
隐匿性甲状腺癌(occult thyroid carcinoma, OTC)是上个世纪中期提出,通常描述的是无症状的,或因甲状腺良性疾病行甲状腺手术,或尸检时偶然发现的甲状腺癌。OTC及甲状腺微小癌(thyroid microcarcinomas, TMC)的概念偶尔存在混淆。本文报道中国医科大学附属盛京医院胰腺内分泌外科于2018年12月收治的1例OTC病例,并概述其定义、分类、发生机制及治疗方法。
版权归中华医学会所有。
未经授权,不得转载、摘编本刊文章,不得使用本刊的版式设计。
除非特别声明,本刊刊出的所有文章不代表中华医学会和本刊编委会的观点。
女,42岁。以"体检发现右侧颈部肿物3个月"为主诉入院。入院时无呼吸困难、声音嘶哑、饮水呛咳、吞咽困难等不适。查体:右侧颈部可触及多个质硬肿物,最大约2.0 cm×1.0 cm,边界清楚、光滑,无触痛。
超声提示甲状腺左叶下极见1.4 cm×1.2 cm中等回声区,边界模糊,其内见数个强回声点。右叶内见密集强回声点,中上部明显。右侧颈部可见多个肿大淋巴结,较大者约1.7 cm×0.8 cm,内呈囊实混合回声伴多个强回声点(图1)。


颈部增强CT提示甲状腺形态不整,内密度欠均匀,可见囊片状低密度影及钙化密度影,增强扫描强化欠均匀,甲状腺周围及双侧颌下、颈部肌间隙、锁骨上窝、纵隔可见多发肿大淋巴结影,内密度欠均匀。较大者位于右侧锁骨上,约2.9 cm×1.4 cm,增强扫描欠均匀,中央呈弱强化。甲状腺右叶钙化密集处穿刺病理提示甲状腺滤泡大小不等,未见异型性,纤维组织增生,可见钙化。右颈部淋巴结穿刺病理提示淋巴细胞背景中见成团异型细胞,考虑淋巴结转移(lymph node metastasis, LNM)癌。术前化验:游离三碘甲状原氨酸4.06(正常值为2.63~5.71)pmol/L,游离甲状腺素13.08(正常值为9.01~19.05)pmol/L,促甲状腺激素5.6562(正常值为0.3~4.8)uIU/ml,甲状腺球蛋白抗体>1 000(正常值为0~4.11)IU/ml,甲状腺过氧化物酶抗体0.32(正常值为0~5.61)IU/ml,甲状腺球蛋白Ⅱ 5.42(正常值为3.5~77)ng/ml;癌胚抗原0.47(正常值为0~5)ng/l,降钙素<0.5(正常值为<6.4)pg/ml。
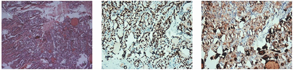
患者入院后行甲状腺全切+右颈Ⅱ~Ⅵ区淋巴结清扫、左颈Ⅵ区淋巴结清扫术。术后病理提示:右叶、左叶慢性淋巴细胞性甲状腺炎,伴滤泡上皮非典型增生,BRAFV600E基因突变阴性。左Ⅵ区、右Ⅱ区、右Ⅲ区、右Ⅳ区、右Ⅵ区LNM性乳头状癌。(2/4, 3/10, 3/4, 5/7, 8/8),右Ⅴ区、肌间淋巴结反应性增生(0/2,0/1)。转移淋巴结免疫组化结果:TTF-1(+),TG(+)(图2)。


患者术后21 d,随访查甲状腺球蛋白Ⅱ<0.2 ng/ml。术后3个月行131I全身显像提示甲状腺床区功能性显影,其余部位未见异常放射性分布,口部、消化道、膀胱生理性显影。术后半年随访查甲状腺球蛋Ⅱ<0.2 ng/ml,颈部超声未见异常淋巴结。





















