
版权归中华医学会所有。
未经授权,不得转载、摘编本刊文章,不得使用本刊的版式设计。
除非特别声明,本刊刊出的所有文章不代表中华医学会和本刊编委会的观点。
患者 女,27岁,主诉:"嘴突",要求矫正。患者全身健康状况良好。自述年幼时曾于外院有过非拔牙正畸治疗史,近年来发现嘴越来越突。
正面观:面部左右对称,面上、中、下部比例协调,鼻孔朝上,暴露过多,口唇前突,闭唇紧张;侧面观:呈凸面型,颏唇沟不明显,鼻唇角大。
恒牙列,18、38、48全部或部分萌出,28未见;双侧磨牙及左侧尖牙中性关系,右侧尖牙略偏远中;前牙覆
正常,覆盖约5 mm;上牙弓呈卵圆型,无明显拥挤,下牙弓呈方圆型,拥挤度约4 mm;上中线居中,下中线右偏约1.5 mm。
张口度约三横指,张口型垂直向下、无偏斜,双侧颞下颌关节区无压痛,无弹响。
X线片未见28牙胚,左侧关节头形态欠佳,与右侧关节头不对称,牙周情况良好。
头影测量表明患者为骨性Ⅱ类,高角,上下前牙唇倾,唇部前突。

治疗前后的X线头影测量
治疗前后的X线头影测量
| 测量项目 | 正常值 | 治疗前 | 治疗后 |
|---|---|---|---|
| SNA(°) | 82.8±4.0 | 85.5 | 83.4 |
| SNB(°) | 80.1±3.9 | 77.1 | 76.1 |
| ANB(°) | 2.7±2.0 | 8.5 | 7.3 |
| U1-SN(°) | 105.7±6.3 | 112.7 | 109.9 |
| U1-NA(mm) | 5.1±2.4 | 3.4 | -0.7 |
| L1-MP(°) | 92.6±7.0 | 98.5 | 97.1 |
| L1-NB(mm) | 6.7±2.1 | 8.6 | 5.6 |
| MP-SN(°) | 32.5±5.2 | 38.3 | 35.6 |
| FH-MP(°) | 31.1±5.6 | 31.9 | 29.6 |
| UL-EP(mm) | -1.4±1.87 | 2.6 | -3.8 |
| LL-EP(mm) | 0.6±1.87 | 5.7 | -1.5 |
牙性安氏Ⅰ类;骨性Ⅱ类;高角。
主要问题:口唇前突;前牙深覆盖;中线不齐。
方案一:患者嘴突,上下前牙唇倾,属骨性双牙弓前突病例,因患者对美观要求极高,希望大幅度内收,明显改善侧貌,建议行正畸正颌联合治疗。
方案二:减数14、24、34、44,使用MLF(Multi-level Low Friction)及XBT(Cross Buccal Tube)颊面管,排齐整平牙列,种植钉结合长牵引钩内收前牙,控制前牙转矩,关闭间隙,调整咬合关系,改善面型。正畸结束后可视情况拔除智齿。
与患者沟通,患者不愿接受手术,选择方案二。
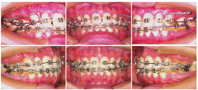
1.上、下颌前牙及第一磨牙粘接MLF托槽及XBT颊面管,上、下颌放置0.014~0.016英寸(1英寸=2.54厘米)Cu-NiTi排齐前牙,维持支抗(图2)。
2.待前牙基本排齐后,粘接第二前磨牙托槽和第二磨牙颊面管,上、下颌顺序更换0.018英寸~0.018英寸×0.025英寸NiTi丝,排齐牙列,整平下牙列。
3.于上颌双侧颧牙槽嵴区植入支抗钉,上、下颌换0.018英寸×0.025英寸不锈钢方丝,并于上颌双侧侧切牙远中弓丝放置长牵引钩,下颌双侧侧切牙远中弓丝放置短牵引钩,上颌用拉簧行支抗钉至牵引钩牵引内收前牙关闭间隙,下颌行第一磨牙至牵引钩皮链牵引内收关闭间隙(图3)。
4.治疗结束,拆除矫治器,进入保持阶段。
矫治后患者上下牙列排列整齐;双侧尖牙磨牙中性关系,咬合关系良好;前牙覆
、覆盖正常,上牙列中线居中,下牙列中线稍右偏;软组织侧貌前突得到改善;全口曲面断层片示牙列排列正常,牙根形态完好(图4)。

像及X线片
像及X线片




像及X线片
像及X线片

本病例为双牙弓前突病例,ANB角8.5°,高角。患者拒绝手术,希望通过单纯的正畸治疗代偿Ⅱ类骨骼关系,改善侧貌。患者的磨牙关系表现为中性关系,左侧尖牙中性关系,右侧尖牙略偏远中关系,上颌无明显拥挤,下颌前牙区轻度拥挤。为了较大程度改善患者侧貌,拔牙方案确定为拔除上下颌双侧第一前磨牙。
该病例上颌的拔牙间隙应尽可能为前牙内收所利用,即后牙需要强支抗控制;此外,前牙大量内收需要很好的前牙转矩控制,生理性支抗技术对于此类病例的矫治具有优势,但考虑到治疗过程操作的便捷性,所以推荐患者使用Damon Q高转矩自锁托槽和XBT颊管。但患者由于经济原因,希望使用相对便宜的矫治器,最终我们选用了MLF托槽和XBT颊管。MLF托槽前牙的托槽槽沟尺寸由常规的0.022英寸×0.028英寸减小为0.020英寸×0.027英寸,减小了弓丝与前牙托槽间的余隙,但保持后牙的槽沟尺寸不变,理论上加强了间隙关闭过程中对前牙的转矩控制,又减小了弓丝沿后牙托槽滑动的摩擦阻力。与其他直丝弓托槽相比,MLF托槽前牙槽沟尺寸的设计特点令其在前牙转矩控制上具有优势。XBT颊管由一个-25°的后倾圆管和一个-7°的后倾方管在颊管近中入口处交叉而成,使得在早期排齐牙阶段,镍钛圆丝穿过-25°的圆管,让磨牙从矫治一开始就受到后倾力矩,使磨牙处于主导力矩地位,从而防止出现生理性支抗的丢失;并且随着矫治进程,当我们需要用镍钛或不锈钢方丝时,则让弓丝进入-7°的方管,使磨牙依然处于后倾的力矩,因此,应用XBT颊管使磨牙从细镍钛圆丝到粗不锈钢方丝自始至终都会受到一个24小时不间断的后倾力矩,从而有效防止了生理性支抗的丢失。
尽管PASS系统能较好地控制支抗,但正畸临床治疗毕竟是复杂多变的。在方丝关间隙内收阶段,磨牙虽然处于一个-7°的后倾力矩地位,但此后倾状态部分消耗于磨牙的生理性漂移,若以此为支抗牵引前牙,当牵引力过小时可能无法克服摩擦阻力,当牵引力过大时仍可能导致磨牙前移支抗丧失。也就是说,PASS技术虽然可以有效增强支抗,但无法实现绝对支抗。因此,为实现大量的切牙内收及控根移动,我们在关闭间隙时,分别在上颌双侧颧齿槽嵴处植入种植钉,并结合长牵引钩内收前牙,使力的方向尽可能通过牙齿的阻抗中心,内收前牙的同时更好的控制前牙转矩,实现前牙的整体移动。治疗后,上前牙转矩较治疗前降低2.8°,提示上前牙转矩控制良好。
使用传统托槽和颊管加种植钉支抗对双颌前突的患者进行治疗,也能有效内收前牙,但是在排齐整平的过程中,磨牙或多或少会前移。PASS技术能在治疗过程中保护磨牙支抗,防止磨牙前移,但是如果患者本身拔牙间隙全部被内收前牙所利用仍不足够时,这时就需要全牙弓后移来达到治疗效果,而PASS技术不能做到全牙弓后移。故使用PASS技术结合种植钉矫治,增强支抗,让拔牙间隙尽可能用于前牙内收,当间隙用完后全牙弓后移,也防止磨牙近中移动后又远移的往复运动,等于多上了一重保险。
疗程上因患者治疗期间工作地点发生变动,复诊不便,复诊间隔延长,该病例完成历时32个月。但从治疗结果来看,患者前牙大幅度内收,侧貌观呈直面型,治疗前后头影测量重叠图(图5)可见磨牙无明显前移,磨牙支抗得到了很好的控制。由该病例可见,PASS技术结合种植钉支抗能高效控制前牙转矩,对前牙需要大量内收及控根移动的病例具有较好的效果。
所有作者均声明不存在利益冲突

像、X线片见



















