
Alström综合征(AS)是一种罕见的伴有糖尿病的单基因遗传综合征,食管胃静脉曲张出血在AS患者中更为罕见。该文报道了1例临床主要表现为畏光、视力差、感音神经性耳聋、智力低下、身材偏矮、早发性肥胖、胰岛素抵抗、2型糖尿病、肝功能异常、高脂血症的AS患者,其ALMS1基因存在c.10825C>T(p.R3609X)和c.11107C>T(p.R3703X)复合杂合变异。然而该患儿确诊后仅14个月就出现了心脏扩大、肺动脉高压以及食管胃静脉曲张破裂出血,病情重且进展迅速。同时该文还结合文献探讨了AS的诊疗进展,以提高内分泌医师对该病的认识。
版权归中华医学会所有。
未经授权,不得转载、摘编本刊文章,不得使用本刊的版式设计。
除非特别声明,本刊刊出的所有文章不代表中华医学会和本刊编委会的观点。
Alström综合征(Alström syndrome,AS)是由于ALMS1基因突变所致的常染色体隐性遗传病。临床表现复杂多样,主要包括视力减退、感音神经性耳聋、早发性肥胖、胰岛素抵抗、2型糖尿病、心肌病、肾功能不全、肝功能障碍、性腺功能低下及高脂血症等。该病最早于1959年由Alstrom等[1]首次报道,目前发病机制尚不明确。食管胃静脉曲张出血在AS患者中非常罕见。本文中我们报道1例合并食管胃静脉曲张出血的儿童AS病例,分析其临床和遗传学特征、病情发展及诊疗经过,并结合文献探讨该病的诊疗进展,旨在提高内分泌医师对该病的认识。
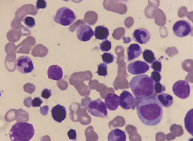
患儿 女,11岁8个月。因“面色苍白、精神差3个月”就诊于我科。外院腹部超声提示肝脏回声增强,脾大,血常规示血红蛋白59 g/L,急转我院并收住我科。患儿系第1胎第1产,足月顺产,出生体重3.4 kg,生后数月家属发现患儿畏自然光、视力差。抬头、翻身、坐、站、走等时间与同龄人相当,语言发育落后,智力低下。幼时体型肥胖,近2年渐瘦。近5~6年出现夜尿增多伴遗尿。3个月前鼻衄10余次,量一般,按压后可止血,近3个月精神及食纳差。尚无月经初潮。父母体健,非近亲结婚。患儿妹妹也有畏自然光、视力差、智力低下表现,未就诊。体格检查:身高138.5 cm(P3),体重38.5 kg,体重指数20.1 kg/m2。重度贫血貌,心肺查体无明显异常。腹膨隆,过脐腹围53 cm,最大腹围56 cm,肝肋下2 cm,剑突下9 cm,质软缘锐,脾脏第Ⅰ测量9 cm,第Ⅱ测量8 cm,移动性浊音阴性。双侧乳房TannerⅡ期,乳核可触及,无阴毛及腋毛。血常规:血红蛋白50 g/L,网织红细胞计数202.9×109/L。尿常规:葡萄糖3+。肝功能:总胆红素44.3 μmol/L,间接胆红素39.3 μmol/L,转氨酶、肾功能、心肌酶、电解质大致正常。血脂:甘油三酯1.95 mmol/L,高密度脂蛋白胆固醇0.83 mmol/L。空腹血糖12.29 mmol/L,监测末梢血糖5.2~22.6 mmol/L,糖化血红蛋白6.07%,抗胰岛素抗体、谷氨酸脱羧酶抗体、胰岛细胞抗体均阴性,口服葡萄糖耐量试验及胰岛素释放试验结果见表1,提示胰岛素抵抗、2型糖尿病。凝血系列、甲状腺功能、性激素、促肾上腺皮质激素、皮质醇、血尿代谢筛查、叶酸、维生素B12、铁蛋白、血红蛋白电泳结果均无异常。血清铁6.13 mmol/L(正常参考值7.36~9.34 mmol/L)。红细胞渗透脆性:开始溶血4.4%(正常参考值3.8%~4.6%),完全溶血3.6%(正常参考值2.8%~3.2%)。超声心动图未见异常。腹部彩色超声及CT均提示肝脾增大,余无异常。骨龄:12岁左右。头颅磁共振成像未见明显异常,右侧中耳炎。垂体磁共振成像示Rathke裂残留。骨髓细胞学检查示轻度感染伴缺铁贫骨髓象(图1)。视网膜成像:双眼视网膜色素变性、左眼屈光间质混浊。视觉诱发电位:双眼图形视觉诱发电位潜伏期延长,振幅降低。耳声发射:右侧65/55 d BSP,左侧65/55 d BSP,提示双耳中度感音神经性耳聋。韦氏智力测评:智商值<75分。经监护人知情同意后行全外显子组基因检测,结果显示,先证者携带ALMS1基因(NM_015120.4)c.10825C>T(p.R3609X)和c.11107C>T(p.R3703X)复合杂合变异,其中c.10825C>T(p.R3609X)变异遗传自父亲,c.11107C>T(p.R3703X)变异来源于母亲,患儿妹妹同样携带上述两个杂合变异(图2,3)。c.10825C>T(p.R3609X)和c.11107C>T(p.R3703X)均为无义突变,分别使3 609及3 703位精氨酸对应的密码子突变为终止密码子。治疗及随访:入院后予患儿输注同型红细胞悬液纠正贫血,盐酸二甲双胍缓释片0.5 g每日晚餐时口服控制血糖等治疗。患儿重度贫血的原因考虑可能与营养性及溶血性因素有关,建议进一步检查明确病因。但由于个人原因家属拒绝完善检查并拒绝接受视力、听力相关治疗。

患儿口服葡萄糖耐量试验及胰岛素释放试验结果
患儿口服葡萄糖耐量试验及胰岛素释放试验结果
| 指标 | 0 min | 30 min | 60 min | 120 min | 180 min |
|---|---|---|---|---|---|
| 葡萄糖(mmol/L) | 16.77 | 23.72 | 24.04 | 22.57 | 24.04 |
| 胰岛素(mU/L) | 242.2 | 228.2 | 232.5 | 220.1 | 315.1 |
| C肽(ng/ml) | 21.78 | 22.75 | 22.39 | 21.53 | 24.92 |






注:先证者(Ⅲ-4)及其父母(Ⅱ-3、Ⅱ-4)、妹妹(Ⅲ-5)已行基因检测,该家系其他成员未行基因检测
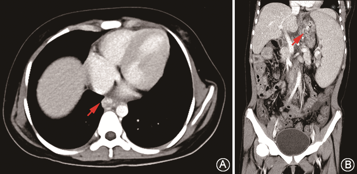
14个月后该患儿因“呕血伴黑便10余天”再次入院。急查血常规:血红蛋白53 g/L,血小板108×109/L。糖化血红蛋白6.78%。末梢血糖波动于5.6~15.0 mmol/L。肝功能:总胆红素90.1 μmol/L,直接胆红素37.0 μmol/L,间接胆红素53.1 μmol/L,总蛋白54.2 g/L,白蛋白33.5 g/L,丙氨酸转氨酶38 U/L,天冬氨酸转氨酶49 U/L,γ-谷氨酰转肽酶101.3 U/L。超声心动图:全心略大,左心室收缩功能测值正常,肺动脉高压[估测收缩压约40 mmHg(1 mmHg=0.133 kPa)],房水平左向右分流,二、三尖瓣少量反流。腹部彩色超声:肝光点增粗,分布欠均匀;脾大,腹水;食管胃静脉迂曲增宽(内径约2.2 mm)。腹部CT增强扫描:食管胃静脉扩张,肝脏、脾脏增大,腹腔积液,肠壁增厚伴渗出(图4)。该患儿最终诊断为:(1)AS;(2)食管胃静脉曲张出血;(3)重度贫血;(4)智力低下。入院后急予输注红细胞悬液补充血容量、生长抑素降低门静脉压力、奥美拉唑抑酸及药物止血等治疗;并予小剂量呋塞米及螺内酯减轻心脏负荷、卡托普利预防心肌重构。拟于波生坦降低肺动脉高压,但因肝功能异常暂缓口服。患儿此次消化道出血原因考虑为食管胃静脉曲张破裂出血所致,家属要求保守治疗,故未行内镜检查治疗及肝脏穿刺活检。经上述治疗后患儿消化道出血停止,病情好转出院,嘱其密切随访。


本例患儿有畏光、视力差、发育落后、儿童期肥胖、身材偏矮等表现;实验室检查提示其存在2型糖尿病、胰岛素抵抗、高脂血症,专科检查发现视网膜色素变性及感音神经性耳聋;基因检测证实其ALMS1基因存在两个与AS相关的已知致病性变异(c.10825C>T(p.R3609X)和c.11107C>T(p.R3703X)[2, 3]。其临床表型及基因突变均符合AS疾病特征,故该患儿确诊为AS。
AS是一种罕见的伴有糖尿病的单基因遗传综合征,系ALMS1基因突变所致,遗传方式为常染色体隐性遗传,在人群中发病率较低,约为1/100万~1/50万[4, 5, 6],属罕见病范畴,发病无性别差异。ALMS1基因定位于2p13,包含23个外显子,编码一个由4 169个氨基酸组成的蛋白质,广泛表达于各种组织器官,如视网膜、耳、肝脏、肾脏、心脏、胰腺等,其亚细胞定位于中心体和纤毛基部[7],该蛋白的C末端含有一个“ALMS基序”,可能对纤毛的组装具有重要意义[8],研究发现,完全缺乏ALMS1蛋白会影响纤毛形成、定位和维持,进而影响纤毛功能[9]。
目前人类基因突变数据库收录的ALMS1基因突变种类有350余种,多数为无义突变,导致蛋白翻译的早期终止。外显子8、10及16为突变高发区,约半数以上的变异位于第8外显子[10, 11]。我国丁宇等[6]曾在7例中国AS病例中发现2例存在c.10825C>T(p.R3609X)变异,本例患儿基因同样检测到c.10825C>T(p.R3609X)变异,提示该位点可能为中国人群的热点变异位点,进一步验证还有待于我国AS病例的积累。
AS临床表现及严重程度差异较大,常累及多个系统且呈进展性,主要包括视力障碍、听力障碍、心肌病、儿童期肥胖、严重胰岛素抵抗、进展性非酒精性脂肪性肝病、肾功能异常、呼吸系统疾病、内分泌及泌尿系疾病等[12]。与其他AS患者相似的是本例患儿初诊时已有视力及听力损伤、2型糖尿病、胰岛素抵抗、肝功能异常、高脂血症等,尚无心脏受累;然而不同于以往其他患者,本例患儿确诊后仅14个月就出现了心脏扩大、肺动脉高压等限制型心肌病表现以及食管胃静脉曲张出血的危重情况,病情进展极快。此外,通常大多数AS患者表现出正常的智力,而本例患儿同时存在智力低下。我们推测该患儿病情重、进展快、表型复杂的原因可能与基因突变位点有关。研究显示,第16外显子变异可导致较为严重的临床表型[13],而该患儿两个突变位点均位于第16外显子,因此临床表现更为严重复杂。AS患者还可能出现性腺功能异常。本例患儿已进入青春期,尚无月经初潮,第二性征发育正常,性激素水平暂无明显异常,需继续动态监测性腺功能。
食管胃静脉曲张是门静脉高压引起的并发症,在AS患者中非常罕见。土耳其曾报道了2例合并食管静脉曲张出血的AS病例[14, 15]。2例患者均因呕血、黑便就诊,实验室检查提示有严重贫血、肝功能异常,腹部B超提示肝实质密度不均、脾大、腹腔肝周区和肠袢间可见游离液体,与本例患儿特征相似。2例患者内镜检查均发现食管静脉曲张,其中1例完善了肝脏穿刺活检证实存在肝硬化。研究显示,门静脉阻塞是造成儿童门静脉高压的主要原因,如炎症、腹腔肿瘤转移和局部压迫、慢性肝病(肝硬化、先天性肝纤维化)、手术、凝血障碍性疾病、寄生虫、门静脉先天发育畸形等[16]。弥漫性间质纤维化是AS最常见的病理改变,可累及肝、肾、胰、肺、心等多个脏器[9]。AS患者肝脏受累的临床表现多样,Marshall等[17]研究发现,92%的患者有不同程度的肝酶升高,23%有脂肪肝,9%出现食管胃静脉曲张出血。虽然本例患儿未行肝脏穿刺活检,但推测其食管胃静脉曲张出血可能是由于肝硬化引起门静脉高压所致。通常AS患者出现肝硬化的时间发生在20~30岁,而本例患儿年龄仅12岁,病情重、进展快,病程提前。因此在临床诊疗过程中要重视AS患者的肝脏受累情况及疾病进展速度。
AS的诊断主要根据临床症状,基因检测到ALMS1基因的2个致病性突变是AS诊断的金标准[12,18]。关于AS的治疗,目前尚无特异性的治疗方法可以治愈或逆转其并发症的出现,主要是对症治疗。患者一旦确诊,需进行全方位的评估和管理,开始多学科团队持续随访[12]。对于儿科患者来说,早期诊断、早期干预可以延缓疾病进展,提高患儿生活质量。此外,还需注意儿童向成人就诊模式的转变,随着患儿年龄增大,尽早开始从儿科门诊向成人门诊的转变,以实现最大程度无缝过渡[12]。AS整体预后较差,预期寿命很少超过50岁。童年期多死于心力衰竭,而成年期则主要死于心脏或肾脏衰竭。对于已经明确基因突变类型的先证者家庭来说,建议在孕育下一胎前进行遗传咨询,降低发病风险。
综上所述,本文报道了1例罕见的合并食管胃静脉曲张出血的儿童AS病例。对于临床表现符合AS的患者应尽早行基因检测,确诊后应多学科综合治疗随访,提高患者生活质量。
所有作者声明无利益冲突





















