体8q24,编码由439个氨基酸构成的核蛋白转录因子[3]。研究表明,c-myc基因的异常表达与人类许多恶性肿瘤的发生有关,既能促进细胞增殖和转化,又能抑制细胞分化,介导细胞凋亡,具有双向调节作用[4]。国内外c-myc在相关淋巴瘤中的研究主要集中在伯基特淋巴瘤和弥漫大B细胞淋巴瘤,而在ALCL中的研究较少[5]。本研究在高效组织芯片平台上,采用免疫组织化学法和荧光原位杂交(fluorescence in situ hybridization,FISH)技术检测87例ALCL患者中c-myc和ALK的蛋白表达及基因状况,分析二者相关性及与患者临床病理特征的关系,为ALCL临床诊断和预后判断提供理论依据。
选择2006年1月至2011年12月山西省肿瘤医院确诊的ALCL患者87例存档的石蜡标本,采用HE染色切片,由两位经验丰富的病理医师按WHO新分类(2008年)复查。收集患者临床信息,包括性别、年龄、发病部位、临床分期、国际预后指数(IPI)评分和乳酸脱氢酶(LDH)水平等。另收集21例淋巴结反应性增生标本作为对照。
观察HE切片标记具有代表性的病变区域,在蜡块对应部位选择取材靶点,操作按参考文献[6, ]完成。应用标本采集器逐个取出0.9 mm组织柱,为防止信息丢失每例取出2个组织柱,制成两个6点×18点的组织芯片。石蜡切片厚4 μm,置于经3-氨基烷基硅烷处理过的载玻片上,备用。
采用EnVision两步法,高温高压进行抗原修复,所用一抗有ALK(克隆号1A4)、c-myc(克隆号EP121)、CD10(克隆号56C6),相关抗体购自北京中杉金桥生物技术有限公司;CD3(克隆号SP7)、CD20(克隆号L26)、CD30(克隆号Ber-H2)、EMA(克隆号E29)相关抗体购自福州迈新生物技术开发有限公司。二抗为鼠、兔通用试剂。DAB显色。EnVision检测试剂盒和DAB显色试剂盒均购自北京中杉金桥生物技术有限公司。以ALK阳性ALCL病例作阳性对照,以PBS代替一抗作阴性对照。细胞阳性表达结果呈棕黄色或棕褐色。ALK、c-myc的阳性表达部位为细胞质或细胞核;CD3、CD10、CD20、CD30阳性表达部位为细胞膜。结果在光学显微镜下随机观察5~ 10个高倍(× 400)视野计数500个肿瘤细胞。c-myc依据Valera等[7]的报道按阳性细胞占肿瘤细胞的百分比<10 %、≥10%记作阴性、阳性。ALK按百分比<5 %、≥5%记作阴性、阳性。其余指标依据百分比<5%、5%~25%、26%~ 50 %、>50%记作-、+、++、+++。
c-myc和ALK探针均为双色分离重排探针,分别购自美国Cymogen和Vysis公司。c-myc探针试剂盒分别用长度为325 kb的CYMO-Orange和长度为730 kb的CYMO-Green标记位于8q24 c-myc基因两侧的DNA片段,其间隙跨越了c-myc染色体的断裂位点。ALK探针试剂盒分别用长度为300 kb的Spectrum Orange和长度为442 kb的Spectrum Green标记位于2p23ALK基因断点两侧的DNA片段,其间隙跨越了2p23染色体的断裂位点。操作按探针说明书进行:切片置于65 ℃烘烤过夜。常规脱蜡、水化,90 ℃水浴箱反应30 min;蛋白酶K工作液(20 mg/ml)37 ℃消化20 min; 2×SSC溶液中漂洗2次,每次6 min;甲醛固定10 min,梯度乙醇脱水,玻片自然干燥后加相应的探针,置于原位杂交仪83 ℃ 5 min,使DNA及探针变性,45 ℃杂交16 h。之后,以梯度SSC液清洗,加DAPI封固,在4 ℃下避光静置10 min。用荧光显微镜(Olympus, BX 51)观察结果,以ProgRes CapturePro 2.5软件采集图像。以已知的相应基因异常病例作为阳性对照,以淋巴组织反应性增生病例作为阴性对照,以杂交缓冲液代替探针作为空白对照。
正常情况下,细胞核中呈现红色和绿色融合而成的2个黄色信号。当基因断裂时,红色和绿色信号分离,细胞核中出现1个黄色信号,1个单独的红色和1个单独的绿色荧光信号(分离直径大于两个信号直径之和)。荧光显微镜下计数100个信号清楚的肿瘤细胞,>10%的肿瘤细胞出现分离信号为阳性;若同一细胞核内出现3个或3个以上黄色信号视为基因拷贝数增加[8]。
应用SPSS 22.0统计软件,率的比较采用χ2检验,非参数检验用Kruskal-Wallis、Mann-Whitney秩和检验,以P<0.05为差异有统计学意义。
87例患者中,男性52例(59.8 %),女性35例(40.2 %);发病年龄为7~ 74岁,中位年龄42岁;原发结内83例,结外4例(髂骨、头皮、腰大肌、左大腿各1例);按Ann Arbor分期法进行临床分期:Ⅰ期13例,Ⅱ期19例,Ⅲ期41例,Ⅳ期14例;IPI评分:0~ 2分(低危及中低危组)45例(51.7 %),3~ 5分(中高危及高危组)42例(48.3 %);LDH水平:<248 U/L 60例(69.0 %),≥248 U/L 27例(31.0 %);无B症状65例(74.7 %),有B症状22例(25.3 %);结外累及:≤1个76例(87.4 %),>1个11例(12.6 %);无骨髓浸润73例(83.9 %),有骨髓浸润14例(16.1 %)。
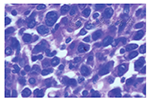
镜下可见典型的肿瘤细胞,表现为细胞体积大,胞质丰富,核大、异型性明显、呈肾形或马蹄形(图1)。87例ALCL中,ALK阳性者54例(62.1 %),其中45例ALK为胞质及胞核阳性(图2A),9例仅胞质阳性(图2B)。87例ALCL中,c-myc阳性者27例(31.0%),其中25例为胞核阳性(图2C),2例为胞质及胞核阳性(图2D)。在54例ALK阳性者中,20例(37.0 %)c-myc蛋白表达阳性;33例ALK阴性者中,7例(21.2 %)c-myc蛋白表达阳性。在ALK阳性与阴性组中c-myc蛋白表达阳性率差异无统计学意义(χ2=2.397 ,P>0.05)。87例ALCL患者中,c-myc和ALK蛋白联合表达20例(23.0%)。21例淋巴结反应性增生病例中,ALK染色均为阴性,c-myc阳性表达率为9.5 %(2/21),与ALCL中c-myc阳性率比较,差异有统计学意义(χ2=3.985, P<0.05)。


典型的肿瘤细胞,表现为细胞体积大,胞质丰富,核大,呈肾形或马蹄形


2A:肿瘤细胞ALK标记,胞质及胞核内见棕褐色颗粒;2B:肿瘤细胞ALK胞质内表达;2C:肿瘤细胞c-myc胞核内表达;2D:肿瘤细胞c-myc胞核及胞质内表达
c-myc蛋白表达阳性率及c-myc和ALK联合表达阳性率在ALCL的各临床分期和不同IPI评分间差异均有统计学意义(均P<0.05)。进一步采用秩和检验分析显示,二者表达随临床分期的增加而增加(Z=-2.356,P<0.05 ;Z=-2.289 ,P<0.05),在中高危及高危组中表达高于低危及中低危组(Z=-3.673,P<0.05;Z=-2.710,P<0.05)。此外,c-myc蛋白表达在不同LDH水平间差异有统计学意义(P< 0.05),在高LDH水平组中c-myc表达高(Z=-2.301 ,P< 0.05)。c-myc蛋白表达及c-myc和ALK联合表达与患者的性别、年龄、有无B症状、淋巴结外累及数目及有无骨髓浸润不相关(P>0.05)(表1)。

c-myc、ALK蛋白表达与系统性间变性大细胞淋巴瘤(ALCL)患者临床病理特征的关系[例(%)]
c-myc、ALK蛋白表达与系统性间变性大细胞淋巴瘤(ALCL)患者临床病理特征的关系[例(%)]
| 临床病理特征 | 例数 | c-myc蛋白 | χ2值 | P值 | c-myc和ALK联合表达 | χ2值 | P值 | |||
|---|---|---|---|---|---|---|---|---|---|---|
| 阴性 | 阳性 | 阴性 | 阳性 | |||||||
| 性别 | ||||||||||
| 男 | 52 | 32(61.5) | 20(38.5) | 3.331 | 0.068 | 38(73.1) | 14(26.9) | 1.130 | 0.288 | |
| 女 | 35 | 28(80.0) | 7(20.0) | 29(82.9) | 6(17.1) | |||||
| 年龄(岁) | ||||||||||
| ≤60 | 72 | 51(70.8) | 21(29.2) | 0.681 | 0.409 | 55(76.4) | 17(23.6) | 0.091 | 0.762 | |
| >60 | 15 | 9(60.0) | 6(40.0) | 12(80.0) | 3(20.0) | |||||
| 分期 | ||||||||||
| Ⅰ~Ⅱ | 32 | 27(84.4) | 5(15.6) | 5.616 | 0.018 | 29(90.6) | 3(9.4) | 5.299 | 0.021 | |
| Ⅲ~Ⅳ | 55 | 33(60.0) | 22(40.0) | 38(69.1) | 17(30.9) | |||||
| IPI(分) | ||||||||||
| 0~2 | 45 | 39(86.7) | 6(13.3) | 13.646 | 0.000 | 40(88.9) | 5(11.1) | 7.428 | 0.006 | |
| 3~5 | 42 | 21(50.0) | 21(50.0) | 27(64.3) | 15(35.7) | |||||
| LDH水平(U/L) | ||||||||||
| ≤248 | 60 | 46(76.7) | 14(23.3) | 5.357 | 0.021 | 49(81.7) | 11(18.3) | 2.367 | 0.124 | |
| >248 | 27 | 14(51.9) | 13(48.1) | 18(66.7) | 9(33.3) | |||||
| B症状 | ||||||||||
| 无 | 65 | 44(67.7) | 21(32.3) | 0.195 | 0.659 | 51(78.5) | 14(21.5) | 0.305 | 0.581 | |
| 有 | 22 | 16(72.7) | 6(27.3) | 16(72.7) | 6(27.3) | |||||
| 结外累及(个) | ||||||||||
| <2 | 76 | 55(72.4) | 21(27.6) | 3.252 | 0.071 | 60(78.9) | 16(21.1) | 1.272 | 0.259 | |
| ≥2 | 11 | 5(45.5) | 6(54.5) | 7(63.6) | 4(36.4) | |||||
| 骨髓浸润 | ||||||||||
| 无 | 73 | 48(65.8) | 25(34.2) | 2.187 | 0.139 | 55(75.3) | 18(24.7) | 0.714 | 0.398 | |
| 有 | 14 | 12(85.7) | 2(14.3) | 12(85.7) | 2(14.3) | |||||
| ALK蛋白 | ||||||||||
| 阴性 | 33 | 26(78.8) | 7(21.2) | 2.397 | 0.122 | |||||
| 阳性 | 54 | 34(63.0) | 20(37.0) | |||||||
注:ALK为间变性淋巴瘤激酶;IPI为国际预后指数;LDH为乳酸脱氢酶
87例ALCL中,50例(57.5 %)存在ALK基因的易位(图3A),19例(21.8%)存在ALK基因的多拷贝(多为3~5拷贝)。在54例ALK蛋白阳性的病例中,50例(92.6 %)存在ALK基因的易位,其中13例(24.1 %)同时伴有ALK基因的多拷贝(图3B)。在33例ALK蛋白阴性的病例中,未发现ALK基因的易位,但6例(18.2%)存在ALK基因的多拷贝(图3C)。在ALK蛋白阳性和阴性病例中ALK基因多拷贝所占的比例差异无统计学意义(P>0.05)(表2)。

ALK、c-myc基因异常与系统性间变性大细胞淋巴瘤(ALCL)患者临床病理特征的关系[例(%)]
ALK、c-myc基因异常与系统性间变性大细胞淋巴瘤(ALCL)患者临床病理特征的关系[例(%)]
| 临床病理特征 | 例数 | ALK | c-myc异倍体 | P值 | |||||||
|---|---|---|---|---|---|---|---|---|---|---|---|
| 基因重排 | P值 | 异倍体 | P值 | ||||||||
| - | + | - | + | - | + | ||||||
| 性别 | |||||||||||
| 男 | 52 | 19(36.5) | 33(63.5) | 0.168 | 41(78.8) | 11(21.2) | 0.850 | 41(78.8) | 11(21.2) | 0.850 | |
| 女 | 35 | 18(51.4) | 17(48.6) | 27(77.1) | 8(22.9) | 27(77.1) | 8(22.9) | ||||
| 年龄(岁) | |||||||||||
| ≤60 | 72 | 31(43.1) | 41(56.9) | 0.828 | 58(80.6) | 14(19.4) | 0.236 | 61(84.7) | 11(15.3) | 0.001 | |
| >60 | 15 | 6(40.0) | 9(60.0) | 10(66.7) | 5(33.3) | 7(46.7) | 8(53.3) | ||||
| 分期 | |||||||||||
| Ⅰ~Ⅱ | 32 | 18(56.3) | 14(43.8) | 0.048 | 29(90.6) | 3(9.4) | 0.032 | 27(84.4) | 5(15.6) | 0.285 | |
| Ⅲ~Ⅳ | 55 | 19(34.5) | 36(65.5) | 39(70.9) | 16(29.1) | 41(74.5) | 14(25.5) | ||||
| IPI(分) | |||||||||||
| 0~2 | 45 | 27(60.0) | 18(40.0) | 0.001 | 38(84.4) | 7(15.6) | 0.142 | 40(88.9) | 5(11.1) | 0.012 | |
| 3~5 | 42 | 10(23.8) | 32(76.2) | 30(71.4) | 12(28.6) | 28(66.7) | 14(33.3) | ||||
| LDH水平(U/L) | |||||||||||
| ≤248 | 60 | 28(46.7) | 32(53.3) | 0.245 | 50(83.3) | 10(16.7) | 0.082 | 48(80.0) | 12(20.0) | 0.536 | |
| >248 | 27 | 9(33.3) | 18(66.7) | 18(66.7) | 9(33.3) | 20(74.1) | 7(25.9) | ||||
| B症状 | |||||||||||
| 无 | 65 | 28(43.1) | 37(56.9) | 0.859 | 53(81.5) | 12(18.5) | 0.190 | 51(78.5) | 14(21.5) | 0.907 | |
| 有 | 22 | 9(40.9) | 13(59.1) | 15(68.2) | 7(31.8) | 17(77.3) | 5(22.7) | ||||
| 结外累及(个) | |||||||||||
| <2 | 76 | 31(40.8) | 45(59.2) | 0.388 | 61(80.3) | 15(19.7) | 0.212 | 59(77.6) | 17(22.4) | 0.753 | |
| ≥2 | 11 | 6(54.5) | 5(45.5) | 7(63.6) | 4(36.4) | 9(81.8) | 2(18.2) | ||||
| 骨髓浸润 | |||||||||||
| 无 | 73 | 32(43.8) | 41(56.2) | 0.573 | 57(78.1) | 16(21.9) | 0.968 | 58(79.5) | 15(20.5) | 0.506 | |
| 有 | 14 | 5(35.7) | 9(64.3) | 11(78.6) | 3(21.4) | 10(71.4) | 4(28.6) | ||||
| ALK蛋白 | |||||||||||
| 阴性 | 33 | 33(100.0) | 0 | 0.000 | 27(81.8) | 6(18.2) | 0.519 | 28(84.8) | 5(15.2) | 0.238 | |
| 阳性 | 54 | 4(7.4) | 50(92.6) | 41(75.9) | 13(24.1) | 40(74.1) | 14(25.9) | ||||
| c-myc蛋白 | |||||||||||
| 阴性 | 60 | 29(48.3) | 31(51.7) | 0.103 | 47(78.3) | 13(21.7) | 0.954 | 55(91.7) | 5(8.3) | 0.000 | |
| 阳性 | 27 | 8(29.6) | 19(70.4) | 21(77.8) | 6(22.2) | 13(48.1) | 14(51.9) | ||||
注:ALK为间变性淋巴瘤激酶;IPI为国际预后指数;LDH为乳酸脱氢酶


3A: ALK基因易位,肿瘤细胞核中可见典型的分离信号;3B: ALK基因易位合并多拷贝;3C: ALK基因3拷贝;3D:c-myc基因4拷贝
87例ALCL中,均未发现c-myc基因的易位,但其中19例(21.8%)存在c-myc基因的多拷贝(多为3~ 5拷贝)(图3D),在ALK蛋白阳性和阴性病例中分别占25.9 %(14/54)和15.2 %(5/33),两者差异无统计学意义(P> 0.05);在c-myc蛋白阳性和阴性病例中分别占51.9 %(14/27)和8.3 %(5/60),两者差异有统计学意义(χ2=20.660,P<0.05)(表2)。
ALK基因易位和c-myc基因多拷贝比例在不同IPI间差异均有统计学意义(均P<0.05),进一步采用秩和检验分析显示,二者在中高危及高危组中高于低危及中低危组(Z=-3.392,P<0.05 ;Z=-2.493, P<0.05)。ALK基因易位比例在ALCL的各临床分期间的差异有统计学意义,其异常随临床分期的增加而增加(χ2=21.311 ,P<0.05)。c-myc基因多拷贝比例在不同年龄组间差异有统计学意义,在60岁以上发生c-myc基因多拷贝的比例高(Z=-3.227,P< 0.05)。ALK、c-myc基因异常在患者的性别、LDH、B症状、淋巴结外累及数目及骨髓浸润分层间差异均无统计学意义(均P>0.05)(表2)。
现已发现ALK蛋白表达和基因异常可见于多种肿瘤,包括ALCL、神经母细胞瘤、炎症性肌纤维母细胞瘤和非小细胞肺癌[9]。在系统性ALCL中60 %~80%表达ALK蛋白,是ALK阳性ALCL的特征性免疫表型[10]。本组研究中ALK蛋白阳性54例(62.1 %),与文献[11, ]报道基本一致。1994年Morris等[12]发现ALK阳性ALCL中t(2; 5)(p23;q35)染色体易位形成NPM-ALK融合基因,后续研究又发现9种ALK的伙伴基因,其中以NPM-ALK融合基因最常见,约占ALK阳性ALCL的70 %~85 %[13]。NPM基因编码一种核磷酸蛋白,与细胞有丝分裂密切相关,该蛋白含有一个核定位信号,可携带新合成的蛋白进入细胞核,免疫组织化学检测结果显示其表达方式为细胞核与细胞质均阳性[14]。而其他ALK基因变异产物由于不含可以进入细胞核内的位点,其蛋白的表达仅限于细胞质内。本研究中ALK蛋白阳性54例,其中45例为胞质及胞核阳性,提示为经典的t(2; 5)(p23;q35);9例仅胞质阳性,提示有其他类型ALK基因变异。FISH法检测到50例(57.5 %)ALK基因易位,均发生在ALK阳性病例中;19例(21.8%)有ALK基因多拷贝现象,本组结果与文献[15, 16]报道类似。ALK阳性的病例中仍有4例既未检测到ALK基因易位,也未发现ALK基因的多拷贝,而ALK阴性的病例中未检测到ALK基因易位却发现6例ALK基因的多拷贝。Kansal等[17]发现,有5例ALK阴性的病例不存在ALK基因的易位,但存在ALK基因多拷贝现象。Feldman等[18]也发现1例在ALK阴性ALCL的ALK基因易位[t(6;7)(p25.3;q32.3)]。这种ALK蛋白表达与ALK基因易位不吻合的原因尚不清楚,ALK阴性的ALCL是否也有特征性的分子遗传学改变有待进一步研究分析。
c-myc基因家族属于原癌基因,可以激活许多细胞的靶基因,参与肿瘤的发生。正常情况下,细胞中c-myc的含量很低,主要通过扩增和染色体易位重排的方式激活,激活后导致c-myc基因过度表达,产物myc蛋白是转录因子,可以驱动一系列与细胞增殖、凋亡和细胞周期调节有关的基因异常表达,从而促进细胞增殖和介导细胞凋亡[19]。Valera等[7]在研究168例弥漫大B细胞淋巴瘤中发现,c-myc蛋白阳性率为48 %(81/168),与我们前期研究结果基本一致[8]。本组87例ALCL中c-myc蛋白阳性率为31.0 %(27/87),c-myc和ALK蛋白联合表达阳性率为23.0 %(20/87),表达略低于其他非霍奇金淋巴瘤。有研究证实在非霍奇金淋巴瘤中c-myc蛋白多数是低表达,甚至在能检测到c-myc基因易位的伯基特淋巴瘤中,c-myc蛋白表达也很低,原因可能是蛋白发生降解,导致其在细胞内迅速下降[20]。FISH检测在87例ALCL中均未发现c-myc基因的易位,但19例(21.8%)存在c-myc基因的多拷贝(多为3~ 5拷贝)。Valera等[7]研究176例弥漫大B细胞淋巴瘤中,c-myc易位12例(7 %),c-myc多拷贝34例(19%)。国内学者在研究72例ALCL中也未发现c-myc基因易位,但其中24例(33.3 %)存在c-myc基因多拷贝[16]。提示c-myc基因易位可发生在弥漫大B细胞淋巴瘤中,但比例较低,而在ALCL中,不见或罕见c-myc基因易位,目前报道的c-myc基因易位均发生在儿童[21,22]。c-myc基因多拷贝比例在c-myc蛋白阳性和阴性中差异有统计学意义(χ2=20.660,P<0.05),但在27例c-myc蛋白阳性患者中仍有13例未见基因异常,表明除了基因改变还有其他机制导致蛋白表达。
NPM-ALK融合蛋白可通过酪氨酸磷酸化诱导c-myc蛋白的表达,c-myc可能是ALK下游一个潜在的靶信号,发生继发异常。Liang等[21]认为是由于ALK重排形成融合基因导致染色体结构不稳定,使细胞易于遭受二次突变。Moritake等[22]报道1例携带有t(2; 5)(p23;q35)和t(8; 7)(q24;q25)基因易位的儿童型ALK阳性ALCL存在c-myc蛋白过表达和c-myc基因重排,并有融合基因ALO17-c-myc的形成,在各种联合大剂量化疗药物的作用下仍表现为侵袭性强和预后差的特点。本研究中,c-myc和ALK蛋白联合表达阳性率在ALCL的各临床分期和不同IPI间差异有统计学意义(P<0.05)。其表达随临床分期的增加而增加(P<0.05),在中高危及高危组中高于低危及中低危组(P<0.05)。进一步对19例c-myc基因的多拷贝研究显示其表达在不同IPI间的差异有统计学意义(P<0.05),在中高危及高危组中高于低危及中低危组(P<0.05)。这些均提示c-myc和ALK联合作用能增强肿瘤的侵袭性。尽管c-myc基因异常在ALCL中的机制仍然不清楚,但这种假设是合理的。在由ALK介导的淋巴瘤形成的过程中,又产生c-myc基因重排,进一步促进细胞持续增殖并延长细胞生存时间,因此,c-myc和ALK均异常可能引起肿瘤播散和侵袭性强的临床特点。提示ALCL的发生、发展是由多种基因共同参与所形成的交互网络作用的结果,但其机制仍需要进一步研究。
总之,在本组87例ALCL中,c-myc蛋白阳性表达率为31.0%,c-myc和ALK蛋白联合表达率为23.0 %。大部分(64.4 %)出现ALK基因的异常,以ALK基因的易位最为多见(57.5 %);ALCL中不见或罕见c-myc基因易位,但可见c-myc基因多拷贝(21.8%)。c-myc蛋白表达、c-myc和ALK蛋白联合表达与ALCL临床分期、IPI相关,c-myc基因多拷贝与患者IPI相关,因此c-myc蛋白表达及基因异常可作为判断ALCL恶性程度和预测预后的指标。





















