髋臼盂唇损伤是引起髋关节疼痛的常见原因[1]。髋臼盂唇损伤可以导致髋关节功能障碍,如果不及时诊断及合理治疗,髋臼盂唇损伤最终可引起髋关节关节软骨损伤和骨性关节炎[2]。由于优异的软组织分辨率,MRI成为可以准确诊断髋臼盂唇损伤的影像学方法[2]。掌握正确的MRI检查方法及髋臼损伤的信号特点有助于提高诊断的准确性。
1 髋臼盂唇的解剖学特点髋臼盂唇是附着于髋臼盂缘的纤维软骨,增大髋臼的覆盖范围,主要功能是吸收冲击力,分担压力及润滑关节。髋臼盂唇正常附着于髋臼前缘、外上缘及后缘,下缘与髋臼横韧带融合。
2 盂唇损伤的原因及临床表现引起髋臼盂唇损伤的原因多样,外伤、退变、髋关节撞击综合征(femoroacetabular impingement syndrome, FAI)、髋臼发育不良(developmental dysplasia of hip,DDH)等均可以导致髋臼盂唇损伤。髋臼盂唇损伤主要表现为无外伤或轻微外伤后出现腹股沟区钝痛,部分患者会出现臀部的牵涉痛,活动、长时间行走或久坐后疼痛会加重。体格检查髋关节屈曲旋转时会出现疼痛[3]。
3 髋臼盂唇损伤的MR检查技术要点(1)核磁扫描机的选择:检查髋臼盂唇一般要求高场MR扫描机,1.5 T或者3.0 T均可。(2)检查方法的选择:一般文献认为直接MR关节造影(d-MRA)是诊断髋臼盂唇损伤的经典影像学方法,注射对比剂可以充盈关节囊,更清晰的显示盂唇[4]。但是d-MRA为有创性检查,患者接受程度不高,临床并未广泛应用。近年来随着MR扫描机及扫描序列的不断改进,MRI作为一种无创性检查,诊断髋臼盂唇损伤的准确性及特异性不断提高,已可以满足临床诊断的需要[5]。(3)线圈的选择及摆位:一般选用腹部线圈,将腹部线圈包绕患侧髋关节。摆位时尽量将患侧髋关节置于扫描床的中央。(4)扫描序列的选择:脂肪抑制序列可以更清晰的显示盂唇撕裂的位置、大小,并可以显示局部骨髓内的情况,因此盂唇MR扫描一般以脂肪抑制序列为主。
在进行盂唇扫描之前,首先需要行双髋关节的冠状面T2WI脂肪抑制(T2WI-FS)序列扫描,视野(FOV)尽量大,扫描范围需要包括骨盆及周围软组织,尽量除外引起髋关节疼痛的其他原因,如股骨头坏死、盆腔及骨盆肿瘤、炎性关节病等。
由于盂唇体积小,进行盂唇MR检查要求单髋扫描以提高分辨率,FOV一般在15 cm×15 cm左右,矩阵为256×256,扫描范围应包括整个髋臼盂唇,扫描层厚为2~3 mm。
MRI序列:横断面质子密度加权像(PDWI)及冠状面、斜矢状面(平行于股骨颈长轴)的质子密度加权脂肪抑制像(PDWI-FS)。横断面质子密度加权像除可观察盂唇之外,还有助于观察髋臼骨质情况。
d-MRA扫描序列:横断面、冠状面、斜矢状面(平行于股骨颈长轴)的T1WI脂肪抑制序列(FS)。
4 髋臼盂唇的正常MRI表现正常髋臼盂唇在MR图像上一般为三角形,呈均匀低信号,边缘光滑,盂唇旁隐窝显示清晰(图1)。

点击查看大图
图1
右髋关节直接MR关节造影(d-MRA)冠状面图像,可见正常三角形的外上盂唇(白箭)
图3
髋关节斜矢状PDWI-FS图像,可以显示前盂唇(白箭)及后盂唇(箭头),前盂唇可见撕裂,后盂唇正常,股骨头颈交界部可见骨髓水肿(白长箭)
图4
右髋关节冠状PDWI-FS图像,可以显示外上盂唇撕裂(白箭)
图5
髋关节横断位PDWI图像,除了可以显示髋臼盂唇(白箭)之外,还可以显示髋臼及股骨近端骨质情况,本病例股骨头颈交接部出现骨性突起(箭头),诊断为凸轮型撞击综合征
图6
髋关节冠状面PDWI-FS图像,显示髋臼外上盂唇撕裂(白箭),伴盂唇旁囊肿形成(箭头)
图7
髋关节斜矢状面PDWI-FS图像,显示髋臼前盂唇撕裂(白箭),伴股骨头颈交界处骨性突起(箭头),诊断为凸轮型撞击综合征
图8
髋关节横断面PDWI图像,显示髋臼后盂唇撕裂(白箭)
Fig. 1
Coronal direct MR arthrography (d-MRA) image of right hip shows a normal acetabular labrum with triangular shape (white arrow).
Fig. 2
Schematic drawing of acetabular labrum.
Fig. 3
Oblique sagittal PDWI-FS image shows teared anterior labrum (white arrow) , normal posterior labrum (arrows), and bone marrow edema at femoral head-neck junction (long arrow).
Fig. 4
Coronal PDWI-FS image of right hip demonstrating lateral labrum tear (white arrow).
Fig. 5
Axial PDWI image of hip shows not only acetabular labrum (white arrow), but also bony conditions of acetabulum and proximal femur. This case had an osseous bump at femoral head-neck junction (arrows), was diagnosed as Cam-type femoroacetabular impingement.
Fig. 6
Coronal PDWI-FS image of hip demonstrating lateral labrum tear (white arrow) and paralabral cyst (arrows).
Fig. 7
Oblique sagittal PDWI-FS image shows anterior labrum tear (white arrow) and osseous bump at femoral head-neck junction (arrows), this case was diagnosed as Cam-type femoroacetabular impingement.
Fig. 8
Axial PDWI image of hip shows posterior labrum tear (white arrow).

点击查看大图
图1
右髋关节直接MR关节造影(d-MRA)冠状面图像,可见正常三角形的外上盂唇(白箭)
图3
髋关节斜矢状PDWI-FS图像,可以显示前盂唇(白箭)及后盂唇(箭头),前盂唇可见撕裂,后盂唇正常,股骨头颈交界部可见骨髓水肿(白长箭)
图4
右髋关节冠状PDWI-FS图像,可以显示外上盂唇撕裂(白箭)
图5
髋关节横断位PDWI图像,除了可以显示髋臼盂唇(白箭)之外,还可以显示髋臼及股骨近端骨质情况,本病例股骨头颈交接部出现骨性突起(箭头),诊断为凸轮型撞击综合征
图6
髋关节冠状面PDWI-FS图像,显示髋臼外上盂唇撕裂(白箭),伴盂唇旁囊肿形成(箭头)
图7
髋关节斜矢状面PDWI-FS图像,显示髋臼前盂唇撕裂(白箭),伴股骨头颈交界处骨性突起(箭头),诊断为凸轮型撞击综合征
图8
髋关节横断面PDWI图像,显示髋臼后盂唇撕裂(白箭)
Fig. 1
Coronal direct MR arthrography (d-MRA) image of right hip shows a normal acetabular labrum with triangular shape (white arrow).
Fig. 2
Schematic drawing of acetabular labrum.
Fig. 3
Oblique sagittal PDWI-FS image shows teared anterior labrum (white arrow) , normal posterior labrum (arrows), and bone marrow edema at femoral head-neck junction (long arrow).
Fig. 4
Coronal PDWI-FS image of right hip demonstrating lateral labrum tear (white arrow).
Fig. 5
Axial PDWI image of hip shows not only acetabular labrum (white arrow), but also bony conditions of acetabulum and proximal femur. This case had an osseous bump at femoral head-neck junction (arrows), was diagnosed as Cam-type femoroacetabular impingement.
Fig. 6
Coronal PDWI-FS image of hip demonstrating lateral labrum tear (white arrow) and paralabral cyst (arrows).
Fig. 7
Oblique sagittal PDWI-FS image shows anterior labrum tear (white arrow) and osseous bump at femoral head-neck junction (arrows), this case was diagnosed as Cam-type femoroacetabular impingement.
Fig. 8
Axial PDWI image of hip shows posterior labrum tear (white arrow).
5 髋臼盂唇MRI读片方法将髋臼缘按照时钟图分为12个钟点,前盂唇、外上盂唇及后盂唇按照顺时针方向依次分布于8点至5点的位置,5点至8点的位置由髋臼横韧带覆盖,表面无盂唇覆盖[6] (图2)。
(1)斜矢状面图像:主要用于观察前盂唇及后盂唇,即8点至11点方向和3点至5点方向(图3)。(2)冠状面图像:主要观察外上盂唇,即11点到3点方向(图4)。(3)横断面图像:是对斜矢状面和冠状面图像的补充(图5);在横断面质子加权像中可以将高信号的骨髓和低信号的盂唇清晰分开,可以观察髋臼及股骨近端骨质情况,有助于判断有无骨质增生、髋臼过度覆盖或髋臼发育不良等。
6 髋臼盂唇损伤的MR诊断标准(1)MRI诊断标准:按照2005年Douglus等提出的诊断标准,正常盂唇为附着于髋臼缘的均匀三角形低信号,盂唇撕裂表现为盂唇实质内高信号累及关节面或关节囊面,盂唇退变表现为盂唇内局限性稍高信号,未达关节面或关节囊面[7]。(2)d-MRA诊断标准:按照Czerny提出的诊断标准,正常盂唇为附着于髋臼缘的均匀三角形低信号,Ⅰ期为盂唇内高信号未达关节面或关节囊面,Ⅱ期为盂唇内高信号达关节面,Ⅲ期为盂唇与髋臼缘分离[8]。
7 髋臼盂唇撕裂的表现及常见位置髋臼盂唇发生撕裂时,液体或者滑膜会进入撕裂的盂唇内,在MR图像上表现为低信号的盂唇内出现高信号。盂唇撕裂常见于髋臼前盂唇上部及外上盂唇前部,后盂唇撕裂较为少见(图6,图7,图8,图9,图10)。

点击查看大图
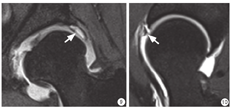
图9
髋臼发育不良患者,髋关节直接MR关节造影(d-MRA)冠状面图像,髋臼外上盂唇撕裂(白箭)
图10
髋关节直接MR关节造影(d-MRA)斜矢状面图像显示前盂唇与髋臼分离(白箭)
Fig. 9
Coronal direct MR arthrography (d-MRA) image of a developmental dysplasia of hip (DDH) patient shows lateral labrum tear of left acetabulum (white arrow).
Fig. 10
Oblique sagittal direct MR arthrography (d-MRA) image shows detachment of anterior labrum from underlying acetabulum (white arrow).

点击查看大图
图9
髋臼发育不良患者,髋关节直接MR关节造影(d-MRA)冠状面图像,髋臼外上盂唇撕裂(白箭)
图10
髋关节直接MR关节造影(d-MRA)斜矢状面图像显示前盂唇与髋臼分离(白箭)
Fig. 9
Coronal direct MR arthrography (d-MRA) image of a developmental dysplasia of hip (DDH) patient shows lateral labrum tear of left acetabulum (white arrow).
Fig. 10
Oblique sagittal direct MR arthrography (d-MRA) image shows detachment of anterior labrum from underlying acetabulum (white arrow).
8 盂唇解剖学变异:盂唇下隐窝及盂唇下沟有一部分髋臼前盂唇下部和后盂唇内会出现解剖学变异,分别是盂唇下隐窝[6]和盂唇下沟[9],在MR图像上与盂唇撕裂类似,需要与盂唇撕裂鉴别。盂唇下隐窝与盂唇下沟表现为盂唇与相邻髋臼部分分离,盂唇与髋臼之间的线样裂隙形态规则,未达盂唇关节囊面;而盂唇撕裂多位于前盂唇上部及外上盂唇前部,且盂唇撕裂的形态多不规则,可同时累及盂唇关节面及关节囊面。
总之,MRI是诊断髋臼盂唇损伤的最佳影像学方法,合适的扫描方法及扫描参数的选择有助于正确诊断髋臼盂唇损伤。
程晓光教授简介:程晓光,北京积水潭医院放射科主任,教授,博导。1987年师从王云钊教授学习骨放射,毕业后留在北京积水潭医院放射科工作。1994年至2001年先后留学比利时鲁汶大学获博士学位和美国加州大学旧金山分校(UCSF)博士后研究,2001年回积水潭医院放射科工作。长期从事影像临床工作和研究,尤其在骨关节影像和骨质疏松方面积累了丰富临床和科研经验。现任中华医学会骨质疏松与骨矿盐疾病分会委员、中国医师协会放射医师分会常委兼副总干事、中华医学会放射学分会骨组副组长、北京医学会骨质疏松分会常委、亚洲骨骼学会(AMS)执委、国际骨骼学会(ISS)会员等社会兼职。并担任中华放射学杂志通讯编委,中国骨质疏松杂志副主编,还担任磁共振成像杂志等期刊编委。2009年入选北京市卫生系统高层次人才培养计划学科带头人,承担国家自然科学基金项目和参与北京市自然科学基金项目。累计发表SCI文章20余篇,中文核心论文近70篇,主编或主译专著8本。