
1例糖尿病伴蛋白尿的23岁男性患者就诊于肾脏内科,结合实验室检查、影像学检查及基因检测结果,诊断为青少年的成人起病型糖尿病(MODY)5型。该患者出现重度右肾萎缩及双肾囊肿引起肾功能损伤,血清镁离子浓度低于正常值,基因检测提示患者肝细胞核因子1β(HNF-1B)基因发生无义突变,c.1132C>T,p.Gln378Ter,父母为野生型,故该突变属于新发突变。通过相关文献研究低镁血症可能较糖尿病更早发生,结合本病例临床特征提示伴肾脏结构畸形、低镁血症的MODY患者应警惕HNF-1B的变异。
版权归中华医学会所有。
未经授权,不得转载、摘编本刊文章,不得使用本刊的版式设计。
除非特别声明,本刊刊出的所有文章不代表中华医学会和本刊编委会的观点。
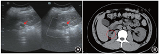
先证者,男,23岁,未婚,因“发现蛋白尿2年余”入院,院外一直未治疗。入院前半个月发现血糖升高,无明显口干、多饮、多尿,无多食及消瘦,否认高血压病史。体格检查:身高178.0 cm,体重73.5 kg,体质指数23.2 kg/m2。生长发育正常,体型适中,心肺听诊未闻及异常,腹软,全腹无压痛,肝脾肋下未触及,双肾区叩痛阴性,双下肢无浮肿,四肢活动正常,病理征阴性。父母均体健,否认近亲婚配,否认家族性遗传疾病史,空腹血糖均在正常范围内。实验室检查:入院时随机静脉血糖7.11 mmol/L,糖化血红蛋白8.4%(正常参考值范围4.0%~6.0%)。馒头餐试验:空腹、60 min、120 min血糖:5.79、12.52、13.92 mmol/L,空腹、60 min、120 min胰岛素:47.24、146.40、283.93 pmol/L,空腹、60 min、120 min C肽:0.45、0.85、2.11 nmol/L。血肌酐143 μmol/L(40~120 μmol/L),尿酸530 μmol/L(178.4~493.7 μmol/L),胱抑素C 1.57 mg/L(0.59~1.03 mg/L),尿常规尿蛋白弱阳性,尿微量白蛋白187 mg/L(0~30 mg/L),尿免疫球蛋白G 20.8 mg/L(0.00~8.50 mg/L),尿转铁蛋白7.94 mg/L(0.00~2.20 mg/L),尿α1-微球蛋白13.4 mg/L(0.00~12.20 mg/L),尿β2-微球蛋白0.41 mg/L(0.00~0.22 mg/L),24 h尿蛋白定量481 mg/24 h(24~141 mg/24 h),血清镁离子0.50 mmol/L(0.75~1.05 mmol/L)。血清游离三碘甲状腺原氨酸及游离甲状腺素正常,促甲状腺激素5.020 mIU/L(0.350~4.940 mIU/L),甲状腺相关抗体检查阴性,抗核抗体全套中抗组蛋白抗体临界阳性、余均为阴性,血管炎抗体全套阴性。影像学检查:肝胆胰脾腹腔B超未见异常,泌尿系彩色超声:右肾萎缩伴多发囊性结节,左肾弥漫性病变伴多发囊性结节(图1A)。泌尿系及胰腺CT平扫右肾重度萎缩,双肾囊肿,胰腺未见囊肿(图1B)。眼科检查:双眼眼底视盘界清,视网膜面未见明显出血渗出。


经患者及其父母知情同意,采集患者及其父母外周血标本进行基因检测,全外显子测序后再进行Sanger法验证。检测结果发现患者肝细胞核因子1B(hepatic nuclear factor1B,HNF1B,OMIM∶*189907)基因发生无义突变(NM_000458.3∶c.1132C>T,p.Gln378Ter),父母为野生型,故该突变属于新发(De novo)突变。人类基因突变数据库(Human Gene Mutation Database,HGMD)未见该位点突变报道,对照正常人群数据库(ESP6500siv2_ALL、dbSNP147、千人基因组数据库)均未收录该位点变异分布频率,Sanger测序结果证实该变异存在(图2A)。具有高度保守性的氨基酸发生变异可能会诱发疾病,HNF1B蛋白序列Gln378在不同物种间高度保守(图2B)。根据《ACMG遗传变异分类标准与指南》[1]对该变异位点解释为PVS1+PS2+PM5+PP3,评级为致病性变异。同时该变异位点利用不同软件对核酸保守性进行预测,结果分别为GERP:D(5.7)、phyloP:D(1.176)和phastCons∶D(0.996)。HNF1B基因位于17q12位置,关联疾病为MODY 5型/肾囊肿和糖尿病综合征(OMIM∶137920)。


本例患者胰腺未见囊肿与萎缩,馒头餐试验提示胰岛β细胞功能障碍,表现为胰岛素及C肽分泌高峰延迟,但考虑其已经存在肾功能受损,因此予以预混胰岛素每日早晚餐前皮下注射控制血糖,治疗后指尖监测空腹血糖波动在6.0~8.0 mmol/L,餐后2 h血糖波动在9.0~11.0 mmol/L。患者入院时血肌酐值略高于正常范围,存在微量白蛋白尿,但预估肾小球滤过率为55.51 ml·min-1·(1.73 m2)-1,评估为慢性肾脏病3期,给予发酵冬虫夏草菌粉胶囊4粒,每日3次护肾,前列地尔注射液10 μg,静脉注射,每日1次改善微循环。治疗12 d后患者肌酐下降至132 μmol/L。患者无痛风相关症状,嘱患者低嘌呤饮食后出院前复查尿酸下降至436 μmol/L。出院时嘱低盐低脂优质蛋白饮食,每日蛋白质摄入量0.6~0.8 g/kg,继续使用预混胰岛素控制血糖并口服发酵冬虫夏草菌粉胶囊,监测肾脏B超、肾功能、尿蛋白、血糖、电解质,门诊长期随访。另外大多数HNF1B突变患者易出现高尿酸血症,部分患者表现为早期痛风症状,本例患者也具有高尿酸血症的表型,这可能是由于HNF1B蛋白调控UMOD基因转录,而UMOD基因是编码尿酸转运作用的尿调节蛋白,因此尿酸盐转运异常是MODY 5型患者出现尿酸水平异常升高的原因。
MODY是一组临床异质性疾病,目前已报道14种亚型,中国人群MODY发病率约1%~2%,MODY 5型约占其中2%[2]。HNF1B突变类型主要以片段缺失与错义突变最为常见,占比为34%与31%,移码突变或插入突变占比15%,无义突变占比11%,剪切位点突变占比8%[3],本例患者HNF1B基因发生无义突变(Gln378Ter),该变异位点位于C端反式激活结构域,该区域是HNF1B基因唯一转录激活区域[4]。HNF1B基因缺陷引起的MODY 5型临床表型复杂多样,最常见是肾脏疾病(特别是肾囊肿)及糖尿病,又称为RCAD(renal cysts and diabetes syndrome)综合征,其他表型包括胰腺萎缩、外分泌腺功能障碍、肝功能异常、生殖道畸形及早期痛风等。HNF1B突变患者的肾脏表型从正常肾功能到终末期肾病呈多样化,并且肾病从宫内到中年时期均可发病,平均发病年龄为21岁,有研究分析至少有66%的HNF1B患者表现为不同病理特征的肾囊肿,86%的患者肾功能不全[5, 6]。在HNF1B突变患者中糖尿病发病率达45%,发病时间从出生后两周到63岁不等,平均发病年龄为26岁[3]。
本例患者诊断年龄为23岁,出现MODY 5型典型临床表现,血清镁离子浓度低于正常值,这可能因为HNF1B蛋白作为远曲小管Na+/K+-ATP酶G亚单位的激活剂,HNF1B基因突变抑制G亚单位转录激活而使得镁离子重吸收受阻。而本例患者存在肾脏穿刺活检禁忌,因此无法获得病理方面证据。低镁血症相对较少出现不适症状而易被临床忽视,在一项关于儿童肾脏畸形的研究中发现,约44%(8/18)HNF1B突变型患儿出现低镁血症(<0.65 mmol/L,0.65~1.00 mmol/L),8例出现低镁血症的患儿在后续随访中有5例出现了糖尿病症状,而野生型HNF1B患儿则仅有约2%(1/48)有低镁血症[7]。另一项研究中报道3例以低镁血症为首发表型的HNF1B突变成人患者,同样在随访中发现3例出现血糖升高,其中2例糖化血红蛋白水平较高而被诊断为糖尿病[8]。综上可提示低镁血症可能会较糖尿病更早发生,临床医生应加强电解质相关检查,由于低镁血症是Gitelman综合征高发的临床表现,因此需要注意与Gitelman综合征的区分[9]。
综上所述,笔者报道了一例HNF1B新发突变的MODY 5型患者,新发突变占HNF1B变异类型的30%~50%[10],因此建议家系检测以明确基因共分离。同时该变异位点在HGMD等数据库未见报道,属于新的突变,这将进一步扩大HNF1B基因突变谱。低血镁症可能较糖尿病更早出现且易被临床忽视,因此对MODY、肾脏结构畸形且出现电解质异常,特别是低血镁症的患者,临床应思考HNF1B突变的可能,这对于疾病早期诊断、早期治疗以及避免并发症的发生有重要作用。
所有作者均声明不存在利益冲突
























