
及偏颌
及偏颌
[J]
. 中华口腔正畸学杂志, 2020, 27(1)
: 27-30.
DOI: 10.3760/cma.j.cn115797-20180518-20106.
版权归中华医学会所有。
未经授权,不得转载、摘编本刊文章,不得使用本刊的版式设计。
除非特别声明,本刊刊出的所有文章不代表中华医学会和本刊编委会的观点。
患者女,17岁。主诉:"地包天",要求矫治。否认正畸治疗史,否认家族遗传史,否认不良习惯。全身状况良好。
正面观面下1/3略长,左右面部基本对称,颏部右偏,微笑时上前牙牙冠暴露1/2,下前牙完全暴露。侧面观直面型,鼻唇角偏大,颏唇沟偏浅(图1)。
口腔卫生一般。上下弓形基本匹配,上牙列中线居中,下牙列中线右偏1.5 mm。上牙列拥挤1 mm,下牙列拥挤1 mm;磨牙关系为近中关系,尖牙关系为近中关系;下前牙舌倾;11、21、31、32、41对刃,右侧后牙反
。
下颌无功能性后退;开口度开口型无明显异常;无明显弹响;无明显关节区压痛。
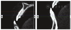
18、28、48阻生。牙根及牙槽骨未见明显吸收,下颌前牙唇舌侧骨皮质较薄(图2)。骨性Ⅲ类,上颌骨发育不足,高角,开
趋势较大。上切牙唇倾度正常,下切牙舌倾(表1)。锥形束CT影像检查发现双侧颞下颌关节形态不规则,皮质骨连续(图3)。舌体下沉。三维重建示双侧下颌升支长度不对称(图4)。

患者矫治前后头影测量值比较
患者矫治前后头影测量值比较
| 测量项目 | 矫治前 | 矫治后 | 标准值 |
|---|---|---|---|
| SNA(°) | 73.6 | 73.9 | 82.8±4.0 |
| SNB(°) | 76.9 | 76.5 | 80.1±3.9 |
| ANB(°) | -3.3 | -2.6 | 2.7±2.0 |
| Wits | -2.9 | -2.5 | -1.0±1.0 |
| S-Go/N-Me | 59.6 | 61.2 | 65.0±4.0 |
| MP-SN(°) | 43.6 | 43.4 | 39.2±4.4 |
| FMA(°) | 29.9 | 27.6 | 29.5±3.4 |
| Y轴角(°) | 73.3 | 72.7 | 66.3±7.1 |
| U1-NA(mm) | 6.2 | 5.8 | 4.3±2.7 |
| U1-NA(°) | 25.0 | 23.4 | 22.8±5.7 |
| U1-SN(°) | 108.6 | 107.3 | 105.7±6.3 |
| L1-MP(°) | 78.3 | 75.0 | 93.9±6.2 |
| L1-NB(mm) | 2.5 | 2.0 | 4.0±1.8 |
| L1-NB(°) | 19.9 | 18.3 | 25.3±6.0 |
| U1-L1(°) | 134.4 | 134.8 | 124.2±8.2 |
| L6-MP(mm) | 33.1 | 31.8 | 31.0±2.0 |
| ODI | 56.9 | 59.9 | 74.5±5.0 |
骨性:骨性Ⅲ类,高角,偏颌
牙性:安氏Ⅲ类,反
,牙列拥挤,中线偏斜
软组织:舌体下沉
安氏Ⅲ类,骨性Ⅲ类
毛氏Ⅱ1+Ⅲ2+Ⅰ1
方案一:考虑患者为骨性Ⅲ类,骨性偏颌,下前牙牙槽骨板较薄,为较大程度的改善患者咬合,纠正偏颌,改善面型,设计正畸正颌联合治疗。具体设计方案:①肌功能训练;②术前正畸矫治去代偿;③正颌手术改善上下颌骨不协调,前徙上颌骨,后退并旋转下颌,纠正偏斜;④手术后正畸精细调整咬合;⑤保持。该方案的缺点为耗时相对较长,费用相对较高,创伤相对较大,正畸去代偿过程中可能导致短期面型恶化。
方案二:考虑患者反覆
反覆盖较浅,在一定程度上纠正反
所需下颌内收量较小,且在牙移动界限表中正畸代偿治疗的范围内;同时考虑患者38、48处于垂直位,拔除后可为下颌牙列整体内收提供一定的空间和骨量,设计正畸掩饰治疗。具体设计方案:①肌功能训练;②拔除38、48,直丝弓固定矫治;③排齐整平上下牙列;④采用种植体支抗和多曲方丝弓(multiloop edge wise arch wire,MEAW)技术整体远移下牙列,控制垂直向高度;⑤纠正反
,协调覆
覆盖;⑥不对称牵引改善偏颌;⑦协调咬合关系;⑧精细调整,保持。该方案的缺点为:无法改善骨性畸形;对面型改善不大;对下前牙控根移动要求高,有牙根穿出骨皮质的风险。
1.拔除38、48,上下颌牙列粘接被动自锁托槽(Ormco公司Damon系统),其中下颌前牙采用DAMON高转矩托槽,采用直丝弓矫治技术,依次使用0.014英寸(1英寸=2.54 cm),0.018英寸,0.014×0.025英寸,0.018×0.025英寸含铜镍钛丝,矫治5个月,初步排齐上下牙列。
2.治疗过程中嘱患者进行主动和被动上抬舌体的舌肌功能训练。主动训练:嘱患者主动上抬舌体,持续5 s,每组30次,每天10组。被动训练:将压舌板压于舌面,同时患者对抗压舌板将舌体上抬,持续5 s,每组30次,每天10组。
3.矫治第6个月,于患者双侧上颌第二前磨牙与第一磨牙之间植入种植钉。上颌换0.019×0.025英寸不锈钢方丝,下颌用0.017×0.025英寸不锈钢方丝弯制MEAW弓,MEAW弓制备后倾弯,竖直磨牙。与此同时,嘱患者进行24 h Ⅲ类牵引,Ⅲ类牵引挂于上颌种植钉及下颌MEAW靴形曲之上,力值大小约180 g,改善磨牙关系,行Ⅲ类牵引2个月后,前牙反
一定程度改善。
4.矫治第8个月,患者右侧上颌种植钉松脱,即改为下颌颊棚区植入原种植钉,于种植钉和同侧WEAW的侧切牙与尖牙之间的靴形曲进行牵引以继续纠正前牙反
,左侧继续行Ⅲ类牵引(图5),同时于14、15、16牙冠腭侧粘接舌侧扣,与下颌44、45、46 MEAW靴形曲进行交互牵引。调整上下弓形,改善右侧反
。对侧进行垂直牵引,避免开
。牵引2个月后,前牙反
基本解除;右侧后牙反
基本解除(图6)。

像及X线片
像及X线片





5.矫治第10个月,前牙区挂斜形牵引,改善中线,同时通过MEAW不同牙位的角度调整改善双侧牙列高度,纠正偏颌。进行双侧的平行四边形(类似短Ⅲ类)牵引,精细调整咬合。
6.拆除固定矫治器,制作上下颌Hawley保持器,总疗程12个月(图7)。

一定程度改善
一定程度改善
基本解除
基本解除
像及X线片
像及X线片







矫治后患者面型得到较好维持,颏部对称性得到一定程度的纠正。前牙覆
覆盖基本正常,双侧磨牙及尖牙基本中性关系,上切牙切端位置基本不变,下切牙轻度舌倾。开
趋势减弱,垂直向控制较好。矫治后曲面断层显示牙根平行,未见明显牙根吸收。CBCT影像显示上下前牙牙根基本位于牙槽骨中央(图8)。术后关节间隙及髁突骨质未见明显变化(图9)。矫治前后头影测量重叠图(图10)。
1.患者的反
和偏颌存在骨性问题,正畸正颌联合治疗可以较大程度改善患者的咬合和面型,但考虑到患者的反覆
反覆盖较浅,正畸代偿治疗所需下颌内收量较小,38、48垂直位,拔除后可为下颌牙列整体内收提供足够的空间和骨量,提示具有正畸掩饰治疗的可能性。以往Ⅲ类掩饰治疗选择的下颌拔牙方式多种多样,基本包括拔除切牙、第二双尖牙、第二磨牙、第三磨牙。本病例在拔牙方式的选择上首先考虑下前牙内收量有限,小于3 mm,其次从竖直后牙的角度考虑,拔牙部位越偏后,越利于开
患者磨牙及前磨牙的远中竖直,且利于降低咬合。综上,我们选择拔除下颌第三磨牙,既可以在一定范围内后退下牙列,调整磨牙关系,同时可以保留功能牙列。
2.在MEAW技术矫治中,弓丝上"L"形曲的弯制,使多曲弓丝的长度增加到无曲弓丝的2.5倍,矫治力衰减到无曲弓丝的1/10,减小了弓丝的形变率。同时"L"形曲垂直部可缓解各牙间矫治力的作用,使其对该牙的作用相对独立,即使是邻牙也几乎不受影响。水平部可根据需要分别控制该牙在近远中、垂直、颊舌三维方向的移动,使所有牙按照矫治目标同时移动,缩短了疗程。我们通过局部短牵引,精细调整咬合,在很大程度上改善前后牙齿的覆
覆盖。
3.本病例中,我们设计整体后退下牙列以代偿矫治反
。我们通过检查结果发现,患者下颌磨牙存在近中倾斜,因此我们利用MEAW技术,根据每个后牙所需竖直角度的需要,将"L"形曲的水平部弯制后倾弯,后牙的竖直可为牙弓提供间隙。通过测量发现,患者的L4-MP从矫治前的101.07°到矫治后的109.79°;L5-MP从矫治前的97.74°到矫治后的112.12°;L6-MP从矫治前的95.33°到矫治后的117.39°;L7-MP从矫治前的90.94°到矫治后的119.22°,说明下颌前磨牙和磨牙在矫治过程中均有竖直。我们利用MEAW技术竖直磨牙的优势,使得下前牙在获得间隙、内收解除反
的同时得以向偏离侧移动以调整上下中线并改善咬合关系。同时,偏颌患者常表现为两侧
平面高度不等,通过MEAW的控制可在一定程度上增加偏向的咬合高度,压低对侧的咬合高度,消除
干扰。考虑到在远中竖直磨牙的过程中,会对下颌前牙有唇倾、压低的反作用力。我们选择在双侧上颌第二前磨牙和第一磨牙之间植入种植钉,于种植钉和下颌MEAW的靴形曲处挂Ⅲ类牵引。一方面,由此产生的水平分力可以使下牙列后移,同时下前牙高转矩托槽及磨牙后倾弯对前牙唇倾的作用可以避免下切牙在内收过程中过度舌倾。另一方面,Ⅲ类牵引产生的垂直分力可以更好的提供患者的垂直向控制,避免开
。矫治第8个月,由于患者右侧上颌骨质较薄,种植钉松脱,随即改为下颌颊棚区植入原种植钉,将右侧牵引力改为作用于下颌种植钉和WEAW的侧切牙和尖牙的靴形曲之上,由于作用力位于下颌阻力中心之上,继而可以避免下颌骨的后下旋转,故仍可较好的进行垂直向控制。通过测量发现,患者的MP-SN由治疗前的43.6°到矫治后的43.4°;S-Go/N-Me由治疗前的59.6到治疗后的61.2,说明患者的垂直向控制较好。患者的ODI指数由治疗前的56.9到矫治后的59.9,说明患者的开
趋势变小。本病例采用MEAW技术配合上颌植入种植钉进行Ⅲ类牵引,相比于传统Ⅲ类牵引,纠正反
的同时,可以更好的避免上颌后牙的伸长及上颌前牙的唇倾,同时可以很好的对高角患者进行垂直向控制。相比于在下颌植入种植钉纠正反
的传统方法,选择在上颌植入种植钉可以在直接内收下颌牙列的同时,对上颌牙列有更多的控制。
4.整个治疗过程中,我们很注重患者的舌肌功能训练。以往正畸临床工作中对于安氏Ⅲ类,有开
趋势患者的治疗常忽略了口腔肌功能对牙颌形态的影响,导致矫治后易复发。研究发现,在安氏Ⅲ类,有开
趋势患者的矫治过程中,舌前伸对牙齿产生的压力正好与正畸用于关闭开牙
所施加的作用力相反,伸舌会减慢治疗和影响支抗。我们发现通过舌肌功能训练,患者的舌体位置明显上抬(图11),类似的肌功能训练也需要在保持过程中有更好的体现。
5.为了避免Ⅲ类去代偿治疗中上前牙过度唇倾,更好的维持患者面型,在治疗过程中我们尽量控制上切牙的位置和唇倾度,但在一定程度上导致治疗结束时患者的覆
覆盖较浅。我们担心较浅的覆
覆盖是否会造成
创伤以及影响长期稳定性。通过咬合测试,我们发现患者前牙区不存在
创伤,但遗憾的是患者治疗结束后出国定居,未能进行术后追踪。
所有作者均声明不存在利益冲突





















